About   Help   FAQ
Gene Expression Data
Assay Details
Assay
Reference: J:153498 Diez-Roux G, et al., A high-resolution anatomical atlas of the transcriptome in the mouse embryo. PLoS Biol. 2011;9(1):e1000582
Assay type: RNA in situ
MGI Accession ID: MGI:4829359
Gene symbol: Zmiz2
Gene name: zinc finger, MIZ-type containing 2
Probe: MGC clone 79158
Probe preparation: Antisense labelled with digoxigenin RNA
Visualized with: Alkaline phosphatase
Assay notes: Cryosections of fresh frozen material were fixed in 4% paraformaldehyde for 20 min. before further processing. A tyramide-biotin/streptavidin amplification step was included in the in situ hybridization procedure.
Results
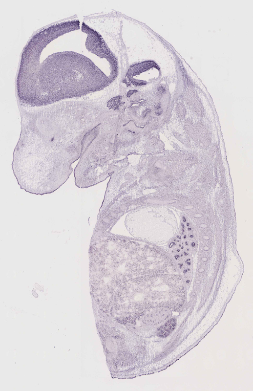
Specimen euxassay_007158_01: embryonic day 14.5 (more )
Structure Level Pattern Image Note
TS23: telencephalon Moderate Uniform euxassay_007158_01
TS23: neural retina Weak Regionally restricted euxassay_007158_01

Specimen euxassay_007158_02: embryonic day 14.5 (more )
Structure Level Pattern Image Note
TS23: trigeminal ganglion Moderate Regionally restricted euxassay_007158_02
TS23: telencephalon Moderate Uniform euxassay_007158_02
TS23: hindbrain Moderate Uniform euxassay_007158_02
TS23: neural retina Weak Regionally restricted euxassay_007158_02

Specimen euxassay_007158_03: embryonic day 14.5 (more )
Structure Level Pattern Image Note
TS23: trigeminal ganglion Moderate Regionally restricted euxassay_007158_03
TS23: telencephalon Moderate Uniform euxassay_007158_03
TS23: hindbrain Moderate Uniform euxassay_007158_03
TS23: neural retina Weak Regionally restricted euxassay_007158_03

Specimen euxassay_007158_04: embryonic day 14.5 (more )
Structure Level Pattern Image Note
TS23: trigeminal ganglion Moderate Regionally restricted euxassay_007158_04
TS23: facial ganglion Moderate Regionally restricted euxassay_007158_04
TS23: telencephalon Moderate Uniform euxassay_007158_04
TS23: hindbrain Moderate Uniform euxassay_007158_04
TS23: midbrain Moderate Uniform euxassay_007158_04
TS23: left lung Strong Regionally restricted euxassay_007158_04

Specimen euxassay_007158_05: embryonic day 14.5 (more )
Structure Level Pattern Image Note
TS23: facial ganglion Moderate Regionally restricted euxassay_007158_05
TS23: trigeminal ganglion Moderate Regionally restricted euxassay_007158_05
TS23: telencephalon Moderate Uniform euxassay_007158_05
TS23: hindbrain Moderate Uniform euxassay_007158_05
TS23: midbrain Moderate Uniform euxassay_007158_05
TS23: left lung Moderate Regionally restricted euxassay_007158_05

Specimen euxassay_007158_06: embryonic day 14.5 (more )
Structure Level Pattern Image Note
TS23: trigeminal ganglion Moderate Regionally restricted euxassay_007158_06
TS23: glossopharyngeal ganglion Moderate Regionally restricted euxassay_007158_06
TS23: vestibulo-cochlear ganglion Moderate Regionally restricted euxassay_007158_06
TS23: dorsal root ganglion Strong Regionally restricted euxassay_007158_06
TS23: midbrain Moderate Uniform euxassay_007158_06
TS23: hindbrain Moderate Uniform euxassay_007158_06
TS23: telencephalon Moderate Uniform euxassay_007158_06
TS23: left lung Moderate Regionally restricted euxassay_007158_06
TS23: vibrissa Weak Regionally restricted euxassay_007158_06

