About   Help   FAQ
Gene Expression Data
Assay Details
Assay
Reference: J:122989 Visel A, et al., GenePaint.org: an atlas of gene expression patterns in the mouse embryo. Nucleic Acids Res. 2004 Jan 1;32(Database issue):D552-6
Assay type: RNA in situ
MGI Accession ID: MGI:5421089
Gene symbol: Tsc22d1
Gene name: TSC22 domain family, member 1
Probe: MH532 probe 487
Probe preparation: Antisense labelled with digoxigenin RNA
Visualized with: Alkaline phosphatase
Assay notes: Cryosections of fresh frozen material were fixed in 4% paraformaldehyde for 20 min. before further processing. A tyramide-biotin/streptavidin amplification step was included in the in situ hybridization procedure. These data were downloaded from GenePaint.org on 1/30/12.
Results
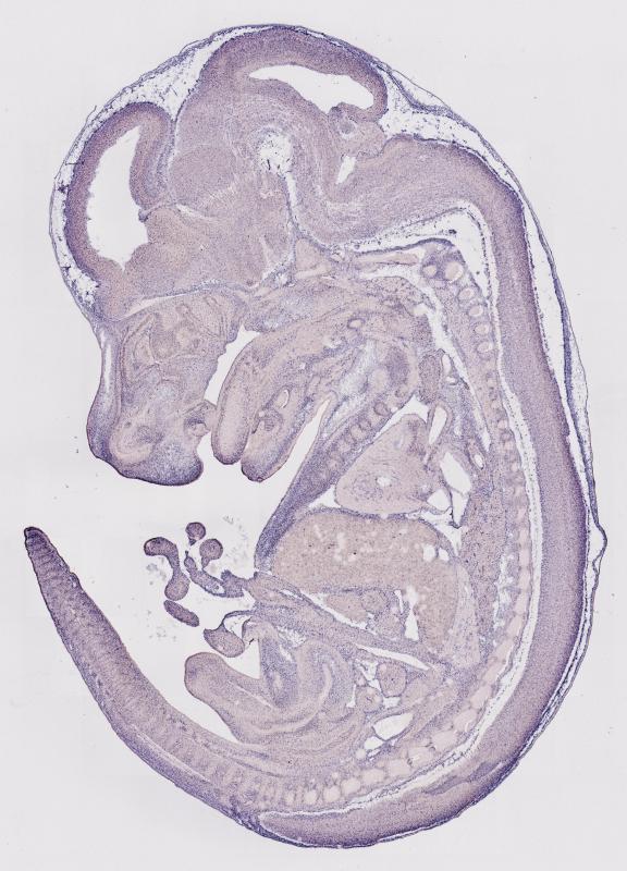
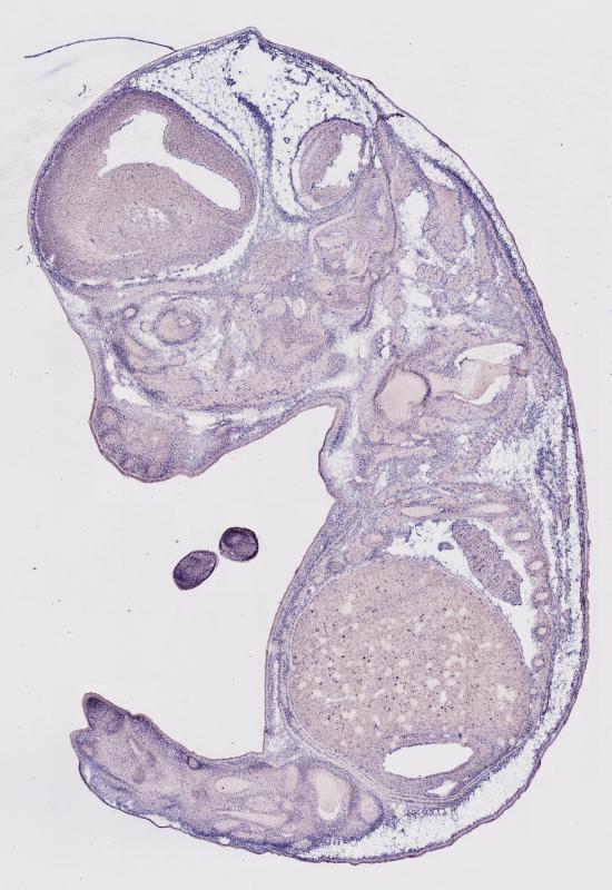
Specimen MH532; Specimen C1264: embryonic day 14.5 (more )
Structure Level Pattern Image Note
TS22: nervous system Strong Regionally restricted Embryo_C1264_6_3A
TS22: central nervous system Strong Regionally restricted Embryo_C1264_6_3A
TS22: telencephalon Moderate Regionally restricted Embryo_C1264_6_5A
TS22: cerebral cortex Moderate Regionally restricted Embryo_C1264_6_5A
TS22: neocortex Moderate Regionally restricted Embryo_C1264_6_5A
TS22: olfactory cortex Moderate Regionally restricted Embryo_C1264_6_5A
TS22: main olfactory bulb Moderate Regionally restricted Embryo_C1264_6_5A
TS22: piriform cortex Weak Regionally restricted Embryo_C1264_6_2A
TS22: hippocampus Moderate Regionally restricted Embryo_C1264_6_6B
TS22: basal ganglia Moderate Regionally restricted Embryo_C1264_6_4B
TS22: corpus striatum Weak Regionally restricted Embryo_C1264_6_6B Expression was weak in the corpus striatum (lateral ganglionic eminence).
