About   Help   FAQ
Gene Expression Data
Assay Details
Assay
Reference: J:122989 Visel A, et al., GenePaint.org: an atlas of gene expression patterns in the mouse embryo. Nucleic Acids Res. 2004 Jan 1;32(Database issue):D552-6
Assay type: RNA in situ
MGI Accession ID: MGI:5421054
Gene symbol: Dlx5
Gene name: distal-less homeobox 5
Probe: MH478 probe 449
Probe preparation: Antisense labelled with digoxigenin RNA
Visualized with: Alkaline phosphatase
Assay notes: Cryosections of fresh frozen material were fixed in 4% paraformaldehyde for 20 min. before further processing. A tyramide-biotin/streptavidin amplification step was included in the in situ hybridization procedure. These data were downloaded from GenePaint.org on 1/30/12.
Results
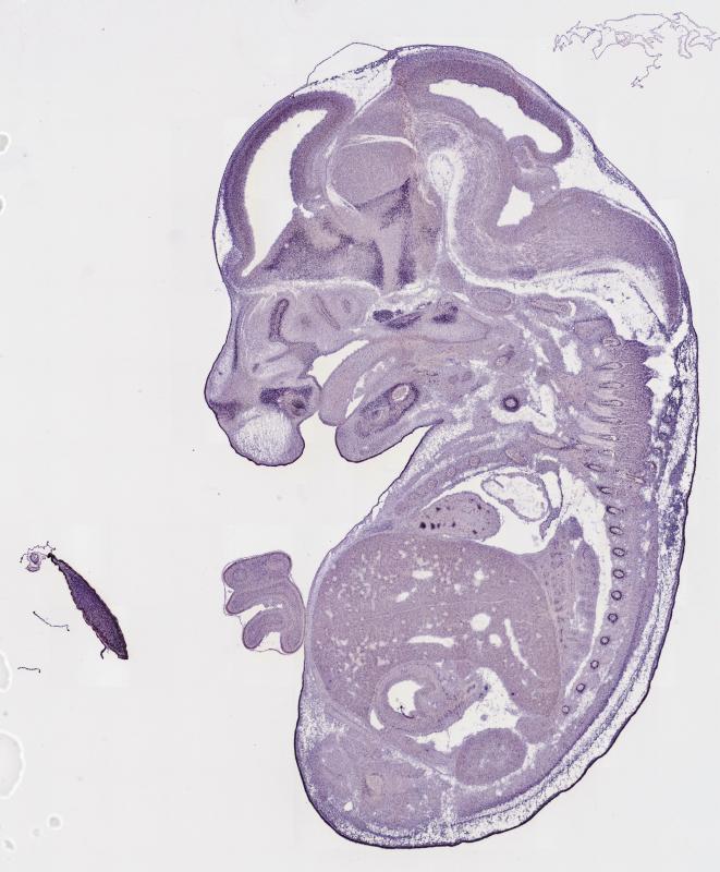
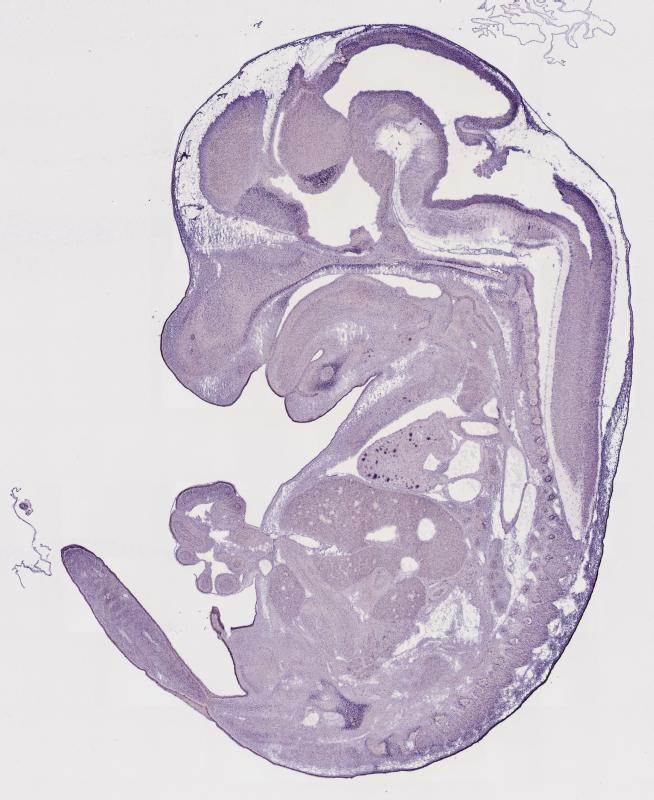
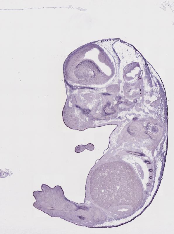
Specimen MH478; Specimen C1239: embryonic day 14.5 (more )
Structure Level Pattern Image Note
TS22: nervous system Strong Regionally restricted Embryo_C1239_4_2A
TS22: central nervous system Strong Regionally restricted Embryo_C1239_4_4D
TS22: telencephalon Strong Regionally restricted Embryo_C1239_4_2A
TS22: cerebral cortex Moderate Regionally restricted Embryo_C1239_4_5A
TS22: neocortex Moderate Regionally restricted Embryo_C1239_4_5A
TS22: olfactory cortex Weak Regionally restricted Embryo_C1239_4_3C
TS22: main olfactory bulb Weak Regionally restricted Embryo_C1239_4_3C
TS22: piriform cortex Weak Regionally restricted Embryo_C1239_4_2C
TS22: hippocampus Moderate Regionally restricted Embryo_C1239_4_5B
TS22: basal ganglia Strong Regionally restricted Embryo_C1239_4_2A
TS22: corpus striatum Strong Regionally restricted Embryo_C1239_4_2A Expression was strong in the corpus striatum (lateral ganglionic eminence).
TS22: basal forebrain Weak Regionally restricted Embryo_C1239_4_5B
TS22: amygdala Absent
TS22: telencephalon septum Moderate Regionally restricted Embryo_C1239_4_4D
TS22: pallidum Moderate Regionally restricted Embryo_C1239_4_3C Expression was detected in the pallidum (medial ganglionic eminence).
