About   Help   FAQ
Gene Expression Data
Assay Details
Assay
Reference: J:153498 Diez-Roux G, et al., A high-resolution anatomical atlas of the transcriptome in the mouse embryo. PLoS Biol. 2011;9(1):e1000582
Assay type: RNA in situ
MGI Accession ID: MGI:4829312
Gene symbol: Zfp462
Gene name: zinc finger protein 462
Probe: T39595
Probe preparation: Antisense labelled with digoxigenin RNA
Visualized with: Alkaline phosphatase
Assay notes: Cryosections of fresh frozen material were fixed in 4% paraformaldehyde for 20 min. before further processing. A tyramide-biotin/streptavidin amplification step was included in the in situ hybridization procedure.
Results
Specimen euxassay_016001_01: embryonic day 14.5 (more )
Structure Level Pattern Image Note
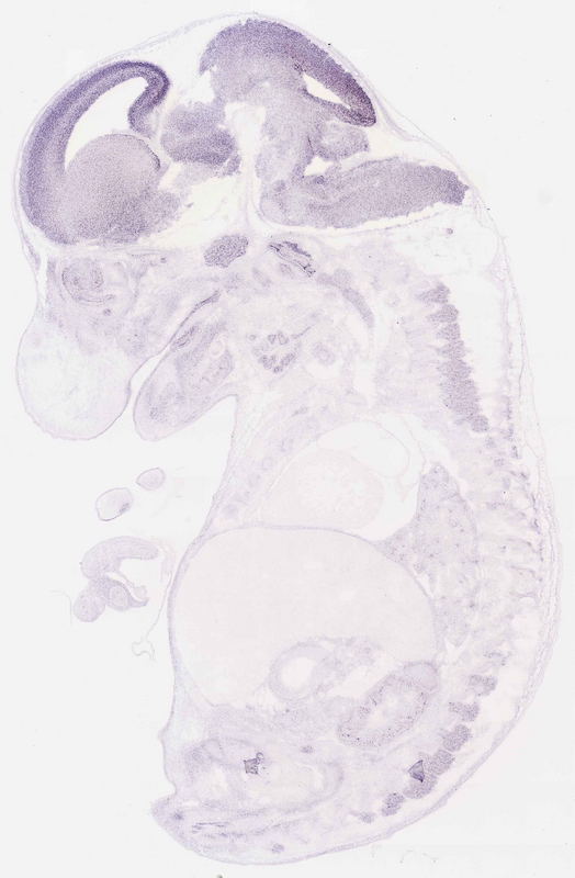
TS23: neural retina Weak Regionally restricted euxassay_016001_01
TS23: telencephalon mantle layer Strong Regionally restricted euxassay_016001_01
TS23: head mesenchyme Weak Regionally restricted euxassay_016001_01
TS23: pharyngo-tympanic tube Weak Regionally restricted euxassay_016001_01

Specimen euxassay_016001_02: embryonic day 14.5 (more )
Structure Level Pattern Image Note
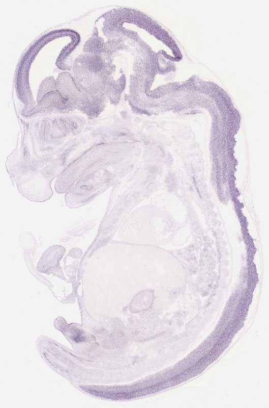
TS23: neural retina Weak Regionally restricted euxassay_016001_02
TS23: telencephalon mantle layer Strong Regionally restricted euxassay_016001_02
TS23: head mesenchyme Weak Regionally restricted euxassay_016001_02

Specimen euxassay_016001_03: embryonic day 14.5 (more )
Structure Level Pattern Image Note
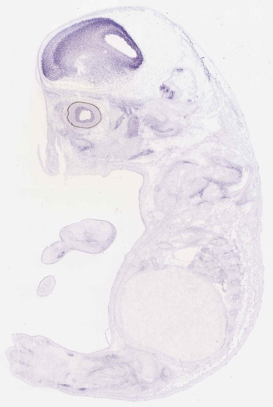
TS23: neural retina Weak Regionally restricted euxassay_016001_03
TS23: trigeminal ganglion Weak Regionally restricted euxassay_016001_03
TS23: mandible Weak Regionally restricted euxassay_016001_03
TS23: inner ear Weak Regionally restricted euxassay_016001_03
TS23: telencephalon mantle layer Strong Regionally restricted euxassay_016001_03
TS23: rest of cerebellum mantle layer Moderate Regionally restricted euxassay_016001_03
TS23: head mesenchyme Weak Regionally restricted euxassay_016001_03

