About   Help   FAQ
Gene Expression Data
Assay Details
Assay
Reference: J:122989 Visel A, et al., GenePaint.org: an atlas of gene expression patterns in the mouse embryo. Nucleic Acids Res. 2004 Jan 1;32(Database issue):D552-6
Assay type: RNA in situ
MGI Accession ID: MGI:5421066
Gene symbol: Syt7
Gene name: synaptotagmin VII
Probe: MH498 probe 442
Probe preparation: Antisense labelled with digoxigenin RNA
Visualized with: Alkaline phosphatase
Assay notes: Cryosections of fresh frozen material were fixed in 4% paraformaldehyde for 20 min. before further processing. A tyramide-biotin/streptavidin amplification step was included in the in situ hybridization procedure. These data were downloaded from GenePaint.org on 1/30/12.
Results
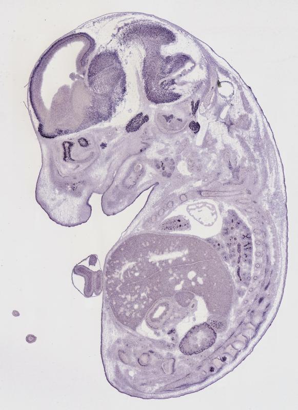
Specimen MH498; Specimen C1233: embryonic day 14.5 (more )
Structure Level Pattern Image Note
TS22: nervous system Strong Regionally restricted Embryo_C1233_3_3B
TS22: central nervous system Strong Regionally restricted Embryo_C1233_3_3B
TS22: telencephalon Strong Regionally restricted Embryo_C1233_3_3B
TS22: cerebral cortex Strong Regionally restricted Embryo_C1233_3_3B
TS22: neocortex Strong Regionally restricted Embryo_C1233_3_5A
TS22: olfactory cortex Strong Regionally restricted Embryo_C1233_3_3B
TS22: main olfactory bulb Strong Regionally restricted Embryo_C1233_3_3B
TS22: piriform cortex Moderate Regionally restricted Embryo_C1233_3_2B
TS22: hippocampus Moderate Regionally restricted Embryo_C1233_3_5C
TS22: basal ganglia Strong Regionally restricted Embryo_C1233_3_4A
TS22: corpus striatum Weak Regionally restricted Embryo_C1233_3_2A Expression was weak in the corpus striatum (lateral ganglionic eminence).
TS22: basal forebrain Weak Regionally restricted Embryo_C1233_3_3A
TS22: amygdala Weak Regionally restricted Embryo_C1233_3_1C
TS22: telencephalon septum Strong Regionally restricted Embryo_C1233_3_4A
TS22: pallidum Absent Expression was not detected in the pallidum (medial ganglionic eminence).
TS22: diencephalon Moderate Regionally restricted Embryo_C1233_3_4A
TS22: thalamus Moderate Regionally restricted Embryo_C1233_3_3A
TS22: hypothalamus Moderate Regionally restricted Embryo_C1233_3_4A
TS22: midbrain Strong Regionally restricted Embryo_C1233_3_3B
TS22: pretectum Moderate Regionally restricted Embryo_C1233_3_3A
TS22: superior colliculus Strong Regionally restricted Embryo_C1233_3_3B
TS22: inferior colliculus Strong Regionally restricted Embryo_C1233_3_4A
TS22: midbrain tegmentum Moderate Regionally restricted Embryo_C1233_3_3B
TS22: hindbrain Strong Regionally restricted Embryo_C1233_3_3B
TS22: cerebellum Strong Regionally restricted Embryo_C1233_3_3B
TS22: pons Moderate Regionally restricted Embryo_C1233_3_4A
TS22: medulla oblongata Moderate Regionally restricted Embryo_C1233_3_4B
TS22: spinal cord Strong Regionally restricted Embryo_C1233_3_3C
TS22: choroid plexus Absent
TS22: meninges Weak Regionally restricted Embryo_C1233_3_5A
TS22: peripheral nervous system Strong Regionally restricted Embryo_C1233_3_2A
TS22: cranial ganglion Strong Regionally restricted Embryo_C1233_3_2A
TS22: dorsal root ganglion Strong Regionally restricted Embryo_C1233_3_4C
TS22: eye Moderate Regionally restricted Embryo_C1233_3_6D
TS22: retina Moderate Regionally restricted Embryo_C1233_3_6D
TS22: lens Absent
TS22: optic nerve Absent
TS22: nose Strong Regionally restricted Embryo_C1233_3_3B
TS22: olfactory epithelium Strong Regionally restricted Embryo_C1233_3_3B
TS22: ear Moderate Regionally restricted Embryo_C1233_3_1B
TS22: inner ear Moderate Regionally restricted Embryo_C1233_3_1B
TS22: cochlea Moderate Regionally restricted Embryo_C1233_3_5A
TS22: inner ear labyrinth Moderate Regionally restricted Embryo_C1233_3_1B
TS22: middle ear Weak Regionally restricted Embryo_C1233_3_6B
TS22: alimentary system Strong Regionally restricted Embryo_C1233_3_4A Expression was strong in the digestive system.