TS22: diencephalon Strong Regionally restricted Embryo_C1239_4_4D
TS22: thalamus Strong Regionally restricted Embryo_C1239_4_4D
TS22: hypothalamus Strong Regionally restricted Embryo_C1239_4_4C
TS22: midbrain Strong Regionally restricted Embryo_C1239_4_4A
TS22: pretectum Moderate Regionally restricted Embryo_C1239_4_4B
TS22: superior colliculus Moderate Regionally restricted Embryo_C1239_4_4B
TS22: inferior colliculus Strong Regionally restricted Embryo_C1239_4_4A
TS22: midbrain tegmentum Moderate Regionally restricted Embryo_C1239_4_4B
TS22: hindbrain Moderate Regionally restricted Embryo_C1239_4_4B
TS22: cerebellum Weak Regionally restricted Embryo_C1239_4_4B
TS22: pons Weak Regionally restricted Embryo_C1239_4_4B
TS22: medulla oblongata Moderate Regionally restricted Embryo_C1239_4_4B
TS22: spinal cord Moderate Regionally restricted Embryo_C1239_4_3C
TS22: choroid plexus Moderate Regionally restricted Embryo_C1239_4_4A
TS22: meninges Moderate Regionally restricted Embryo_C1239_4_4A
TS22: peripheral nervous system Weak Regionally restricted Embryo_C1239_4_6A
TS22: cranial ganglion Weak Regionally restricted Embryo_C1239_4_6A
TS22: dorsal root ganglion Weak Regionally restricted Embryo_C1239_4_4B
TS22: eye Weak Regionally restricted Embryo_C1239_4_1B
TS22: retina Absent
TS22: lens Absent
TS22: cornea Weak Regionally restricted Embryo_C1239_4_1B
TS22: optic nerve Weak Regionally restricted Embryo_C1239_4_6A
TS22: nose Moderate Regionally restricted Embryo_C1239_4_5A
TS22: olfactory epithelium Moderate Regionally restricted Embryo_C1239_4_5A
TS22: ear Strong Regionally restricted Embryo_C1239_4_2A
TS22: inner ear Strong Regionally restricted Embryo_C1239_4_2A
TS22: cochlea Weak Regionally restricted Embryo_C1239_4_3B
TS22: inner ear labyrinth Strong Regionally restricted Embryo_C1239_4_2A
TS22: middle ear Absent
TS22: alimentary system Strong Regionally restricted Embryo_C1239_4_4A Expression was strong in the digestive system.