Specimen euxassay_016001_04: embryonic day 14.5 (more )
Structure Level Pattern Image Note
TS23: neural retina Weak Regionally restricted euxassay_016001_04
TS23: trigeminal ganglion Weak Regionally restricted euxassay_016001_04
TS23: facial ganglion Weak Regionally restricted euxassay_016001_04
TS23: mandible Weak Regionally restricted euxassay_016001_04
TS23: inner ear Weak Regionally restricted euxassay_016001_04
TS23: foot mesenchyme Moderate Regionally restricted euxassay_016001_04
TS23: telencephalon mantle layer Strong Regionally restricted euxassay_016001_04
TS23: rest of cerebellum mantle layer Moderate Regionally restricted euxassay_016001_04

Specimen euxassay_016001_05: embryonic day 14.5 (more )
Structure Level Pattern Image Note
TS23: trigeminal ganglion Weak Regionally restricted euxassay_016001_05
TS23: facial ganglion Weak Regionally restricted euxassay_016001_05
TS23: mandible Weak Regionally restricted euxassay_016001_05
TS23: inner ear Weak Regionally restricted euxassay_016001_05
TS23: foot mesenchyme Moderate Regionally restricted euxassay_016001_05
TS23: telencephalon mantle layer Strong Regionally restricted euxassay_016001_05
TS23: midbrain mantle layer Strong Regionally restricted euxassay_016001_05
TS23: rest of cerebellum mantle layer Moderate Regionally restricted euxassay_016001_05

Specimen euxassay_016001_06: embryonic day 14.5 (more )
Structure Level Pattern Image Note
TS23: trigeminal ganglion Weak Regionally restricted euxassay_016001_06
TS23: vestibulo-cochlear ganglion Weak Regionally restricted euxassay_016001_06
TS23: glossopharyngeal ganglion Weak Regionally restricted euxassay_016001_06
TS23: submandibular gland primordium Weak Regionally restricted euxassay_016001_06
TS23: mandible Weak Regionally restricted euxassay_016001_06
TS23: inner ear Weak Regionally restricted euxassay_016001_06
TS23: metanephros Weak Regionally restricted euxassay_016001_06
TS23: midbrain mantle layer Strong Regionally restricted euxassay_016001_06
TS23: telencephalon mantle layer Strong Regionally restricted euxassay_016001_06
TS23: pons mantle layer Moderate Regionally restricted euxassay_016001_06
TS23: rest of cerebellum mantle layer Moderate Regionally restricted euxassay_016001_06

Specimen euxassay_016001_07: embryonic day 14.5 (more )
Structure Level Pattern Image Note
TS23: trigeminal ganglion Weak Regionally restricted euxassay_016001_07
TS23: glossopharyngeal ganglion Weak Regionally restricted euxassay_016001_07
TS23: vestibulo-cochlear ganglion Weak Regionally restricted euxassay_016001_07
TS23: dorsal root ganglion Weak Regionally restricted euxassay_016001_07
TS23: submandibular gland primordium Weak Regionally restricted euxassay_016001_07
TS23: upper jaw molar Moderate Regionally restricted euxassay_016001_07
TS23: lower jaw molar Moderate Regionally restricted euxassay_016001_07
TS23: inner ear Weak Regionally restricted euxassay_016001_07
TS23: metanephros Weak Regionally restricted euxassay_016001_07
TS23: midbrain mantle layer Strong Regionally restricted euxassay_016001_07
TS23: telencephalon mantle layer Strong Regionally restricted euxassay_016001_07
TS23: pons mantle layer Moderate Regionally restricted euxassay_016001_07
TS23: rest of cerebellum mantle layer Moderate Regionally restricted euxassay_016001_07
TS23: medulla oblongata alar plate mantle layer Moderate Regionally restricted euxassay_016001_07

