About   Help   FAQ
Gene Expression Data
Assay Details
Assay
Reference: J:162220 Magdaleno S, et al., BGEM: an in situ hybridization database of gene expression in the embryonic and adult mouse nervous system. PLoS Biol. 2006 Apr;4(4):e86
Assay type: RNA in situ
MGI Accession ID: MGI:4944940
Gene symbol: Sstr4
Gene name: somatostatin receptor 4
Probe: g00379
Probe preparation: Antisense labelled with P33 RNA
Visualized with: Autoradiography
Results
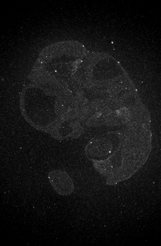
Specimen g00379 E11.5: embryonic day 11.5 (more )
Structure Level Pattern Image Note
TS19: midbrain Absent g00379_sj_g18_059_e11 , g00379_sj_g18_009_e11
TS19: hindbrain Absent g00379_sj_g18_059_e11 , g00379_sj_g18_009_e11
TS19: future spinal cord Absent g00379_sj_g18_009_e11 , g00379_sj_g18_059_e11

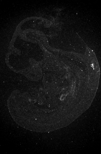
Specimen g00379 E15.5: embryonic day 15.5 (more )
Structure Level Pattern Image Note
TS23: cerebellum Present Widespread g00379_sj_g18_009_e15 , g00379_sj_g18_109_e15 , g00379_sj_g18_059_e15
TS23: ganglionic eminence Present Widespread g00379_sj_g18_009_e15 , g00379_sj_g18_109_e15 , g00379_sj_g18_059_e15
TS23: hindbrain Present Widespread g00379_sj_g18_009_e15 , g00379_sj_g18_059_e15 , g00379_sj_g18_109_e15
TS23: hippocampus Present Widespread g00379_sj_g18_059_e15 , g00379_sj_g18_109_e15 , g00379_sj_g18_009_e15
TS23: hypothalamus Present Widespread g00379_sj_g18_059_e15 , g00379_sj_g18_009_e15 , g00379_sj_g18_109_e15
TS23: midbrain Present Widespread g00379_sj_g18_059_e15 , g00379_sj_g18_109_e15 , g00379_sj_g18_009_e15
TS23: neocortex Present Widespread g00379_sj_g18_009_e15 , g00379_sj_g18_059_e15 , g00379_sj_g18_109_e15
TS23: main olfactory bulb Present Widespread g00379_sj_g18_109_e15 , g00379_sj_g18_009_e15 , g00379_sj_g18_059_e15
TS23: retina Present Regionally restricted g00379_sj_g18_059_e15 , g00379_sj_g18_109_e15 , g00379_sj_g18_009_e15
TS23: spinal cord Present Regionally restricted g00379_sj_g18_009_e15 , g00379_sj_g18_059_e15 , g00379_sj_g18_109_e15 Expression was region specific and scattered.

Specimen g00379 P7: postnatal day 7 (more )
Structure Level Pattern Image Note
TS28: amygdala Present Regionally restricted g00379_sj_g18_109_p7 , g00379_sj_g18_059_p7 , g00379_sj_g18_009_p7 Expression was region specific and scattered.
TS28: basal ganglia Present Regionally restricted g00379_sj_g18_109_p7 , g00379_sj_g18_059_p7 , g00379_sj_g18_009_p7 Expression was region specific and scattered.
TS28: brainstem Present Widespread g00379_sj_g18_109_p7 , g00379_sj_g18_059_p7 , g00379_sj_g18_009_p7
TS28: cerebellum Present Widespread g00379_sj_g18_009_p7 , g00379_sj_g18_109_p7 , g00379_sj_g18_059_p7
TS28: cerebral cortex Present Regionally restricted g00379_sj_g18_009_p7 , g00379_sj_g18_059_p7 , g00379_sj_g18_109_p7 Expression was region specific and scattered.
TS28: choroid plexus Present Regionally restricted g00379_sj_g18_009_p7 , g00379_sj_g18_109_p7 , g00379_sj_g18_059_p7
TS28: hypothalamus Present Widespread g00379_sj_g18_109_p7 , g00379_sj_g18_059_p7 , g00379_sj_g18_009_p7
TS28: meninges Present Regionally restricted g00379_sj_g18_109_p7 , g00379_sj_g18_009_p7 , g00379_sj_g18_059_p7
TS28: midbrain Present Widespread g00379_sj_g18_109_p7 , g00379_sj_g18_059_p7 , g00379_sj_g18_009_p7
TS28: main olfactory bulb Present Regionally restricted g00379_sj_g18_109_p7 , g00379_sj_g18_009_p7 , g00379_sj_g18_059_p7 Expression was region specific and scattered.
TS28: retina Present Regionally restricted g00379_sj_g18_009_p7 , g00379_sj_g18_059_p7 , g00379_sj_g18_109_p7
TS28: spinal cord Present Widespread g00379_sj_g18_059_p7 , g00379_sj_g18_109_p7 , g00379_sj_g18_009_p7
TS28: thalamus Present Regionally restricted g00379_sj_g18_059_p7 , g00379_sj_g18_109_p7 , g00379_sj_g18_009_p7 Expression was region specific and scattered.
TS28: hippocampus Strong Regionally restricted g00379_sj_g18_059_p7 , g00379_sj_g18_109_p7 , g00379_sj_g18_009_p7 Expression was region specific and scattered.


Contributing Projects:
Mouse Genome Database (MGD), Gene Expression Database (GXD), Mouse Models of Human Cancer database (MMHCdb) (formerly Mouse Tumor Biology (MTB)), Gene Ontology (GO)
Citing These Resources
Funding Information
Warranty Disclaimer, Privacy Notice, Licensing, & Copyright
Send questions and comments to User Support.
last database update
12/30/2025
MGI 6.24
The Jackson Laboratory