About   Help   FAQ
Gene Expression Data
Assay Details
Assay
Reference: J:153498 Diez-Roux G, et al., A high-resolution anatomical atlas of the transcriptome in the mouse embryo. PLoS Biol. 2011;9(1):e1000582
Assay type: RNA in situ
MGI Accession ID: MGI:4829333
Gene symbol: Zfp7
Gene name: zinc finger protein 7
Probe: MGC clone 6397
Probe preparation: Antisense labelled with digoxigenin RNA
Visualized with: Alkaline phosphatase
Assay notes: Cryosections of fresh frozen material were fixed in 4% paraformaldehyde for 20 min. before further processing. A tyramide-biotin/streptavidin amplification step was included in the in situ hybridization procedure.
Results
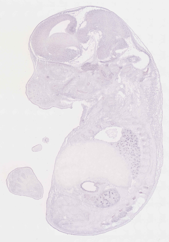
Specimen euxassay_004422_01: embryonic day 14.5 (more )
Structure Level Pattern Image Note
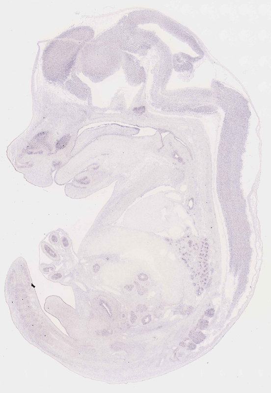
TS23: stomach Moderate Regionally restricted euxassay_004422_01
TS23: brain Moderate Regionally restricted euxassay_004422_01

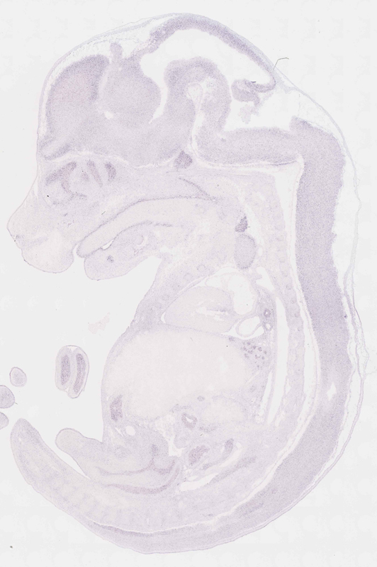
Specimen euxassay_004422_02: embryonic day 14.5 (more )
Structure Level Pattern Image Note
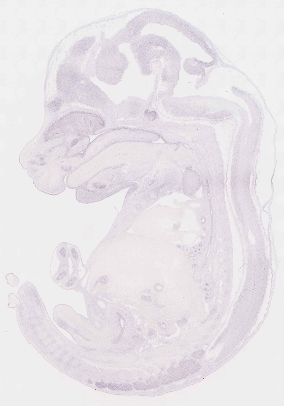
TS23: stomach Moderate Regionally restricted euxassay_004422_02
TS23: brain Weak Regionally restricted euxassay_004422_02

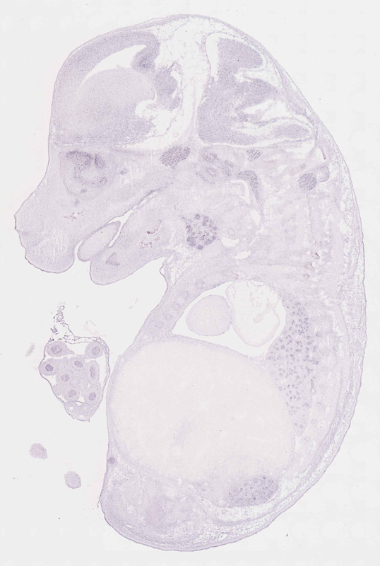
Specimen euxassay_004422_03: embryonic day 14.5 (more )
Structure Level Pattern Image Note
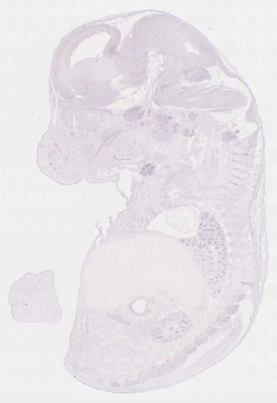
TS23: stomach Moderate Regionally restricted euxassay_004422_03
TS23: lung Moderate Regionally restricted euxassay_004422_03
TS23: brain Weak Regionally restricted euxassay_004422_03
TS23: trigeminal ganglion Moderate Regionally restricted euxassay_004422_03

