About   Help   FAQ
Gene Expression Data
Assay Details
Assay
Reference: J:122989 Visel A, et al., GenePaint.org: an atlas of gene expression patterns in the mouse embryo. Nucleic Acids Res. 2004 Jan 1;32(Database issue):D552-6
Assay type: RNA in situ
MGI Accession ID: MGI:5421005
Gene symbol: Pfkl
Gene name: phosphofructokinase, liver, B-type
Probe: MH395 probe 273
Probe preparation: Antisense labelled with digoxigenin RNA
Visualized with: Alkaline phosphatase
Assay notes: Cryosections of fresh frozen material were fixed in 4% paraformaldehyde for 20 min. before further processing. A tyramide-biotin/streptavidin amplification step was included in the in situ hybridization procedure. These data were downloaded from GenePaint.org on 1/30/12.
Results
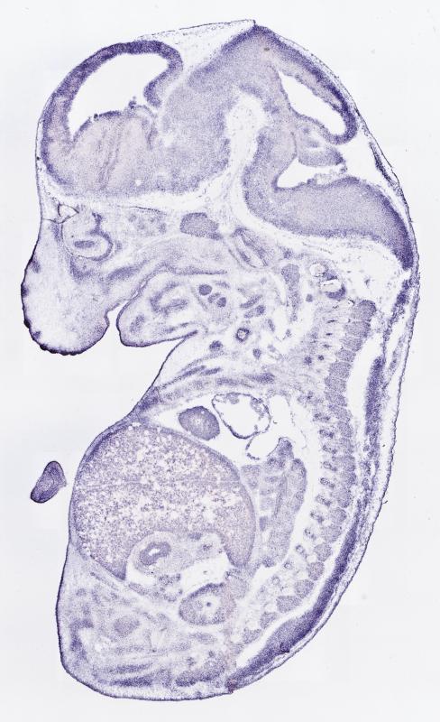
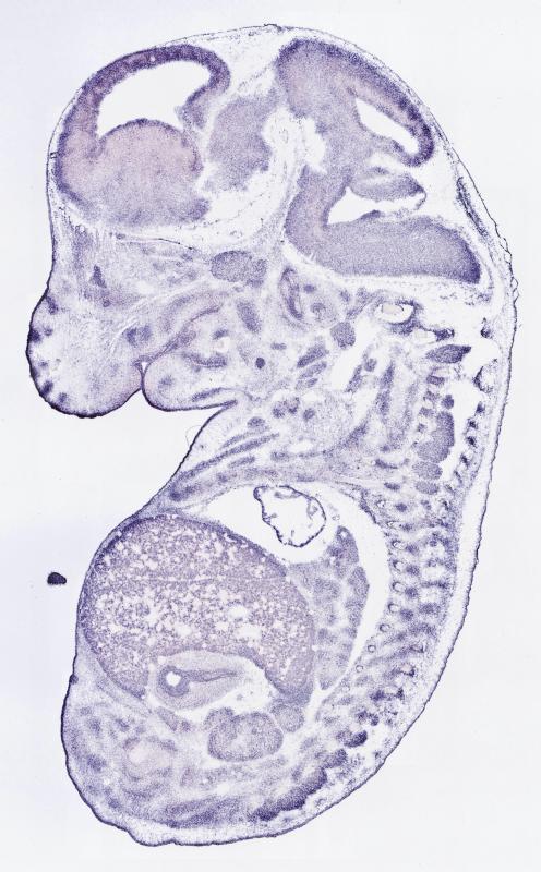
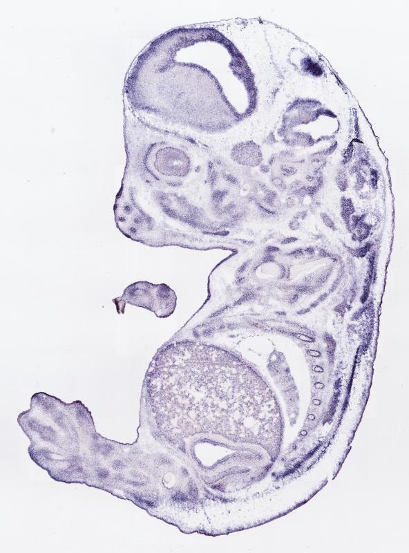
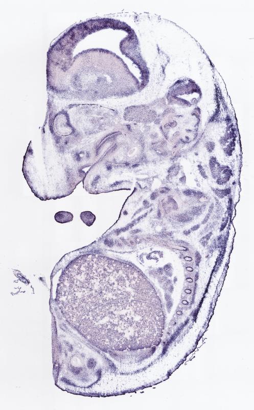
Specimen MH395; Specimen C1101: embryonic day 14.5 (more )
Structure Level Pattern Image Note
TS22: nervous system Strong Regionally restricted Embryo_C1101_8_3A
TS22: central nervous system Strong Regionally restricted Embryo_C1101_8_3A
TS22: telencephalon Strong Regionally restricted Embryo_C1101_8_3A
TS22: cerebral cortex Strong Regionally restricted Embryo_C1101_8_3A
TS22: neocortex Strong Regionally restricted Embryo_C1101_8_3A
TS22: olfactory cortex Moderate Regionally restricted Embryo_C1101_8_4C
TS22: main olfactory bulb Moderate Regionally restricted Embryo_C1101_8_4C
TS22: piriform cortex Moderate Regionally restricted Embryo_C1101_8_2C
TS22: hippocampus Moderate Regionally restricted Embryo_C1101_8_1C
TS22: basal ganglia Strong Regionally restricted Embryo_C1101_8_5A
TS22: corpus striatum Strong Regionally restricted Embryo_C1101_8_5A Expression was strong in the corpus striatum (lateral ganglionic eminence).
