About   Help   FAQ
Gene Expression Data
Assay Details
Assay
Reference: J:122989 Visel A, et al., GenePaint.org: an atlas of gene expression patterns in the mouse embryo. Nucleic Acids Res. 2004 Jan 1;32(Database issue):D552-6
Assay type: RNA in situ
MGI Accession ID: MGI:5420983
Gene symbol: Pcbp3
Gene name: poly(rC) binding protein 3
Probe: MH351 probe 271
Probe preparation: Antisense labelled with digoxigenin RNA
Visualized with: Alkaline phosphatase
Assay notes: Cryosections of fresh frozen material were fixed in 4% paraformaldehyde for 20 min. before further processing. A tyramide-biotin/streptavidin amplification step was included in the in situ hybridization procedure. These data were downloaded from GenePaint.org on 1/30/12.
Results
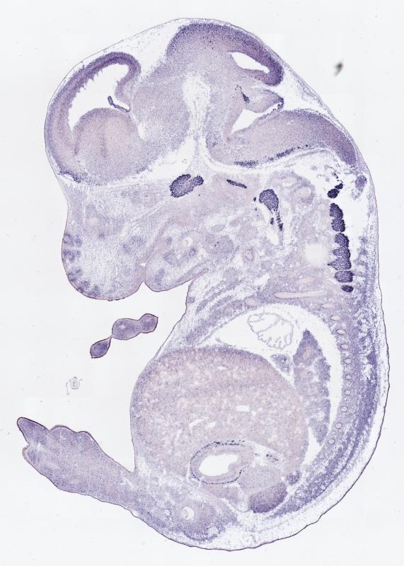
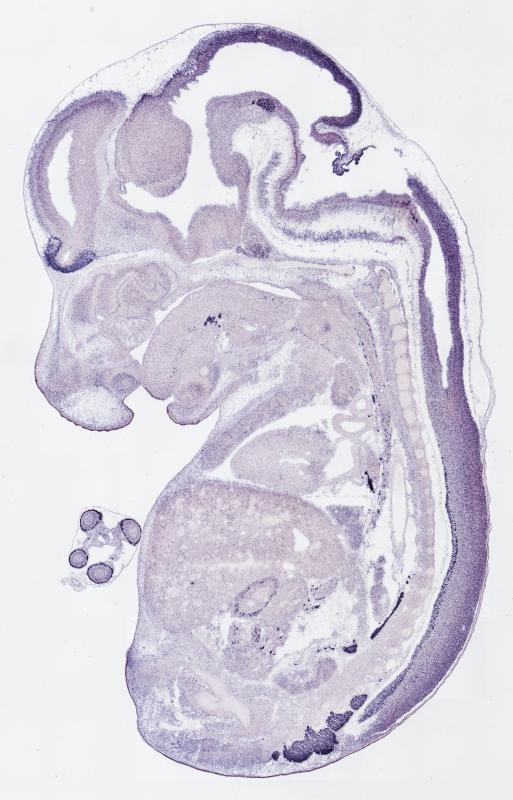
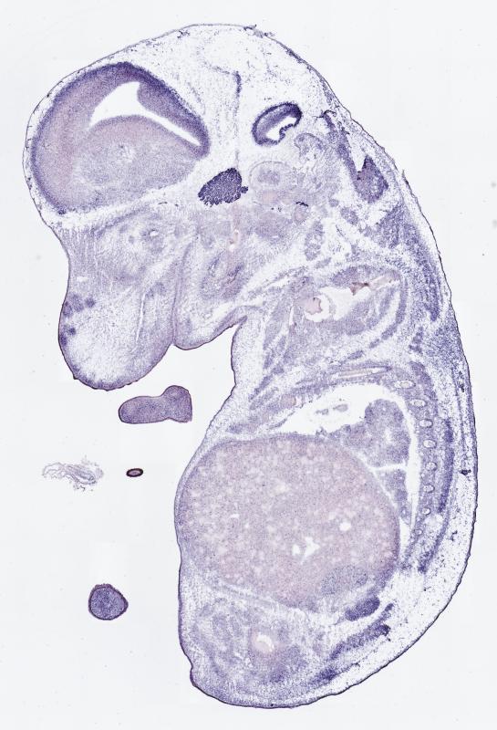
Specimen MH351; Specimen C1110: embryonic day 14.5 (more )
Structure Level Pattern Image Note
TS22: nervous system Strong Regionally restricted Embryo_C1110_7_2C
TS22: central nervous system Strong Regionally restricted Embryo_C1110_7_2C
TS22: telencephalon Strong Regionally restricted Embryo_C1110_7_2C
TS22: cerebral cortex Strong Regionally restricted Embryo_C1110_7_2C
TS22: neocortex Moderate Regionally restricted Embryo_C1110_7_2B
TS22: olfactory cortex Strong Regionally restricted Embryo_C1110_7_2C
TS22: main olfactory bulb Strong Regionally restricted Embryo_C1110_7_2C
TS22: piriform cortex Moderate Regionally restricted Embryo_C1110_7_1D
TS22: hippocampus Moderate Regionally restricted Embryo_C1110_7_2A
TS22: basal ganglia Weak Regionally restricted Embryo_C1110_7_3C
TS22: corpus striatum Weak Regionally restricted Embryo_C1110_7_5C Expression was weak in the corpus striatum (lateral ganglionic eminence).
TS22: basal forebrain Absent
TS22: amygdala Weak Regionally restricted Embryo_C1110_7_1D
TS22: telencephalon septum Weak Regionally restricted Embryo_C1110_7_3C