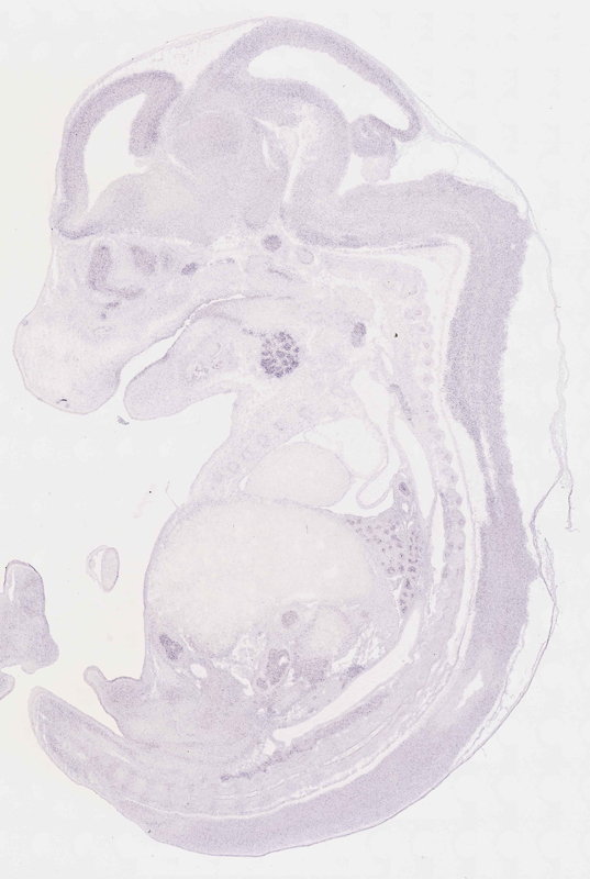
Specimen euxassay_004422_04: embryonic day 14.5 (more )
Structure Level Pattern Image Note
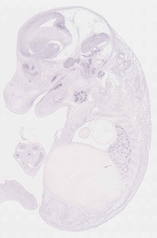
TS23: stomach Moderate Regionally restricted euxassay_004422_04
TS23: lung Moderate Regionally restricted euxassay_004422_04
TS23: brain Weak Regionally restricted euxassay_004422_04
TS23: trigeminal ganglion Moderate Regionally restricted euxassay_004422_04

Specimen euxassay_004422_05: embryonic day 14.5 (more )
Structure Level Pattern Image Note
TS23: stomach Moderate Regionally restricted euxassay_004422_05
TS23: lung Moderate Regionally restricted euxassay_004422_05
TS23: metanephros Moderate Spotted euxassay_004422_05
TS23: brain Weak Regionally restricted euxassay_004422_05
TS23: trigeminal ganglion Moderate Regionally restricted euxassay_004422_05
TS23: vestibulo-cochlear ganglion Moderate Regionally restricted euxassay_004422_05

Specimen euxassay_004422_06: embryonic day 14.5 (more )
Structure Level Pattern Image Note
TS23: stomach Moderate Regionally restricted euxassay_004422_06
TS23: lung Moderate Regionally restricted euxassay_004422_06
TS23: metanephros Moderate Spotted euxassay_004422_06
TS23: brain Weak Regionally restricted euxassay_004422_06
TS23: dorsal root ganglion Weak Regionally restricted euxassay_004422_06
TS23: trigeminal ganglion Moderate Regionally restricted euxassay_004422_06
TS23: vestibulo-cochlear ganglion Moderate Regionally restricted euxassay_004422_06

