About   Help   FAQ
Gene Expression Data
Assay Details
Assay
Reference: J:122989 Visel A, et al., GenePaint.org: an atlas of gene expression patterns in the mouse embryo. Nucleic Acids Res. 2004 Jan 1;32(Database issue):D552-6
Assay type: RNA in situ
MGI Accession ID: MGI:5420999
Gene symbol: Ntm
Gene name: neurotrimin
Probe: MH383 probe 257
Probe preparation: Antisense labelled with digoxigenin RNA
Visualized with: Alkaline phosphatase
Assay notes: Cryosections of fresh frozen material were fixed in 4% paraformaldehyde for 20 min. before further processing. A tyramide-biotin/streptavidin amplification step was included in the in situ hybridization procedure. These data were downloaded from GenePaint.org on 1/30/12.
Results
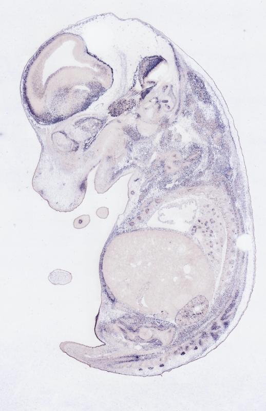
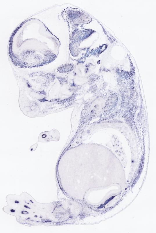
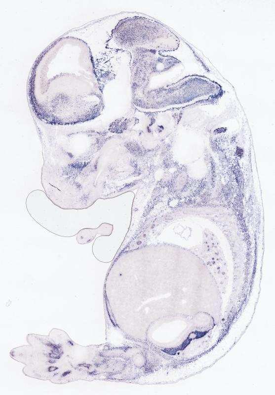
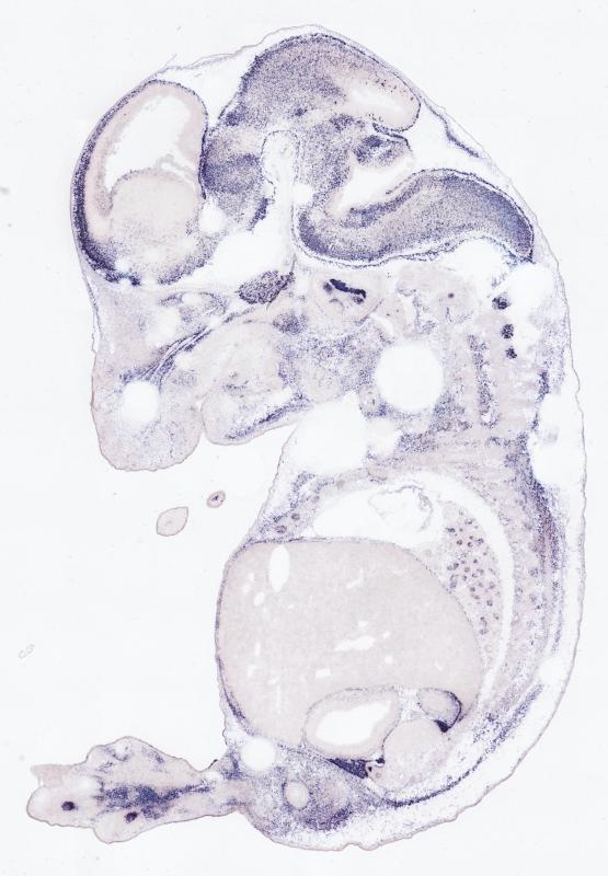
Specimen MH383; Specimen C1103: embryonic day 14.5 (more )
Structure Level Pattern Image Note
TS22: nervous system Strong Regionally restricted Embryo_C1103_8_4A
TS22: central nervous system Strong Regionally restricted Embryo_C1103_8_4A
TS22: telencephalon Strong Regionally restricted Embryo_C1103_8_2B
TS22: cerebral cortex Strong Regionally restricted Embryo_C1103_8_2B
TS22: neocortex Strong Regionally restricted Embryo_C1103_8_3A
TS22: olfactory cortex Strong Regionally restricted Embryo_C1103_8_2B
TS22: main olfactory bulb Strong Regionally restricted Embryo_C1103_8_2B
TS22: piriform cortex Strong Regionally restricted Embryo_C1103_8_2A
TS22: hippocampus Strong Regionally restricted Embryo_C1103_8_3A
TS22: basal ganglia Strong Regionally restricted Embryo_C1103_8_2D
TS22: corpus striatum Weak Regionally restricted Embryo_C1103_8_5B Expression was weak in the corpus striatum (lateral ganglionic eminence).
TS22: basal forebrain Strong Regionally restricted Embryo_C1103_8_2D
TS22: amygdala Moderate Regionally restricted Embryo_C1103_8_1C
TS22: telencephalon septum Strong Regionally restricted Embryo_C1103_8_3D
TS22: pallidum Absent Expression was not detected in the pallidum (medial ganglionic eminence).
