Gene Expression Data
Assay Details
|
Assay
|
|
Reference:
|
J:166870
Watanabe Y, et al., Chondroitin sulfate N-acetylgalactosaminyltransferase-1 is required for normal cartilage development. Biochem J. 2010 Oct 25;432(1):47-55
|
|
Assay type:
|
Immunohistochemistry
|
|
MGI Accession ID:
|
MGI:4888146
|
|
Gene symbol:
|
Col10a1
|
|
Gene name:
|
collagen, type X, alpha 1
|
|
|
Results
|
Specimen
4C Wt:
embryonic day 18.5
(more )
Specimen
4C Wt:
(close )
|
Genetic Background:
|
Not Specified
|
|
Age:
|
embryonic day 18.5
|
|
Age Note:
|
Age of embryo at noon of plug day not specified in reference.
|
|
Sex:
|
Not Specified
|
|
Type:
|
section
|
|
Fixation:
|
4% Paraformaldehyde
|
|
Embedding:
|
Paraffin
|
| Structure |
Level |
Pattern |
Image |
Note |
| TS26: tibia |
Present |
Regionally restricted |
4C Wt X
|
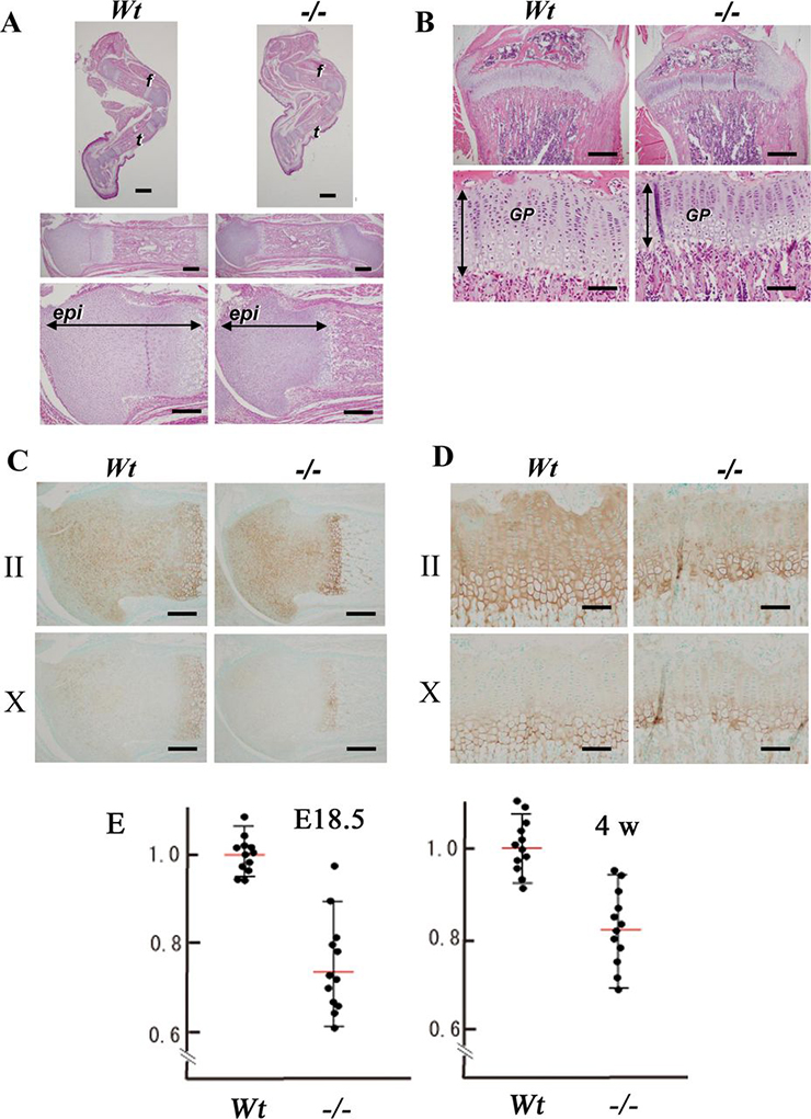
Expression is in the hypertrophic zone.
|
Specimen
4C -/-:
(close )
|
Genetic Background:
|
involves: C57BL/6N * C57BL/6NCrlj * CBA/JNCrlj
|
|
Mutant Allele(s):
|
Csgalnact1tm1.1Migar/Csgalnact1tm1.1Migar
|
|
Age:
|
embryonic day 18.5
|
|
Age Note:
|
Age of embryo at noon of plug day not specified in reference.
|
|
Sex:
|
Not Specified
|
|
Type:
|
section
|
|
Fixation:
|
4% Paraformaldehyde
|
|
Embedding:
|
Paraffin
|
| Structure |
Level |
Pattern |
Image |
Note |
| TS26: tibia |
Present |
Regionally restricted |
4C -/- X
|
Expression is in the hypertrophic zone which was slightly reduced in size in this mutant.
|
Specimen
4D Wt:
postnatal week 4
(more )
Specimen
4D Wt:
(close )
|
Genetic Background:
|
Not Specified
|
|
Age:
|
postnatal week 4
|
|
Sex:
|
Not Specified
|
|
Type:
|
section
|
|
Fixation:
|
4% Paraformaldehyde
|
|
Embedding:
|
Paraffin
|
| Structure |
Level |
Pattern |
Image |
Note |
| TS28: tibia |
Present |
Regionally restricted |
4D Wt X
|
Expression is in the hypertrophic zone.
|
Specimen
4D -/-:
(close )
|
Genetic Background:
|
involves: C57BL/6N * C57BL/6NCrlj * CBA/JNCrlj
|
|
Mutant Allele(s):
|
Csgalnact1tm1.1Migar/Csgalnact1tm1.1Migar
|
|
Age:
|
postnatal week 4
|
|
Sex:
|
Not Specified
|
|
Type:
|
section
|
|
Fixation:
|
4% Paraformaldehyde
|
|
Embedding:
|
Paraffin
|
| Structure |
Level |
Pattern |
Image |
Note |
| TS28: tibia |
Present |
Regionally restricted |
4D -/- X
|
Expression is in the hypertrophic zone which was slightly reduced in size in this mutant.
|
|