About   Help   FAQ
Gene Expression Data
Assay Details
Assay
Reference: J:153498 Diez-Roux G, et al., A high-resolution anatomical atlas of the transcriptome in the mouse embryo. PLoS Biol. 2011;9(1):e1000582
Assay type: RNA in situ
MGI Accession ID: MGI:4829373
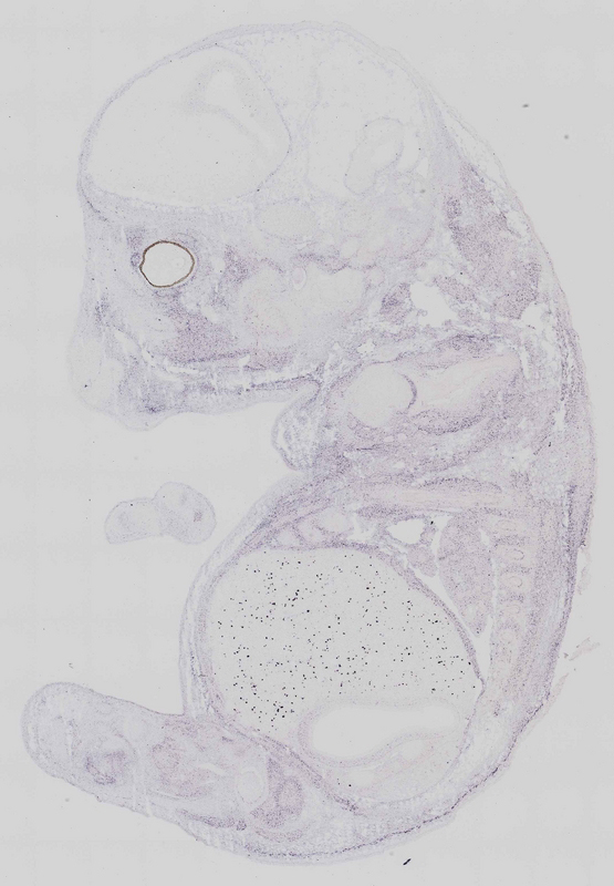
Gene symbol: Zyx
Gene name: zyxin
Probe: T37230
Probe preparation: Antisense labelled with digoxigenin RNA
Visualized with: Alkaline phosphatase
Assay notes: Cryosections of fresh frozen material were fixed in 4% paraformaldehyde for 20 min. before further processing. A tyramide-biotin/streptavidin amplification step was included in the in situ hybridization procedure.
Results
Specimen euxassay_010280_01: embryonic day 14.5 (more )
Structure Level Pattern Image Note
TS23: liver lobe Strong Spotted euxassay_010280_01
TS23: vertebral axis musculature Weak Regionally restricted euxassay_010280_01

Specimen euxassay_010280_02: embryonic day 14.5 (more )
Structure Level Pattern Image Note
TS23: liver lobe Strong Spotted euxassay_010280_02
TS23: vertebral axis musculature Weak Regionally restricted euxassay_010280_02

Specimen euxassay_010280_03: embryonic day 14.5 (more )
Structure Level Pattern Image Note
TS23: liver lobe Strong Spotted euxassay_010280_03
TS23: vertebral axis musculature Weak Regionally restricted euxassay_010280_03

Specimen euxassay_010280_04: embryonic day 14.5 (more )
Structure Level Pattern Image Note
TS23: liver lobe Strong Spotted euxassay_010280_04
TS23: vertebral axis musculature Weak Regionally restricted euxassay_010280_04

Specimen euxassay_010280_05: embryonic day 14.5 (more )
Structure Level Pattern Image Note
TS23: liver lobe Strong Spotted euxassay_010280_05
TS23: vertebral axis musculature Weak Regionally restricted euxassay_010280_05

Specimen euxassay_010280_06: embryonic day 14.5 (more )
Structure Level Pattern Image Note
TS23: liver lobe Strong Spotted euxassay_010280_06
TS23: vertebral axis musculature Weak Regionally restricted euxassay_010280_06

Specimen euxassay_010280_07: embryonic day 14.5 (more )
Structure Level Pattern Image Note
TS23: liver lobe Strong Spotted euxassay_010280_07
TS23: vertebral axis musculature Weak Regionally restricted euxassay_010280_07

Specimen euxassay_010280_08: embryonic day 14.5 (more )
Structure Level Pattern Image Note
TS23: liver lobe Strong Spotted euxassay_010280_08
TS23: vertebral axis musculature Weak Regionally restricted euxassay_010280_08