TS22: pallidum Weak Regionally restricted Embryo_C1110_7_4B Expression was weak in the pallidum (medial ganglionic eminence).
TS22: diencephalon Strong Regionally restricted Embryo_C1110_7_3C
TS22: thalamus Weak Regionally restricted Embryo_C1110_7_3D
TS22: hypothalamus Weak Regionally restricted Embryo_C1110_7_3B
TS22: midbrain Strong Regionally restricted Embryo_C1110_7_3D
TS22: pretectum Strong Regionally restricted Embryo_C1110_7_3C
TS22: superior colliculus Strong Regionally restricted Embryo_C1110_7_3D
TS22: inferior colliculus Strong Regionally restricted Embryo_C1110_7_3D
TS22: midbrain tegmentum Strong Regionally restricted Embryo_C1110_7_4A
TS22: hindbrain Strong Regionally restricted Embryo_C1110_7_3A
TS22: cerebellum Strong Regionally restricted Embryo_C1110_7_4D
TS22: pons Strong Regionally restricted Embryo_C1110_7_5B
TS22: medulla oblongata Strong Regionally restricted Embryo_C1110_7_3A
TS22: spinal cord Strong Regionally restricted Embryo_C1110_7_3A
TS22: choroid plexus Strong Regionally restricted Embryo_C1110_7_3C
TS22: meninges Weak Regionally restricted Embryo_C1110_7_5A
TS22: peripheral nervous system Strong Regionally restricted Embryo_C1110_7_2D
TS22: cranial ganglion Strong Regionally restricted Embryo_C1110_7_2D
TS22: dorsal root ganglion Strong Regionally restricted Embryo_C1110_7_2D
TS22: eye Strong Regionally restricted Embryo_C1110_7_1A
TS22: retina Strong Regionally restricted Embryo_C1110_7_1A
TS22: optic nerve Absent
TS22: nose Weak Regionally restricted Embryo_C1110_7_3C
TS22: olfactory epithelium Weak Regionally restricted Embryo_C1110_7_3C
TS22: ear Strong Regionally restricted Embryo_C1110_7_2C
TS22: inner ear Strong Regionally restricted Embryo_C1110_7_2C
TS22: cochlea Strong Regionally restricted Embryo_C1110_7_2C
TS22: inner ear labyrinth Absent
TS22: middle ear Absent
TS22: alimentary system Strong Regionally restricted Embryo_C1110_7_2B Expression was strong in the digestive system.