TS22: basal forebrain Absent
TS22: amygdala Weak Regionally restricted Embryo_C1264_6_6B
TS22: telencephalon septum Moderate Regionally restricted Embryo_C1264_6_4B
TS22: pallidum Weak Regionally restricted Embryo_C1264_6_5A Expression was weak in the pallidum (medial ganglionic eminence).
TS22: diencephalon Moderate Regionally restricted Embryo_C1264_6_4B
TS22: thalamus Moderate Regionally restricted Embryo_C1264_6_4B
TS22: hypothalamus Moderate Regionally restricted Embryo_C1264_6_4B
TS22: midbrain Moderate Regionally restricted Embryo_C1264_6_4B
TS22: pretectum Moderate Regionally restricted Embryo_C1264_6_4B
TS22: superior colliculus Moderate Regionally restricted Embryo_C1264_6_4B
TS22: inferior colliculus Moderate Regionally restricted Embryo_C1264_6_3D
TS22: midbrain tegmentum Moderate Regionally restricted Embryo_C1264_6_4A
TS22: hindbrain Weak Regionally restricted Embryo_C1264_6_4A
TS22: cerebellum Weak Regionally restricted Embryo_C1264_6_4A
TS22: pons Weak Regionally restricted Embryo_C1264_6_4A
TS22: medulla oblongata Weak Regionally restricted Embryo_C1264_6_4A
TS22: spinal cord Strong Regionally restricted Embryo_C1264_6_4A
TS22: choroid plexus Moderate Regionally restricted Embryo_C1264_6_3A
TS22: meninges Strong Regionally restricted Embryo_C1264_6_3A
TS22: peripheral nervous system Moderate Regionally restricted Embryo_C1264_6_3A
TS22: cranial ganglion Weak Regionally restricted Embryo_C1264_6_6B
TS22: dorsal root ganglion Moderate Regionally restricted Embryo_C1264_6_3A
TS22: eye Moderate Regionally restricted Embryo_C1264_6_1A
TS22: retina Moderate Regionally restricted Embryo_C1264_6_1A
TS22: lens Moderate Regionally restricted Embryo_C1264_6_1A
TS22: optic nerve Weak Regionally restricted Embryo_C1264_6_2B
TS22: nose Weak Regionally restricted Embryo_C1264_6_3C
TS22: olfactory epithelium Weak Regionally restricted Embryo_C1264_6_3C
TS22: ear Weak Regionally restricted Embryo_C1264_6_3B
TS22: inner ear Weak Regionally restricted Embryo_C1264_6_3B
TS22: cochlea Weak Regionally restricted Embryo_C1264_6_3B
TS22: inner ear labyrinth Weak Regionally restricted Embryo_C1264_6_2A
TS22: middle ear Absent
TS22: alimentary system Strong Regionally restricted Embryo_C1264_6_6C Expression was strong in the digestive system.
