About   Help   FAQ
Gene Expression Data
Assay Details
Assay
Reference: J:153498 Diez-Roux G, et al., A high-resolution anatomical atlas of the transcriptome in the mouse embryo. PLoS Biol. 2011;9(1):e1000582
Assay type: RNA in situ
MGI Accession ID: MGI:4829342
Gene symbol: Zfp811
Gene name: zinc finger protein 811
Probe: MGC clone 62423
Probe preparation: Antisense labelled with digoxigenin RNA
Visualized with: Alkaline phosphatase
Assay notes: Cryosections of fresh frozen material were fixed in 4% paraformaldehyde for 20 min. before further processing. A tyramide-biotin/streptavidin amplification step was included in the in situ hybridization procedure.
Results
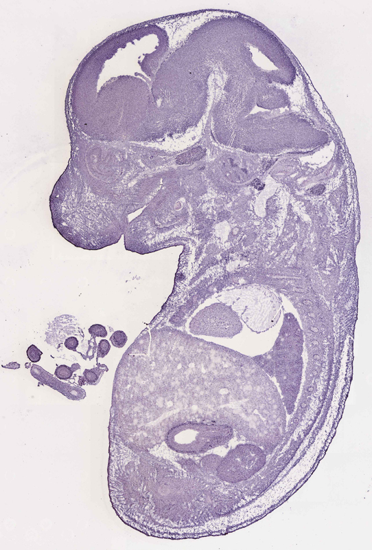
Specimen euxassay_007048_01: embryonic day 14.5 (more )
Structure Level Pattern Image Note
TS23: brain Moderate Regionally restricted euxassay_007048_01
TS23: neural retina Strong Regionally restricted euxassay_007048_01

Specimen euxassay_007048_02: embryonic day 14.5 (more )
Structure Level Pattern Image Note
TS23: brain Moderate Regionally restricted euxassay_007048_02
TS23: neural retina Strong Regionally restricted euxassay_007048_02
TS23: stomach Strong Regionally restricted euxassay_007048_02

Specimen euxassay_007048_03: embryonic day 14.5 (more )
Structure Level Pattern Image Note
TS23: brain Moderate Regionally restricted euxassay_007048_03
TS23: neural retina Strong Regionally restricted euxassay_007048_03
TS23: stomach Strong Regionally restricted euxassay_007048_03

Specimen euxassay_007048_04: embryonic day 14.5 (more )
Structure Level Pattern Image Note
TS23: brain Moderate Regionally restricted euxassay_007048_04
TS23: trigeminal ganglion Strong Regionally restricted euxassay_007048_04
TS23: neural retina Strong Regionally restricted euxassay_007048_04
TS23: stomach Strong Regionally restricted euxassay_007048_04
TS23: midgut Strong Regionally restricted euxassay_007048_04

Specimen euxassay_007048_05: embryonic day 14.5 (more )
Structure Level Pattern Image Note
TS23: brain Moderate Regionally restricted euxassay_007048_05
TS23: trigeminal ganglion Strong Regionally restricted euxassay_007048_05
TS23: facial ganglion Strong Regionally restricted euxassay_007048_05
TS23: neural retina Strong Regionally restricted euxassay_007048_05
TS23: stomach Strong Regionally restricted euxassay_007048_05
TS23: midgut Strong Regionally restricted euxassay_007048_05

Specimen euxassay_007048_06: embryonic day 14.5 (more )
Structure Level Pattern Image Note
TS23: brain Moderate Regionally restricted euxassay_007048_06
TS23: trigeminal ganglion Moderate Regionally restricted euxassay_007048_06
TS23: facial ganglion Moderate Regionally restricted euxassay_007048_06
TS23: stomach Strong Regionally restricted euxassay_007048_06
TS23: midgut Strong Regionally restricted euxassay_007048_06

Specimen euxassay_007048_07: embryonic day 14.5 (more )
Structure Level Pattern Image Note
TS23: brain Moderate Regionally restricted euxassay_007048_07
TS23: trigeminal ganglion Moderate Regionally restricted euxassay_007048_07
TS23: facial ganglion Moderate Regionally restricted euxassay_007048_07
TS23: stomach Strong Regionally restricted euxassay_007048_07
TS23: midgut Strong Regionally restricted euxassay_007048_07