Specimen euxassay_004422_07: embryonic day 14.5 (more )
Structure Level Pattern Image Note
TS23: stomach Moderate Regionally restricted euxassay_004422_07
TS23: lung Moderate Regionally restricted euxassay_004422_07
TS23: submandibular gland primordium Moderate Regionally restricted euxassay_004422_07
TS23: metanephros Moderate Spotted euxassay_004422_07
TS23: brain Moderate Regionally restricted euxassay_004422_07
TS23: dorsal root ganglion Weak Regionally restricted euxassay_004422_07
TS23: trigeminal ganglion Moderate Regionally restricted euxassay_004422_07
TS23: vestibulo-cochlear ganglion Moderate Regionally restricted euxassay_004422_07
TS23: glossopharyngeal ganglion Moderate Regionally restricted euxassay_004422_07

Specimen euxassay_004422_08: embryonic day 14.5 (more )
Structure Level Pattern Image Note
TS23: stomach Moderate Regionally restricted euxassay_004422_08
TS23: lung Moderate Regionally restricted euxassay_004422_08
TS23: submandibular gland primordium Moderate Regionally restricted euxassay_004422_08
TS23: olfactory epithelium Moderate Regionally restricted euxassay_004422_08
TS23: metanephros Moderate Spotted euxassay_004422_08
TS23: brain Weak Regionally restricted euxassay_004422_08
TS23: dorsal root ganglion Weak Regionally restricted euxassay_004422_08
TS23: trigeminal ganglion Moderate Regionally restricted euxassay_004422_08
TS23: glossopharyngeal ganglion Moderate Regionally restricted euxassay_004422_08
TS23: vestibulo-cochlear ganglion Moderate Regionally restricted euxassay_004422_08
TS23: upper jaw molar Moderate Regionally restricted euxassay_004422_08
TS23: lower jaw molar Moderate Regionally restricted euxassay_004422_08
TS23: cervical ganglion Moderate Regionally restricted euxassay_004422_08

Specimen euxassay_004422_09: embryonic day 14.5 (more )
Structure Level Pattern Image Note
TS23: stomach Moderate Regionally restricted euxassay_004422_09
TS23: lung Moderate Regionally restricted euxassay_004422_09
TS23: submandibular gland primordium Moderate Regionally restricted euxassay_004422_09
TS23: olfactory epithelium Moderate Regionally restricted euxassay_004422_09
TS23: brain Moderate Regionally restricted euxassay_004422_09
TS23: spinal cord Moderate Regionally restricted euxassay_004422_09
TS23: dorsal root ganglion Moderate Regionally restricted euxassay_004422_09
TS23: trigeminal ganglion Moderate Regionally restricted euxassay_004422_09
TS23: vestibulo-cochlear ganglion Moderate Regionally restricted euxassay_004422_09
TS23: lower jaw molar Moderate Regionally restricted euxassay_004422_09
TS23: cervical ganglion Moderate Regionally restricted euxassay_004422_09
TS23: cervico-thoracic ganglion Moderate Regionally restricted euxassay_004422_09

Specimen euxassay_004422_10: embryonic day 14.5 (more )
Structure Level Pattern Image Note
TS23: midgut Moderate Regionally restricted euxassay_004422_10
TS23: lung Moderate Regionally restricted euxassay_004422_10
TS23: submandibular gland primordium Moderate Regionally restricted euxassay_004422_10
TS23: thyroid gland Moderate Regionally restricted euxassay_004422_10
TS23: olfactory epithelium Moderate Regionally restricted euxassay_004422_10
TS23: brain Moderate Regionally restricted euxassay_004422_10
TS23: spinal cord Moderate Regionally restricted euxassay_004422_10
TS23: adenohypophysis Moderate Regionally restricted euxassay_004422_10
TS23: thoracic ganglion Moderate Regionally restricted euxassay_004422_10