TS22: intestine Moderate Regionally restricted Embryo_C1264_6_4A
TS22: salivary gland Moderate Regionally restricted Embryo_C1264_6_5C
TS22: tongue Strong Regionally restricted Embryo_C1264_6_3D
TS22: tooth Moderate Regionally restricted Embryo_C1264_6_4C
TS22: palatal shelf Weak Regionally restricted Embryo_C1264_6_3C
TS22: esophagus Moderate Regionally restricted Embryo_C1264_6_4A
TS22: stomach Moderate Regionally restricted Embryo_C1264_6_5C
TS22: liver Strong Scattered Embryo_C1264_6_6C
TS22: respiratory system Moderate Regionally restricted Embryo_C1264_6_4A
TS22: pharynx Moderate Regionally restricted Embryo_C1264_6_4A
TS22: larynx Moderate Regionally restricted Embryo_C1264_6_4A
TS22: trachea Moderate Regionally restricted Embryo_C1264_6_4A
TS22: main bronchus Weak Regionally restricted Embryo_C1264_6_4C
TS22: lung Moderate Regionally restricted Embryo_C1264_6_5B
TS22: urinary system Moderate Regionally restricted Embryo_C1264_6_4D Expression was detected in the genito-urinary system.
TS22: metanephros Moderate Regionally restricted Embryo_C1264_6_4D
TS22: ureter Weak Regionally restricted Embryo_C1264_6_3D
TS22: bladder Weak Regionally restricted Embryo_C1264_6_3C
TS22: urethra Absent
TS22: reproductive system Moderate Regionally restricted Embryo_C1264_6_3A
TS22: genital tubercle Moderate Regionally restricted Embryo_C1264_6_3A
TS22: gonad Weak Regionally restricted Embryo_C1264_6_5D
TS22: gland Moderate Regionally restricted Embryo_C1264_6_5A Expression was detected in the endocrine system.
TS22: thyroid gland Weak Regionally restricted Embryo_C1264_6_3C
TS22: pituitary gland Moderate Regionally restricted Embryo_C1264_6_4B
TS22: pancreas Weak Regionally restricted Embryo_C1264_6_4C
TS22: adrenal gland Moderate Regionally restricted Embryo_C1264_6_5A
TS22: cardiovascular system Moderate Regionally restricted Embryo_C1264_6_3A
TS22: heart Moderate Regionally restricted Embryo_C1264_6_3A
TS22: heart atrium Moderate Regionally restricted Embryo_C1264_6_4A
TS22: heart ventricle Moderate Regionally restricted Embryo_C1264_6_3A
TS22: blood vessel Moderate Regionally restricted Embryo_C1264_6_4C
TS22: hemolymphoid system Weak Regionally restricted Embryo_C1264_6_4B Expression was weak in the immune system.
TS22: spleen primordium Weak Regionally restricted Embryo_C1264_6_6A
TS22: thymus primordium Weak Regionally restricted Embryo_C1264_6_4B
TS22: appendicular skeleton Weak Regionally restricted Embryo_C1264_6_5B Expression was weak in the skeleton (limbs, shoulder, hip).
TS22: musculature Weak Regionally restricted Embryo_C1264_6_1A
TS22: face Moderate Regionally restricted Embryo_C1264_6_3A Expression was detected in the face/soft tissues.
TS22: facial bone primordium Absent
TS22: cranium Absent Expression was not detected in the skull (base and vault).
TS22: axial skeleton Weak Regionally restricted Embryo_C1264_6_4A
TS22: tail Strong Regionally restricted Embryo_C1264_6_3B
TS22: forelimb Strong Regionally restricted Embryo_C1264_6_1B
TS22: hindlimb Strong Regionally restricted Embryo_C1264_6_1A
TS22: integumental system Strong Regionally restricted Embryo_C1264_6_5C
TS22: skin Strong Regionally restricted Embryo_C1264_6_4B
TS22: hair Strong Regionally restricted Embryo_C1264_6_5C
TS22: vibrissa follicle Strong Regionally restricted Embryo_C1264_6_5C Expression was strong in whisker follicle.


Contributing Projects:
Mouse Genome Database (MGD), Gene Expression Database (GXD), Mouse Models of Human Cancer database (MMHCdb) (formerly Mouse Tumor Biology (MTB)), Gene Ontology (GO)
Citing These Resources
Funding Information
Warranty Disclaimer, Privacy Notice, Licensing, & Copyright
Send questions and comments to User Support.
last database update
01/06/2026
MGI 6.24
The Jackson Laboratory