About   Help   FAQ
Gene Expression Data
Assay Details
Assay
Reference: J:122989 Visel A, et al., GenePaint.org: an atlas of gene expression patterns in the mouse embryo. Nucleic Acids Res. 2004 Jan 1;32(Database issue):D552-6
Assay type: RNA in situ
MGI Accession ID: MGI:5420913
Gene symbol: Slc25a3
Gene name: solute carrier family 25 (mitochondrial carrier, phosphate carrier), member 3
Probe: MH215 probe 199
Probe preparation: Antisense labelled with digoxigenin RNA
Visualized with: Alkaline phosphatase
Assay notes: Cryosections of fresh frozen material were fixed in 4% paraformaldehyde for 20 min. before further processing. A tyramide-biotin/streptavidin amplification step was included in the in situ hybridization procedure. These data were downloaded from GenePaint.org on 1/30/12.
Results
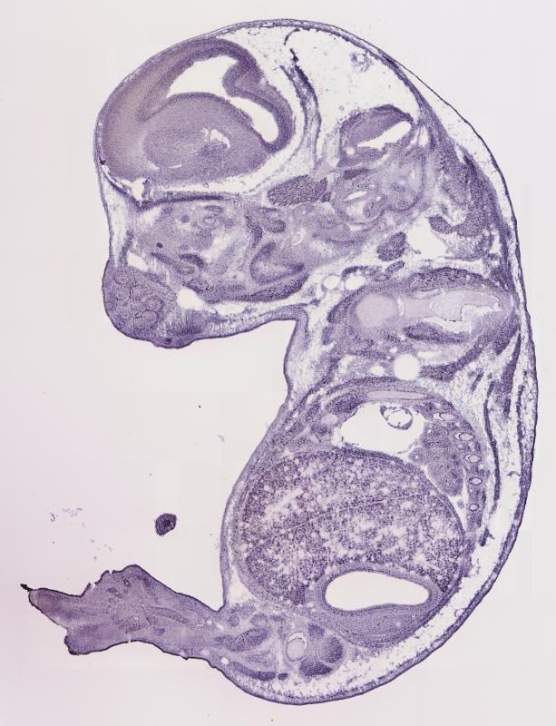
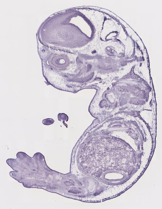
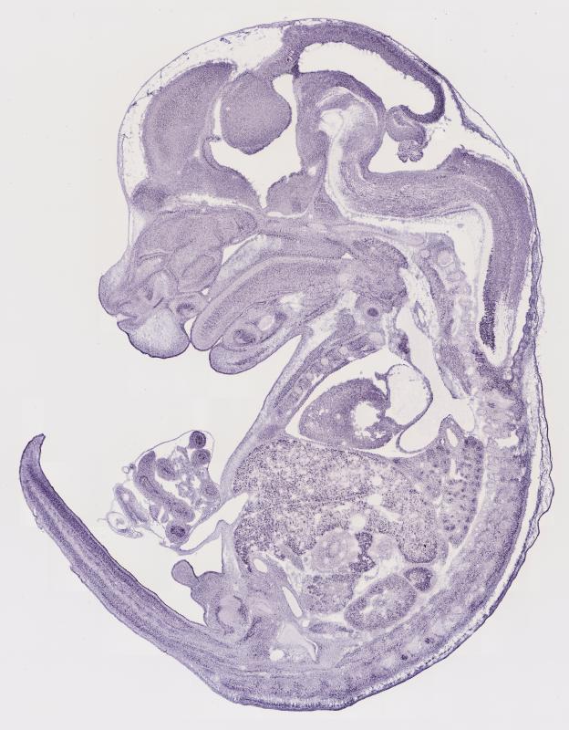
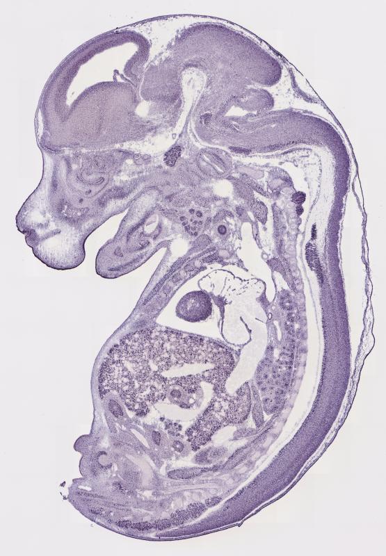
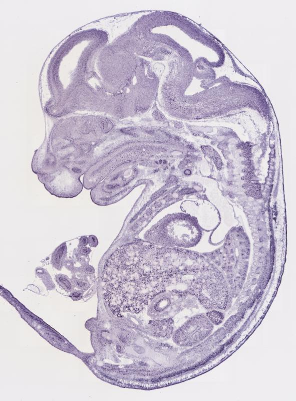
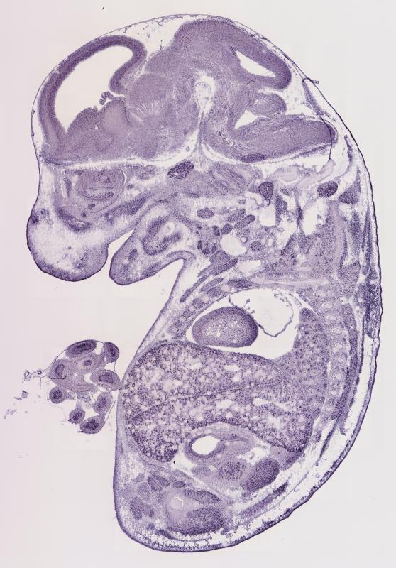
Specimen MH215; Specimen C1019: embryonic day 14.5 (more )
Structure Level Pattern Image Note