Specimen euxassay_010280_09: embryonic day 14.5 (more )
Structure Level Pattern Image Note
TS23: liver lobe Strong Spotted euxassay_010280_09
TS23: vertebral axis musculature Weak Regionally restricted euxassay_010280_09

Specimen euxassay_010280_10: embryonic day 14.5 (more )
Structure Level Pattern Image Note
TS23: liver lobe Strong Spotted euxassay_010280_10
TS23: vertebral axis musculature Weak Regionally restricted euxassay_010280_10

Specimen euxassay_010280_11: embryonic day 14.5 (more )
Structure Level Pattern Image Note
TS23: liver lobe Strong Spotted euxassay_010280_11
TS23: vertebral axis musculature Weak Regionally restricted euxassay_010280_11
TS23: tongue muscle Weak Regionally restricted euxassay_010280_11

Specimen euxassay_010280_12: embryonic day 14.5 (more )
Structure Level Pattern Image Note
TS23: liver lobe Strong Spotted euxassay_010280_12
TS23: vertebral axis musculature Weak Regionally restricted euxassay_010280_12
TS23: tongue muscle Weak Regionally restricted euxassay_010280_12

Specimen euxassay_010280_13: embryonic day 14.5 (more )
Structure Level Pattern Image Note
TS23: liver lobe Strong Spotted euxassay_010280_13
TS23: vertebral axis musculature Weak Regionally restricted euxassay_010280_13
TS23: tongue muscle Weak Regionally restricted euxassay_010280_13

Specimen euxassay_010280_14: embryonic day 14.5 (more )
Structure Level Pattern Image Note
TS23: liver lobe Strong Spotted euxassay_010280_14
TS23: vertebral axis musculature Weak Regionally restricted euxassay_010280_14
TS23: tongue muscle Weak Regionally restricted euxassay_010280_14

Specimen euxassay_010280_15: embryonic day 14.5 (more )
Structure Level Pattern Image Note
TS23: liver lobe Strong Spotted euxassay_010280_15
TS23: vertebral axis musculature Weak Regionally restricted euxassay_010280_15
TS23: tail mesenchyme Weak Regionally restricted euxassay_010280_15
TS23: tongue muscle Weak Regionally restricted euxassay_010280_15

Specimen euxassay_010280_16: embryonic day 14.5 (more )
Structure Level Pattern Image Note
TS23: liver lobe Strong Spotted euxassay_010280_16
TS23: vertebral axis musculature Weak Regionally restricted euxassay_010280_16
TS23: tail mesenchyme Weak Regionally restricted euxassay_010280_16

Specimen euxassay_010280_17: embryonic day 14.5 (more )
Structure Level Pattern Image Note
TS23: liver lobe Strong Spotted euxassay_010280_17
TS23: vertebral axis musculature Weak Regionally restricted euxassay_010280_17

Specimen euxassay_010280_18: embryonic day 14.5 (more )
Structure Level Pattern Image Note
TS23: liver lobe Strong Spotted euxassay_010280_18
TS23: vertebral axis musculature Weak Regionally restricted euxassay_010280_18

Specimen euxassay_010280_19: embryonic day 14.5 (more )
Structure Level Pattern Image Note
TS23: liver lobe Strong Spotted euxassay_010280_19
TS23: vertebral axis musculature Weak Regionally restricted euxassay_010280_19

Specimen euxassay_010280_20: embryonic day 14.5 (more )
Structure Level Pattern Image Note
TS23: liver lobe Strong Spotted euxassay_010280_20
TS23: vertebral axis musculature Weak Regionally restricted euxassay_010280_20

Specimen euxassay_010280_21: embryonic day 14.5 (more )
Structure Level Pattern Image Note
TS23: liver lobe Strong Spotted euxassay_010280_21
TS23: vertebral axis musculature Weak Regionally restricted euxassay_010280_21

Specimen euxassay_010280_22: embryonic day 14.5 (more )
Structure Level Pattern Image Note
TS23: liver lobe Strong Spotted euxassay_010280_22
TS23: vertebral axis musculature Weak Regionally restricted euxassay_010280_22


Contributing Projects:
Mouse Genome Database (MGD), Gene Expression Database (GXD), Mouse Models of Human Cancer database (MMHCdb) (formerly Mouse Tumor Biology (MTB)), Gene Ontology (GO)
Citing These Resources
Funding Information
Warranty Disclaimer, Privacy Notice, Licensing, & Copyright
Send questions and comments to User Support.
last database update
01/28/2026
MGI 6.24
The Jackson Laboratory