About   Help   FAQ
Gene Expression Data
Assay Details
Assay
Reference: J:122989 Visel A, et al., GenePaint.org: an atlas of gene expression patterns in the mouse embryo. Nucleic Acids Res. 2004 Jan 1;32(Database issue):D552-6
Assay type: RNA in situ
MGI Accession ID: MGI:5421010
Gene symbol: Spast
Gene name: spastin
Probe: MH403 probe 282
Probe preparation: Antisense labelled with digoxigenin RNA
Visualized with: Alkaline phosphatase
Assay notes: Cryosections of fresh frozen material were fixed in 4% paraformaldehyde for 20 min. before further processing. A tyramide-biotin/streptavidin amplification step was included in the in situ hybridization procedure. These data were downloaded from GenePaint.org on 1/30/12.
Results
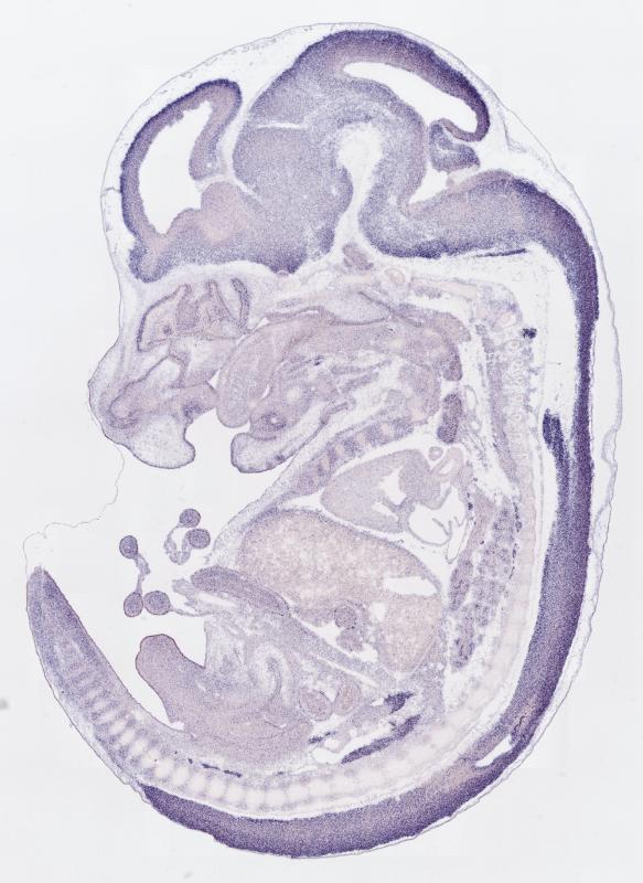
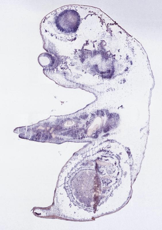
Specimen MH403; Specimen C1095: embryonic day 14.5 (more )
Structure Level Pattern Image Note
TS22: nervous system Strong Regionally restricted Embryo_C1095_6_4A
TS22: central nervous system Strong Regionally restricted Embryo_C1095_6_4A
TS22: telencephalon Strong Regionally restricted Embryo_C1095_6_5B
TS22: cerebral cortex Strong Regionally restricted Embryo_C1095_6_5B
TS22: neocortex Strong Regionally restricted Embryo_C1095_6_5B
TS22: olfactory cortex Moderate Regionally restricted Embryo_C1095_6_3C
TS22: main olfactory bulb Moderate Regionally restricted Embryo_C1095_6_3C
TS22: piriform cortex Moderate Regionally restricted Embryo_C1095_6_5D
TS22: hippocampus Strong Regionally restricted Embryo_C1095_6_2A
TS22: basal ganglia Moderate Regionally restricted Embryo_C1095_6_4A
TS22: corpus striatum Moderate Regionally restricted Embryo_C1095_6_2A Expression was detected in the corpus striatum (lateral ganglionic eminence).
TS22: basal forebrain Weak Regionally restricted Embryo_C1095_6_5A
TS22: amygdala Moderate Regionally restricted Embryo_C1095_6_1B
TS22: telencephalon septum Moderate Regionally restricted Embryo_C1095_6_4A
TS22: pallidum Weak Regionally restricted Embryo_C1095_6_4D Expression was weak in the pallidum (medial ganglionic eminence).