TS22: nervous system Strong Regionally restricted Embryo_C1019_2_3B
TS22: central nervous system Strong Regionally restricted Embryo_C1019_2_3B
TS22: telencephalon Strong Regionally restricted Embryo_C1019_2_3A
TS22: cerebral cortex Strong Regionally restricted Embryo_C1019_2_3A
TS22: neocortex Strong Regionally restricted Embryo_C1019_2_3A
TS22: olfactory cortex Weak Regionally restricted Embryo_C1019_2_4C
TS22: main olfactory bulb Weak Regionally restricted Embryo_C1019_2_4C
TS22: piriform cortex Weak Regionally restricted Embryo_C1019_2_2B
TS22: hippocampus Moderate Regionally restricted Embryo_C1019_2_3A
TS22: basal ganglia Moderate Regionally restricted Embryo_C1019_2_1B
TS22: corpus striatum Moderate Regionally restricted Embryo_C1019_2_2B Expression was detected in the corpus striatum (lateral ganglionic eminence).
TS22: basal forebrain Absent
TS22: amygdala Moderate Regionally restricted Embryo_C1019_2_1B
TS22: telencephalon septum Weak Regionally restricted Embryo_C1019_2_3B
TS22: pallidum Weak Regionally restricted Embryo_C1019_2_3A Expression was weak in the pallidum (medial ganglionic eminence).
