About   Help   FAQ
Gene Expression Data
Assay Details
Assay
Reference: J:153498 Diez-Roux G, et al., A high-resolution anatomical atlas of the transcriptome in the mouse embryo. PLoS Biol. 2011;9(1):e1000582
Assay type: RNA in situ
MGI Accession ID: MGI:4829371
Gene symbol: Zswim6
Gene name: zinc finger SWIM-type containing 6
Probe: T31415
Probe preparation: Antisense labelled with digoxigenin RNA
Visualized with: Alkaline phosphatase
Assay notes: Cryosections of fresh frozen material were fixed in 4% paraformaldehyde for 20 min. before further processing. A tyramide-biotin/streptavidin amplification step was included in the in situ hybridization procedure.
Results
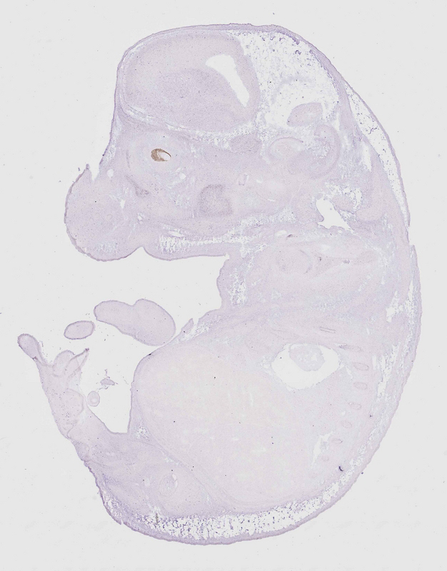
Specimen euxassay_012565_04: embryonic day 14.5 (more )
Structure Level Pattern Image Note
TS23: telencephalon mantle layer Moderate Regionally restricted euxassay_012565_04
TS23: mandible Weak Regionally restricted euxassay_012565_04

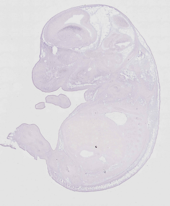
Specimen euxassay_012565_05: embryonic day 14.5 (more )
Structure Level Pattern Image Note
TS23: telencephalon mantle layer Moderate Regionally restricted euxassay_012565_05
TS23: mandible Weak Regionally restricted euxassay_012565_05

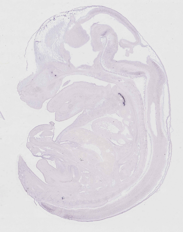
Specimen euxassay_012565_06: embryonic day 14.5 (more )
Structure Level Pattern Image Note
TS23: telencephalon mantle layer Moderate Regionally restricted euxassay_012565_06

Specimen euxassay_012565_07: embryonic day 14.5 (more )
Structure Level Pattern Image Note
TS23: telencephalon mantle layer Moderate Regionally restricted euxassay_012565_07
TS23: midbrain mantle layer Moderate Regionally restricted euxassay_012565_07
TS23: mandible Weak Regionally restricted euxassay_012565_07
TS23: maxilla Weak Regionally restricted euxassay_012565_07

Specimen euxassay_012565_08: embryonic day 14.5 (more )
Structure Level Pattern Image Note
TS23: telencephalon mantle layer Moderate Regionally restricted euxassay_012565_08
TS23: midbrain mantle layer Moderate Regionally restricted euxassay_012565_08
TS23: mandible Weak Regionally restricted euxassay_012565_08
TS23: maxilla Weak Regionally restricted euxassay_012565_08

Specimen euxassay_012565_09: embryonic day 14.5 (more )
Structure Level Pattern Image Note
TS23: midbrain mantle layer Moderate Regionally restricted euxassay_012565_09
TS23: mandible Weak Regionally restricted euxassay_012565_09
TS23: maxilla Weak Regionally restricted euxassay_012565_09

Specimen euxassay_012565_10: embryonic day 14.5 (more )
Structure Level Pattern Image Note
TS23: midbrain mantle layer Moderate Regionally restricted euxassay_012565_10

Specimen euxassay_012565_12: embryonic day 14.5 (more )
Structure Level Pattern Image Note
TS23: diencephalon lateral wall mantle layer Moderate Regionally restricted euxassay_012565_12

Specimen euxassay_012565_13: embryonic day 14.5 (more )
Structure Level Pattern Image Note
TS23: diencephalon lateral wall mantle layer Moderate Regionally restricted euxassay_012565_13

Specimen euxassay_012565_15: embryonic day 14.5 (more )
Structure Level Pattern Image Note
TS23: midbrain mantle layer Moderate Regionally restricted euxassay_012565_15

Specimen euxassay_012565_16: embryonic day 14.5 (more )
Structure Level Pattern Image Note
TS23: midbrain mantle layer Moderate Regionally restricted euxassay_012565_16

Specimen euxassay_012565_17: embryonic day 14.5 (more )
Structure Level Pattern Image Note
TS23: midbrain mantle layer Moderate Regionally restricted euxassay_012565_17
TS23: mandible Weak Regionally restricted euxassay_012565_17
TS23: maxilla Weak Regionally restricted euxassay_012565_17

Specimen euxassay_012565_18: embryonic day 14.5 (more )
Structure Level Pattern Image Note
TS23: telencephalon mantle layer Moderate Regionally restricted euxassay_012565_18
TS23: midbrain mantle layer Moderate Regionally restricted euxassay_012565_18
TS23: mandible Weak Regionally restricted euxassay_012565_18
TS23: maxilla Weak Regionally restricted euxassay_012565_18

Specimen euxassay_012565_19: embryonic day 14.5 (more )
Structure Level Pattern Image Note
TS23: telencephalon mantle layer Moderate Regionally restricted euxassay_012565_19
TS23: mandible Weak Regionally restricted euxassay_012565_19
TS23: maxilla Weak Regionally restricted euxassay_012565_19

Specimen euxassay_012565_20: embryonic day 14.5 (more )
Structure Level Pattern Image Note
TS23: telencephalon mantle layer Moderate Regionally restricted euxassay_012565_20
TS23: mandible Weak Regionally restricted euxassay_012565_20
TS23: maxilla Weak Regionally restricted euxassay_012565_20

Specimen euxassay_012565_21: embryonic day 14.5 (more )
Structure Level Pattern Image Note
TS23: telencephalon mantle layer Moderate Regionally restricted euxassay_012565_21
TS23: mandible Weak Regionally restricted euxassay_012565_21

Specimen euxassay_012565_22: embryonic day 14.5 (more )
Structure Level Pattern Image Note
TS23: mandible Weak Regionally restricted euxassay_012565_22

Specimen euxassay_012565_23: embryonic day 14.5 (more )
Structure Level Pattern Image Note
TS23: mandible Weak Regionally restricted euxassay_012565_23


Contributing Projects:
Mouse Genome Database (MGD), Gene Expression Database (GXD), Mouse Models of Human Cancer database (MMHCdb) (formerly Mouse Tumor Biology (MTB)), Gene Ontology (GO)
Citing These Resources
Funding Information
Warranty Disclaimer, Privacy Notice, Licensing, & Copyright
Send questions and comments to User Support.
last database update
01/28/2026
MGI 6.24
The Jackson Laboratory