About   Help   FAQ
Gene Expression Data
Assay Details
Assay
Reference: J:153498 Diez-Roux G, et al., A high-resolution anatomical atlas of the transcriptome in the mouse embryo. PLoS Biol. 2011;9(1):e1000582
Assay type: RNA in situ
MGI Accession ID: MGI:4829317
Gene symbol: Zfp536
Gene name: zinc finger protein 536
Probe: MGC clone 40803
Probe preparation: Antisense labelled with digoxigenin RNA
Visualized with: Alkaline phosphatase
Assay notes: Cryosections of fresh frozen material were fixed in 4% paraformaldehyde for 20 min. before further processing. A tyramide-biotin/streptavidin amplification step was included in the in situ hybridization procedure.
Results
Specimen euxassay_003232_01: embryonic day 14.5 (more )
Structure Level Pattern Image Note
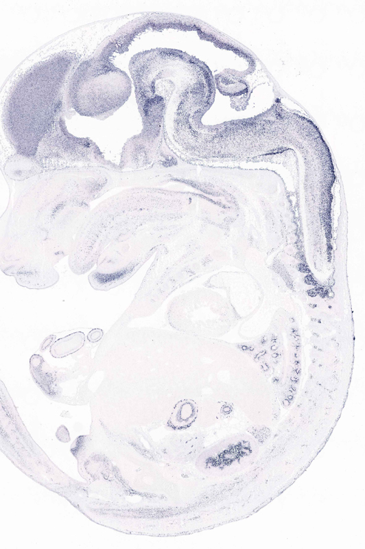
TS23: limb Moderate Regionally restricted euxassay_003232_01
TS23: forelimb Moderate Regionally restricted euxassay_003232_01
TS23: retina Moderate Regionally restricted euxassay_003232_01
TS23: brain Moderate Regionally restricted euxassay_003232_01

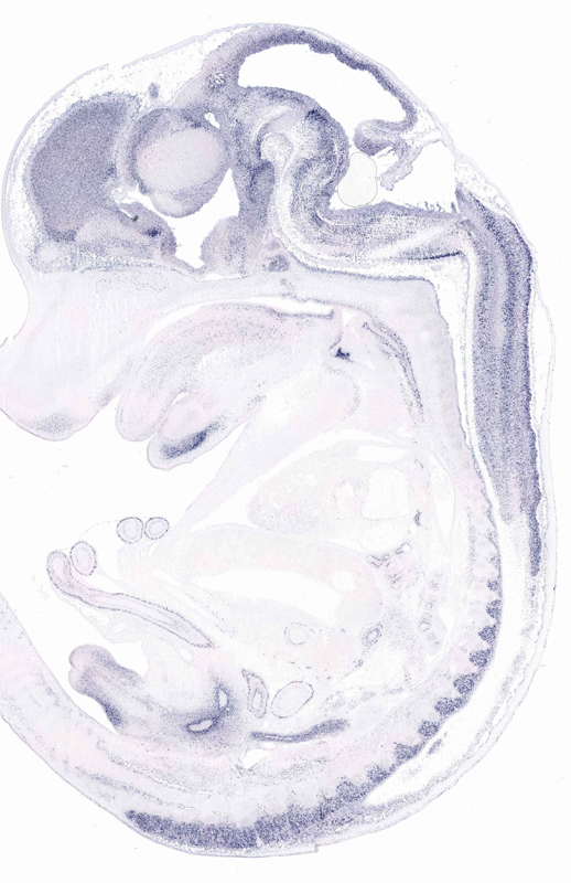
Specimen euxassay_003232_02: embryonic day 14.5 (more )
Structure Level Pattern Image Note
TS23: forelimb Moderate Regionally restricted euxassay_003232_02
TS23: hindlimb Moderate Regionally restricted euxassay_003232_02
TS23: retina Moderate Regionally restricted euxassay_003232_02
TS23: cochlea Moderate Regionally restricted euxassay_003232_02
TS23: brain Moderate Regionally restricted euxassay_003232_02

