About   Help   FAQ
Gene Expression Data
Assay Details
Assay
Reference: J:122989 Visel A, et al., GenePaint.org: an atlas of gene expression patterns in the mouse embryo. Nucleic Acids Res. 2004 Jan 1;32(Database issue):D552-6
Assay type: RNA in situ
MGI Accession ID: MGI:5420924
Gene symbol: Pax7
Gene name: paired box 7
Probe: DA74 probe 73
Probe preparation: Antisense labelled with digoxigenin RNA
Visualized with: Alkaline phosphatase
Assay notes: Cryosections of fresh frozen material were fixed in 4% paraformaldehyde for 20 min. before further processing. A tyramide-biotin/streptavidin amplification step was included in the in situ hybridization procedure. These data were downloaded from GenePaint.org on 1/30/12.
Results
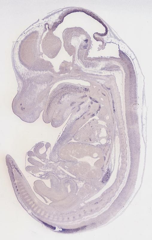
Specimen DA74; Specimen C1435: embryonic day 14.5 (more )
Structure Level Pattern Image Note
TS22: nervous system Strong Regionally restricted Embryo_C1435_1_3A
TS22: central nervous system Strong Regionally restricted Embryo_C1435_1_3A
TS22: telencephalon Weak Regionally restricted Embryo_C1435_1_5A
TS22: cerebral cortex Weak Regionally restricted Embryo_C1435_1_5A
TS22: neocortex Weak Regionally restricted Embryo_C1435_1_5A
TS22: olfactory cortex Weak Regionally restricted Embryo_C1435_1_3B
TS22: main olfactory bulb Weak Regionally restricted Embryo_C1435_1_3B
TS22: piriform cortex Absent
TS22: hippocampus Absent
TS22: basal ganglia Weak Regionally restricted Embryo_C1435_1_4A
TS22: corpus striatum Absent Expression was not detected in the corpus striatum (lateral ganglionic eminence).
TS22: basal forebrain Absent
TS22: amygdala Absent
TS22: telencephalon septum Weak Regionally restricted Embryo_C1435_1_4A
TS22: pallidum Absent Expression was not detected in the pallidum (medial ganglionic eminence).
TS22: diencephalon Moderate Regionally restricted Embryo_C1435_1_4C
TS22: thalamus Absent
TS22: hypothalamus Moderate Regionally restricted Embryo_C1435_1_4C
TS22: midbrain Strong Regionally restricted Embryo_C1435_1_4B
TS22: pretectum Moderate Regionally restricted Embryo_C1435_1_3D
TS22: superior colliculus Strong Regionally restricted Embryo_C1435_1_4B
TS22: inferior colliculus Moderate Regionally restricted Embryo_C1435_1_4A
TS22: midbrain tegmentum Weak Regionally restricted Embryo_C1435_1_4C
TS22: hindbrain Strong Regionally restricted Embryo_C1435_1_3A
TS22: cerebellum Moderate Regionally restricted Embryo_C1435_1_4A
TS22: pons Strong Regionally restricted Embryo_C1435_1_3A
TS22: medulla oblongata Weak Regionally restricted Embryo_C1435_1_4A
TS22: spinal cord Moderate Regionally restricted Embryo_C1435_1_4A
TS22: choroid plexus Weak Regionally restricted Embryo_C1435_1_5C
TS22: meninges Weak Regionally restricted Embryo_C1435_1_6B
TS22: peripheral nervous system Weak Regionally restricted Embryo_C1435_1_4C
TS22: cranial ganglion Absent
TS22: dorsal root ganglion Weak Regionally restricted Embryo_C1435_1_4C
TS22: eye Weak Regionally restricted Embryo_C1435_1_1A
TS22: retina Weak Regionally restricted Embryo_C1435_1_1A
TS22: lens Weak Regionally restricted Embryo_C1435_1_1A
TS22: cornea Absent
TS22: optic nerve Absent
TS22: nose Moderate Regionally restricted Embryo_C1435_1_5A
TS22: olfactory epithelium Moderate Regionally restricted Embryo_C1435_1_5A
TS22: ear Weak Regionally restricted Embryo_C1435_1_5A
TS22: inner ear Weak Regionally restricted Embryo_C1435_1_5A
TS22: cochlea Weak Regionally restricted Embryo_C1435_1_5A
TS22: inner ear labyrinth Absent
TS22: middle ear Absent
TS22: alimentary system Moderate Regionally restricted Embryo_C1435_1_4B Expression was detected in the digestive system.