Specimen euxassay_016001_08: embryonic day 14.5 (more )
Structure Level Pattern Image Note
TS23: trigeminal ganglion Weak Regionally restricted euxassay_016001_08
TS23: vestibulo-cochlear ganglion Weak Regionally restricted euxassay_016001_08
TS23: dorsal root ganglion Weak Regionally restricted euxassay_016001_08
TS23: submandibular gland primordium Weak Regionally restricted euxassay_016001_08
TS23: metanephros Weak Regionally restricted euxassay_016001_08
TS23: midbrain mantle layer Strong Regionally restricted euxassay_016001_08
TS23: telencephalon mantle layer Strong Regionally restricted euxassay_016001_08
TS23: diencephalon lateral wall mantle layer Strong Regionally restricted euxassay_016001_08
TS23: pons mantle layer Moderate Regionally restricted euxassay_016001_08
TS23: rest of cerebellum mantle layer Moderate Regionally restricted euxassay_016001_08
TS23: medulla oblongata alar plate mantle layer Moderate Regionally restricted euxassay_016001_08

Specimen euxassay_016001_09: embryonic day 14.5 (more )
Structure Level Pattern Image Note
TS23: trigeminal ganglion Weak Regionally restricted euxassay_016001_09
TS23: dorsal root ganglion Weak Regionally restricted euxassay_016001_09
TS23: submandibular gland primordium Weak Regionally restricted euxassay_016001_09
TS23: inner ear Weak Regionally restricted euxassay_016001_09
TS23: metanephros Weak Regionally restricted euxassay_016001_09
TS23: midbrain mantle layer Strong Regionally restricted euxassay_016001_09
TS23: telencephalon mantle layer Strong Regionally restricted euxassay_016001_09
TS23: diencephalon lateral wall mantle layer Strong Regionally restricted euxassay_016001_09
TS23: pons mantle layer Moderate Regionally restricted euxassay_016001_09
TS23: rest of cerebellum mantle layer Moderate Regionally restricted euxassay_016001_09
TS23: medulla oblongata basal plate mantle layer Moderate Regionally restricted euxassay_016001_09
TS23: medulla oblongata alar plate mantle layer Moderate Regionally restricted euxassay_016001_09
TS23: spinal cord mantle layer Strong Regionally restricted euxassay_016001_09

Specimen euxassay_016001_10: embryonic day 14.5 (more )
Structure Level Pattern Image Note
TS23: glans of male genital tubercle Moderate Regionally restricted euxassay_016001_10
TS23: midbrain mantle layer Strong Regionally restricted euxassay_016001_10
TS23: telencephalon mantle layer Strong Regionally restricted euxassay_016001_10
TS23: diencephalon lateral wall mantle layer Strong Regionally restricted euxassay_016001_10
TS23: pons mantle layer Moderate Regionally restricted euxassay_016001_10
TS23: rest of cerebellum mantle layer Moderate Regionally restricted euxassay_016001_10
TS23: medulla oblongata basal plate mantle layer Moderate Regionally restricted euxassay_016001_10
TS23: medulla oblongata alar plate mantle layer Moderate Regionally restricted euxassay_016001_10
TS23: spinal cord mantle layer Strong Regionally restricted euxassay_016001_10

Specimen euxassay_016001_11: embryonic day 14.5 (more )
Structure Level Pattern Image Note
TS23: upper jaw incisor Moderate Regionally restricted euxassay_016001_11
TS23: lower jaw incisor Moderate Regionally restricted euxassay_016001_11
TS23: glans of male genital tubercle Moderate Regionally restricted euxassay_016001_11
TS23: midbrain mantle layer Strong Regionally restricted euxassay_016001_11
TS23: telencephalon mantle layer Strong Regionally restricted euxassay_016001_11
TS23: diencephalon lateral wall mantle layer Strong Regionally restricted euxassay_016001_11
TS23: pons mantle layer Moderate Regionally restricted euxassay_016001_11
TS23: rest of cerebellum mantle layer Moderate Regionally restricted euxassay_016001_11
TS23: medulla oblongata basal plate mantle layer Moderate Regionally restricted euxassay_016001_11
TS23: spinal cord mantle layer Strong Regionally restricted euxassay_016001_11

