About   Help   FAQ
Gene Expression Data
Assay Details
Assay
Reference: J:153498 Diez-Roux G, et al., A high-resolution anatomical atlas of the transcriptome in the mouse embryo. PLoS Biol. 2011;9(1):e1000582
Assay type: RNA in situ
MGI Accession ID: MGI:4829298
Gene symbol: Zfp219
Gene name: zinc finger protein 219
Probe: MGC clone 78368
Probe preparation: Antisense labelled with digoxigenin RNA
Visualized with: Alkaline phosphatase
Assay notes: Cryosections of fresh frozen material were fixed in 4% paraformaldehyde for 20 min. before further processing. A tyramide-biotin/streptavidin amplification step was included in the in situ hybridization procedure.
Results
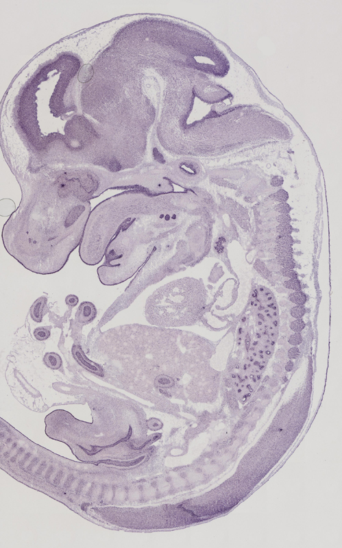
Specimen euxassay_006592_01: embryonic day 14.5 (more )
Structure Level Pattern Image Note
TS23: neural retina Moderate Regionally restricted euxassay_006592_01
TS23: pharyngo-tympanic tube Strong Regionally restricted euxassay_006592_01
TS23: telencephalon ventricular layer Strong Regionally restricted euxassay_006592_01
TS23: rest of cerebellum ventricular layer Strong Regionally restricted euxassay_006592_01
TS23: pons ventricular layer Strong Regionally restricted euxassay_006592_01
TS23: rest of cerebellum marginal layer Strong Regionally restricted euxassay_006592_01
TS23: inner ear Strong Regionally restricted euxassay_006592_01

Specimen euxassay_006592_02: embryonic day 14.5 (more )
Structure Level Pattern Image Note
TS23: neural retina Moderate Regionally restricted euxassay_006592_02
TS23: eyelid Moderate Regionally restricted euxassay_006592_02
TS23: pharyngo-tympanic tube Strong Regionally restricted euxassay_006592_02
TS23: stomach Strong Regionally restricted euxassay_006592_02
TS23: telencephalon ventricular layer Strong Regionally restricted euxassay_006592_02
TS23: rest of cerebellum ventricular layer Strong Regionally restricted euxassay_006592_02
TS23: pons ventricular layer Strong Regionally restricted euxassay_006592_02
TS23: medulla oblongata basal plate ventricular layer Strong Regionally restricted euxassay_006592_02
TS23: rest of cerebellum marginal layer Strong Regionally restricted euxassay_006592_02
TS23: inner ear Strong Regionally restricted euxassay_006592_02

Specimen euxassay_006592_03: embryonic day 14.5 (more )
Structure Level Pattern Image Note
TS23: eyelid Moderate Regionally restricted euxassay_006592_03
TS23: pharyngo-tympanic tube Strong Regionally restricted euxassay_006592_03
TS23: vibrissa Moderate Regionally restricted euxassay_006592_03
TS23: oral epithelium Strong Regionally restricted euxassay_006592_03
TS23: left lung Strong Regionally restricted euxassay_006592_03
TS23: stomach Strong Regionally restricted euxassay_006592_03
TS23: telencephalon ventricular layer Strong Regionally restricted euxassay_006592_03
TS23: medulla oblongata basal plate ventricular layer Strong Regionally restricted euxassay_006592_03
TS23: rest of cerebellum ventricular layer Strong Regionally restricted euxassay_006592_03
TS23: pons ventricular layer Strong Regionally restricted euxassay_006592_03
TS23: rest of cerebellum marginal layer Strong Regionally restricted euxassay_006592_03
TS23: inner ear Strong Regionally restricted euxassay_006592_03

