About   Help   FAQ
Gene Expression Data
Assay Details
Assay
Reference: J:122989 Visel A, et al., GenePaint.org: an atlas of gene expression patterns in the mouse embryo. Nucleic Acids Res. 2004 Jan 1;32(Database issue):D552-6
Assay type: RNA in situ
MGI Accession ID: MGI:5420990
Gene symbol: Bmp4
Gene name: bone morphogenetic protein 4
Probe: MH365 probe 258
Probe preparation: Antisense labelled with digoxigenin RNA
Visualized with: Alkaline phosphatase
Assay notes: Cryosections of fresh frozen material were fixed in 4% paraformaldehyde for 20 min. before further processing. A tyramide-biotin/streptavidin amplification step was included in the in situ hybridization procedure. These data were downloaded from GenePaint.org on 1/30/12.
Results
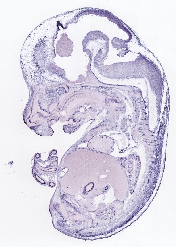
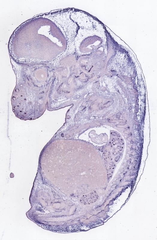
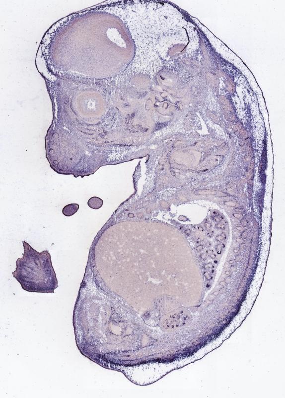
Specimen MH365; Specimen C1104: embryonic day 14.5 (more )
Structure Level Pattern Image Note
TS22: nervous system Strong Regionally restricted Embryo_C1104_3_4A
TS22: central nervous system Moderate Regionally restricted Embryo_C1104_3_3C
TS22: telencephalon Moderate Regionally restricted Embryo_C1104_3_3A
TS22: cerebral cortex Moderate Regionally restricted Embryo_C1104_3_3A
TS22: neocortex Moderate Regionally restricted Embryo_C1104_3_3A
TS22: olfactory cortex Weak Regionally restricted Embryo_C1104_3_3A
TS22: main olfactory bulb Weak Regionally restricted Embryo_C1104_3_3A
TS22: piriform cortex Absent
TS22: hippocampus Moderate Regionally restricted Embryo_C1104_3_3A
TS22: basal ganglia Weak Regionally restricted Embryo_C1104_3_3D
TS22: corpus striatum Weak Regionally restricted Embryo_C1104_3_2A Expression was weak in the corpus striatum (lateral ganglionic eminence).
TS22: basal forebrain Weak Regionally restricted Embryo_C1104_3_4B
TS22: amygdala Absent
TS22: telencephalon septum Weak Regionally restricted Embryo_C1104_3_3D
TS22: pallidum Weak Regionally restricted Embryo_C1104_3_3A Expression was weak in the pallidum (medial ganglionic eminence).
TS22: diencephalon Moderate Regionally restricted Embryo_C1104_3_3C
TS22: thalamus Weak Regionally restricted Embryo_C1104_3_3B
TS22: hypothalamus Moderate Regionally restricted Embryo_C1104_3_3C
TS22: midbrain Moderate Regionally restricted Embryo_C1104_3_3C
TS22: pretectum Weak Regionally restricted Embryo_C1104_3_3A
TS22: superior colliculus Moderate Regionally restricted Embryo_C1104_3_3C
TS22: inferior colliculus Moderate Regionally restricted Embryo_C1104_3_3C
TS22: midbrain tegmentum Moderate Regionally restricted Embryo_C1104_3_2C
TS22: hindbrain Moderate Regionally restricted Embryo_C1104_3_3C
TS22: cerebellum Weak Regionally restricted Embryo_C1104_3_4C
TS22: pons Moderate Regionally restricted Embryo_C1104_3_3C
TS22: medulla oblongata Moderate Regionally restricted Embryo_C1104_3_3C
TS22: spinal cord Moderate Regionally restricted Embryo_C1104_3_2A
TS22: choroid plexus Moderate Regionally restricted Embryo_C1104_3_4B
TS22: meninges Moderate Regionally restricted Embryo_C1104_3_3B
TS22: peripheral nervous system Weak Regionally restricted Embryo_C1104_3_1C
TS22: cranial ganglion Weak Regionally restricted Embryo_C1104_3_5A
TS22: dorsal root ganglion Weak Regionally restricted Embryo_C1104_3_1C
TS22: eye Absent
TS22: retina Absent
TS22: optic nerve Absent
TS22: nose Absent
TS22: olfactory epithelium Absent
TS22: ear Strong Regionally restricted Embryo_C1104_3_4A
TS22: inner ear Strong Regionally restricted Embryo_C1104_3_4A
TS22: cochlea Strong Regionally restricted Embryo_C1104_3_4A
TS22: inner ear labyrinth Moderate Regionally restricted Embryo_C1104_3_5C
TS22: middle ear Weak Regionally restricted Embryo_C1104_3_5D
TS22: alimentary system Strong Regionally restricted Embryo_C1104_3_2A Expression was strong in the digestive system.
