About   Help   FAQ
Gene Expression Data
Assay Details
Assay
Reference: J:122989 Visel A, et al., GenePaint.org: an atlas of gene expression patterns in the mouse embryo. Nucleic Acids Res. 2004 Jan 1;32(Database issue):D552-6
Assay type: RNA in situ
MGI Accession ID: MGI:5420939
Gene symbol: Elf2
Gene name: E74-like factor 2
Probe: T55037
Probe preparation: Antisense labelled with digoxigenin RNA
Visualized with: Alkaline phosphatase
Assay notes: Cryosections of fresh frozen material were fixed in 4% paraformaldehyde for 20 min. before further processing. A tyramide-biotin/streptavidin amplification step was included in the in situ hybridization procedure. These data were downloaded from GenePaint.org on 1/30/12.
Results
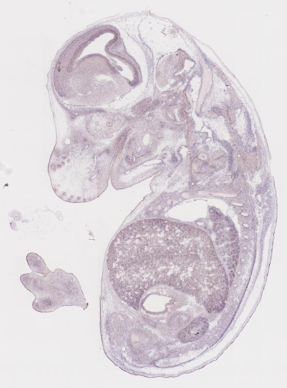
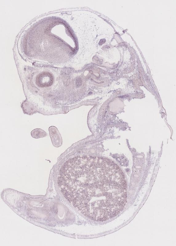
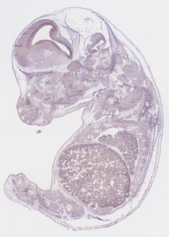
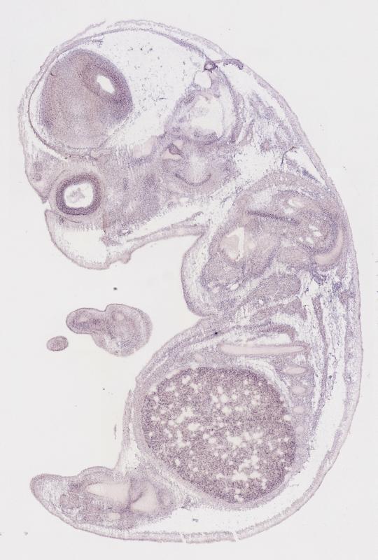
Specimen DA104; Specimen C1374: embryonic day 14.5 (more )
Structure Level Pattern Image Note
TS22: nervous system Moderate Regionally restricted Embryo_C1374_2_2B
TS22: central nervous system Moderate Regionally restricted Embryo_C1374_2_2B
TS22: telencephalon Moderate Regionally restricted Embryo_C1374_2_2B
TS22: cerebral cortex Moderate Regionally restricted Embryo_C1374_2_2B
TS22: neocortex Moderate Regionally restricted Embryo_C1374_2_2B
TS22: olfactory cortex Weak Regionally restricted Embryo_C1374_2_3B
TS22: main olfactory bulb Weak Regionally restricted Embryo_C1374_2_3B
TS22: piriform cortex Absent
TS22: hippocampus Moderate Regionally restricted Embryo_C1374_2_2B
TS22: basal ganglia Moderate Regionally restricted Embryo_C1374_2_1C
TS22: corpus striatum Weak Regionally restricted Embryo_C1374_2_2A Expression was weak in the corpus striatum (lateral ganglionic eminence).
TS22: basal forebrain Absent
TS22: amygdala Moderate Regionally restricted Embryo_C1374_2_1C
TS22: telencephalon septum Weak Regionally restricted Embryo_C1374_2_3C
TS22: pallidum Weak Regionally restricted Embryo_C1374_2_3B Expression was weak in the pallidum (medial ganglionic eminence).
TS22: diencephalon Absent
TS22: thalamus Absent
TS22: hypothalamus Absent
TS22: midbrain Moderate Regionally restricted Embryo_C1374_2_3B
TS22: pretectum Absent
TS22: superior colliculus Weak Regionally restricted Embryo_C1374_2_3C
TS22: inferior colliculus Moderate Regionally restricted Embryo_C1374_2_3B
TS22: midbrain tegmentum Absent
TS22: hindbrain Absent
TS22: cerebellum Absent
TS22: pons Absent
TS22: medulla oblongata Absent
TS22: spinal cord Absent
TS22: choroid plexus Absent
TS22: meninges Absent
TS22: peripheral nervous system Weak Regionally restricted Embryo_C1374_2_2B
TS22: cranial ganglion Weak Regionally restricted Embryo_C1374_2_2B
TS22: dorsal root ganglion Absent
TS22: eye Moderate Regionally restricted Embryo_C1374_2_1A
TS22: retina Moderate Regionally restricted Embryo_C1374_2_1A
TS22: lens Weak Regionally restricted Embryo_C1374_2_1A
TS22: cornea Absent
TS22: optic nerve Absent
TS22: nose Moderate Regionally restricted Embryo_C1374_2_3A
TS22: olfactory epithelium Moderate Regionally restricted Embryo_C1374_2_3A
TS22: ear Weak Regionally restricted Embryo_C1374_2_3B
TS22: inner ear Weak Regionally restricted Embryo_C1374_2_3B
TS22: cochlea Weak Regionally restricted Embryo_C1374_2_3B
TS22: inner ear labyrinth Weak Regionally restricted Embryo_C1374_2_2D
TS22: middle ear Weak Regionally restricted Embryo_C1374_2_1A
TS22: alimentary system Moderate Regionally restricted Embryo_C1374_2_4B Expression was detected in the digestive system.
