About   Help   FAQ
Gene Expression Data
Assay Details
Assay
Reference: J:153498 Diez-Roux G, et al., A high-resolution anatomical atlas of the transcriptome in the mouse embryo. PLoS Biol. 2011;9(1):e1000582
Assay type: RNA in situ
MGI Accession ID: MGI:4829350
Gene symbol: Zfyve27
Gene name: zinc finger, FYVE domain containing 27
Probe: MGC clone 38974
Probe preparation: Antisense labelled with digoxigenin RNA
Visualized with: Alkaline phosphatase
Assay notes: Cryosections of fresh frozen material were fixed in 4% paraformaldehyde for 20 min. before further processing. A tyramide-biotin/streptavidin amplification step was included in the in situ hybridization procedure.
Results
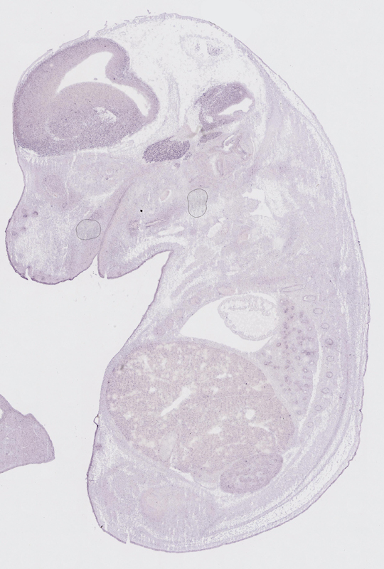
Specimen euxassay_003201_01: embryonic day 14.5 (more )
Structure Level Pattern Image Note
TS23: neural retina Weak Regionally restricted euxassay_003201_01

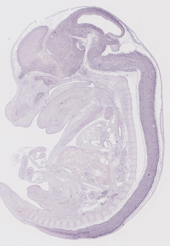
Specimen euxassay_003201_02: embryonic day 14.5 (more )
Structure Level Pattern Image Note
TS23: neural retina Moderate Regionally restricted euxassay_003201_02

Specimen euxassay_003201_03: embryonic day 14.5 (more )
Structure Level Pattern Image Note
TS23: neural retina Moderate Regionally restricted euxassay_003201_03

Specimen euxassay_003201_04: embryonic day 14.5 (more )
Structure Level Pattern Image Note
TS23: trigeminal ganglion Moderate Regionally restricted euxassay_003201_04
TS23: neural retina Moderate Regionally restricted euxassay_003201_04

Specimen euxassay_003201_05: embryonic day 14.5 (more )
Structure Level Pattern Image Note
TS23: trigeminal ganglion Moderate Regionally restricted euxassay_003201_05
TS23: facial ganglion Moderate Regionally restricted euxassay_003201_05

Specimen euxassay_003201_06: embryonic day 14.5 (more )
Structure Level Pattern Image Note
TS23: trigeminal ganglion Moderate Regionally restricted euxassay_003201_06
TS23: vibrissa Weak Regionally restricted euxassay_003201_06

Specimen euxassay_003201_07: embryonic day 14.5 (more )
Structure Level Pattern Image Note
TS23: trigeminal ganglion Moderate Regionally restricted euxassay_003201_07
TS23: vestibulo-cochlear ganglion Moderate Regionally restricted euxassay_003201_07
TS23: vibrissa Weak Regionally restricted euxassay_003201_07

Specimen euxassay_003201_08: embryonic day 14.5 (more )
Structure Level Pattern Image Note
TS23: trigeminal ganglion Moderate Regionally restricted euxassay_003201_08
TS23: glossopharyngeal ganglion Moderate Regionally restricted euxassay_003201_08
TS23: vestibulo-cochlear ganglion Moderate Regionally restricted euxassay_003201_08
TS23: vibrissa Weak Regionally restricted euxassay_003201_08

Specimen euxassay_003201_09: embryonic day 14.5 (more )
Structure Level Pattern Image Note
TS23: vestibulo-cochlear ganglion Moderate Regionally restricted euxassay_003201_09
TS23: glossopharyngeal ganglion Moderate Regionally restricted euxassay_003201_09
TS23: trigeminal ganglion Moderate Regionally restricted euxassay_003201_09
TS23: vibrissa Weak Regionally restricted euxassay_003201_09
TS23: dorsal root ganglion Moderate Regionally restricted euxassay_003201_09
TS23: olfactory epithelium Weak Regionally restricted euxassay_003201_09

Specimen euxassay_003201_10: embryonic day 14.5 (more )
Structure Level Pattern Image Note
TS23: vagus ganglion Moderate Regionally restricted euxassay_003201_10
TS23: trigeminal ganglion Moderate Regionally restricted euxassay_003201_10
TS23: vestibulo-cochlear ganglion Moderate Regionally restricted euxassay_003201_10
TS23: dorsal root ganglion Moderate Regionally restricted euxassay_003201_10
TS23: olfactory epithelium Weak Regionally restricted euxassay_003201_10