TS22: intestine Weak Regionally restricted Embryo_C1435_1_4A
TS22: salivary gland Absent
TS22: tongue Moderate Regionally restricted Embryo_C1435_1_4B
TS22: tooth Absent
TS22: palatal shelf Absent
TS22: esophagus Weak Regionally restricted Embryo_C1435_1_4A
TS22: stomach Weak Regionally restricted Embryo_C1435_1_6A
TS22: liver Absent
TS22: respiratory system Moderate Regionally restricted Embryo_C1435_1_4A
TS22: pharynx Absent
TS22: larynx Moderate Regionally restricted Embryo_C1435_1_4A
TS22: trachea Absent
TS22: main bronchus Weak Regionally restricted Embryo_C1435_1_4B
TS22: lung Weak Regionally restricted Embryo_C1435_1_5A
TS22: urinary system Weak Regionally restricted Embryo_C1435_1_4A Expression was weak in the genito-urinary system.
TS22: metanephros Absent
TS22: ureter Absent
TS22: bladder Weak Regionally restricted Embryo_C1435_1_4A
TS22: urethra Weak Regionally restricted Embryo_C1435_1_4A
TS22: reproductive system Weak Regionally restricted Embryo_C1435_1_4A
TS22: genital tubercle Weak Regionally restricted Embryo_C1435_1_4A
TS22: gonad Absent
TS22: gland Weak Regionally restricted Embryo_C1435_1_4A Expression was weak in the endocrine system.
TS22: thyroid gland Absent
TS22: pituitary gland Weak Regionally restricted Embryo_C1435_1_4A
TS22: pancreas Absent
TS22: adrenal gland Absent
TS22: cardiovascular system Absent
TS22: heart Absent
TS22: heart atrium Absent
TS22: heart ventricle Absent
TS22: blood vessel Absent
TS22: hemolymphoid system Absent Expression was not detected in the immune system.
TS22: spleen primordium Absent
TS22: thymus primordium Absent
TS22: appendicular skeleton Weak Regionally restricted Embryo_C1435_1_6B Expression was weak in the skeleton (limbs, shoulder, hip).
TS22: musculature Moderate Regionally restricted Embryo_C1435_1_1C
TS22: face Moderate Regionally restricted Embryo_C1435_1_5A Expression was detected in the face/soft tissues.
TS22: facial bone primordium Weak Regionally restricted Embryo_C1435_1_3B
TS22: cranium Weak Regionally restricted Embryo_C1435_1_4B Expression was weak in the skull (base and vault).
TS22: axial skeleton Weak Regionally restricted Embryo_C1435_1_4B
TS22: tail Moderate Regionally restricted Embryo_C1435_1_4C
TS22: forelimb Moderate Regionally restricted Embryo_C1435_1_1A
TS22: hindlimb Moderate Regionally restricted Embryo_C1435_1_6B
TS22: integumental system Moderate Regionally restricted Embryo_C1435_1_4A
TS22: skin Moderate Regionally restricted Embryo_C1435_1_4A
TS22: hair Weak Regionally restricted Embryo_C1435_1_6B
TS22: vibrissa follicle Weak Regionally restricted Embryo_C1435_1_6B Expression was weak in whisker follicle.


Contributing Projects:
Mouse Genome Database (MGD), Gene Expression Database (GXD), Mouse Models of Human Cancer database (MMHCdb) (formerly Mouse Tumor Biology (MTB)), Gene Ontology (GO)
Citing These Resources
Funding Information
Warranty Disclaimer, Privacy Notice, Licensing, & Copyright
Send questions and comments to User Support.
last database update
12/30/2025
MGI 6.24
The Jackson Laboratory