About   Help   FAQ
Gene Expression Data
Assay Details
Assay
Reference: J:42707 Wang D, et al., Germ cell nuclear antigen (GCNA1) expression does not require a gonadal environment or steroidogenic factor 1: examination of GCNA1 in ectopic germ cells and in Ftz-F1 null mice. Mol Reprod Dev. 1997 Oct;48(2):154-8
Assay type: Immunohistochemistry
MGI Accession ID: MGI:5050425
Gene symbol: Gcna
Gene name: germ cell nuclear acidic protein
Antibody: anti-GCNA (10D9G11)
Detection system: biotin
Results
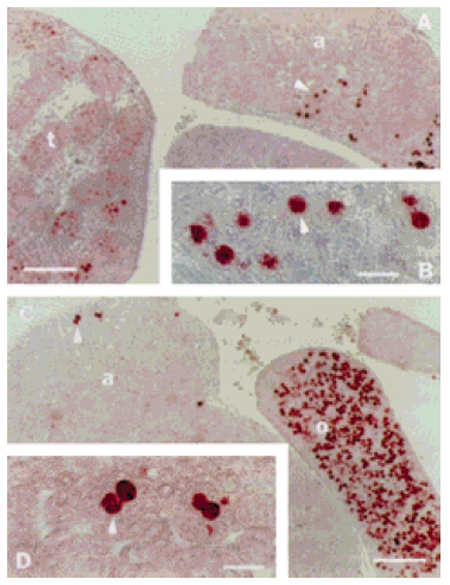
Specimen 1A,B: embryonic day 14.5 (more )
Note: (B) is a higher magnification of (A).
Structure Level Pattern Image Note
TS22: adrenal cortex Strong Single cells 1B , 1A Expression is in ectopic germ cells.
TS22: adrenal medulla Strong Single cells 1B , 1A Expression is in ectopic germ cells.
TS22: germ cell of testis Strong 1B , 1A
TS22: testis mesenchyme Strong Single cells 1A , 1B Expression is in ectopic germ cells.

Specimen 1C,D: embryonic day 14.5 (more )
Note: (D) is a higher magnification of (C).
Structure Level Pattern Image Note
TS22: adrenal cortex Strong Single cells 1D , 1C Expression is in ectopic germ cells.
TS22: adrenal medulla Strong Single cells 1D , 1C Expression is in ectopic germ cells.
TS22: germ cell of ovary Strong 1C , 1D
TS22: mesenchymal stroma of ovary Strong Single cells 1C , 1D Expression is in ectopic germ cells.


Contributing Projects:
Mouse Genome Database (MGD), Gene Expression Database (GXD), Mouse Models of Human Cancer database (MMHCdb) (formerly Mouse Tumor Biology (MTB)), Gene Ontology (GO)
Citing These Resources
Funding Information
Warranty Disclaimer, Privacy Notice, Licensing, & Copyright
Send questions and comments to User Support.
last database update
12/30/2025
MGI 6.24
The Jackson Laboratory