Specimen euxassay_007048_08: embryonic day 14.5 (more )
Structure Level Pattern Image Note
TS23: brain Moderate Regionally restricted euxassay_007048_08
TS23: vestibulo-cochlear ganglion Moderate Regionally restricted euxassay_007048_08
TS23: glossopharyngeal ganglion Moderate Regionally restricted euxassay_007048_08
TS23: trigeminal ganglion Moderate Regionally restricted euxassay_007048_08
TS23: facial ganglion Moderate Regionally restricted euxassay_007048_08
TS23: stomach Strong Regionally restricted euxassay_007048_08
TS23: midgut Strong Regionally restricted euxassay_007048_08

Specimen euxassay_007048_09: embryonic day 14.5 (more )
Structure Level Pattern Image Note
TS23: brain Moderate Regionally restricted euxassay_007048_09
TS23: glossopharyngeal ganglion Moderate Regionally restricted euxassay_007048_09
TS23: vagus ganglion Moderate Regionally restricted euxassay_007048_09
TS23: trigeminal ganglion Moderate Regionally restricted euxassay_007048_09
TS23: vestibulo-cochlear ganglion Moderate Regionally restricted euxassay_007048_09
TS23: facial ganglion Moderate Regionally restricted euxassay_007048_09
TS23: stomach Strong Regionally restricted euxassay_007048_09
TS23: midgut Strong Regionally restricted euxassay_007048_09

Specimen euxassay_007048_10: embryonic day 14.5 (more )
Structure Level Pattern Image Note
TS23: brain Moderate Regionally restricted euxassay_007048_10
TS23: vestibulo-cochlear ganglion Moderate Regionally restricted euxassay_007048_10
TS23: trigeminal ganglion Moderate Regionally restricted euxassay_007048_10
TS23: vagus ganglion Moderate Regionally restricted euxassay_007048_10
TS23: stomach Strong Regionally restricted euxassay_007048_10
TS23: midgut Strong Regionally restricted euxassay_007048_10

Specimen euxassay_007048_11: embryonic day 14.5 (more )
Structure Level Pattern Image Note
TS23: brain Moderate Regionally restricted euxassay_007048_11
TS23: spinal cord Moderate Regionally restricted euxassay_007048_11
TS23: trigeminal nerve Moderate Regionally restricted euxassay_007048_11
TS23: cervical ganglion Strong Regionally restricted euxassay_007048_11
TS23: stomach Strong Regionally restricted euxassay_007048_11
TS23: midgut Strong Regionally restricted euxassay_007048_11

Specimen euxassay_007048_12: embryonic day 14.5 (more )
Structure Level Pattern Image Note
TS23: brain Moderate Regionally restricted euxassay_007048_12
TS23: spinal cord Moderate Regionally restricted euxassay_007048_12
TS23: stomach Strong Regionally restricted euxassay_007048_12
TS23: midgut Strong Regionally restricted euxassay_007048_12

Specimen euxassay_007048_13: embryonic day 14.5 (more )
Structure Level Pattern Image Note
TS23: brain Moderate Regionally restricted euxassay_007048_13
TS23: spinal cord Moderate Regionally restricted euxassay_007048_13
TS23: cervico-thoracic ganglion Strong Regionally restricted euxassay_007048_13
TS23: stomach Strong Regionally restricted euxassay_007048_13
TS23: midgut Strong Regionally restricted euxassay_007048_13

Specimen euxassay_007048_14: embryonic day 14.5 (more )
Structure Level Pattern Image Note
TS23: brain Moderate Regionally restricted euxassay_007048_14
TS23: spinal cord Moderate Regionally restricted euxassay_007048_14
TS23: cervico-thoracic ganglion Strong Regionally restricted euxassay_007048_14
TS23: midgut Strong Regionally restricted euxassay_007048_14

Specimen euxassay_007048_15: embryonic day 14.5 (more )
Structure Level Pattern Image Note
TS23: brain Moderate Regionally restricted euxassay_007048_15
TS23: spinal cord Moderate Regionally restricted euxassay_007048_15
TS23: thoracic ganglion Strong Regionally restricted euxassay_007048_15
TS23: midgut Strong Regionally restricted euxassay_007048_15
TS23: rectum Strong Regionally restricted euxassay_007048_15

Specimen euxassay_007048_16: embryonic day 14.5 (more )
Structure Level Pattern Image Note
TS23: brain Moderate Regionally restricted euxassay_007048_16
TS23: spinal cord Moderate Regionally restricted euxassay_007048_16
TS23: thoracic ganglion Strong Regionally restricted euxassay_007048_16
TS23: midgut Strong Regionally restricted euxassay_007048_16

