About   Help   FAQ
Gene Expression Data
Assay Details
Assay
Reference: J:122989 Visel A, et al., GenePaint.org: an atlas of gene expression patterns in the mouse embryo. Nucleic Acids Res. 2004 Jan 1;32(Database issue):D552-6
Assay type: RNA in situ
MGI Accession ID: MGI:5420920
Gene symbol: Agpat3
Gene name: 1-acylglycerol-3-phosphate O-acyltransferase 3
Probe: MH1202 probe 980
Probe preparation: Antisense labelled with digoxigenin RNA
Visualized with: Alkaline phosphatase
Assay notes: Cryosections of fresh frozen material were fixed in 4% paraformaldehyde for 20 min. before further processing. A tyramide-biotin/streptavidin amplification step was included in the in situ hybridization procedure. These data were downloaded from GenePaint.org on 1/30/12.
Results
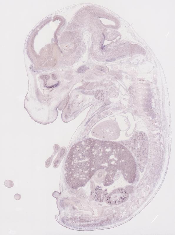
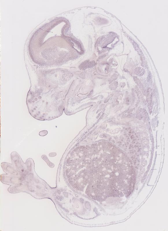
Specimen MH1202; Specimen C1582: embryonic day 14.5 (more )
Structure Level Pattern Image Note
TS22: nervous system Strong Regionally restricted Embryo_C1582_4_3B
TS22: central nervous system Moderate Regionally restricted Embryo_C1582_4_3A
TS22: telencephalon Weak Regionally restricted Embryo_C1582_4_6A
TS22: cerebral cortex Weak Regionally restricted Embryo_C1582_4_6A
TS22: neocortex Weak Regionally restricted Embryo_C1582_4_3A
TS22: olfactory cortex Weak Regionally restricted Embryo_C1582_4_4D
TS22: main olfactory bulb Weak Regionally restricted Embryo_C1582_4_4D
TS22: piriform cortex Weak Regionally restricted Embryo_C1582_4_6B
TS22: hippocampus Weak Regionally restricted Embryo_C1582_4_6A
TS22: basal ganglia Weak Regionally restricted Embryo_C1582_4_4B
TS22: corpus striatum Weak Regionally restricted Embryo_C1582_4_1B Expression was weak in the corpus striatum (lateral ganglionic eminence).
TS22: basal forebrain Absent
TS22: amygdala Weak Regionally restricted Embryo_C1582_4_2A
TS22: telencephalon septum Weak Regionally restricted Embryo_C1582_4_4B
TS22: pallidum Weak Regionally restricted Embryo_C1582_4_3B Expression was weak in the pallidum (medial ganglionic eminence).
TS22: diencephalon Weak Regionally restricted Embryo_C1582_4_4B
TS22: thalamus Weak Regionally restricted Embryo_C1582_4_4B
TS22: hypothalamus Weak Regionally restricted Embryo_C1582_4_4A
TS22: midbrain Weak Regionally restricted Embryo_C1582_4_4B
TS22: pretectum Weak Regionally restricted Embryo_C1582_4_4A
TS22: superior colliculus Absent
TS22: inferior colliculus Absent
TS22: midbrain tegmentum Weak Regionally restricted Embryo_C1582_4_4B
TS22: hindbrain Moderate Regionally restricted Embryo_C1582_4_3A
TS22: cerebellum Absent
TS22: pons Moderate Regionally restricted Embryo_C1582_4_3A
TS22: medulla oblongata Moderate Regionally restricted Embryo_C1582_4_3C
TS22: spinal cord Moderate Regionally restricted Embryo_C1582_4_4A
TS22: choroid plexus Weak Regionally restricted Embryo_C1582_4_2B
TS22: meninges Absent
TS22: peripheral nervous system Weak Regionally restricted Embryo_C1582_4_3A
TS22: cranial ganglion Weak Regionally restricted Embryo_C1582_4_2A
TS22: dorsal root ganglion Weak Regionally restricted Embryo_C1582_4_3A
TS22: eye Absent
TS22: retina Absent
TS22: lens Absent
TS22: optic nerve Absent
TS22: nose Strong Regionally restricted Embryo_C1582_4_3B
TS22: olfactory epithelium Strong Regionally restricted Embryo_C1582_4_3B
TS22: ear Moderate Regionally restricted Embryo_C1582_4_6A
TS22: inner ear Moderate Regionally restricted Embryo_C1582_4_6A
TS22: cochlea Moderate Regionally restricted Embryo_C1582_4_5B
TS22: inner ear labyrinth Moderate Regionally restricted Embryo_C1582_4_6A
TS22: middle ear Weak Regionally restricted Embryo_C1582_4_1A
TS22: alimentary system Moderate Regionally restricted Embryo_C1582_4_4A Expression was detected in the digestive system.
