About   Help   FAQ
Gene Expression Data
Assay Details
Assay
Reference: J:122989 Visel A, et al., GenePaint.org: an atlas of gene expression patterns in the mouse embryo. Nucleic Acids Res. 2004 Jan 1;32(Database issue):D552-6
Assay type: RNA in situ
MGI Accession ID: MGI:5420998
Gene symbol: Svop
Gene name: SV2 related protein
Probe: MH382 probe 319
Probe preparation: Antisense labelled with digoxigenin RNA
Visualized with: Alkaline phosphatase
Assay notes: Cryosections of fresh frozen material were fixed in 4% paraformaldehyde for 20 min. before further processing. A tyramide-biotin/streptavidin amplification step was included in the in situ hybridization procedure. These data were downloaded from GenePaint.org on 1/30/12.
Results
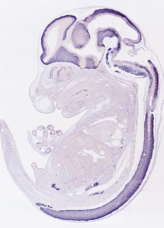
Specimen MH382; Specimen C997: embryonic day 14.5 (more )
Structure Level Pattern Image Note
TS22: nervous system Strong Regionally restricted Embryo_C997_3_3D
TS22: central nervous system Strong Regionally restricted Embryo_C997_3_3D
TS22: telencephalon Strong Regionally restricted Embryo_C997_3_2A
TS22: cerebral cortex Strong Regionally restricted Embryo_C997_3_2A
TS22: neocortex Strong Regionally restricted Embryo_C997_3_2A
TS22: olfactory cortex Moderate Regionally restricted Embryo_C997_3_2A
TS22: main olfactory bulb Moderate Regionally restricted Embryo_C997_3_2A
TS22: piriform cortex Moderate Regionally restricted Embryo_C997_3_1A
TS22: hippocampus Strong Regionally restricted Embryo_C997_3_2A
TS22: basal ganglia Moderate Regionally restricted Embryo_C997_3_1A
TS22: corpus striatum Moderate Regionally restricted Embryo_C997_3_1A Expression was detected in the corpus striatum (lateral ganglionic eminence).
TS22: basal forebrain Moderate Regionally restricted Embryo_C997_3_4B
TS22: amygdala Moderate Regionally restricted Embryo_C997_3_1A
TS22: telencephalon septum Moderate Regionally restricted Embryo_C997_3_3C
TS22: pallidum Moderate Regionally restricted Embryo_C997_3_2C Expression was detected in the pallidum (medial ganglionic eminence).
TS22: diencephalon Moderate Regionally restricted Embryo_C997_3_3D
TS22: thalamus Moderate Regionally restricted Embryo_C997_3_3D
TS22: hypothalamus Moderate Regionally restricted Embryo_C997_3_3D
TS22: midbrain Strong Regionally restricted Embryo_C997_3_3D
TS22: pretectum Strong Regionally restricted Embryo_C997_3_3D
TS22: superior colliculus Strong Regionally restricted Embryo_C997_3_3D
TS22: inferior colliculus Strong Regionally restricted Embryo_C997_3_3D
TS22: midbrain tegmentum Strong Regionally restricted Embryo_C997_3_3D
TS22: hindbrain Strong Regionally restricted Embryo_C997_3_3D
TS22: cerebellum Strong Regionally restricted Embryo_C997_3_3A
TS22: pons Strong Regionally restricted Embryo_C997_3_3D
TS22: medulla oblongata Strong Regionally restricted Embryo_C997_3_3D
TS22: spinal cord Strong Regionally restricted Embryo_C997_3_3A
TS22: choroid plexus Weak Regionally restricted Embryo_C997_3_3D
TS22: meninges Moderate Regionally restricted Embryo_C997_3_1A
TS22: peripheral nervous system Strong Regionally restricted Embryo_C997_3_2C
TS22: cranial ganglion Strong Regionally restricted Embryo_C997_3_2A
TS22: dorsal root ganglion Strong Regionally restricted Embryo_C997_3_2C
TS22: eye Absent
TS22: retina Absent
TS22: lens Absent
TS22: cornea Absent
TS22: optic nerve Absent
TS22: nose Moderate Regionally restricted Embryo_C997_3_2A
TS22: olfactory epithelium Moderate Regionally restricted Embryo_C997_3_2A
TS22: ear Strong Regionally restricted Embryo_C997_3_2C
TS22: inner ear Strong Regionally restricted Embryo_C997_3_2C
TS22: cochlea Strong Regionally restricted Embryo_C997_3_2C
TS22: inner ear labyrinth Moderate Scattered Embryo_C997_3_2B
TS22: middle ear Absent
TS22: alimentary system Strong Regionally restricted Embryo_C997_3_2A Expression was strong in the digestive system.