Specimen euxassay_007048_17: embryonic day 14.5 (more )
Structure Level Pattern Image Note
TS23: brain Moderate Regionally restricted euxassay_007048_17
TS23: spinal cord Moderate Regionally restricted euxassay_007048_17
TS23: thoracic ganglion Strong Regionally restricted euxassay_007048_17
TS23: midgut Strong Regionally restricted euxassay_007048_17

Specimen euxassay_007048_18: embryonic day 14.5 (more )
Structure Level Pattern Image Note
TS23: brain Moderate Regionally restricted euxassay_007048_18
TS23: spinal cord Moderate Regionally restricted euxassay_007048_18
TS23: cervico-thoracic ganglion Strong Regionally restricted euxassay_007048_18
TS23: midgut Strong Regionally restricted euxassay_007048_18

Specimen euxassay_007048_19: embryonic day 14.5 (more )
Structure Level Pattern Image Note
TS23: brain Moderate Regionally restricted euxassay_007048_19
TS23: spinal cord Moderate Regionally restricted euxassay_007048_19
TS23: trigeminal nerve Moderate Regionally restricted euxassay_007048_19
TS23: trigeminal ganglion Moderate Regionally restricted euxassay_007048_19
TS23: vestibulo-cochlear ganglion Moderate Regionally restricted euxassay_007048_19
TS23: cervical ganglion Strong Regionally restricted euxassay_007048_19
TS23: cervico-thoracic ganglion Strong Regionally restricted euxassay_007048_19
TS23: midgut Strong Regionally restricted euxassay_007048_19

Specimen euxassay_007048_20: embryonic day 14.5 (more )
Structure Level Pattern Image Note
TS23: brain Moderate Regionally restricted euxassay_007048_20
TS23: spinal cord Moderate Regionally restricted euxassay_007048_20
TS23: trigeminal ganglion Moderate Regionally restricted euxassay_007048_20
TS23: vestibulo-cochlear ganglion Moderate Regionally restricted euxassay_007048_20
TS23: midgut Strong Regionally restricted euxassay_007048_20

Specimen euxassay_007048_21: embryonic day 14.5 (more )
Structure Level Pattern Image Note
TS23: brain Moderate Regionally restricted euxassay_007048_21
TS23: trigeminal ganglion Strong Regionally restricted euxassay_007048_21
TS23: facial ganglion Strong Regionally restricted euxassay_007048_21
TS23: glossopharyngeal ganglion Strong Regionally restricted euxassay_007048_21
TS23: vestibulo-cochlear ganglion Strong Regionally restricted euxassay_007048_21
TS23: midgut Strong Regionally restricted euxassay_007048_21

Specimen euxassay_007048_22: embryonic day 14.5 (more )
Structure Level Pattern Image Note
TS23: brain Moderate Regionally restricted euxassay_007048_22
TS23: trigeminal ganglion Moderate Regionally restricted euxassay_007048_22
TS23: facial ganglion Moderate Regionally restricted euxassay_007048_22
TS23: vestibulo-cochlear ganglion Moderate Regionally restricted euxassay_007048_22
TS23: glossopharyngeal ganglion Moderate Regionally restricted euxassay_007048_22
TS23: midgut Strong Regionally restricted euxassay_007048_22

Specimen euxassay_007048_23: embryonic day 14.5 (more )
Structure Level Pattern Image Note
TS23: brain Moderate Regionally restricted euxassay_007048_23
TS23: trigeminal ganglion Moderate Regionally restricted euxassay_007048_23
TS23: facial ganglion Moderate Regionally restricted euxassay_007048_23

Specimen euxassay_007048_24: embryonic day 14.5 (more )
Structure Level Pattern Image Note
TS23: brain Moderate Regionally restricted euxassay_007048_24
TS23: trigeminal ganglion Moderate Regionally restricted euxassay_007048_24
TS23: facial ganglion Moderate Regionally restricted euxassay_007048_24


Contributing Projects:
Mouse Genome Database (MGD), Gene Expression Database (GXD), Mouse Models of Human Cancer database (MMHCdb) (formerly Mouse Tumor Biology (MTB)), Gene Ontology (GO)
Citing These Resources
Funding Information
Warranty Disclaimer, Privacy Notice, Licensing, & Copyright
Send questions and comments to User Support.
last database update
03/24/2026
MGI 6.24
The Jackson Laboratory