TS22: basal forebrain Absent
TS22: amygdala Moderate Regionally restricted Embryo_C1101_8_5A
TS22: telencephalon septum Moderate Regionally restricted Embryo_C1101_8_3C
TS22: pallidum Moderate Regionally restricted Embryo_C1101_8_3A Expression was detected in the pallidum (medial ganglionic eminence).
TS22: diencephalon Moderate Regionally restricted Embryo_C1101_8_3C
TS22: thalamus Moderate Regionally restricted Embryo_C1101_8_3C
TS22: hypothalamus Moderate Regionally restricted Embryo_C1101_8_3B
TS22: midbrain Strong Regionally restricted Embryo_C1101_8_3A
TS22: pretectum Moderate Regionally restricted Embryo_C1101_8_3C
TS22: superior colliculus Strong Regionally restricted Embryo_C1101_8_3B
TS22: inferior colliculus Strong Regionally restricted Embryo_C1101_8_3A
TS22: midbrain tegmentum Moderate Regionally restricted Embryo_C1101_8_4A
TS22: hindbrain Moderate Regionally restricted Embryo_C1101_8_3A
TS22: cerebellum Moderate Regionally restricted Embryo_C1101_8_3A
TS22: pons Moderate Regionally restricted Embryo_C1101_8_3D
TS22: medulla oblongata Moderate Regionally restricted Embryo_C1101_8_3A
TS22: spinal cord Strong Regionally restricted Embryo_C1101_8_3A
TS22: choroid plexus Moderate Regionally restricted Embryo_C1101_8_3A
TS22: meninges Weak Regionally restricted Embryo_C1101_8_5A
TS22: peripheral nervous system Moderate Regionally restricted Embryo_C1101_8_4B
TS22: cranial ganglion Moderate Regionally restricted Embryo_C1101_8_5A
TS22: dorsal root ganglion Moderate Regionally restricted Embryo_C1101_8_4B
TS22: eye Moderate Regionally restricted Embryo_C1101_8_1A
TS22: retina Moderate Regionally restricted Embryo_C1101_8_1A
TS22: lens Weak Regionally restricted Embryo_C1101_8_1A
TS22: cornea Weak Regionally restricted Embryo_C1101_8_1A
TS22: optic nerve Weak Regionally restricted Embryo_C1101_8_4C
TS22: nose Moderate Regionally restricted Embryo_C1101_8_3A
TS22: olfactory epithelium Moderate Regionally restricted Embryo_C1101_8_3A
TS22: ear Moderate Regionally restricted Embryo_C1101_8_2C
TS22: inner ear Moderate Regionally restricted Embryo_C1101_8_2C
TS22: cochlea Moderate Regionally restricted Embryo_C1101_8_2C
TS22: inner ear labyrinth Moderate Regionally restricted Embryo_C1101_8_5B
TS22: middle ear Moderate Regionally restricted Embryo_C1101_8_1A
TS22: alimentary system Strong Regionally restricted Embryo_C1101_8_4A Expression was strong in the digestive system.