Specimen euxassay_003201_11: embryonic day 14.5 (more )
Structure Level Pattern Image Note
TS23: dorsal root ganglion Moderate Regionally restricted euxassay_003201_11
TS23: olfactory epithelium Weak Regionally restricted euxassay_003201_11
TS23: cervical ganglion Weak Regionally restricted euxassay_003201_11
TS23: cervico-thoracic ganglion Weak Regionally restricted euxassay_003201_11

Specimen euxassay_003201_12: embryonic day 14.5 (more )
Structure Level Pattern Image Note
TS23: dorsal root ganglion Moderate Regionally restricted euxassay_003201_12
TS23: olfactory epithelium Weak Regionally restricted euxassay_003201_12
TS23: cervico-thoracic ganglion Weak Regionally restricted euxassay_003201_12

Specimen euxassay_003201_13: embryonic day 14.5 (more )
Structure Level Pattern Image Note
TS23: dorsal root ganglion Moderate Regionally restricted euxassay_003201_13
TS23: olfactory epithelium Moderate Regionally restricted euxassay_003201_13

Specimen euxassay_003201_14: embryonic day 14.5 (more )
Structure Level Pattern Image Note
TS23: olfactory epithelium Moderate Regionally restricted euxassay_003201_14
TS23: thoracic ganglion Weak Regionally restricted euxassay_003201_14

Specimen euxassay_003201_16: embryonic day 14.5 (more )
Structure Level Pattern Image Note
TS23: olfactory epithelium Moderate Regionally restricted euxassay_003201_16

Specimen euxassay_003201_17: embryonic day 14.5 (more )
Structure Level Pattern Image Note
TS23: dorsal root ganglion Moderate Regionally restricted euxassay_003201_17
TS23: olfactory epithelium Moderate Regionally restricted euxassay_003201_17

Specimen euxassay_003201_18: embryonic day 14.5 (more )
Structure Level Pattern Image Note
TS23: dorsal root ganglion Moderate Regionally restricted euxassay_003201_18
TS23: olfactory epithelium Moderate Regionally restricted euxassay_003201_18
TS23: cervico-thoracic ganglion Weak Regionally restricted euxassay_003201_18
TS23: cervical ganglion Weak Regionally restricted euxassay_003201_18

Specimen euxassay_003201_19: embryonic day 14.5 (more )
Structure Level Pattern Image Note
TS23: vestibulo-cochlear ganglion Moderate Regionally restricted euxassay_003201_19
TS23: trigeminal ganglion Moderate Regionally restricted euxassay_003201_19
TS23: vagus ganglion Moderate Regionally restricted euxassay_003201_19
TS23: dorsal root ganglion Moderate Regionally restricted euxassay_003201_19
TS23: olfactory epithelium Weak Regionally restricted euxassay_003201_19

Specimen euxassay_003201_20: embryonic day 14.5 (more )
Structure Level Pattern Image Note
TS23: vestibulo-cochlear ganglion Moderate Regionally restricted euxassay_003201_20
TS23: trigeminal ganglion Moderate Regionally restricted euxassay_003201_20
TS23: glossopharyngeal ganglion Moderate Regionally restricted euxassay_003201_20
TS23: dorsal root ganglion Moderate Regionally restricted euxassay_003201_20
TS23: olfactory epithelium Weak Regionally restricted euxassay_003201_20

Specimen euxassay_003201_21: embryonic day 14.5 (more )
Structure Level Pattern Image Note
TS23: vestibulo-cochlear ganglion Moderate Regionally restricted euxassay_003201_21
TS23: glossopharyngeal ganglion Moderate Regionally restricted euxassay_003201_21
TS23: trigeminal ganglion Moderate Regionally restricted euxassay_003201_21
TS23: vibrissa Moderate Regionally restricted euxassay_003201_21
TS23: olfactory epithelium Weak Regionally restricted euxassay_003201_21

Specimen euxassay_003201_22: embryonic day 14.5 (more )
Structure Level Pattern Image Note
TS23: trigeminal ganglion Moderate Regionally restricted euxassay_003201_22
TS23: vibrissa Moderate Regionally restricted euxassay_003201_22

Specimen euxassay_003201_23: embryonic day 14.5 (more )
Structure Level Pattern Image Note
TS23: trigeminal ganglion Moderate Regionally restricted euxassay_003201_23
TS23: facial ganglion Moderate Regionally restricted euxassay_003201_23
TS23: vibrissa Moderate Regionally restricted euxassay_003201_23

Specimen euxassay_003201_24: embryonic day 14.5 (more )
Structure Level Pattern Image Note
TS23: trigeminal ganglion Moderate Regionally restricted euxassay_003201_24
TS23: facial ganglion Moderate Regionally restricted euxassay_003201_24
TS23: vibrissa Moderate Regionally restricted euxassay_003201_24


Contributing Projects:
Mouse Genome Database (MGD), Gene Expression Database (GXD), Mouse Models of Human Cancer database (MMHCdb) (formerly Mouse Tumor Biology (MTB)), Gene Ontology (GO)
Citing These Resources
Funding Information
Warranty Disclaimer, Privacy Notice, Licensing, & Copyright
Send questions and comments to User Support.
last database update
01/28/2026
MGI 6.24
The Jackson Laboratory