TS22: diencephalon Strong Regionally restricted Embryo_C1103_8_4A
TS22: thalamus Strong Regionally restricted Embryo_C1103_8_4A
TS22: hypothalamus Strong Regionally restricted Embryo_C1103_8_4A
TS22: midbrain Strong Regionally restricted Embryo_C1103_8_4A
TS22: pretectum Strong Regionally restricted Embryo_C1103_8_3B
TS22: superior colliculus Strong Regionally restricted Embryo_C1103_8_4A
TS22: inferior colliculus Strong Regionally restricted Embryo_C1103_8_3A
TS22: midbrain tegmentum Strong Regionally restricted Embryo_C1103_8_4A
TS22: hindbrain Strong Regionally restricted Embryo_C1103_8_4A
TS22: cerebellum Moderate Regionally restricted Embryo_C1103_8_3A
TS22: pons Strong Regionally restricted Embryo_C1103_8_4A
TS22: medulla oblongata Strong Regionally restricted Embryo_C1103_8_4A
TS22: spinal cord Strong Regionally restricted Embryo_C1103_8_4A
TS22: choroid plexus Absent
TS22: meninges Strong Regionally restricted Embryo_C1103_8_3B
TS22: peripheral nervous system Strong Regionally restricted Embryo_C1103_8_2B
TS22: cranial ganglion Strong Regionally restricted Embryo_C1103_8_2B
TS22: dorsal root ganglion Strong Regionally restricted Embryo_C1103_8_2B
TS22: eye Weak Regionally restricted Embryo_C1103_8_1A
TS22: retina Weak Regionally restricted Embryo_C1103_8_1A
TS22: optic nerve Absent
TS22: nose Absent
TS22: olfactory epithelium Absent
TS22: ear Strong Regionally restricted Embryo_C1103_8_4D
TS22: inner ear Strong Regionally restricted Embryo_C1103_8_4D
TS22: cochlea Strong Regionally restricted Embryo_C1103_8_4D
TS22: inner ear labyrinth Moderate Regionally restricted Embryo_C1103_8_5A
TS22: middle ear Absent
TS22: alimentary system Strong Regionally restricted Embryo_C1103_8_3B Expression was strong in the digestive system.
TS22: intestine Moderate Regionally restricted Embryo_C1103_8_3A
TS22: salivary gland Absent
TS22: tongue Strong Regionally restricted Embryo_C1103_8_3B
TS22: tooth Moderate Regionally restricted Embryo_C1103_8_3D
TS22: palatal shelf Absent
TS22: esophagus Absent
TS22: stomach Weak Regionally restricted Embryo_C1103_8_5C
TS22: liver Weak Regionally restricted Embryo_C1103_8_5A
TS22: respiratory system Moderate Regionally restricted Embryo_C1103_8_5A
TS22: pharynx Absent
TS22: larynx Absent
TS22: trachea Weak Regionally restricted Embryo_C1103_8_3C
TS22: main bronchus Moderate Regionally restricted Embryo_C1103_8_4B
TS22: lung Moderate Regionally restricted Embryo_C1103_8_5A
TS22: urinary system Strong Regionally restricted Embryo_C1103_8_3A Expression was strong in the genito-urinary system.
TS22: metanephros Strong Regionally restricted Embryo_C1103_8_2B
TS22: ureter Absent
TS22: bladder Weak Regionally restricted Embryo_C1103_8_3C
TS22: urethra Weak Regionally restricted Embryo_C1103_8_3A
TS22: reproductive system Strong Regionally restricted Embryo_C1103_8_3A
TS22: genital tubercle Strong Regionally restricted Embryo_C1103_8_3A
TS22: gonad Absent
TS22: gland Moderate Regionally restricted Embryo_C1103_8_3C Expression was detected in the endocrine system.
TS22: thyroid gland Absent
TS22: pituitary gland Moderate Regionally restricted Embryo_C1103_8_3C
TS22: pancreas Absent
TS22: adrenal gland Absent
TS22: cardiovascular system Moderate Regionally restricted Embryo_C1103_8_3B
TS22: heart Moderate Regionally restricted Embryo_C1103_8_3B
TS22: heart atrium Moderate Regionally restricted Embryo_C1103_8_2D
TS22: heart ventricle Moderate Regionally restricted Embryo_C1103_8_3B
TS22: blood vessel Weak Regionally restricted Embryo_C1103_8_3B
TS22: hemolymphoid system Strong Regionally restricted Embryo_C1103_8_5B Expression was strong in the immune system.
TS22: spleen primordium Strong Regionally restricted Embryo_C1103_8_5B
TS22: thymus primordium Absent
TS22: appendicular skeleton Strong Regionally restricted Embryo_C1103_8_5C Expression was strong in the skeleton (limbs, shoulder, hip).
TS22: musculature Absent
TS22: face Strong Regionally restricted Embryo_C1103_8_3C Expression was strong in the face/soft tissues.
TS22: facial bone primordium Strong Regionally restricted Embryo_C1103_8_3C
TS22: cranium Weak Regionally restricted Embryo_C1103_8_3D Expression was weak in the skull (base and vault).
TS22: axial skeleton Strong Regionally restricted Embryo_C1103_8_2C
TS22: tail Strong Regionally restricted Embryo_C1103_8_3A
TS22: forelimb Strong Regionally restricted Embryo_C1103_8_5C
TS22: hindlimb Strong Regionally restricted Embryo_C1103_8_5C
TS22: integumental system Strong Regionally restricted Embryo_C1103_8_2D
TS22: skin Strong Regionally restricted Embryo_C1103_8_2D
TS22: hair Absent
TS22: vibrissa follicle Absent Expression was not detected in whisker follicle.


Contributing Projects:
Mouse Genome Database (MGD), Gene Expression Database (GXD), Mouse Models of Human Cancer database (MMHCdb) (formerly Mouse Tumor Biology (MTB)), Gene Ontology (GO)
Citing These Resources
Funding Information
Warranty Disclaimer, Privacy Notice, Licensing, & Copyright
Send questions and comments to User Support.
last database update
01/28/2026
MGI 6.24
The Jackson Laboratory