TS22: diencephalon Strong Regionally restricted Embryo_C1019_2_4A
TS22: thalamus Moderate Regionally restricted Embryo_C1019_2_4A
TS22: hypothalamus Moderate Regionally restricted Embryo_C1019_2_3D
TS22: midbrain Strong Regionally restricted Embryo_C1019_2_3B
TS22: pretectum Moderate Regionally restricted Embryo_C1019_2_4A
TS22: superior colliculus Moderate Regionally restricted Embryo_C1019_2_3D
TS22: inferior colliculus Strong Regionally restricted Embryo_C1019_2_3B
TS22: midbrain tegmentum Moderate Regionally restricted Embryo_C1019_2_3D
TS22: hindbrain Moderate Regionally restricted Embryo_C1019_2_2C
TS22: cerebellum Moderate Regionally restricted Embryo_C1019_2_2C
TS22: pons Weak Regionally restricted Embryo_C1019_2_5C
TS22: medulla oblongata Moderate Regionally restricted Embryo_C1019_2_4B
TS22: spinal cord Moderate Regionally restricted Embryo_C1019_2_3C
TS22: choroid plexus Moderate Regionally restricted Embryo_C1019_2_3D
TS22: meninges Moderate Regionally restricted Embryo_C1019_2_5D
TS22: peripheral nervous system Strong Regionally restricted Embryo_C1019_2_3B
TS22: cranial ganglion Moderate Regionally restricted Embryo_C1019_2_3A
TS22: dorsal root ganglion Strong Regionally restricted Embryo_C1019_2_3B
TS22: eye Weak Regionally restricted Embryo_C1019_2_1A
TS22: retina Weak Regionally restricted Embryo_C1019_2_1A
TS22: optic nerve Weak Regionally restricted Embryo_C1019_2_2B
TS22: nose Moderate Regionally restricted Embryo_C1019_2_3A
TS22: olfactory epithelium Moderate Regionally restricted Embryo_C1019_2_3A
TS22: ear Moderate Regionally restricted Embryo_C1019_2_3A
TS22: inner ear Moderate Regionally restricted Embryo_C1019_2_3A
TS22: cochlea Moderate Regionally restricted Embryo_C1019_2_3A
TS22: inner ear labyrinth Moderate Regionally restricted Embryo_C1019_2_1B
TS22: middle ear Moderate Regionally restricted Embryo_C1019_2_1A
TS22: alimentary system Strong Regionally restricted Embryo_C1019_2_1C Expression was strong in the digestive system.
TS22: intestine Moderate Regionally restricted Embryo_C1019_2_4B
TS22: salivary gland Moderate Regionally restricted Embryo_C1019_2_5B
TS22: tongue Moderate Regionally restricted Embryo_C1019_2_3C
TS22: tooth Moderate Regionally restricted Embryo_C1019_2_3A
TS22: palatal shelf Weak Regionally restricted Embryo_C1019_2_3B
TS22: esophagus Weak Regionally restricted Embryo_C1019_2_4A
TS22: stomach Moderate Regionally restricted Embryo_C1019_2_1D
TS22: liver Strong Regionally restricted Embryo_C1019_2_1C
TS22: respiratory system Weak Regionally restricted Embryo_C1019_2_3A
TS22: pharynx Weak Regionally restricted Embryo_C1019_2_3C
TS22: larynx Weak Regionally restricted Embryo_C1019_2_3D
TS22: trachea Weak Regionally restricted Embryo_C1019_2_4B
TS22: main bronchus Weak Regionally restricted Embryo_C1019_2_3B
TS22: lung Weak Regionally restricted Embryo_C1019_2_3A
TS22: urinary system Moderate Regionally restricted Embryo_C1019_2_4A Expression was detected in the genito-urinary system.
TS22: metanephros Weak Regionally restricted Embryo_C1019_2_2D
TS22: ureter Absent
TS22: bladder Weak Regionally restricted Embryo_C1019_2_3D
TS22: urethra Absent
TS22: reproductive system Moderate Regionally restricted Embryo_C1019_2_4A
TS22: genital tubercle Moderate Regionally restricted Embryo_C1019_2_4A
TS22: gonad Weak Regionally restricted Embryo_C1019_2_2D
TS22: gland Moderate Regionally restricted Embryo_C1019_2_3B Expression was detected in the endocrine system.
TS22: thyroid gland Moderate Regionally restricted Embryo_C1019_2_3B
TS22: pituitary gland Moderate Regionally restricted Embryo_C1019_2_3D
TS22: pancreas Moderate Regionally restricted Embryo_C1019_2_3A
TS22: adrenal gland Moderate Regionally restricted Embryo_C1019_2_4D
TS22: cardiovascular system Moderate Regionally restricted Embryo_C1019_2_3A
TS22: heart Moderate Regionally restricted Embryo_C1019_2_3A
TS22: heart atrium Moderate Regionally restricted Embryo_C1019_2_3A
TS22: heart ventricle Moderate Regionally restricted Embryo_C1019_2_4B
TS22: blood vessel Moderate Regionally restricted Embryo_C1019_2_3B
TS22: hemolymphoid system Weak Regionally restricted Embryo_C1019_2_3C Expression was weak in the immune system.