Specimen euxassay_016001_12: embryonic day 14.5 (more )
Structure Level Pattern Image Note
TS23: upper jaw incisor Weak Regionally restricted euxassay_016001_12
TS23: glans of male genital tubercle Weak Regionally restricted euxassay_016001_12
TS23: midbrain mantle layer Strong Regionally restricted euxassay_016001_12
TS23: telencephalon mantle layer Strong Regionally restricted euxassay_016001_12
TS23: diencephalon lateral wall mantle layer Strong Regionally restricted euxassay_016001_12
TS23: pons mantle layer Moderate Regionally restricted euxassay_016001_12
TS23: rest of cerebellum mantle layer Moderate Regionally restricted euxassay_016001_12
TS23: medulla oblongata basal plate mantle layer Moderate Regionally restricted euxassay_016001_12
TS23: spinal cord mantle layer Strong Regionally restricted euxassay_016001_12

Specimen euxassay_016001_13: embryonic day 14.5 (more )
Structure Level Pattern Image Note
TS23: glans of male genital tubercle Moderate Spotted euxassay_016001_13
TS23: midbrain mantle layer Strong Regionally restricted euxassay_016001_13
TS23: telencephalon mantle layer Strong Regionally restricted euxassay_016001_13
TS23: diencephalon lateral wall mantle layer Strong Regionally restricted euxassay_016001_13
TS23: pons mantle layer Moderate Regionally restricted euxassay_016001_13
TS23: rest of cerebellum mantle layer Moderate Regionally restricted euxassay_016001_13
TS23: medulla oblongata basal plate mantle layer Moderate Regionally restricted euxassay_016001_13
TS23: medulla oblongata alar plate mantle layer Moderate Regionally restricted euxassay_016001_13
TS23: spinal cord mantle layer Strong Regionally restricted euxassay_016001_13

Specimen euxassay_016001_14: embryonic day 14.5 (more )
Structure Level Pattern Image Note
TS23: dorsal root ganglion Weak Regionally restricted euxassay_016001_14
TS23: upper jaw incisor Weak Regionally restricted euxassay_016001_14
TS23: lower jaw incisor Weak Regionally restricted euxassay_016001_14
TS23: glans of male genital tubercle Weak Regionally restricted euxassay_016001_14
TS23: midbrain mantle layer Strong Regionally restricted euxassay_016001_14
TS23: telencephalon mantle layer Strong Regionally restricted euxassay_016001_14
TS23: diencephalon lateral wall mantle layer Strong Regionally restricted euxassay_016001_14
TS23: pons mantle layer Moderate Regionally restricted euxassay_016001_14
TS23: rest of cerebellum mantle layer Moderate Regionally restricted euxassay_016001_14
TS23: medulla oblongata basal plate mantle layer Moderate Regionally restricted euxassay_016001_14
TS23: medulla oblongata alar plate mantle layer Moderate Regionally restricted euxassay_016001_14
TS23: spinal cord mantle layer Strong Regionally restricted euxassay_016001_14

Specimen euxassay_016001_15: embryonic day 14.5 (more )
Structure Level Pattern Image Note
TS23: dorsal root ganglion Weak Regionally restricted euxassay_016001_15
TS23: upper jaw incisor Weak Regionally restricted euxassay_016001_15
TS23: lower jaw incisor Weak Regionally restricted euxassay_016001_15
TS23: metanephros Weak Regionally restricted euxassay_016001_15
TS23: midbrain mantle layer Strong Regionally restricted euxassay_016001_15
TS23: telencephalon mantle layer Strong Regionally restricted euxassay_016001_15
TS23: diencephalon lateral wall mantle layer Strong Regionally restricted euxassay_016001_15
TS23: pons mantle layer Moderate Regionally restricted euxassay_016001_15
TS23: rest of cerebellum mantle layer Moderate Regionally restricted euxassay_016001_15
TS23: medulla oblongata basal plate mantle layer Moderate Regionally restricted euxassay_016001_15
TS23: medulla oblongata alar plate mantle layer Moderate Regionally restricted euxassay_016001_15
TS23: spinal cord mantle layer Strong Regionally restricted euxassay_016001_15

