About   Help   FAQ
Gene Expression Data
Assay Details
Assay
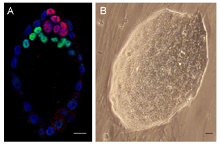
Reference: J:167040 Nichols J, et al., The origin and identity of embryonic stem cells. Development. 2011 Jan;138(1):3-8
Assay type: Immunohistochemistry
MGI Accession ID: MGI:5140131
Gene symbol: Nanog
Gene name: Nanog homeobox
Antibody: anti-Nanog
Results
Specimen 2A: embryonic day 4.5 (more )
Structure Level Pattern Image Note
TS6: epiblast Present 2A


Contributing Projects:
Mouse Genome Database (MGD), Gene Expression Database (GXD), Mouse Models of Human Cancer database (MMHCdb) (formerly Mouse Tumor Biology (MTB)), Gene Ontology (GO)
Citing These Resources
Funding Information
Warranty Disclaimer, Privacy Notice, Licensing, & Copyright
Send questions and comments to User Support.
last database update
12/30/2025
MGI 6.24
The Jackson Laboratory