TS22: spleen primordium Absent
TS22: thymus primordium Weak Regionally restricted Embryo_C1019_2_3C
TS22: appendicular skeleton Weak Regionally restricted Embryo_C1019_2_5A Expression was weak in the skeleton (limbs, shoulder, hip).
TS22: musculature Strong Regionally restricted Embryo_C1019_2_2B
TS22: face Moderate Regionally restricted Embryo_C1019_2_2B Expression was detected in the face/soft tissues.
TS22: facial bone primordium Absent
TS22: cranium Absent Expression was not detected in the skull (base and vault).
TS22: axial skeleton Absent
TS22: tail Strong Regionally restricted Embryo_C1019_2_3C
TS22: forelimb Strong Regionally restricted Embryo_C1019_2_1B
TS22: hindlimb Strong Regionally restricted Embryo_C1019_2_1B
TS22: integumental system Strong Regionally restricted Embryo_C1019_2_2B
TS22: skin Strong Regionally restricted Embryo_C1019_2_2B
TS22: hair Strong Regionally restricted Embryo_C1019_2_2A
TS22: vibrissa follicle Strong Regionally restricted Embryo_C1019_2_2A Expression was strong in whisker follicle.

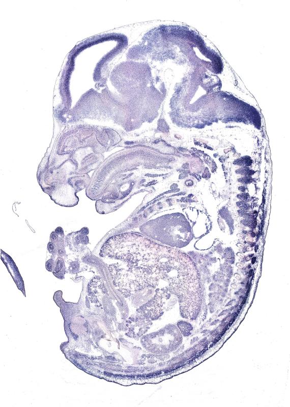
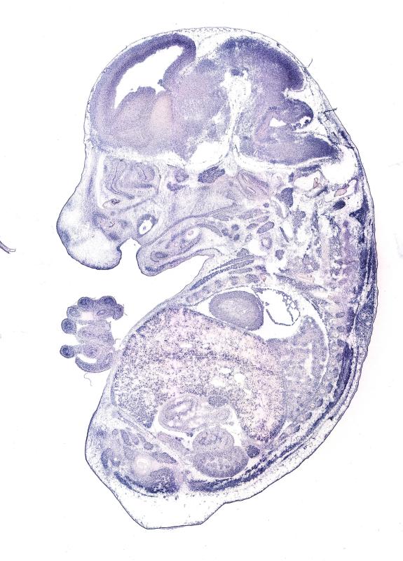
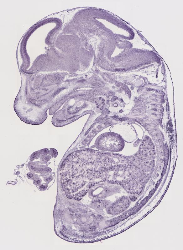
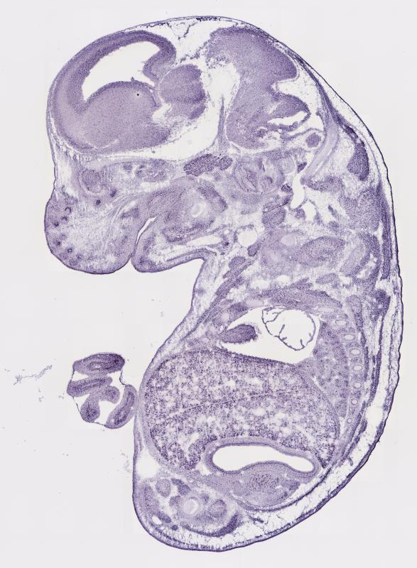
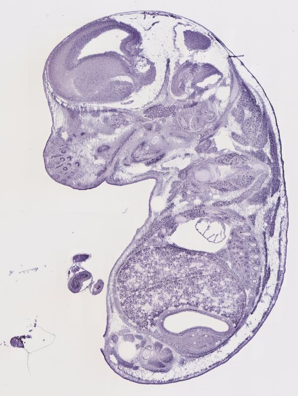
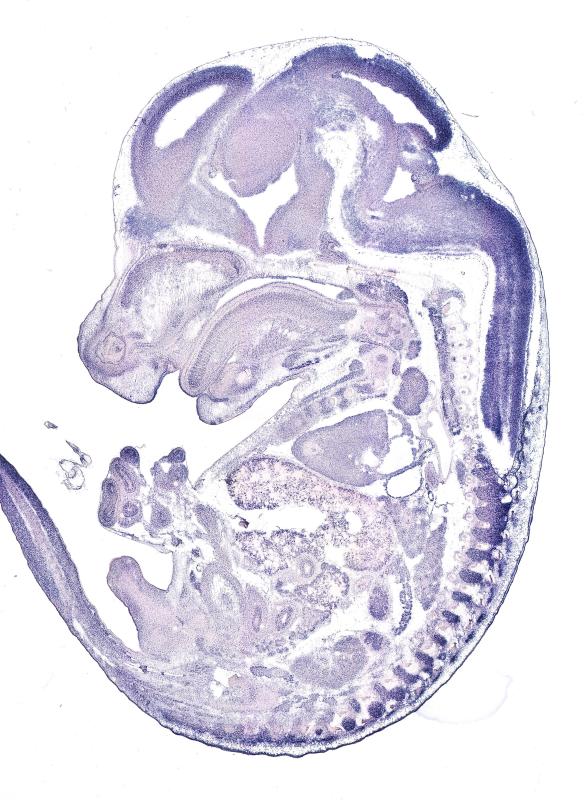
Specimen MH2885; Specimen C3955: embryonic day 14.5 (more )
Structure Level Pattern Image Note
TS22: nervous system Strong Regionally restricted Embryo_C3955_6_3C
TS22: central nervous system Strong Regionally restricted Embryo_C3955_6_4C
TS22: telencephalon Strong Regionally restricted Embryo_C3955_6_3C
TS22: cerebral cortex Strong Regionally restricted Embryo_C3955_6_3C
TS22: neocortex Strong Regionally restricted Embryo_C3955_6_3B
TS22: olfactory cortex Strong Regionally restricted Embryo_C3955_6_3C
TS22: main olfactory bulb Strong Regionally restricted Embryo_C3955_6_3C
TS22: piriform cortex Absent
TS22: hippocampus Strong Regionally restricted Embryo_C3955_6_2B