Specimen euxassay_004422_11: embryonic day 14.5 (more )
Structure Level Pattern Image Note
TS23: midgut Moderate Regionally restricted euxassay_004422_11
TS23: rectum Moderate Regionally restricted euxassay_004422_11
TS23: lung Moderate Regionally restricted euxassay_004422_11
TS23: thyroid gland Moderate Regionally restricted euxassay_004422_11
TS23: thymus primordium Weak Regionally restricted euxassay_004422_11
TS23: olfactory epithelium Moderate Regionally restricted euxassay_004422_11
TS23: brain Moderate Regionally restricted euxassay_004422_11
TS23: spinal cord Moderate Regionally restricted euxassay_004422_11
TS23: adenohypophysis Moderate Regionally restricted euxassay_004422_11
TS23: thoracic ganglion Moderate Regionally restricted euxassay_004422_11
TS23: tongue epithelium Moderate Regionally restricted euxassay_004422_11

Specimen euxassay_004422_12: embryonic day 14.5 (more )
Structure Level Pattern Image Note
TS23: midgut Moderate Regionally restricted euxassay_004422_12
TS23: trachea Moderate Regionally restricted euxassay_004422_12
TS23: lung Moderate Regionally restricted euxassay_004422_12
TS23: thymus primordium Weak Regionally restricted euxassay_004422_12
TS23: olfactory epithelium Moderate Regionally restricted euxassay_004422_12
TS23: nasal cavity respiratory epithelium Moderate Regionally restricted euxassay_004422_12
TS23: brain Moderate Regionally restricted euxassay_004422_12
TS23: spinal cord Moderate Regionally restricted euxassay_004422_12
TS23: adenohypophysis Moderate Regionally restricted euxassay_004422_12
TS23: dorsal root ganglion Moderate Regionally restricted euxassay_004422_12
TS23: palatal shelf epithelium Moderate Regionally restricted euxassay_004422_12
TS23: tongue epithelium Moderate Regionally restricted euxassay_004422_12

Specimen euxassay_004422_13: embryonic day 14.5 (more )
Structure Level Pattern Image Note
TS23: midgut Moderate Regionally restricted euxassay_004422_13
TS23: pharynx epithelium Moderate Regionally restricted euxassay_004422_13
TS23: lung Moderate Regionally restricted euxassay_004422_13
TS23: olfactory epithelium Moderate Regionally restricted euxassay_004422_13
TS23: nasal cavity respiratory epithelium Moderate Regionally restricted euxassay_004422_13
TS23: brain Moderate Regionally restricted euxassay_004422_13
TS23: spinal cord Moderate Regionally restricted euxassay_004422_13
TS23: adenohypophysis Moderate Regionally restricted euxassay_004422_13
TS23: dorsal root ganglion Moderate Regionally restricted euxassay_004422_13
TS23: palatal shelf epithelium Moderate Regionally restricted euxassay_004422_13
TS23: tongue epithelium Moderate Regionally restricted euxassay_004422_13

Specimen euxassay_004422_14: embryonic day 14.5 (more )
Structure Level Pattern Image Note
TS23: midgut Moderate Regionally restricted euxassay_004422_14
TS23: pharynx epithelium Moderate Regionally restricted euxassay_004422_14
TS23: trachea Moderate Regionally restricted euxassay_004422_14
TS23: lung Moderate Regionally restricted euxassay_004422_14
TS23: thymus primordium Weak Regionally restricted euxassay_004422_14
TS23: nasal cavity respiratory epithelium Moderate Regionally restricted euxassay_004422_14
TS23: olfactory epithelium Moderate Regionally restricted euxassay_004422_14
TS23: metanephros Moderate Spotted euxassay_004422_14
TS23: brain Moderate Regionally restricted euxassay_004422_14
TS23: spinal cord Moderate Regionally restricted euxassay_004422_14
TS23: adenohypophysis Moderate Regionally restricted euxassay_004422_14
TS23: dorsal root ganglion Moderate Regionally restricted euxassay_004422_14
TS23: tongue epithelium Moderate Regionally restricted euxassay_004422_14