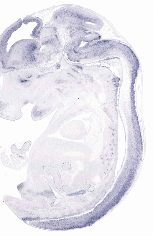
Specimen euxassay_003232_03: embryonic day 14.5 (more )
Structure Level Pattern Image Note
TS23: stomach Weak Regionally restricted euxassay_003232_03
TS23: forelimb Moderate Regionally restricted euxassay_003232_03
TS23: hindlimb Moderate Regionally restricted euxassay_003232_03
TS23: retina Moderate Regionally restricted euxassay_003232_03
TS23: trigeminal ganglion Moderate Regionally restricted euxassay_003232_03
TS23: cochlea Moderate Regionally restricted euxassay_003232_03
TS23: brain Moderate Regionally restricted euxassay_003232_03

Specimen euxassay_003232_04: embryonic day 14.5 (more )
Structure Level Pattern Image Note
TS23: stomach Moderate Regionally restricted euxassay_003232_04
TS23: hindlimb Moderate Regionally restricted euxassay_003232_04
TS23: retina Weak Regionally restricted euxassay_003232_04
TS23: trigeminal ganglion Strong Regionally restricted euxassay_003232_04
TS23: cochlea Moderate Regionally restricted euxassay_003232_04
TS23: brain Moderate Regionally restricted euxassay_003232_04

Specimen euxassay_003232_05: embryonic day 14.5 (more )
Structure Level Pattern Image Note
TS23: stomach Moderate Regionally restricted euxassay_003232_05
TS23: hindlimb Strong Regionally restricted euxassay_003232_05
TS23: retina Weak Regionally restricted euxassay_003232_05
TS23: trigeminal ganglion Strong Regionally restricted euxassay_003232_05
TS23: lower jaw molar Moderate Regionally restricted euxassay_003232_05
TS23: brain Moderate Regionally restricted euxassay_003232_05

Specimen euxassay_003232_06: embryonic day 14.5 (more )
Structure Level Pattern Image Note
TS23: lung Moderate Regionally restricted euxassay_003232_06
TS23: stomach Moderate Regionally restricted euxassay_003232_06
TS23: midgut loop Moderate Regionally restricted euxassay_003232_06
TS23: hindlimb Strong Regionally restricted euxassay_003232_06
TS23: retina Weak Regionally restricted euxassay_003232_06
TS23: trigeminal ganglion Moderate Regionally restricted euxassay_003232_06
TS23: lower jaw molar Moderate Regionally restricted euxassay_003232_06
TS23: upper jaw molar Moderate Regionally restricted euxassay_003232_06
TS23: brain Moderate Regionally restricted euxassay_003232_06

Specimen euxassay_003232_07: embryonic day 14.5 (more )
Structure Level Pattern Image Note
TS23: lung Moderate Regionally restricted euxassay_003232_07
TS23: stomach Moderate Regionally restricted euxassay_003232_07
TS23: midgut loop Moderate Regionally restricted euxassay_003232_07
TS23: retina Weak Regionally restricted euxassay_003232_07
TS23: trigeminal nerve Moderate Regionally restricted euxassay_003232_07
TS23: trigeminal ganglion Moderate Regionally restricted euxassay_003232_07
TS23: vibrissa Weak Regionally restricted euxassay_003232_07
TS23: turbinate bone primordium Moderate Regionally restricted euxassay_003232_07
TS23: lower jaw molar Moderate Regionally restricted euxassay_003232_07
TS23: vestibulo-cochlear ganglion Moderate Regionally restricted euxassay_003232_07
TS23: brain Moderate Regionally restricted euxassay_003232_07

Specimen euxassay_003232_08: embryonic day 14.5 (more )
Structure Level Pattern Image Note
TS23: lung Moderate Regionally restricted euxassay_003232_08
TS23: stomach Moderate Regionally restricted euxassay_003232_08
TS23: midgut loop Moderate Regionally restricted euxassay_003232_08
TS23: trigeminal nerve Moderate Regionally restricted euxassay_003232_08
TS23: trigeminal ganglion Moderate Regionally restricted euxassay_003232_08
TS23: vibrissa Weak Regionally restricted euxassay_003232_08
TS23: turbinate bone primordium Moderate Regionally restricted euxassay_003232_08
TS23: vestibulo-cochlear ganglion Moderate Regionally restricted euxassay_003232_08
TS23: glossopharyngeal ganglion Moderate Regionally restricted euxassay_003232_08
TS23: brain Moderate Regionally restricted euxassay_003232_08