Specimen euxassay_016001_16: embryonic day 14.5 (more )
Structure Level Pattern Image Note
TS23: dorsal root ganglion Weak Regionally restricted euxassay_016001_16
TS23: submandibular gland primordium Weak Regionally restricted euxassay_016001_16
TS23: upper jaw incisor Weak Regionally restricted euxassay_016001_16
TS23: inner ear Weak Regionally restricted euxassay_016001_16
TS23: metanephros Weak Regionally restricted euxassay_016001_16
TS23: midbrain mantle layer Strong Regionally restricted euxassay_016001_16
TS23: telencephalon mantle layer Strong Regionally restricted euxassay_016001_16
TS23: diencephalon lateral wall mantle layer Strong Regionally restricted euxassay_016001_16
TS23: medulla oblongata basal plate mantle layer Moderate Regionally restricted euxassay_016001_16
TS23: medulla oblongata alar plate mantle layer Moderate Regionally restricted euxassay_016001_16
TS23: rest of cerebellum mantle layer Moderate Regionally restricted euxassay_016001_16
TS23: pons mantle layer Moderate Regionally restricted euxassay_016001_16

Specimen euxassay_016001_17: embryonic day 14.5 (more )
Structure Level Pattern Image Note
TS23: vestibulo-cochlear ganglion Weak Regionally restricted euxassay_016001_17
TS23: trigeminal ganglion Weak Regionally restricted euxassay_016001_17
TS23: dorsal root ganglion Weak Regionally restricted euxassay_016001_17
TS23: submandibular gland primordium Weak Regionally restricted euxassay_016001_17
TS23: inner ear Weak Regionally restricted euxassay_016001_17
TS23: metanephros Weak Regionally restricted euxassay_016001_17
TS23: midbrain mantle layer Strong Regionally restricted euxassay_016001_17
TS23: telencephalon mantle layer Strong Regionally restricted euxassay_016001_17
TS23: diencephalon lateral wall mantle layer Strong Regionally restricted euxassay_016001_17
TS23: medulla oblongata alar plate mantle layer Strong Regionally restricted euxassay_016001_17
TS23: medulla oblongata basal plate mantle layer Strong Regionally restricted euxassay_016001_17
TS23: rest of cerebellum mantle layer Strong Regionally restricted euxassay_016001_17
TS23: pons mantle layer Strong Regionally restricted euxassay_016001_17

Specimen euxassay_016001_18: embryonic day 14.5 (more )
Structure Level Pattern Image Note
TS23: glossopharyngeal ganglion Weak Regionally restricted euxassay_016001_18
TS23: trigeminal ganglion Weak Regionally restricted euxassay_016001_18
TS23: vestibulo-cochlear ganglion Weak Regionally restricted euxassay_016001_18
TS23: dorsal root ganglion Weak Regionally restricted euxassay_016001_18
TS23: submandibular gland primordium Weak Regionally restricted euxassay_016001_18
TS23: lower jaw molar Weak Regionally restricted euxassay_016001_18
TS23: inner ear Weak Regionally restricted euxassay_016001_18
TS23: metanephros Weak Regionally restricted euxassay_016001_18
TS23: midbrain mantle layer Strong Regionally restricted euxassay_016001_18
TS23: telencephalon mantle layer Strong Regionally restricted euxassay_016001_18
TS23: diencephalon lateral wall mantle layer Strong Regionally restricted euxassay_016001_18
TS23: pons mantle layer Moderate Regionally restricted euxassay_016001_18
TS23: rest of cerebellum mantle layer Moderate Regionally restricted euxassay_016001_18
TS23: medulla oblongata alar plate mantle layer Moderate Regionally restricted euxassay_016001_18