TS22: intestine Weak Regionally restricted Embryo_C1582_4_4A
TS22: salivary gland Weak Regionally restricted Embryo_C1582_4_2C
TS22: tongue Absent
TS22: tooth Moderate Regionally restricted Embryo_C1582_4_3C
TS22: palatal shelf Moderate Regionally restricted Embryo_C1582_4_4A
TS22: esophagus Absent
TS22: stomach Absent
TS22: liver Moderate Scattered Embryo_C1582_4_2B
TS22: respiratory system Weak Regionally restricted Embryo_C1582_4_4A
TS22: pharynx Weak Regionally restricted Embryo_C1582_4_4A
TS22: larynx Absent
TS22: trachea Absent
TS22: main bronchus Absent
TS22: lung Weak Regionally restricted Embryo_C1582_4_2A
TS22: urinary system Moderate Regionally restricted Embryo_C1582_4_5A Expression was detected in the genito-urinary system.
TS22: metanephros Moderate Regionally restricted Embryo_C1582_4_5A
TS22: ureter Absent
TS22: bladder Absent
TS22: urethra Weak Regionally restricted Embryo_C1582_4_4A
TS22: reproductive system Moderate Regionally restricted Embryo_C1582_4_3D
TS22: genital tubercle Moderate Regionally restricted Embryo_C1582_4_3D
TS22: gonad Absent
TS22: gland Moderate Regionally restricted Embryo_C1582_4_5A Expression was detected in the endocrine system.
TS22: thyroid gland Absent
TS22: pituitary gland Weak Regionally restricted Embryo_C1582_4_4A
TS22: pancreas Moderate Regionally restricted Embryo_C1582_4_5A
TS22: adrenal gland Absent
TS22: cardiovascular system Absent
TS22: heart Absent
TS22: heart atrium Absent
TS22: heart ventricle Absent
TS22: blood vessel Absent
TS22: hemolymphoid system Moderate Regionally restricted Embryo_C1582_4_3C Expression was detected in the immune system.
TS22: spleen primordium Absent
TS22: thymus primordium Moderate Regionally restricted Embryo_C1582_4_3C
TS22: appendicular skeleton Absent Expression was not detected in the skeleton (limbs, shoulder, hip).
TS22: musculature Weak Regionally restricted Embryo_C1582_4_6B
TS22: face Moderate Regionally restricted Embryo_C1582_4_3A Expression was detected in the face/soft tissues.
TS22: facial bone primordium Absent
TS22: cranium Absent Expression was not detected in the skull (base and vault).
TS22: axial skeleton Absent
TS22: tail Moderate Regionally restricted Embryo_C1582_4_3D
TS22: forelimb Moderate Regionally restricted Embryo_C1582_4_1B
TS22: hindlimb Moderate Regionally restricted Embryo_C1582_4_6C
TS22: integumental system Strong Regionally restricted Embryo_C1582_4_6B
TS22: skin Strong Regionally restricted Embryo_C1582_4_6B
TS22: hair Strong Regionally restricted Embryo_C1582_4_6C
TS22: vibrissa follicle Strong Regionally restricted Embryo_C1582_4_6C Expression was strong in whisker follicle.


Contributing Projects:
Mouse Genome Database (MGD), Gene Expression Database (GXD), Mouse Models of Human Cancer database (MMHCdb) (formerly Mouse Tumor Biology (MTB)), Gene Ontology (GO)
Citing These Resources
Funding Information
Warranty Disclaimer, Privacy Notice, Licensing, & Copyright
Send questions and comments to User Support.
last database update
12/30/2025
MGI 6.24
The Jackson Laboratory