About   Help   FAQ
Gene Expression Data
Assay Details
Assay
Reference: J:122989 Visel A, et al., GenePaint.org: an atlas of gene expression patterns in the mouse embryo. Nucleic Acids Res. 2004 Jan 1;32(Database issue):D552-6
Assay type: RNA in situ
MGI Accession ID: MGI:5421095
Gene symbol: Bub1
Gene name: BUB1, mitotic checkpoint serine/threonine kinase
Probe: MH542 probe 405
Probe preparation: Antisense labelled with digoxigenin RNA
Visualized with: Alkaline phosphatase
Assay notes: Cryosections of fresh frozen material were fixed in 4% paraformaldehyde for 20 min. before further processing. A tyramide-biotin/streptavidin amplification step was included in the in situ hybridization procedure. These data were downloaded from GenePaint.org on 1/30/12.
Results
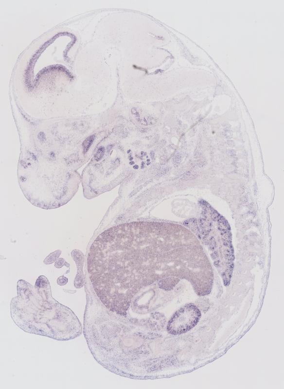
Specimen MH542; Specimen C1345: embryonic day 14.5 (more )
Structure Level Pattern Image Note
TS22: nervous system Strong Regionally restricted Embryo_C1345_5_3B
TS22: central nervous system Strong Regionally restricted Embryo_C1345_5_3B
TS22: telencephalon Strong Regionally restricted Embryo_C1345_5_3B
TS22: cerebral cortex Strong Regionally restricted Embryo_C1345_5_4C
TS22: neocortex Strong Regionally restricted Embryo_C1345_5_2B
TS22: olfactory cortex Moderate Regionally restricted Embryo_C1345_5_4C
TS22: main olfactory bulb Moderate Regionally restricted Embryo_C1345_5_4C
TS22: piriform cortex Absent
TS22: hippocampus Strong Regionally restricted Embryo_C1345_5_4C
TS22: basal ganglia Strong Regionally restricted Embryo_C1345_5_3B
TS22: corpus striatum Strong Regionally restricted Embryo_C1345_5_2B Expression was strong in the corpus striatum (lateral ganglionic eminence).
TS22: basal forebrain Strong Regionally restricted Embryo_C1345_5_3B
TS22: amygdala Absent
TS22: telencephalon septum Absent
TS22: pallidum Strong Regionally restricted Embryo_C1345_5_3B Expression was strong in the pallidum (medial ganglionic eminence).
TS22: diencephalon Moderate Regionally restricted Embryo_C1345_5_3D
TS22: thalamus Moderate Regionally restricted Embryo_C1345_5_3D
TS22: hypothalamus Moderate Regionally restricted Embryo_C1345_5_4C
TS22: midbrain Strong Regionally restricted Embryo_C1345_5_4C
TS22: pretectum Absent
TS22: superior colliculus Moderate Regionally restricted Embryo_C1345_5_4C
TS22: inferior colliculus Strong Regionally restricted Embryo_C1345_5_4C
TS22: midbrain tegmentum Weak Regionally restricted Embryo_C1345_5_3C
TS22: hindbrain Moderate Regionally restricted Embryo_C1345_5_5A
TS22: cerebellum Weak Regionally restricted Embryo_C1345_5_4B
TS22: pons Weak Regionally restricted Embryo_C1345_5_3C
TS22: medulla oblongata Weak Regionally restricted Embryo_C1345_5_5A
TS22: spinal cord Strong Regionally restricted Embryo_C1345_5_4B
TS22: choroid plexus Absent
TS22: meninges Absent
TS22: peripheral nervous system Absent
TS22: cranial ganglion Absent
TS22: dorsal root ganglion Absent
TS22: eye Moderate Regionally restricted Embryo_C1345_5_1A
TS22: retina Moderate Regionally restricted Embryo_C1345_5_1A
TS22: lens Absent
TS22: optic nerve Moderate Regionally restricted Embryo_C1345_5_2B
TS22: nose Moderate Regionally restricted Embryo_C1345_5_3A
TS22: olfactory epithelium Moderate Regionally restricted Embryo_C1345_5_3A
TS22: ear Moderate Regionally restricted Embryo_C1345_5_5A
TS22: inner ear Moderate Regionally restricted Embryo_C1345_5_5A
TS22: cochlea Moderate Regionally restricted Embryo_C1345_5_5A
TS22: inner ear labyrinth Weak Regionally restricted Embryo_C1345_5_5C
TS22: middle ear Moderate Regionally restricted Embryo_C1345_5_1A
TS22: alimentary system Strong Regionally restricted Embryo_C1345_5_5C Expression was strong in the digestive system.