Specimen euxassay_016001_19: embryonic day 14.5 (more )
Structure Level Pattern Image Note
TS23: trigeminal ganglion Weak Regionally restricted euxassay_016001_19
TS23: vestibulo-cochlear ganglion Weak Regionally restricted euxassay_016001_19
TS23: submandibular gland primordium Weak Regionally restricted euxassay_016001_19
TS23: mandible Weak Regionally restricted euxassay_016001_19
TS23: upper jaw molar Weak Regionally restricted euxassay_016001_19
TS23: lower jaw molar Weak Regionally restricted euxassay_016001_19
TS23: inner ear Weak Regionally restricted euxassay_016001_19
TS23: metanephros Weak Regionally restricted euxassay_016001_19
TS23: midbrain mantle layer Strong Regionally restricted euxassay_016001_19
TS23: telencephalon mantle layer Strong Regionally restricted euxassay_016001_19
TS23: rest of cerebellum mantle layer Moderate Regionally restricted euxassay_016001_19
TS23: pons mantle layer Moderate Regionally restricted euxassay_016001_19

Specimen euxassay_016001_20: embryonic day 14.5 (more )
Structure Level Pattern Image Note
TS23: trigeminal ganglion Weak Regionally restricted euxassay_016001_20
TS23: facial ganglion Weak Regionally restricted euxassay_016001_20
TS23: mandible Weak Regionally restricted euxassay_016001_20
TS23: inner ear Weak Regionally restricted euxassay_016001_20
TS23: foot mesenchyme Moderate Regionally restricted euxassay_016001_20
TS23: telencephalon mantle layer Strong Regionally restricted euxassay_016001_20
TS23: rest of cerebellum mantle layer Moderate Regionally restricted euxassay_016001_20

Specimen euxassay_016001_21: embryonic day 14.5 (more )
Structure Level Pattern Image Note
TS23: trigeminal ganglion Weak Regionally restricted euxassay_016001_21
TS23: facial ganglion Weak Regionally restricted euxassay_016001_21
TS23: mandible Weak Regionally restricted euxassay_016001_21
TS23: inner ear Weak Regionally restricted euxassay_016001_21
TS23: telencephalon mantle layer Strong Regionally restricted euxassay_016001_21
TS23: rest of cerebellum mantle layer Moderate Regionally restricted euxassay_016001_21

Specimen euxassay_016001_22: embryonic day 14.5 (more )
Structure Level Pattern Image Note
TS23: trigeminal ganglion Weak Regionally restricted euxassay_016001_22
TS23: mandible Weak Regionally restricted euxassay_016001_22
TS23: telencephalon mantle layer Strong Regionally restricted euxassay_016001_22

Specimen euxassay_016001_23: embryonic day 14.5 (more )
Structure Level Pattern Image Note
TS23: neural retina Weak Regionally restricted euxassay_016001_23
TS23: telencephalon mantle layer Strong Regionally restricted euxassay_016001_23
TS23: head mesenchyme Weak Regionally restricted euxassay_016001_23
TS23: pharyngo-tympanic tube Weak Regionally restricted euxassay_016001_23

Specimen euxassay_016001_24: embryonic day 14.5 (more )
Structure Level Pattern Image Note
TS23: neural retina Weak Regionally restricted euxassay_016001_24
TS23: telencephalon mantle layer Strong Regionally restricted euxassay_016001_24
TS23: head mesenchyme Weak Regionally restricted euxassay_016001_24
TS23: pharyngo-tympanic tube Weak Regionally restricted euxassay_016001_24

Specimen euxassay_016001_25: embryonic day 14.5 (more )
Structure Level Pattern Image Note
TS23: neural retina Weak Regionally restricted euxassay_016001_25
TS23: telencephalon mantle layer Strong Regionally restricted euxassay_016001_25
TS23: pharyngo-tympanic tube Weak Regionally restricted euxassay_016001_25


Contributing Projects:
Mouse Genome Database (MGD), Gene Expression Database (GXD), Mouse Models of Human Cancer database (MMHCdb) (formerly Mouse Tumor Biology (MTB)), Gene Ontology (GO)
Citing These Resources
Funding Information
Warranty Disclaimer, Privacy Notice, Licensing, & Copyright
Send questions and comments to User Support.
last database update
12/30/2025
MGI 6.24
The Jackson Laboratory