Specimen euxassay_007158_07: embryonic day 14.5 (more )
Structure Level Pattern Image Note
TS23: vestibulo-cochlear ganglion Moderate Regionally restricted euxassay_007158_07
TS23: glossopharyngeal ganglion Moderate Regionally restricted euxassay_007158_07
TS23: trigeminal ganglion Moderate Regionally restricted euxassay_007158_07
TS23: dorsal root ganglion Strong Regionally restricted euxassay_007158_07
TS23: diencephalon Moderate Uniform euxassay_007158_07
TS23: telencephalon Moderate Uniform euxassay_007158_07
TS23: hindbrain Moderate Uniform euxassay_007158_07
TS23: midbrain Moderate Uniform euxassay_007158_07
TS23: left lung Moderate Regionally restricted euxassay_007158_07
TS23: vibrissa Weak Regionally restricted euxassay_007158_07
TS23: submandibular gland primordium Weak Regionally restricted euxassay_007158_07

Specimen euxassay_007158_08: embryonic day 14.5 (more )
Structure Level Pattern Image Note
TS23: vagus ganglion Moderate Regionally restricted euxassay_007158_08
TS23: trigeminal ganglion Moderate Regionally restricted euxassay_007158_08
TS23: dorsal root ganglion Strong Regionally restricted euxassay_007158_08
TS23: diencephalon Moderate Uniform euxassay_007158_08
TS23: telencephalon Moderate Uniform euxassay_007158_08
TS23: midbrain Moderate Uniform euxassay_007158_08
TS23: hindbrain Moderate Uniform euxassay_007158_08
TS23: spinal cord Moderate Uniform euxassay_007158_08
TS23: left lung Strong Regionally restricted euxassay_007158_08
TS23: olfactory epithelium Moderate Regionally restricted euxassay_007158_08
TS23: vibrissa Weak Regionally restricted euxassay_007158_08
TS23: submandibular gland primordium Weak Regionally restricted euxassay_007158_08

Specimen euxassay_007158_09: embryonic day 14.5 (more )
Structure Level Pattern Image Note
TS23: trigeminal nerve Moderate Regionally restricted euxassay_007158_09
TS23: trigeminal ganglion Moderate Regionally restricted euxassay_007158_09
TS23: dorsal root ganglion Moderate Regionally restricted euxassay_007158_09
TS23: spinal cord Moderate Uniform euxassay_007158_09
TS23: midbrain Moderate Uniform euxassay_007158_09
TS23: hindbrain Moderate Uniform euxassay_007158_09
TS23: telencephalon Moderate Uniform euxassay_007158_09
TS23: diencephalon Moderate Uniform euxassay_007158_09
TS23: left lung Moderate Regionally restricted euxassay_007158_09
TS23: olfactory epithelium Moderate Regionally restricted euxassay_007158_09
TS23: cervico-thoracic ganglion Weak Regionally restricted euxassay_007158_09
TS23: submandibular gland primordium Weak Regionally restricted euxassay_007158_09

Specimen euxassay_007158_10: embryonic day 14.5 (more )
Structure Level Pattern Image Note
TS23: dorsal root ganglion Moderate Regionally restricted euxassay_007158_10
TS23: spinal cord Moderate Uniform euxassay_007158_10
TS23: midbrain Moderate Uniform euxassay_007158_10
TS23: hindbrain Moderate Uniform euxassay_007158_10
TS23: telencephalon Moderate Uniform euxassay_007158_10
TS23: diencephalon Moderate Uniform euxassay_007158_10
TS23: left lung Moderate Regionally restricted euxassay_007158_10
TS23: olfactory epithelium Moderate Regionally restricted euxassay_007158_10
TS23: thyroid gland Weak Regionally restricted euxassay_007158_10
TS23: cervico-thoracic ganglion Weak Regionally restricted euxassay_007158_10
TS23: submandibular gland primordium Weak Regionally restricted euxassay_007158_10

Specimen euxassay_007158_11: embryonic day 14.5 (more )
Structure Level Pattern Image Note
TS23: dorsal root ganglion Moderate Regionally restricted euxassay_007158_11
TS23: spinal cord Moderate Uniform euxassay_007158_11
TS23: midbrain Moderate Uniform euxassay_007158_11
TS23: hindbrain Moderate Uniform euxassay_007158_11
TS23: telencephalon Moderate Uniform euxassay_007158_11
TS23: diencephalon Moderate Uniform euxassay_007158_11
TS23: left lung Moderate Regionally restricted euxassay_007158_11
TS23: olfactory epithelium Moderate Regionally restricted euxassay_007158_11
TS23: thymus primordium Weak Regionally restricted euxassay_007158_11