TS22: diencephalon Strong Regionally restricted Embryo_C1095_6_4A
TS22: thalamus Moderate Regionally restricted Embryo_C1095_6_4A
TS22: hypothalamus Strong Regionally restricted Embryo_C1095_6_4A
TS22: midbrain Strong Regionally restricted Embryo_C1095_6_4A
TS22: pretectum Moderate Regionally restricted Embryo_C1095_6_4A
TS22: superior colliculus Strong Regionally restricted Embryo_C1095_6_4B
TS22: inferior colliculus Strong Regionally restricted Embryo_C1095_6_4A
TS22: midbrain tegmentum Moderate Regionally restricted Embryo_C1095_6_4A
TS22: hindbrain Strong Regionally restricted Embryo_C1095_6_4A
TS22: cerebellum Strong Regionally restricted Embryo_C1095_6_4A
TS22: pons Moderate Regionally restricted Embryo_C1095_6_2C
TS22: medulla oblongata Strong Regionally restricted Embryo_C1095_6_5A
TS22: spinal cord Strong Regionally restricted Embryo_C1095_6_4A
TS22: choroid plexus Absent
TS22: meninges Absent
TS22: peripheral nervous system Strong Regionally restricted Embryo_C1095_6_5A
TS22: cranial ganglion Strong Regionally restricted Embryo_C1095_6_3A
TS22: dorsal root ganglion Strong Regionally restricted Embryo_C1095_6_5A
TS22: eye Moderate Regionally restricted Embryo_C1095_6_1C
TS22: retina Moderate Regionally restricted Embryo_C1095_6_1C
TS22: lens Weak Regionally restricted Embryo_C1095_6_1B
TS22: cornea Moderate Regionally restricted Embryo_C1095_6_1A
TS22: optic nerve Moderate Regionally restricted Embryo_C1095_6_3B
TS22: nose Moderate Regionally restricted Embryo_C1095_6_4A
TS22: olfactory epithelium Moderate Regionally restricted Embryo_C1095_6_4A
TS22: ear Strong Regionally restricted Embryo_C1095_6_2C
TS22: inner ear Strong Regionally restricted Embryo_C1095_6_2C
TS22: cochlea Strong Regionally restricted Embryo_C1095_6_2C
TS22: inner ear labyrinth Moderate Regionally restricted Embryo_C1095_6_1C
TS22: middle ear Weak Regionally restricted Embryo_C1095_6_1A
TS22: alimentary system Moderate Regionally restricted Embryo_C1095_6_3A Expression was detected in the digestive system.
TS22: intestine Moderate Regionally restricted Embryo_C1095_6_5A
TS22: salivary gland Moderate Regionally restricted Embryo_C1095_6_3A
TS22: tongue Weak Regionally restricted Embryo_C1095_6_4C
TS22: tooth Moderate Regionally restricted Embryo_C1095_6_5A
TS22: palatal shelf Absent
TS22: esophagus Moderate Regionally restricted Embryo_C1095_6_4B
TS22: stomach Moderate Regionally restricted Embryo_C1095_6_2B
TS22: liver Weak Regionally restricted Embryo_C1095_6_2A
TS22: respiratory system Moderate Regionally restricted Embryo_C1095_6_5B
TS22: pharynx Weak Regionally restricted Embryo_C1095_6_4A
TS22: larynx Weak Regionally restricted Embryo_C1095_6_4A
TS22: trachea Weak Regionally restricted Embryo_C1095_6_4B
TS22: main bronchus Absent
TS22: lung Moderate Regionally restricted Embryo_C1095_6_5B
TS22: urinary system Moderate Regionally restricted Embryo_C1095_6_3B Expression was detected in the genito-urinary system.
TS22: metanephros Moderate Regionally restricted Embryo_C1095_6_3B
TS22: ureter Weak Regionally restricted Embryo_C1095_6_5A
TS22: bladder Weak Regionally restricted Embryo_C1095_6_4C
TS22: urethra Absent
TS22: reproductive system Moderate Regionally restricted Embryo_C1095_6_4B
TS22: genital tubercle Moderate Regionally restricted Embryo_C1095_6_4B
TS22: gonad Weak Regionally restricted Embryo_C1095_6_3A
TS22: gland Moderate Regionally restricted Embryo_C1095_6_4A Expression was detected in the endocrine system.
TS22: thyroid gland Weak Regionally restricted Embryo_C1095_6_4D
TS22: pituitary gland Moderate Regionally restricted Embryo_C1095_6_4A
TS22: pancreas Absent
TS22: adrenal gland Weak Regionally restricted Embryo_C1095_6_3C
TS22: cardiovascular system Weak Regionally restricted Embryo_C1095_6_4C
TS22: heart Weak Regionally restricted Embryo_C1095_6_4C
TS22: heart atrium Weak Regionally restricted Embryo_C1095_6_4C
TS22: heart ventricle Weak Regionally restricted Embryo_C1095_6_4D
TS22: blood vessel Absent
TS22: hemolymphoid system Moderate Regionally restricted Embryo_C1095_6_4A Expression was detected in the immune system.
TS22: spleen primordium Weak Regionally restricted Embryo_C1095_6_2C
TS22: thymus primordium Moderate Regionally restricted Embryo_C1095_6_4A
TS22: appendicular skeleton Absent Expression was not detected in the skeleton (limbs, shoulder, hip).
TS22: musculature Moderate Regionally restricted Embryo_C1095_6_2C
TS22: face Moderate Regionally restricted Embryo_C1095_6_4A Expression was detected in the face/soft tissues.
TS22: facial bone primordium Absent
TS22: cranium Absent Expression was not detected in the skull (base and vault).
TS22: axial skeleton Absent
TS22: tail Moderate Regionally restricted Embryo_C1095_6_4A
TS22: forelimb Strong Regionally restricted Embryo_C1095_6_2C
TS22: hindlimb Strong Regionally restricted Embryo_C1095_6_2C
TS22: integumental system Strong Regionally restricted Embryo_C1095_6_2C
TS22: skin Strong Regionally restricted Embryo_C1095_6_2C
TS22: hair Moderate Regionally restricted Embryo_C1095_6_2B
TS22: vibrissa follicle Moderate Regionally restricted Embryo_C1095_6_2B Expression was detected in whisker follicle.


Contributing Projects:
Mouse Genome Database (MGD), Gene Expression Database (GXD), Mouse Models of Human Cancer database (MMHCdb) (formerly Mouse Tumor Biology (MTB)), Gene Ontology (GO)
Citing These Resources
Funding Information
Warranty Disclaimer, Privacy Notice, Licensing, & Copyright
Send questions and comments to User Support.
last database update
03/31/2026
MGI 6.24
The Jackson Laboratory