TS22: intestine Strong Regionally restricted Embryo_C1110_7_2B
TS22: salivary gland Strong Regionally restricted Embryo_C1110_7_4C
TS22: tongue Strong Regionally restricted Embryo_C1110_7_3A
TS22: tooth Weak Regionally restricted Embryo_C1110_7_3D
TS22: palatal shelf Absent
TS22: esophagus Strong Regionally restricted Embryo_C1110_7_3C
TS22: stomach Strong Regionally restricted Embryo_C1110_7_5A
TS22: liver Weak Regionally restricted Embryo_C1110_7_5A
TS22: respiratory system Moderate Regionally restricted Embryo_C1110_7_4B
TS22: pharynx Absent
TS22: larynx Weak Regionally restricted Embryo_C1110_7_3C
TS22: trachea Weak Regionally restricted Embryo_C1110_7_3C
TS22: main bronchus Weak Regionally restricted Embryo_C1110_7_4A
TS22: lung Moderate Regionally restricted Embryo_C1110_7_4B
TS22: urinary system Strong Regionally restricted Embryo_C1110_7_3B Expression was strong in the genito-urinary system.
TS22: metanephros Weak Regionally restricted Embryo_C1110_7_4A
TS22: ureter Absent
TS22: bladder Weak Regionally restricted Embryo_C1110_7_3A
TS22: urethra Absent
TS22: reproductive system Strong Regionally restricted Embryo_C1110_7_3B
TS22: genital tubercle Strong Regionally restricted Embryo_C1110_7_3B
TS22: gonad Weak Regionally restricted Embryo_C1110_7_1C
TS22: gland Moderate Regionally restricted Embryo_C1110_7_2C Expression was detected in the endocrine system.
TS22: thyroid gland Weak Regionally restricted Embryo_C1110_7_3A
TS22: pituitary gland Moderate Regionally restricted Embryo_C1110_7_3C
TS22: pancreas Absent
TS22: adrenal gland Moderate Regionally restricted Embryo_C1110_7_2C
TS22: cardiovascular system Strong Regionally restricted Embryo_C1110_7_3B
TS22: heart Strong Regionally restricted Embryo_C1110_7_3B
TS22: heart atrium Strong Regionally restricted Embryo_C1110_7_3B
TS22: heart ventricle Absent
TS22: blood vessel Absent
TS22: hemolymphoid system Weak Regionally restricted Embryo_C1110_7_3A Expression was weak in the immune system.
TS22: spleen primordium Weak Regionally restricted Embryo_C1110_7_5B
TS22: thymus primordium Weak Regionally restricted Embryo_C1110_7_3A
TS22: appendicular skeleton Absent Expression was not detected in the skeleton (limbs, shoulder, hip).
TS22: musculature Moderate Regionally restricted Embryo_C1110_7_1A
TS22: face Weak Regionally restricted Embryo_C1110_7_2B Expression was weak in the face/soft tissues.
TS22: facial bone primordium Absent
TS22: cranium Absent Expression was not detected in the skull (base and vault).
TS22: axial skeleton Absent
TS22: tail Strong Regionally restricted Embryo_C1110_7_3A
TS22: forelimb Strong Regionally restricted Embryo_C1110_7_1A
TS22: hindlimb Strong Regionally restricted Embryo_C1110_7_1A
TS22: integumental system Strong Regionally restricted Embryo_C1110_7_4A
TS22: skin Strong Regionally restricted Embryo_C1110_7_4A
TS22: hair Moderate Regionally restricted Embryo_C1110_7_1A
TS22: vibrissa follicle Moderate Regionally restricted Embryo_C1110_7_1A Expression was detected in whisker follicle.


Contributing Projects:
Mouse Genome Database (MGD), Gene Expression Database (GXD), Mouse Models of Human Cancer database (MMHCdb) (formerly Mouse Tumor Biology (MTB)), Gene Ontology (GO)
Citing These Resources
Funding Information
Warranty Disclaimer, Privacy Notice, Licensing, & Copyright
Send questions and comments to User Support.
last database update
12/30/2025
MGI 6.24
The Jackson Laboratory