Specimen euxassay_003232_09: embryonic day 14.5 (more )
Structure Level Pattern Image Note
TS23: lung Moderate Regionally restricted euxassay_003232_09
TS23: stomach Moderate Regionally restricted euxassay_003232_09
TS23: midgut loop Moderate Regionally restricted euxassay_003232_09
TS23: trigeminal ganglion Strong Regionally restricted euxassay_003232_09
TS23: vibrissa Strong Regionally restricted euxassay_003232_09
TS23: turbinate bone primordium Strong Regionally restricted euxassay_003232_09
TS23: mandible Moderate Regionally restricted euxassay_003232_09
TS23: vestibulo-cochlear ganglion Moderate Regionally restricted euxassay_003232_09
TS23: vagus ganglion Moderate Regionally restricted euxassay_003232_09
TS23: brain Moderate Regionally restricted euxassay_003232_09

Specimen euxassay_003232_10: embryonic day 14.5 (more )
Structure Level Pattern Image Note
TS23: lung Moderate Regionally restricted euxassay_003232_10
TS23: stomach Moderate Regionally restricted euxassay_003232_10
TS23: renal medullary interstitium Weak Regionally restricted euxassay_003232_10
TS23: midgut loop Moderate Regionally restricted euxassay_003232_10
TS23: vibrissa Strong Regionally restricted euxassay_003232_10
TS23: turbinate bone primordium Strong Regionally restricted euxassay_003232_10
TS23: tail dorsal root ganglion Moderate Regionally restricted euxassay_003232_10
TS23: mandible Moderate Regionally restricted euxassay_003232_10
TS23: vestibulo-cochlear ganglion Moderate Regionally restricted euxassay_003232_10
TS23: brain Moderate Regionally restricted euxassay_003232_10

Specimen euxassay_003232_11: embryonic day 14.5 (more )
Structure Level Pattern Image Note
TS23: lung Moderate Regionally restricted euxassay_003232_11
TS23: renal medullary interstitium Strong Regionally restricted euxassay_003232_11
TS23: adrenal gland Weak Regionally restricted euxassay_003232_11
TS23: midgut loop Moderate Regionally restricted euxassay_003232_11
TS23: glans of male genital tubercle Strong Regionally restricted euxassay_003232_11
TS23: vibrissa Weak Regionally restricted euxassay_003232_11
TS23: turbinate bone primordium Moderate Regionally restricted euxassay_003232_11
TS23: tail dorsal root ganglion Moderate Regionally restricted euxassay_003232_11
TS23: pituitary gland Moderate Regionally restricted euxassay_003232_11
TS23: mandible Moderate Regionally restricted euxassay_003232_11
TS23: spinal cord Moderate Regionally restricted euxassay_003232_11
TS23: brain Moderate Regionally restricted euxassay_003232_11

Specimen euxassay_003232_12: embryonic day 14.5 (more )
Structure Level Pattern Image Note
TS23: lung Moderate Regionally restricted euxassay_003232_12
TS23: renal medullary interstitium Strong Regionally restricted euxassay_003232_12
TS23: adrenal gland Weak Regionally restricted euxassay_003232_12
TS23: midgut loop Moderate Regionally restricted euxassay_003232_12
TS23: midgut Moderate Regionally restricted euxassay_003232_12
TS23: glans of male genital tubercle Strong Regionally restricted euxassay_003232_12
TS23: vibrissa Weak Regionally restricted euxassay_003232_12
TS23: tail dorsal root ganglion Strong Regionally restricted euxassay_003232_12
TS23: pituitary gland Moderate Regionally restricted euxassay_003232_12
TS23: mandible Strong Regionally restricted euxassay_003232_12
TS23: spinal cord Moderate Regionally restricted euxassay_003232_12
TS23: brain Moderate Regionally restricted euxassay_003232_12