TS22: intestine Strong Regionally restricted Embryo_C997_3_2A
TS22: salivary gland Weak Scattered Embryo_C997_3_1D
TS22: tongue Strong Regionally restricted Embryo_C997_3_3A
TS22: tooth Weak Scattered Embryo_C997_3_3C
TS22: palatal shelf Weak Regionally restricted Embryo_C997_3_3A
TS22: esophagus Moderate Regionally restricted Embryo_C997_3_3C
TS22: stomach Moderate Regionally restricted Embryo_C997_3_5A
TS22: liver Absent
TS22: respiratory system Weak Regionally restricted Embryo_C997_3_2A
TS22: pharynx Absent
TS22: larynx Absent
TS22: trachea Absent
TS22: main bronchus Absent
TS22: lung Weak Regionally restricted Embryo_C997_3_2A
TS22: urinary system Weak Regionally restricted Embryo_C997_3_3A Expression was weak in the genito-urinary system.
TS22: metanephros Absent
TS22: ureter Weak Regionally restricted Embryo_C997_3_3C
TS22: bladder Absent
TS22: urethra Weak Regionally restricted Embryo_C997_3_3C
TS22: reproductive system Weak Regionally restricted Embryo_C997_3_3A
TS22: genital tubercle Weak Regionally restricted Embryo_C997_3_3A
TS22: gonad Absent
TS22: gland Weak Regionally restricted Embryo_C997_3_2C Expression was weak in the endocrine system.
TS22: thyroid gland Absent
TS22: pituitary gland Weak Regionally restricted Embryo_C997_3_3A
TS22: pancreas Weak Regionally restricted Embryo_C997_3_4C
TS22: adrenal gland Weak Regionally restricted Embryo_C997_3_2C
TS22: cardiovascular system Absent
TS22: heart Absent
TS22: heart atrium Absent
TS22: heart ventricle Absent
TS22: blood vessel Absent
TS22: hemolymphoid system Absent Expression was not detected in the immune system.
TS22: spleen primordium Absent
TS22: thymus primordium Absent
TS22: appendicular skeleton Weak Regionally restricted Embryo_C997_3_4C Expression was weak in the skeleton (limbs, shoulder, hip).
TS22: musculature Absent
TS22: face Weak Regionally restricted Embryo_C997_3_2A Expression was weak in the face/soft tissues.
TS22: facial bone primordium Absent
TS22: cranium Weak Regionally restricted Embryo_C997_3_3A Expression was weak in the skull (base and vault).
TS22: axial skeleton Weak Regionally restricted Embryo_C997_3_5A
TS22: tail Absent
TS22: forelimb Absent
TS22: hindlimb Absent
TS22: integumental system Absent
TS22: skin Absent
TS22: hair Absent
TS22: vibrissa follicle Absent Expression was not detected in whisker follicle.


Contributing Projects:
Mouse Genome Database (MGD), Gene Expression Database (GXD), Mouse Models of Human Cancer database (MMHCdb) (formerly Mouse Tumor Biology (MTB)), Gene Ontology (GO)
Citing These Resources
Funding Information
Warranty Disclaimer, Privacy Notice, Licensing, & Copyright
Send questions and comments to User Support.
last database update
03/24/2026
MGI 6.24
The Jackson Laboratory