About   Help   FAQ
Gene Expression Data
Assay Details
Assay
Reference: J:122989 Visel A, et al., GenePaint.org: an atlas of gene expression patterns in the mouse embryo. Nucleic Acids Res. 2004 Jan 1;32(Database issue):D552-6
Assay type: RNA in situ
MGI Accession ID: MGI:5421071
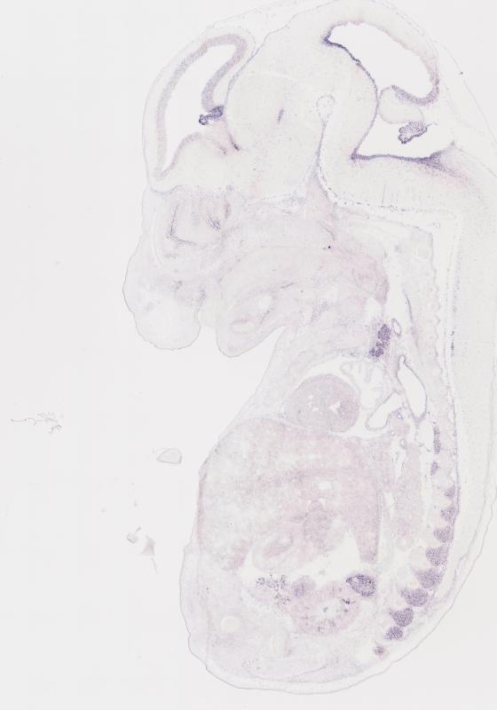
Gene symbol: Cpt1a
Gene name: carnitine palmitoyltransferase 1a, liver
Probe: MH509 probe 466
Probe preparation: Antisense labelled with digoxigenin RNA
Visualized with: Alkaline phosphatase
Assay notes: Cryosections of fresh frozen material were fixed in 4% paraformaldehyde for 20 min. before further processing. A tyramide-biotin/streptavidin amplification step was included in the in situ hybridization procedure. These data were downloaded from GenePaint.org on 1/30/12.
Results
Specimen MH509; Specimen C1137: embryonic day 14.5 (more )
Structure Level Pattern Image Note
TS22: nervous system Strong Regionally restricted Embryo_C1137_2_2C
TS22: central nervous system Strong Regionally restricted Embryo_C1137_2_2C
TS22: telencephalon Moderate Regionally restricted Embryo_C1137_2_2A
TS22: cerebral cortex Weak Regionally restricted Embryo_C1137_2_3A
TS22: neocortex Weak Regionally restricted Embryo_C1137_2_3A
TS22: olfactory cortex Weak Regionally restricted Embryo_C1137_2_5A
TS22: main olfactory bulb Weak Regionally restricted Embryo_C1137_2_5A
TS22: piriform cortex Absent
TS22: hippocampus Weak Regionally restricted Embryo_C1137_2_3A
TS22: basal ganglia Moderate Regionally restricted Embryo_C1137_2_2A
TS22: corpus striatum Moderate Regionally restricted Embryo_C1137_2_2A Expression was detected in the corpus striatum (lateral ganglionic eminence).
TS22: basal forebrain Absent
TS22: amygdala Absent
TS22: telencephalon septum Weak Regionally restricted Embryo_C1137_2_3C
TS22: pallidum Moderate Regionally restricted Embryo_C1137_2_3B Expression was detected in the pallidum (medial ganglionic eminence).
TS22: diencephalon Strong Regionally restricted Embryo_C1137_2_4B
TS22: thalamus Moderate Regionally restricted Embryo_C1137_2_4B
TS22: hypothalamus Strong Regionally restricted Embryo_C1137_2_4B
TS22: midbrain Strong Regionally restricted Embryo_C1137_2_4C
TS22: pretectum Absent
TS22: superior colliculus Weak Regionally restricted Embryo_C1137_2_4C
TS22: inferior colliculus Moderate Regionally restricted Embryo_C1137_2_4C
TS22: midbrain tegmentum Strong Regionally restricted Embryo_C1137_2_4C
TS22: hindbrain Moderate Regionally restricted Embryo_C1137_2_4B
TS22: cerebellum Absent
TS22: pons Moderate Regionally restricted Embryo_C1137_2_5A
TS22: medulla oblongata Strong Regionally restricted Embryo_C1137_2_3C
TS22: spinal cord Moderate Regionally restricted Embryo_C1137_2_4A
TS22: choroid plexus Strong Regionally restricted Embryo_C1137_2_5C
TS22: meninges Weak Regionally restricted Embryo_C1137_2_5C
TS22: peripheral nervous system Moderate Regionally restricted Embryo_C1137_2_5A
TS22: cranial ganglion Moderate Regionally restricted Embryo_C1137_2_3A
TS22: dorsal root ganglion Moderate Regionally restricted Embryo_C1137_2_5A
TS22: eye Moderate Regionally restricted Embryo_C1137_2_1D
TS22: retina Moderate Regionally restricted Embryo_C1137_2_1D
TS22: lens Absent
TS22: cornea Absent
TS22: optic nerve Absent
TS22: nose Moderate Regionally restricted Embryo_C1137_2_4A
TS22: olfactory epithelium Moderate Regionally restricted Embryo_C1137_2_4A
TS22: ear Weak Regionally restricted Embryo_C1137_2_5B
TS22: inner ear Weak Regionally restricted Embryo_C1137_2_5B
TS22: cochlea Absent
TS22: inner ear labyrinth Weak Regionally restricted Embryo_C1137_2_5B
TS22: middle ear Absent
TS22: alimentary system Weak Regionally restricted Embryo_C1137_2_4A Expression was weak in the digestive system.