TS22: intestine Absent
TS22: salivary gland Weak Regionally restricted Embryo_C1239_4_3A
TS22: tongue Strong Regionally restricted Embryo_C1239_4_4A
TS22: tooth Moderate Regionally restricted Embryo_C1239_4_4D
TS22: palatal shelf Absent
TS22: esophagus Weak Regionally restricted Embryo_C1239_4_4A
TS22: stomach Weak Regionally restricted Embryo_C1239_4_6A
TS22: liver Absent
TS22: respiratory system Moderate Regionally restricted Embryo_C1239_4_3A
TS22: pharynx Weak Regionally restricted Embryo_C1239_4_4A
TS22: larynx Weak Regionally restricted Embryo_C1239_4_4A
TS22: trachea Absent
TS22: main bronchus Absent
TS22: lung Moderate Regionally restricted Embryo_C1239_4_3A
TS22: urinary system Strong Regionally restricted Embryo_C1239_4_3C Expression was strong in the genito-urinary system.
TS22: metanephros Absent
TS22: ureter Weak Regionally restricted Embryo_C1239_4_3D
TS22: bladder Absent
TS22: urethra Weak Regionally restricted Embryo_C1239_4_3D
TS22: reproductive system Strong Regionally restricted Embryo_C1239_4_3C
TS22: genital tubercle Strong Regionally restricted Embryo_C1239_4_3C
TS22: gonad Absent
TS22: gland Weak Regionally restricted Embryo_C1239_4_4B Expression was weak in the endocrine system.
TS22: thyroid gland Absent
TS22: pituitary gland Weak Regionally restricted Embryo_C1239_4_4B
TS22: pancreas Weak Regionally restricted Embryo_C1239_4_4B
TS22: adrenal gland Absent
TS22: cardiovascular system Moderate Regionally restricted Embryo_C1239_4_4C
TS22: heart Weak Regionally restricted Embryo_C1239_4_4A
TS22: heart atrium Weak Regionally restricted Embryo_C1239_4_4A
TS22: heart ventricle Weak Regionally restricted Embryo_C1239_4_3A
TS22: blood vessel Moderate Regionally restricted Embryo_C1239_4_4C
TS22: hemolymphoid system Weak Regionally restricted Embryo_C1239_4_4B Expression was weak in the immune system.
TS22: spleen primordium Absent
TS22: thymus primordium Weak Regionally restricted Embryo_C1239_4_4B
TS22: appendicular skeleton Moderate Regionally restricted Embryo_C1239_4_4B Expression was detected in the skeleton (limbs, shoulder, hip).
TS22: musculature Absent
TS22: face Strong Regionally restricted Embryo_C1239_4_5A Expression was strong in the face/soft tissues.
TS22: facial bone primordium Absent
TS22: cranium Moderate Regionally restricted Embryo_C1239_4_3D Expression was detected in the skull (base and vault).
TS22: axial skeleton Strong Regionally restricted Embryo_C1239_4_6A
TS22: tail Strong Regionally restricted Embryo_C1239_4_4A
TS22: forelimb Strong Regionally restricted Embryo_C1239_4_1B
TS22: hindlimb Strong Regionally restricted Embryo_C1239_4_6C
TS22: integumental system Strong Regionally restricted Embryo_C1239_4_4B
TS22: skin Strong Regionally restricted Embryo_C1239_4_4B
TS22: hair Moderate Regionally restricted Embryo_C1239_4_2A
TS22: vibrissa follicle Moderate Regionally restricted Embryo_C1239_4_2A Expression was detected in whisker follicle.


Contributing Projects:
Mouse Genome Database (MGD), Gene Expression Database (GXD), Mouse Models of Human Cancer database (MMHCdb) (formerly Mouse Tumor Biology (MTB)), Gene Ontology (GO)
Citing These Resources
Funding Information
Warranty Disclaimer, Privacy Notice, Licensing, & Copyright
Send questions and comments to User Support.
last database update
03/24/2026
MGI 6.24
The Jackson Laboratory