TS22: intestine Moderate Regionally restricted Embryo_C1101_8_3B
TS22: salivary gland Moderate Regionally restricted Embryo_C1101_8_2C
TS22: tongue Strong Regionally restricted Embryo_C1101_8_4A
TS22: tooth Moderate Regionally restricted Embryo_C1101_8_4C
TS22: palatal shelf Weak Regionally restricted Embryo_C1101_8_4C
TS22: esophagus Moderate Regionally restricted Embryo_C1101_8_3B
TS22: stomach Moderate Regionally restricted Embryo_C1101_8_1A
TS22: liver Moderate Regionally restricted Embryo_C1101_8_5A
TS22: respiratory system Moderate Regionally restricted Embryo_C1101_8_4B
TS22: pharynx Weak Regionally restricted Embryo_C1101_8_3C
TS22: larynx Weak Regionally restricted Embryo_C1101_8_3C
TS22: trachea Weak Regionally restricted Embryo_C1101_8_3C
TS22: main bronchus Moderate Regionally restricted Embryo_C1101_8_4A
TS22: lung Moderate Regionally restricted Embryo_C1101_8_4B
TS22: urinary system Strong Regionally restricted Embryo_C1101_8_4A Expression was strong in the genito-urinary system.
TS22: metanephros Moderate Regionally restricted Embryo_C1101_8_2C
TS22: ureter Moderate Regionally restricted Embryo_C1101_8_4A
TS22: bladder Moderate Regionally restricted Embryo_C1101_8_4A
TS22: urethra Moderate Regionally restricted Embryo_C1101_8_4A
TS22: reproductive system Strong Regionally restricted Embryo_C1101_8_4A
TS22: genital tubercle Strong Regionally restricted Embryo_C1101_8_4A
TS22: gonad Moderate Regionally restricted Embryo_C1101_8_5A
TS22: gland Moderate Regionally restricted Embryo_C1101_8_3A Expression was detected in the endocrine system.
TS22: thyroid gland Weak Regionally restricted Embryo_C1101_8_4B
TS22: pituitary gland Moderate Regionally restricted Embryo_C1101_8_4A
TS22: pancreas Moderate Regionally restricted Embryo_C1101_8_3A
TS22: adrenal gland Weak Regionally restricted Embryo_C1101_8_2B
TS22: cardiovascular system Strong Regionally restricted Embryo_C1101_8_4A
TS22: heart Strong Regionally restricted Embryo_C1101_8_4A
TS22: heart atrium Strong Regionally restricted Embryo_C1101_8_4B
TS22: heart ventricle Strong Regionally restricted Embryo_C1101_8_4A
TS22: blood vessel Moderate Regionally restricted Embryo_C1101_8_4A
TS22: hemolymphoid system Strong Regionally restricted Embryo_C1101_8_4A Expression was strong in the immune system.
TS22: spleen primordium Weak Regionally restricted Embryo_C1101_8_1C
TS22: thymus primordium Strong Regionally restricted Embryo_C1101_8_4A
TS22: appendicular skeleton Strong Regionally restricted Embryo_C1101_8_4C Expression was strong in the skeleton (limbs, shoulder, hip).
TS22: musculature Strong Regionally restricted Embryo_C1101_8_1A
TS22: face Moderate Regionally restricted Embryo_C1101_8_4D Expression was detected in the face/soft tissues.
TS22: facial bone primordium Absent
TS22: cranium Absent Expression was not detected in the skull (base and vault).
TS22: axial skeleton Strong Regionally restricted Embryo_C1101_8_5B
TS22: tail Strong Regionally restricted Embryo_C1101_8_4A
TS22: forelimb Strong Regionally restricted Embryo_C1101_8_1A
TS22: hindlimb Strong Regionally restricted Embryo_C1101_8_1A
TS22: integumental system Strong Regionally restricted Embryo_C1101_8_4A
TS22: skin Strong Regionally restricted Embryo_C1101_8_4A
TS22: hair Strong Regionally restricted Embryo_C1101_8_5D
TS22: vibrissa follicle Strong Regionally restricted Embryo_C1101_8_5D Expression was strong in whisker follicle.


Contributing Projects:
Mouse Genome Database (MGD), Gene Expression Database (GXD), Mouse Models of Human Cancer database (MMHCdb) (formerly Mouse Tumor Biology (MTB)), Gene Ontology (GO)
Citing These Resources
Funding Information
Warranty Disclaimer, Privacy Notice, Licensing, & Copyright
Send questions and comments to User Support.
last database update
03/24/2026
MGI 6.24
The Jackson Laboratory