TS22: intestine Moderate Regionally restricted Embryo_C1137_2_4B
TS22: salivary gland Absent
TS22: tongue Absent
TS22: tooth Weak Regionally restricted Embryo_C1137_2_4A
TS22: palatal shelf Weak Regionally restricted Embryo_C1137_2_4A
TS22: esophagus Absent
TS22: stomach Weak Regionally restricted Embryo_C1137_2_2C
TS22: liver Weak Regionally restricted Embryo_C1137_2_1B
TS22: respiratory system Moderate Regionally restricted Embryo_C1137_2_4A
TS22: pharynx Moderate Regionally restricted Embryo_C1137_2_4A
TS22: larynx Absent
TS22: trachea Absent
TS22: main bronchus Absent
TS22: lung Absent
TS22: urinary system Strong Regionally restricted Embryo_C1137_2_3A Expression was strong in the genito-urinary system.
TS22: metanephros Strong Regionally restricted Embryo_C1137_2_3A
TS22: ureter Weak Regionally restricted Embryo_C1137_2_4A
TS22: bladder Moderate Regionally restricted Embryo_C1137_2_4C
TS22: urethra Weak Regionally restricted Embryo_C1137_2_5A
TS22: reproductive system Moderate Regionally restricted Embryo_C1137_2_2B
TS22: genital tubercle Absent
TS22: gonad Moderate Regionally restricted Embryo_C1137_2_2B
TS22: gland Strong Regionally restricted Embryo_C1137_2_5C Expression was strong in the endocrine system.
TS22: thyroid gland Absent
TS22: pituitary gland Absent
TS22: pancreas Weak Regionally restricted Embryo_C1137_2_3D
TS22: adrenal gland Strong Regionally restricted Embryo_C1137_2_5C
TS22: cardiovascular system Weak Regionally restricted Embryo_C1137_2_4B
TS22: heart Absent
TS22: heart atrium Absent
TS22: heart ventricle Absent
TS22: blood vessel Weak Regionally restricted Embryo_C1137_2_4B
TS22: hemolymphoid system Strong Regionally restricted Embryo_C1137_2_4C Expression was strong in the immune system.
TS22: spleen primordium Absent
TS22: thymus primordium Strong Regionally restricted Embryo_C1137_2_4C
TS22: appendicular skeleton Absent Expression was not detected in the skeleton (limbs, shoulder, hip).
TS22: musculature Absent
TS22: face Absent Expression was not detected in the face/soft tissues.
TS22: facial bone primordium Absent
TS22: cranium Absent Expression was not detected in the skull (base and vault).
TS22: axial skeleton Absent
TS22: tail Absent
TS22: forelimb Weak Regionally restricted Embryo_C1137_2_1C
TS22: hindlimb Weak Regionally restricted Embryo_C1137_2_3A
TS22: integumental system Weak Regionally restricted Embryo_C1137_2_2B
TS22: skin Absent
TS22: hair Weak Regionally restricted Embryo_C1137_2_2B
TS22: vibrissa follicle Weak Regionally restricted Embryo_C1137_2_2B Expression was weak in whisker follicle.


Contributing Projects:
Mouse Genome Database (MGD), Gene Expression Database (GXD), Mouse Models of Human Cancer database (MMHCdb) (formerly Mouse Tumor Biology (MTB)), Gene Ontology (GO)
Citing These Resources
Funding Information
Warranty Disclaimer, Privacy Notice, Licensing, & Copyright
Send questions and comments to User Support.
last database update
12/30/2025
MGI 6.24
The Jackson Laboratory