Specimen euxassay_004422_15: embryonic day 14.5 (more )
Structure Level Pattern Image Note
TS23: midgut Moderate Regionally restricted euxassay_004422_15
TS23: pharynx epithelium Moderate Regionally restricted euxassay_004422_15
TS23: trachea Moderate Regionally restricted euxassay_004422_15
TS23: lung Moderate Regionally restricted euxassay_004422_15
TS23: thymus primordium Weak Regionally restricted euxassay_004422_15
TS23: olfactory epithelium Moderate Regionally restricted euxassay_004422_15
TS23: nasal cavity respiratory epithelium Moderate Regionally restricted euxassay_004422_15
TS23: metanephros Moderate Spotted euxassay_004422_15
TS23: brain Moderate Regionally restricted euxassay_004422_15
TS23: spinal cord Moderate Regionally restricted euxassay_004422_15
TS23: adenohypophysis Moderate Regionally restricted euxassay_004422_15
TS23: dorsal root ganglion Weak Regionally restricted euxassay_004422_15
TS23: palatal shelf epithelium Moderate Regionally restricted euxassay_004422_15
TS23: tongue epithelium Moderate Regionally restricted euxassay_004422_15

Specimen euxassay_004422_16: embryonic day 14.5 (more )
Structure Level Pattern Image Note
TS23: midgut Moderate Regionally restricted euxassay_004422_16
TS23: lung Moderate Regionally restricted euxassay_004422_16
TS23: thyroid gland Moderate Regionally restricted euxassay_004422_16
TS23: olfactory epithelium Moderate Regionally restricted euxassay_004422_16
TS23: nasal cavity respiratory epithelium Moderate Regionally restricted euxassay_004422_16
TS23: metanephros Moderate Spotted euxassay_004422_16
TS23: brain Moderate Regionally restricted euxassay_004422_16
TS23: adenohypophysis Weak Regionally restricted euxassay_004422_16
TS23: dorsal root ganglion Moderate Regionally restricted euxassay_004422_16
TS23: cervico-thoracic ganglion Moderate Regionally restricted euxassay_004422_16
TS23: palatal shelf epithelium Moderate Regionally restricted euxassay_004422_16
TS23: tongue epithelium Moderate Regionally restricted euxassay_004422_16

Specimen euxassay_004422_17: embryonic day 14.5 (more )
Structure Level Pattern Image Note
TS23: midgut Moderate Regionally restricted euxassay_004422_17
TS23: lung Moderate Regionally restricted euxassay_004422_17
TS23: submandibular gland primordium Moderate Regionally restricted euxassay_004422_17
TS23: olfactory epithelium Moderate Regionally restricted euxassay_004422_17
TS23: nasal cavity respiratory epithelium Moderate Regionally restricted euxassay_004422_17
TS23: metanephros Moderate Spotted euxassay_004422_17
TS23: brain Moderate Regionally restricted euxassay_004422_17
TS23: dorsal root ganglion Moderate Regionally restricted euxassay_004422_17
TS23: cervical ganglion Moderate Regionally restricted euxassay_004422_17
TS23: tongue epithelium Moderate Regionally restricted euxassay_004422_17