Specimen euxassay_003232_13: embryonic day 14.5 (more )
Structure Level Pattern Image Note
TS23: lung Moderate Regionally restricted euxassay_003232_13
TS23: renal medullary interstitium Strong Regionally restricted euxassay_003232_13
TS23: adrenal gland Weak Regionally restricted euxassay_003232_13
TS23: midgut loop Moderate Regionally restricted euxassay_003232_13
TS23: midgut Moderate Regionally restricted euxassay_003232_13
TS23: glans of male genital tubercle Strong Regionally restricted euxassay_003232_13
TS23: vibrissa Weak Regionally restricted euxassay_003232_13
TS23: tail dorsal root ganglion Strong Regionally restricted euxassay_003232_13
TS23: esophagus Weak Regionally restricted euxassay_003232_13
TS23: mandible Strong Regionally restricted euxassay_003232_13
TS23: spinal cord Moderate Regionally restricted euxassay_003232_13
TS23: brain Moderate Regionally restricted euxassay_003232_13

Specimen euxassay_003232_14: embryonic day 14.5 (more )
Structure Level Pattern Image Note
TS23: lung Moderate Regionally restricted euxassay_003232_14
TS23: midgut loop Moderate Regionally restricted euxassay_003232_14
TS23: midgut Moderate Regionally restricted euxassay_003232_14
TS23: rectum Moderate Regionally restricted euxassay_003232_14
TS23: hindgut Moderate Regionally restricted euxassay_003232_14
TS23: bladder Strong Regionally restricted euxassay_003232_14
TS23: glans of male genital tubercle Strong Regionally restricted euxassay_003232_14
TS23: vibrissa Weak Regionally restricted euxassay_003232_14
TS23: tail dorsal root ganglion Strong Regionally restricted euxassay_003232_14
TS23: pituitary gland Moderate Regionally restricted euxassay_003232_14
TS23: thyroid cartilage Moderate Regionally restricted euxassay_003232_14
TS23: esophagus Weak Regionally restricted euxassay_003232_14
TS23: mandible Strong Regionally restricted euxassay_003232_14
TS23: spinal cord Moderate Regionally restricted euxassay_003232_14
TS23: brain Moderate Regionally restricted euxassay_003232_14

Specimen euxassay_003232_15: embryonic day 14.5 (more )
Structure Level Pattern Image Note
TS23: lung Moderate Regionally restricted euxassay_003232_15
TS23: midgut loop Moderate Regionally restricted euxassay_003232_15
TS23: midgut Moderate Regionally restricted euxassay_003232_15
TS23: hindgut Moderate Regionally restricted euxassay_003232_15
TS23: rectum Moderate Regionally restricted euxassay_003232_15
TS23: bladder Strong Regionally restricted euxassay_003232_15
TS23: glans of male genital tubercle Strong Regionally restricted euxassay_003232_15
TS23: vibrissa Weak Regionally restricted euxassay_003232_15
TS23: turbinate bone primordium Weak Regionally restricted euxassay_003232_15
TS23: tail dorsal root ganglion Moderate Regionally restricted euxassay_003232_15
TS23: pituitary gland Moderate Regionally restricted euxassay_003232_15
TS23: thyroid cartilage Moderate Regionally restricted euxassay_003232_15
TS23: esophagus Weak Regionally restricted euxassay_003232_15
TS23: mandible Strong Regionally restricted euxassay_003232_15
TS23: spinal cord Moderate Regionally restricted euxassay_003232_15
TS23: brain Moderate Regionally restricted euxassay_003232_15

Specimen euxassay_003232_16: embryonic day 14.5 (more )
Structure Level Pattern Image Note
TS23: lung Moderate Regionally restricted euxassay_003232_16
TS23: midgut loop Moderate Regionally restricted euxassay_003232_16
TS23: midgut Moderate Regionally restricted euxassay_003232_16
TS23: rectum Moderate Regionally restricted euxassay_003232_16
TS23: hindgut Moderate Regionally restricted euxassay_003232_16
TS23: bladder Strong Regionally restricted euxassay_003232_16
TS23: glans of male genital tubercle Strong Regionally restricted euxassay_003232_16
TS23: vibrissa Weak Regionally restricted euxassay_003232_16
TS23: turbinate bone primordium Strong Regionally restricted euxassay_003232_16
TS23: pituitary gland Moderate Regionally restricted euxassay_003232_16
TS23: thyroid cartilage Moderate Regionally restricted euxassay_003232_16
TS23: mandible Strong Regionally restricted euxassay_003232_16
TS23: spinal cord Moderate Regionally restricted euxassay_003232_16
TS23: brain Moderate Regionally restricted euxassay_003232_16