TS22: intestine Strong Regionally restricted Embryo_C1104_3_2A
TS22: salivary gland Absent
TS22: tongue Moderate Regionally restricted Embryo_C1104_3_3A
TS22: tooth Strong Regionally restricted Embryo_C1104_3_3D
TS22: palatal shelf Weak Regionally restricted Embryo_C1104_3_4A
TS22: esophagus Moderate Regionally restricted Embryo_C1104_3_2D
TS22: stomach Strong Regionally restricted Embryo_C1104_3_5A
TS22: liver Moderate Scattered Embryo_C1104_3_4B
TS22: respiratory system Strong Regionally restricted Embryo_C1104_3_2A
TS22: pharynx Weak Regionally restricted Embryo_C1104_3_3A
TS22: larynx Moderate Regionally restricted Embryo_C1104_3_3A
TS22: trachea Moderate Regionally restricted Embryo_C1104_3_2D
TS22: main bronchus Moderate Regionally restricted Embryo_C1104_3_3B
TS22: lung Strong Regionally restricted Embryo_C1104_3_2A
TS22: urinary system Strong Regionally restricted Embryo_C1104_3_2C Expression was strong in the genito-urinary system.
TS22: metanephros Moderate Regionally restricted Embryo_C1104_3_1B
TS22: ureter Strong Regionally restricted Embryo_C1104_3_3A
TS22: bladder Moderate Regionally restricted Embryo_C1104_3_3A
TS22: urethra Weak Regionally restricted Embryo_C1104_3_2C
TS22: reproductive system Strong Regionally restricted Embryo_C1104_3_2C
TS22: genital tubercle Strong Regionally restricted Embryo_C1104_3_2C
TS22: gonad Weak Regionally restricted Embryo_C1104_3_1A
TS22: gland Weak Regionally restricted Embryo_C1104_3_3C Expression was weak in the endocrine system.
TS22: thyroid gland Absent
TS22: pituitary gland Weak Regionally restricted Embryo_C1104_3_3B
TS22: pancreas Absent
TS22: adrenal gland Weak Regionally restricted Embryo_C1104_3_3C
TS22: cardiovascular system Strong Regionally restricted Embryo_C1104_3_2C
TS22: heart Strong Regionally restricted Embryo_C1104_3_2C
TS22: heart atrium Moderate Regionally restricted Embryo_C1104_3_2D
TS22: heart ventricle Strong Regionally restricted Embryo_C1104_3_2C
TS22: blood vessel Strong Regionally restricted Embryo_C1104_3_2C
TS22: hemolymphoid system Weak Regionally restricted Embryo_C1104_3_3B Expression was weak in the immune system.
TS22: spleen primordium Absent
TS22: thymus primordium Weak Regionally restricted Embryo_C1104_3_3B
TS22: appendicular skeleton Absent Expression was not detected in the skeleton (limbs, shoulder, hip).
TS22: musculature Absent
TS22: face Strong Regionally restricted Embryo_C1104_3_3A Expression was strong in the face/soft tissues.
TS22: facial bone primordium Absent
TS22: cranium Absent Expression was not detected in the skull (base and vault).
TS22: axial skeleton Weak Regionally restricted Embryo_C1104_3_1A
TS22: tail Strong Regionally restricted Embryo_C1104_3_2B
TS22: forelimb Strong Regionally restricted Embryo_C1104_3_5D
TS22: hindlimb Strong Regionally restricted Embryo_C1104_3_5A
TS22: integumental system Strong Regionally restricted Embryo_C1104_3_5B
TS22: skin Strong Regionally restricted Embryo_C1104_3_2D
TS22: hair Strong Regionally restricted Embryo_C1104_3_5B
TS22: vibrissa follicle Strong Regionally restricted Embryo_C1104_3_5B Expression was strong in whisker follicle.


Contributing Projects:
Mouse Genome Database (MGD), Gene Expression Database (GXD), Mouse Models of Human Cancer database (MMHCdb) (formerly Mouse Tumor Biology (MTB)), Gene Ontology (GO)
Citing These Resources
Funding Information
Warranty Disclaimer, Privacy Notice, Licensing, & Copyright
Send questions and comments to User Support.
last database update
03/31/2026
MGI 6.24
The Jackson Laboratory