Specimen euxassay_004422_18: embryonic day 14.5 (more )
Structure Level Pattern Image Note
TS23: midgut Moderate Regionally restricted euxassay_004422_18
TS23: lung Moderate Regionally restricted euxassay_004422_18
TS23: submandibular gland primordium Moderate Regionally restricted euxassay_004422_18
TS23: olfactory epithelium Moderate Regionally restricted euxassay_004422_18
TS23: metanephros Moderate Spotted euxassay_004422_18
TS23: brain Moderate Regionally restricted euxassay_004422_18
TS23: dorsal root ganglion Moderate Regionally restricted euxassay_004422_18
TS23: trigeminal ganglion Moderate Regionally restricted euxassay_004422_18
TS23: vestibulo-cochlear ganglion Moderate Regionally restricted euxassay_004422_18
TS23: cervical ganglion Moderate Regionally restricted euxassay_004422_18
TS23: tongue epithelium Moderate Regionally restricted euxassay_004422_18

Specimen euxassay_004422_19: embryonic day 14.5 (more )
Structure Level Pattern Image Note
TS23: midgut Moderate Regionally restricted euxassay_004422_19
TS23: lung Moderate Regionally restricted euxassay_004422_19
TS23: submandibular gland primordium Moderate Regionally restricted euxassay_004422_19
TS23: olfactory epithelium Moderate Regionally restricted euxassay_004422_19
TS23: brain Moderate Regionally restricted euxassay_004422_19
TS23: trigeminal ganglion Moderate Regionally restricted euxassay_004422_19
TS23: vestibulo-cochlear ganglion Moderate Regionally restricted euxassay_004422_19
TS23: glossopharyngeal ganglion Moderate Regionally restricted euxassay_004422_19
TS23: upper jaw molar Moderate Regionally restricted euxassay_004422_19
TS23: lower jaw molar Moderate Regionally restricted euxassay_004422_19

Specimen euxassay_004422_20: embryonic day 14.5 (more )
Structure Level Pattern Image Note
TS23: midgut Moderate Regionally restricted euxassay_004422_20
TS23: lung Moderate Regionally restricted euxassay_004422_20
TS23: submandibular gland primordium Moderate Regionally restricted euxassay_004422_20
TS23: brain Moderate Regionally restricted euxassay_004422_20
TS23: trigeminal ganglion Moderate Regionally restricted euxassay_004422_20
TS23: glossopharyngeal ganglion Moderate Regionally restricted euxassay_004422_20
TS23: vestibulo-cochlear ganglion Moderate Regionally restricted euxassay_004422_20
TS23: upper jaw molar Moderate Regionally restricted euxassay_004422_20
TS23: lower jaw molar Moderate Regionally restricted euxassay_004422_20

Specimen euxassay_004422_21: embryonic day 14.5 (more )
Structure Level Pattern Image Note
TS23: midgut Moderate Regionally restricted euxassay_004422_21
TS23: lung Moderate Regionally restricted euxassay_004422_21
TS23: brain Moderate Regionally restricted euxassay_004422_21
TS23: trigeminal ganglion Moderate Regionally restricted euxassay_004422_21

Specimen euxassay_004422_22: embryonic day 14.5 (more )
Structure Level Pattern Image Note
TS23: lung Moderate Regionally restricted euxassay_004422_22
TS23: brain Weak Regionally restricted euxassay_004422_22
TS23: trigeminal ganglion Moderate Regionally restricted euxassay_004422_22

Specimen euxassay_004422_23: embryonic day 14.5 (more )
Structure Level Pattern Image Note
TS23: lung Moderate Regionally restricted euxassay_004422_23
TS23: brain Weak Regionally restricted euxassay_004422_23

Specimen euxassay_004422_24: embryonic day 14.5 (more )
Structure Level Pattern Image Note
TS23: brain Weak Regionally restricted euxassay_004422_24


Contributing Projects:
Mouse Genome Database (MGD), Gene Expression Database (GXD), Mouse Models of Human Cancer database (MMHCdb) (formerly Mouse Tumor Biology (MTB)), Gene Ontology (GO)
Citing These Resources
Funding Information
Warranty Disclaimer, Privacy Notice, Licensing, & Copyright
Send questions and comments to User Support.
last database update
12/30/2025
MGI 6.24
The Jackson Laboratory