TS22: intestine Weak Regionally restricted Embryo_C1374_2_4B
TS22: salivary gland Weak Regionally restricted Embryo_C1374_2_3B
TS22: tongue Weak Regionally restricted Embryo_C1374_2_4C
TS22: tooth Weak Regionally restricted Embryo_C1374_2_5B
TS22: palatal shelf Absent
TS22: esophagus Weak Regionally restricted Embryo_C1374_2_4B
TS22: stomach Weak Regionally restricted Embryo_C1374_2_6B
TS22: liver Moderate Regionally restricted Embryo_C1374_2_4B
TS22: respiratory system Moderate Regionally restricted Embryo_C1374_2_6B
TS22: pharynx Absent
TS22: larynx Weak Regionally restricted Embryo_C1374_2_4B
TS22: trachea Weak Regionally restricted Embryo_C1374_2_4B
TS22: main bronchus Absent
TS22: lung Moderate Regionally restricted Embryo_C1374_2_6B
TS22: urinary system Weak Regionally restricted Embryo_C1374_2_4B Expression was weak in the genito-urinary system.
TS22: metanephros Weak Regionally restricted Embryo_C1374_2_3C
TS22: ureter Absent
TS22: bladder Absent
TS22: urethra Absent
TS22: reproductive system Weak Regionally restricted Embryo_C1374_2_4B
TS22: genital tubercle Weak Regionally restricted Embryo_C1374_2_4B
TS22: gonad Absent
TS22: gland Moderate Regionally restricted Embryo_C1374_2_3C Expression was detected in the endocrine system.
TS22: thyroid gland Weak Regionally restricted Embryo_C1374_2_3C
TS22: pituitary gland Weak Regionally restricted Embryo_C1374_2_4B
TS22: pancreas Weak Regionally restricted Embryo_C1374_2_5C
TS22: adrenal gland Moderate Regionally restricted Embryo_C1374_2_3C
TS22: cardiovascular system Absent
TS22: heart Absent
TS22: heart atrium Absent
TS22: heart ventricle Absent
TS22: blood vessel Absent
TS22: hemolymphoid system Weak Regionally restricted Embryo_C1374_2_3C Expression was weak in the immune system.
TS22: spleen primordium Absent
TS22: thymus primordium Weak Regionally restricted Embryo_C1374_2_3C
TS22: appendicular skeleton Absent Expression was not detected in the skeleton (limbs, shoulder, hip).
TS22: musculature Absent
TS22: face Absent Expression was not detected in the face/soft tissues.
TS22: facial bone primordium Absent
TS22: cranium Absent Expression was not detected in the skull (base and vault).
TS22: axial skeleton Absent
TS22: tail Weak Regionally restricted Embryo_C1374_2_4B
TS22: forelimb Weak Regionally restricted Embryo_C1374_2_1B
TS22: hindlimb Weak Regionally restricted Embryo_C1374_2_2B
TS22: integumental system Weak Regionally restricted Embryo_C1374_2_2B
TS22: skin Weak Regionally restricted Embryo_C1374_2_2B
TS22: hair Weak Regionally restricted Embryo_C1374_2_2B
TS22: vibrissa follicle Weak Regionally restricted Embryo_C1374_2_2B Expression was weak in whisker follicle.


Contributing Projects:
Mouse Genome Database (MGD), Gene Expression Database (GXD), Mouse Models of Human Cancer database (MMHCdb) (formerly Mouse Tumor Biology (MTB)), Gene Ontology (GO)
Citing These Resources
Funding Information
Warranty Disclaimer, Privacy Notice, Licensing, & Copyright
Send questions and comments to User Support.
last database update
04/14/2026
MGI 6.24
The Jackson Laboratory