TS22: basal ganglia Moderate Regionally restricted Embryo_C3955_6_2C
TS22: corpus striatum Moderate Regionally restricted Embryo_C3955_6_2C Expression was detected in the corpus striatum (lateral ganglionic eminence).
TS22: basal forebrain Absent
TS22: amygdala Absent
TS22: telencephalon septum Absent
TS22: pallidum Weak Regionally restricted Embryo_C3955_6_3A Expression was weak in the pallidum (medial ganglionic eminence).
TS22: diencephalon Absent
TS22: thalamus Absent
TS22: hypothalamus Absent
TS22: midbrain Strong Regionally restricted Embryo_C3955_6_4C
TS22: pretectum Weak Regionally restricted Embryo_C3955_6_4C
TS22: superior colliculus Moderate Regionally restricted Embryo_C3955_6_4C
TS22: inferior colliculus Strong Regionally restricted Embryo_C3955_6_4C
TS22: midbrain tegmentum Weak Regionally restricted Embryo_C3955_6_4C
TS22: hindbrain Moderate Regionally restricted Embryo_C3955_6_5B
TS22: cerebellum Weak Regionally restricted Embryo_C3955_6_4C
TS22: pons Moderate Regionally restricted Embryo_C3955_6_5B
TS22: medulla oblongata Moderate Regionally restricted Embryo_C3955_6_3B
TS22: spinal cord Strong Regionally restricted Embryo_C3955_6_4C
TS22: choroid plexus Moderate Regionally restricted Embryo_C3955_6_3A
TS22: meninges Strong Regionally restricted Embryo_C3955_6_1B
TS22: peripheral nervous system Strong Regionally restricted Embryo_C3955_6_3C
TS22: cranial ganglion Strong Regionally restricted Embryo_C3955_6_3A
TS22: dorsal root ganglion Strong Regionally restricted Embryo_C3955_6_3C
TS22: eye Moderate Regionally restricted Embryo_C3955_6_1B
TS22: retina Moderate Regionally restricted Embryo_C3955_6_1B
TS22: lens Absent
TS22: cornea Absent
TS22: optic nerve Absent
TS22: nose Absent
TS22: olfactory epithelium Absent
TS22: ear Absent
TS22: inner ear Absent
TS22: cochlea Absent
TS22: inner ear labyrinth Absent
TS22: middle ear Absent
TS22: alimentary system Strong Regionally restricted Embryo_C3955_6_2D Expression was strong in the digestive system.