Specimen euxassay_003232_17: embryonic day 14.5 (more )
Structure Level Pattern Image Note
TS23: lung Moderate Regionally restricted euxassay_003232_17
TS23: midgut loop Moderate Regionally restricted euxassay_003232_17
TS23: midgut Moderate Regionally restricted euxassay_003232_17
TS23: hindgut Moderate Regionally restricted euxassay_003232_17
TS23: bladder Strong Regionally restricted euxassay_003232_17
TS23: glans of male genital tubercle Strong Regionally restricted euxassay_003232_17
TS23: vibrissa Weak Regionally restricted euxassay_003232_17
TS23: turbinate bone primordium Strong Regionally restricted euxassay_003232_17
TS23: mandible Strong Regionally restricted euxassay_003232_17
TS23: spinal cord Moderate Regionally restricted euxassay_003232_17
TS23: brain Moderate Regionally restricted euxassay_003232_17

Specimen euxassay_003232_18: embryonic day 14.5 (more )
Structure Level Pattern Image Note
TS23: lung Moderate Regionally restricted euxassay_003232_18
TS23: midgut loop Moderate Regionally restricted euxassay_003232_18
TS23: midgut Moderate Regionally restricted euxassay_003232_18
TS23: hindgut Moderate Regionally restricted euxassay_003232_18
TS23: glans of male genital tubercle Strong Regionally restricted euxassay_003232_18
TS23: trigeminal nerve Moderate Regionally restricted euxassay_003232_18
TS23: trigeminal ganglion Moderate Regionally restricted euxassay_003232_18
TS23: vibrissa Weak Regionally restricted euxassay_003232_18
TS23: olfactory epithelium Strong Regionally restricted euxassay_003232_18
TS23: turbinate bone primordium Strong Regionally restricted euxassay_003232_18
TS23: tail dorsal root ganglion Strong Spotted euxassay_003232_18
TS23: mandible Moderate Regionally restricted euxassay_003232_18
TS23: vestibulo-cochlear ganglion Moderate Regionally restricted euxassay_003232_18
TS23: spinal cord Moderate Regionally restricted euxassay_003232_18
TS23: brain Moderate Regionally restricted euxassay_003232_18

Specimen euxassay_003232_19: embryonic day 14.5 (more )
Structure Level Pattern Image Note
TS23: lung Moderate Regionally restricted euxassay_003232_19
TS23: renal medullary interstitium Moderate Spotted euxassay_003232_19
TS23: adrenal gland Weak Regionally restricted euxassay_003232_19
TS23: midgut loop Moderate Regionally restricted euxassay_003232_19
TS23: midgut Moderate Regionally restricted euxassay_003232_19
TS23: glans of male genital tubercle Moderate Regionally restricted euxassay_003232_19
TS23: trigeminal nerve Moderate Regionally restricted euxassay_003232_19
TS23: trigeminal ganglion Moderate Regionally restricted euxassay_003232_19
TS23: tail dorsal root ganglion Strong Spotted euxassay_003232_19
TS23: vestibulo-cochlear ganglion Moderate Regionally restricted euxassay_003232_19
TS23: vagus ganglion Moderate Regionally restricted euxassay_003232_19
TS23: spinal cord Moderate Regionally restricted euxassay_003232_19
TS23: brain Moderate Regionally restricted euxassay_003232_19

Specimen euxassay_003232_20: embryonic day 14.5 (more )
Structure Level Pattern Image Note
TS23: lung Moderate Regionally restricted euxassay_003232_20
TS23: renal medullary interstitium Strong Regionally restricted euxassay_003232_20
TS23: adrenal gland Weak Regionally restricted euxassay_003232_20
TS23: midgut Moderate Regionally restricted euxassay_003232_20
TS23: trigeminal nerve Moderate Regionally restricted euxassay_003232_20
TS23: trigeminal ganglion Strong Regionally restricted euxassay_003232_20
TS23: vibrissa Weak Regionally restricted euxassay_003232_20
TS23: tail dorsal root ganglion Strong Spotted euxassay_003232_20
TS23: upper jaw molar Strong Regionally restricted euxassay_003232_20
TS23: lower jaw molar Strong Regionally restricted euxassay_003232_20
TS23: glossopharyngeal ganglion Strong Regionally restricted euxassay_003232_20
TS23: vestibulo-cochlear ganglion Strong Regionally restricted euxassay_003232_20
TS23: brain Moderate Regionally restricted euxassay_003232_20
TS23: spinal cord Moderate Regionally restricted euxassay_003232_20