Specimen euxassay_007158_12: embryonic day 14.5 (more )
Structure Level Pattern Image Note
TS23: spinal cord Moderate Uniform euxassay_007158_12
TS23: midbrain Moderate Uniform euxassay_007158_12
TS23: hindbrain Moderate Uniform euxassay_007158_12
TS23: telencephalon Moderate Uniform euxassay_007158_12
TS23: diencephalon Moderate Uniform euxassay_007158_12
TS23: right lung Moderate Regionally restricted euxassay_007158_12
TS23: olfactory epithelium Moderate Regionally restricted euxassay_007158_12
TS23: thymus primordium Weak Regionally restricted euxassay_007158_12
TS23: esophagus Weak Regionally restricted euxassay_007158_12
TS23: thoracic ganglion Weak Regionally restricted euxassay_007158_12

Specimen euxassay_007158_13: embryonic day 14.5 (more )
Structure Level Pattern Image Note
TS23: spinal cord Moderate Uniform euxassay_007158_13
TS23: midbrain Moderate Uniform euxassay_007158_13
TS23: hindbrain Moderate Uniform euxassay_007158_13
TS23: telencephalon Moderate Uniform euxassay_007158_13
TS23: diencephalon Moderate Uniform euxassay_007158_13
TS23: right lung Moderate Regionally restricted euxassay_007158_13
TS23: nasal cavity respiratory epithelium Moderate Regionally restricted euxassay_007158_13
TS23: thymus primordium Weak Regionally restricted euxassay_007158_13

Specimen euxassay_007158_14: embryonic day 14.5 (more )
Structure Level Pattern Image Note
TS23: spinal cord Moderate Uniform euxassay_007158_14
TS23: midbrain Moderate Uniform euxassay_007158_14
TS23: hindbrain Moderate Uniform euxassay_007158_14
TS23: telencephalon Moderate Uniform euxassay_007158_14
TS23: diencephalon Moderate Uniform euxassay_007158_14
TS23: right lung Moderate Regionally restricted euxassay_007158_14
TS23: olfactory epithelium Moderate Regionally restricted euxassay_007158_14
TS23: thymus primordium Weak Regionally restricted euxassay_007158_14

Specimen euxassay_007158_15: embryonic day 14.5 (more )
Structure Level Pattern Image Note
TS23: dorsal root ganglion Strong Regionally restricted euxassay_007158_15
TS23: spinal cord Moderate Uniform euxassay_007158_15
TS23: midbrain Moderate Uniform euxassay_007158_15
TS23: hindbrain Moderate Uniform euxassay_007158_15
TS23: telencephalon Moderate Uniform euxassay_007158_15
TS23: diencephalon Moderate Uniform euxassay_007158_15
TS23: right lung Moderate Regionally restricted euxassay_007158_15
TS23: olfactory epithelium Moderate Regionally restricted euxassay_007158_15
TS23: thymus primordium Weak Regionally restricted euxassay_007158_15
TS23: thyroid gland Weak Regionally restricted euxassay_007158_15
TS23: cervico-thoracic ganglion Weak Regionally restricted euxassay_007158_15

Specimen euxassay_007158_16: embryonic day 14.5 (more )
Structure Level Pattern Image Note
TS23: dorsal root ganglion Strong Regionally restricted euxassay_007158_16
TS23: midbrain Moderate Uniform euxassay_007158_16
TS23: hindbrain Moderate Uniform euxassay_007158_16
TS23: diencephalon Moderate Uniform euxassay_007158_16
TS23: telencephalon Moderate Uniform euxassay_007158_16
TS23: right lung Moderate Regionally restricted euxassay_007158_16
TS23: olfactory epithelium Moderate Regionally restricted euxassay_007158_16
TS23: submandibular gland primordium Weak Regionally restricted euxassay_007158_16

Specimen euxassay_007158_17: embryonic day 14.5 (more )
Structure Level Pattern Image Note
TS23: trigeminal ganglion Moderate Regionally restricted euxassay_007158_17
TS23: trigeminal nerve Moderate Regionally restricted euxassay_007158_17
TS23: glossopharyngeal ganglion Moderate Regionally restricted euxassay_007158_17
TS23: vestibulo-cochlear ganglion Moderate Regionally restricted euxassay_007158_17
TS23: vagus ganglion Moderate Regionally restricted euxassay_007158_17
TS23: dorsal root ganglion Moderate Regionally restricted euxassay_007158_17
TS23: diencephalon Moderate Uniform euxassay_007158_17
TS23: telencephalon Moderate Uniform euxassay_007158_17
TS23: hindbrain Moderate Uniform euxassay_007158_17
TS23: midbrain Moderate Uniform euxassay_007158_17
TS23: right lung Moderate Regionally restricted euxassay_007158_17
TS23: olfactory epithelium Moderate Regionally restricted euxassay_007158_17
TS23: submandibular gland primordium Weak Regionally restricted euxassay_007158_17