TS22: intestine Moderate Regionally restricted Embryo_C1233_3_3D
TS22: salivary gland Moderate Regionally restricted Embryo_C1233_3_2C
TS22: tongue Moderate Regionally restricted Embryo_C1233_3_3C
TS22: tooth Moderate Regionally restricted Embryo_C1233_3_3B
TS22: palatal shelf Absent
TS22: esophagus Strong Regionally restricted Embryo_C1233_3_4A
TS22: stomach Moderate Regionally restricted Embryo_C1233_3_6C
TS22: liver Absent
TS22: respiratory system Strong Regionally restricted Embryo_C1233_3_2A
TS22: pharynx Weak Regionally restricted Embryo_C1233_3_3B
TS22: larynx Weak Regionally restricted Embryo_C1233_3_3C
TS22: trachea Weak Regionally restricted Embryo_C1233_3_3C
TS22: main bronchus Moderate Regionally restricted Embryo_C1233_3_5A
TS22: lung Strong Regionally restricted Embryo_C1233_3_2A
TS22: urinary system Moderate Regionally restricted Embryo_C1233_3_6A Expression was detected in the genito-urinary system.
TS22: metanephros Moderate Regionally restricted Embryo_C1233_3_5B
TS22: ureter Absent
TS22: bladder Absent
TS22: urethra Moderate Regionally restricted Embryo_C1233_3_3D
TS22: reproductive system Moderate Regionally restricted Embryo_C1233_3_6A
TS22: genital tubercle Moderate Regionally restricted Embryo_C1233_3_3A
TS22: gonad Moderate Regionally restricted Embryo_C1233_3_6A
TS22: gland Strong Regionally restricted Embryo_C1233_3_4D Expression was strong in the endocrine system.
TS22: thyroid gland Strong Regionally restricted Embryo_C1233_3_4A
TS22: pituitary gland Moderate Regionally restricted Embryo_C1233_3_4A
TS22: pancreas Strong Regionally restricted Embryo_C1233_3_4D
TS22: adrenal gland Moderate Regionally restricted Embryo_C1233_3_5A
TS22: cardiovascular system Weak Regionally restricted Embryo_C1233_3_3C
TS22: heart Weak Regionally restricted Embryo_C1233_3_3C
TS22: heart atrium Weak Regionally restricted Embryo_C1233_3_3C
TS22: heart ventricle Weak Regionally restricted Embryo_C1233_3_3B
TS22: blood vessel Weak Regionally restricted Embryo_C1233_3_2D
TS22: hemolymphoid system Absent Expression was not detected in the immune system.
TS22: spleen primordium Absent
TS22: thymus primordium Absent
TS22: appendicular skeleton Moderate Regionally restricted Embryo_C1233_3_1A Expression was detected in the skeleton (limbs, shoulder, hip).
TS22: musculature Weak Regionally restricted Embryo_C1233_3_1A
TS22: face Absent Expression was not detected in the face/soft tissues.
TS22: facial bone primordium Absent
TS22: cranium Weak Regionally restricted Embryo_C1233_3_3D Expression was weak in the skull (base and vault).
TS22: axial skeleton Weak Regionally restricted Embryo_C1233_3_3D
TS22: tail Moderate Regionally restricted Embryo_C1233_3_3C
TS22: forelimb Moderate Regionally restricted Embryo_C1233_3_6D
TS22: hindlimb Strong Regionally restricted Embryo_C1233_3_6C
TS22: integumental system Moderate Regionally restricted Embryo_C1233_3_3A
TS22: skin Moderate Regionally restricted Embryo_C1233_3_3A
TS22: hair Moderate Regionally restricted Embryo_C1233_3_2A
TS22: vibrissa follicle Moderate Regionally restricted Embryo_C1233_3_2A Expression was detected in whisker follicle.


Contributing Projects:
Mouse Genome Database (MGD), Gene Expression Database (GXD), Mouse Models of Human Cancer database (MMHCdb) (formerly Mouse Tumor Biology (MTB)), Gene Ontology (GO)
Citing These Resources
Funding Information
Warranty Disclaimer, Privacy Notice, Licensing, & Copyright
Send questions and comments to User Support.
last database update
01/28/2026
MGI 6.24
The Jackson Laboratory