Specimen euxassay_003232_21: embryonic day 14.5 (more )
Structure Level Pattern Image Note
TS23: lung Moderate Regionally restricted euxassay_003232_21
TS23: renal medullary interstitium Strong Regionally restricted euxassay_003232_21
TS23: adrenal gland Weak Regionally restricted euxassay_003232_21
TS23: midgut Moderate Regionally restricted euxassay_003232_21
TS23: retina Moderate Spotted euxassay_003232_21
TS23: trigeminal ganglion Strong Regionally restricted euxassay_003232_21
TS23: vibrissa Moderate Regionally restricted euxassay_003232_21
TS23: tail dorsal root ganglion Strong Spotted euxassay_003232_21
TS23: upper jaw molar Moderate Regionally restricted euxassay_003232_21
TS23: lower jaw molar Moderate Regionally restricted euxassay_003232_21
TS23: mandible Moderate Regionally restricted euxassay_003232_21
TS23: vestibulo-cochlear ganglion Strong Regionally restricted euxassay_003232_21
TS23: brain Moderate Regionally restricted euxassay_003232_21

Specimen euxassay_003232_22: embryonic day 14.5 (more )
Structure Level Pattern Image Note
TS23: lung Moderate Regionally restricted euxassay_003232_22
TS23: renal medullary interstitium Strong Regionally restricted euxassay_003232_22
TS23: midgut Moderate Regionally restricted euxassay_003232_22
TS23: retina Moderate Spotted euxassay_003232_22
TS23: trigeminal ganglion Moderate Regionally restricted euxassay_003232_22
TS23: vibrissa Moderate Regionally restricted euxassay_003232_22
TS23: lower jaw molar Moderate Regionally restricted euxassay_003232_22
TS23: brain Moderate Regionally restricted euxassay_003232_22

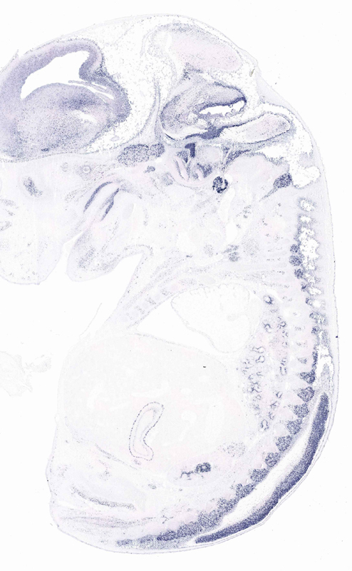
Specimen euxassay_003232_23: embryonic day 14.5 (more )
Structure Level Pattern Image Note
TS23: lung Moderate Regionally restricted euxassay_003232_23
TS23: renal medullary interstitium Weak Regionally restricted euxassay_003232_23
TS23: hindlimb Weak Regionally restricted euxassay_003232_23
TS23: retina Moderate Spotted euxassay_003232_23
TS23: trigeminal ganglion Moderate Regionally restricted euxassay_003232_23
TS23: vibrissa Weak Regionally restricted euxassay_003232_23
TS23: cochlea Weak Regionally restricted euxassay_003232_23
TS23: brain Moderate Regionally restricted euxassay_003232_23

Specimen euxassay_003232_24: embryonic day 14.5 (more )
Structure Level Pattern Image Note
TS23: lung Moderate Regionally restricted euxassay_003232_24
TS23: hindlimb Moderate Regionally restricted euxassay_003232_24
TS23: retina Moderate Spotted euxassay_003232_24
TS23: cochlea Strong Regionally restricted euxassay_003232_24
TS23: brain Moderate Regionally restricted euxassay_003232_24


Contributing Projects:
Mouse Genome Database (MGD), Gene Expression Database (GXD), Mouse Models of Human Cancer database (MMHCdb) (formerly Mouse Tumor Biology (MTB)), Gene Ontology (GO)
Citing These Resources
Funding Information
Warranty Disclaimer, Privacy Notice, Licensing, & Copyright
Send questions and comments to User Support.
last database update
03/24/2026
MGI 6.24
The Jackson Laboratory