TS22: intestine Moderate Regionally restricted Embryo_C3955_6_2D
TS22: salivary gland Strong Regionally restricted Embryo_C3955_6_2D
TS22: tongue Absent
TS22: tooth Moderate Regionally restricted Embryo_C3955_6_4D
TS22: palatal shelf Absent
TS22: esophagus Absent
TS22: stomach Weak Regionally restricted Embryo_C3955_6_2C
TS22: liver Strong Scattered Embryo_C3955_6_4B
TS22: respiratory system Absent
TS22: pharynx Absent
TS22: larynx Absent
TS22: trachea Absent
TS22: main bronchus Absent
TS22: lung Absent
TS22: urinary system Strong Regionally restricted Embryo_C3955_6_4A Expression was strong in the genito-urinary system.
TS22: metanephros Weak Regionally restricted Embryo_C3955_6_2C
TS22: ureter Absent
TS22: bladder Absent
TS22: urethra Absent
TS22: reproductive system Strong Regionally restricted Embryo_C3955_6_4B
TS22: genital tubercle Strong Regionally restricted Embryo_C3955_6_4B
TS22: gonad Weak Regionally restricted Embryo_C3955_6_2D
TS22: gland Strong Regionally restricted Embryo_C3955_6_3C Expression was strong in the endocrine system.
TS22: thyroid gland Absent
TS22: pituitary gland Weak Regionally restricted Embryo_C3955_6_4A
TS22: pancreas Weak Regionally restricted Embryo_C3955_6_3C
TS22: adrenal gland Strong Regionally restricted Embryo_C3955_6_3C
TS22: cardiovascular system Absent
TS22: heart Absent
TS22: heart atrium Absent
TS22: heart ventricle Absent
TS22: blood vessel Absent
TS22: hemolymphoid system Weak Regionally restricted Embryo_C3955_6_4A Expression was weak in the immune system.
TS22: spleen primordium Absent
TS22: thymus primordium Weak Regionally restricted Embryo_C3955_6_4A
TS22: appendicular skeleton Absent Expression was not detected in the skeleton (limbs, shoulder, hip).
TS22: musculature Moderate Regionally restricted Embryo_C3955_6_1C
TS22: face Weak Regionally restricted Embryo_C3955_6_1C Expression was weak in the face/soft tissues.
TS22: facial bone primordium Absent
TS22: cranium Strong Regionally restricted Embryo_C3955_6_2A Expression was strong in the skull (base and vault).
TS22: axial skeleton Absent
TS22: tail Strong Regionally restricted Embryo_C3955_6_3D
TS22: forelimb Strong Regionally restricted Embryo_C3955_6_6D
TS22: hindlimb Strong Regionally restricted Embryo_C3955_6_1D
TS22: integumental system Strong Regionally restricted Embryo_C3955_6_2B
TS22: skin Strong Regionally restricted Embryo_C3955_6_1C
TS22: hair Strong Regionally restricted Embryo_C3955_6_2B
TS22: vibrissa follicle Strong Regionally restricted Embryo_C3955_6_2B Expression was strong in whisker follicle.


Contributing Projects:
Mouse Genome Database (MGD), Gene Expression Database (GXD), Mouse Models of Human Cancer database (MMHCdb) (formerly Mouse Tumor Biology (MTB)), Gene Ontology (GO)
Citing These Resources
Funding Information
Warranty Disclaimer, Privacy Notice, Licensing, & Copyright
Send questions and comments to User Support.
last database update
04/14/2026
MGI 6.24
The Jackson Laboratory