About   Help   FAQ
Gene Expression Data
Assay Details
Assay
Reference: J:57684 Bongarzone ER, et al., Identification of a new exon in the myelin proteolipid protein gene encoding novel protein isoforms that are restricted to the somata of oligodendrocytes and neurons. J Neurosci. 1999 Oct 1;19(19):8349-57
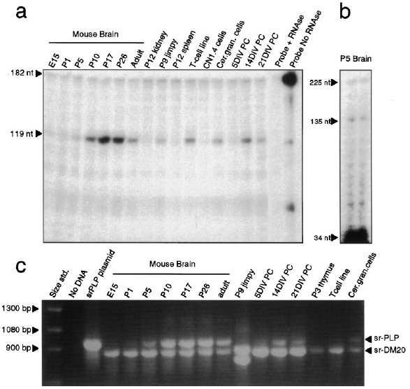
Assay type: RNase protection
MGI Accession ID: MGI:5292223
Gene symbol: Plp1
Gene name: proteolipid protein (myelin) 1
Probe: Plp cDNA4
Probe preparation: Antisense RNA
Results
Image: 3a ©

 Sample Information Bands Other Sample Information
Lane AgeStructure 119 b Amount Genetic BackgroundMutant Allele(s)Sex
E15 E15.0 (a) TS23: brain Present Not Specified Not Specified Not Specified
P1 P1 TS27: brain Present Not Specified Not Specified Not Specified
P5 P5 TS28: brain Present Not Specified Not Specified Not Specified
P10 P10 TS28: brain Present Not Specified Not Specified Not Specified
P17 P17 TS28: brain Present (b) Not Specified Not Specified Not Specified
P26 P26 TS28: brain Present Not Specified Not Specified Not Specified
Adult P adult TS28: brain Present (c) Not Specified Not Specified Not Specified
P12 kidney P12 TS28: metanephros Absent Not Specified Not Specified Not Specified
P9 jimpy P9 TS28: metanephros Absent Not Specified involves: KLM STOCK * XY STOCK Plp1jp/Plp1jpNot Specified
P12 spleen P12 TS28: spleen Absent Not Specified Not Specified Not Specified
T-cell line Cultured cells: no data stored
CN1.4 Cultured cells: no data stored
Cer. gran. cells Cultured sample: no data stored
5DIV PC Cultured cells: no data stored
14DIC PC Cultured cells: no data stored
21DIC PC Cultured cells: no data stored
Probe + RNA Control
Probe no RNA Control
Notes:
(a) Age of embryo at noon of plug day not specified in reference.
(b) Expression is maximal at this age.
(c) Expression is reduced.

Contributing Projects:
Mouse Genome Database (MGD), Gene Expression Database (GXD), Mouse Models of Human Cancer database (MMHCdb) (formerly Mouse Tumor Biology (MTB)), Gene Ontology (GO)
Citing These Resources
Funding Information
Warranty Disclaimer, Privacy Notice, Licensing, & Copyright
Send questions and comments to User Support.
last database update
01/28/2026
MGI 6.24
The Jackson Laboratory