Specimen euxassay_007158_18: embryonic day 14.5 (more )
Structure Level Pattern Image Note
TS23: glossopharyngeal ganglion Moderate Regionally restricted euxassay_007158_18
TS23: vestibulo-cochlear ganglion Moderate Regionally restricted euxassay_007158_18
TS23: trigeminal ganglion Moderate Regionally restricted euxassay_007158_18
TS23: telencephalon Moderate Uniform euxassay_007158_18
TS23: diencephalon Moderate Uniform euxassay_007158_18
TS23: midbrain Moderate Uniform euxassay_007158_18
TS23: hindbrain Moderate Uniform euxassay_007158_18
TS23: right lung Moderate Regionally restricted euxassay_007158_18
TS23: olfactory epithelium Moderate Regionally restricted euxassay_007158_18
TS23: submandibular gland primordium Weak Regionally restricted euxassay_007158_18

Specimen euxassay_007158_19: embryonic day 14.5 (more )
Structure Level Pattern Image Note
TS23: trigeminal ganglion Moderate Regionally restricted euxassay_007158_19
TS23: facial ganglion Moderate Regionally restricted euxassay_007158_19
TS23: hindbrain Moderate Uniform euxassay_007158_19
TS23: telencephalon Moderate Uniform euxassay_007158_19
TS23: right lung Moderate Regionally restricted euxassay_007158_19
TS23: olfactory epithelium Moderate Regionally restricted euxassay_007158_19
TS23: submandibular gland primordium Weak Regionally restricted euxassay_007158_19

Specimen euxassay_007158_20: embryonic day 14.5 (more )
Structure Level Pattern Image Note
TS23: trigeminal ganglion Moderate Regionally restricted euxassay_007158_20
TS23: telencephalon Moderate Uniform euxassay_007158_20
TS23: hindbrain Moderate Uniform euxassay_007158_20
TS23: right lung Strong Regionally restricted euxassay_007158_20

Specimen euxassay_007158_21: embryonic day 14.5 (more )
Structure Level Pattern Image Note
TS23: trigeminal ganglion Moderate Regionally restricted euxassay_007158_21
TS23: hindbrain Moderate Uniform euxassay_007158_21
TS23: telencephalon Moderate Uniform euxassay_007158_21
TS23: right lung Moderate Regionally restricted euxassay_007158_21
TS23: vibrissa Weak Regionally restricted euxassay_007158_21

Specimen euxassay_007158_22: embryonic day 14.5 (more )
Structure Level Pattern Image Note
TS23: trigeminal ganglion Moderate Regionally restricted euxassay_007158_22
TS23: telencephalon Moderate Uniform euxassay_007158_22
TS23: right lung Moderate Regionally restricted euxassay_007158_22
TS23: vibrissa Weak Regionally restricted euxassay_007158_22

Specimen euxassay_007158_23: embryonic day 14.5 (more )
Structure Level Pattern Image Note
TS23: telencephalon Moderate Uniform euxassay_007158_23
TS23: right lung Moderate Regionally restricted euxassay_007158_23
TS23: vibrissa Weak Regionally restricted euxassay_007158_23
TS23: neural retina Weak Regionally restricted euxassay_007158_23

Specimen euxassay_007158_24: embryonic day 14.5 (more )
Structure Level Pattern Image Note
TS23: telencephalon Moderate Uniform euxassay_007158_24
TS23: neural retina Weak Regionally restricted euxassay_007158_24


Contributing Projects:
Mouse Genome Database (MGD), Gene Expression Database (GXD), Mouse Models of Human Cancer database (MMHCdb) (formerly Mouse Tumor Biology (MTB)), Gene Ontology (GO)
Citing These Resources
Funding Information
Warranty Disclaimer, Privacy Notice, Licensing, & Copyright
Send questions and comments to User Support.
last database update
03/24/2026
MGI 6.24
The Jackson Laboratory