TS22: intestine Weak Regionally restricted Embryo_C1345_5_4D
TS22: salivary gland Strong Regionally restricted Embryo_C1345_5_5C
TS22: tongue Weak Regionally restricted Embryo_C1345_5_4D
TS22: tooth Strong Regionally restricted Embryo_C1345_5_4D
TS22: palatal shelf Weak Regionally restricted Embryo_C1345_5_4C
TS22: esophagus Moderate Regionally restricted Embryo_C1345_5_4B
TS22: stomach Weak Regionally restricted Embryo_C1345_5_6B
TS22: liver Weak Regionally restricted Embryo_C1345_5_4D
TS22: respiratory system Moderate Regionally restricted Embryo_C1345_5_4B
TS22: pharynx Moderate Regionally restricted Embryo_C1345_5_4B
TS22: larynx Moderate Regionally restricted Embryo_C1345_5_4B
TS22: trachea Moderate Regionally restricted Embryo_C1345_5_4A
TS22: main bronchus Weak Regionally restricted Embryo_C1345_5_4D
TS22: lung Moderate Regionally restricted Embryo_C1345_5_4A
TS22: urinary system Strong Regionally restricted Embryo_C1345_5_6D Expression was strong in the genito-urinary system.
TS22: metanephros Strong Regionally restricted Embryo_C1345_5_5C
TS22: ureter Absent
TS22: bladder Moderate Regionally restricted Embryo_C1345_5_4A
TS22: urethra Weak Regionally restricted Embryo_C1345_5_3D
TS22: reproductive system Strong Regionally restricted Embryo_C1345_5_6D
TS22: genital tubercle Strong Regionally restricted Embryo_C1345_5_3A
TS22: gonad Strong Regionally restricted Embryo_C1345_5_6D
TS22: gland Strong Regionally restricted Embryo_C1345_5_3C Expression was strong in the endocrine system.
TS22: thyroid gland Strong Regionally restricted Embryo_C1345_5_3C
TS22: pituitary gland Moderate Regionally restricted Embryo_C1345_5_4B
TS22: pancreas Weak Regionally restricted Embryo_C1345_5_5C
TS22: adrenal gland Weak Regionally restricted Embryo_C1345_5_6B
TS22: cardiovascular system Weak Regionally restricted Embryo_C1345_5_2D
TS22: heart Weak Regionally restricted Embryo_C1345_5_2D
TS22: heart atrium Weak Regionally restricted Embryo_C1345_5_2D
TS22: heart ventricle Weak Regionally restricted Embryo_C1345_5_3C
TS22: blood vessel Weak Regionally restricted Embryo_C1345_5_4D
TS22: hemolymphoid system Moderate Regionally restricted Embryo_C1345_5_4C Expression was detected in the immune system.
TS22: spleen primordium Absent
TS22: thymus primordium Moderate Ubiquitous Embryo_C1345_5_4C
TS22: appendicular skeleton Absent Expression was not detected in the skeleton (limbs, shoulder, hip).
TS22: musculature Weak Regionally restricted Embryo_C1345_5_6A
TS22: face Strong Regionally restricted Embryo_C1345_5_2B Expression was strong in the face/soft tissues.
TS22: facial bone primordium Absent
TS22: cranium Absent Expression was not detected in the skull (base and vault).
TS22: axial skeleton Absent
TS22: tail Strong Regionally restricted Embryo_C1345_5_3A
TS22: forelimb Strong Regionally restricted Embryo_C1345_5_1B
TS22: hindlimb Strong Regionally restricted Embryo_C1345_5_1B
TS22: integumental system Strong Regionally restricted Embryo_C1345_5_1D
TS22: skin Moderate Regionally restricted Embryo_C1345_5_3A
TS22: hair Strong Regionally restricted Embryo_C1345_5_1D
TS22: vibrissa follicle Strong Regionally restricted Embryo_C1345_5_1D Expression was strong in whisker follicle.


Contributing Projects:
Mouse Genome Database (MGD), Gene Expression Database (GXD), Mouse Models of Human Cancer database (MMHCdb) (formerly Mouse Tumor Biology (MTB)), Gene Ontology (GO)
Citing These Resources
Funding Information
Warranty Disclaimer, Privacy Notice, Licensing, & Copyright
Send questions and comments to User Support.
last database update
03/24/2026
MGI 6.24
The Jackson Laboratory