Specimen euxassay_006592_04: embryonic day 14.5 (more )
Structure Level Pattern Image Note
TS23: pharyngo-tympanic tube Strong Regionally restricted euxassay_006592_04
TS23: naso-lacrimal duct Strong Regionally restricted euxassay_006592_04
TS23: vibrissa Strong Regionally restricted euxassay_006592_04
TS23: oral epithelium Strong Regionally restricted euxassay_006592_04
TS23: upper jaw molar Strong Regionally restricted euxassay_006592_04
TS23: lower jaw molar Strong Regionally restricted euxassay_006592_04
TS23: left lung Strong Regionally restricted euxassay_006592_04
TS23: stomach Strong Regionally restricted euxassay_006592_04
TS23: telencephalon ventricular layer Strong Regionally restricted euxassay_006592_04
TS23: medulla oblongata basal plate ventricular layer Strong Regionally restricted euxassay_006592_04
TS23: rest of cerebellum ventricular layer Strong Regionally restricted euxassay_006592_04
TS23: pons ventricular layer Strong Regionally restricted euxassay_006592_04
TS23: rest of cerebellum marginal layer Strong Regionally restricted euxassay_006592_04
TS23: inner ear Strong Regionally restricted euxassay_006592_04

Specimen euxassay_006592_05: embryonic day 14.5 (more )
Structure Level Pattern Image Note
TS23: pharyngo-tympanic tube Strong Regionally restricted euxassay_006592_05
TS23: naso-lacrimal duct Strong Regionally restricted euxassay_006592_05
TS23: vibrissa Strong Regionally restricted euxassay_006592_05
TS23: lower jaw molar Strong Regionally restricted euxassay_006592_05
TS23: oral epithelium Strong Regionally restricted euxassay_006592_05
TS23: submandibular gland primordium Strong Regionally restricted euxassay_006592_05
TS23: left lung Strong Regionally restricted euxassay_006592_05
TS23: stomach Strong Regionally restricted euxassay_006592_05
TS23: midgut Strong Regionally restricted euxassay_006592_05
TS23: renal cortex Strong Regionally restricted euxassay_006592_05
TS23: telencephalon ventricular layer Strong Regionally restricted euxassay_006592_05
TS23: midbrain ventricular layer Strong Regionally restricted euxassay_006592_05
TS23: medulla oblongata basal plate ventricular layer Strong Regionally restricted euxassay_006592_05
TS23: rest of cerebellum ventricular layer Strong Regionally restricted euxassay_006592_05
TS23: pons ventricular layer Strong Regionally restricted euxassay_006592_05
TS23: rest of cerebellum marginal layer Strong Regionally restricted euxassay_006592_05
TS23: inner ear Strong Regionally restricted euxassay_006592_05

Specimen euxassay_006592_06: embryonic day 14.5 (more )
Structure Level Pattern Image Note
TS23: pharyngo-tympanic tube Strong Regionally restricted euxassay_006592_06
TS23: naso-lacrimal duct Strong Regionally restricted euxassay_006592_06
TS23: vibrissa Strong Regionally restricted euxassay_006592_06
TS23: oral epithelium Strong Regionally restricted euxassay_006592_06
TS23: submandibular gland primordium Strong Regionally restricted euxassay_006592_06
TS23: left lung Strong Regionally restricted euxassay_006592_06
TS23: stomach Strong Regionally restricted euxassay_006592_06
TS23: midgut Strong Regionally restricted euxassay_006592_06
TS23: renal cortex Strong Regionally restricted euxassay_006592_06
TS23: midbrain ventricular layer Strong Regionally restricted euxassay_006592_06
TS23: telencephalon ventricular layer Strong Regionally restricted euxassay_006592_06
TS23: medulla oblongata basal plate ventricular layer Strong Regionally restricted euxassay_006592_06
TS23: rest of cerebellum ventricular layer Strong Regionally restricted euxassay_006592_06
TS23: pons ventricular layer Strong Regionally restricted euxassay_006592_06
TS23: rest of cerebellum marginal layer Strong Regionally restricted euxassay_006592_06
TS23: inner ear Strong Regionally restricted euxassay_006592_06

Specimen euxassay_006592_07: embryonic day 14.5 (more )
Structure Level Pattern Image Note
TS23: naso-lacrimal duct Strong Regionally restricted euxassay_006592_07
TS23: olfactory epithelium Moderate Regionally restricted euxassay_006592_07
TS23: oral epithelium Strong Regionally restricted euxassay_006592_07
TS23: esophagus epithelium Strong Regionally restricted euxassay_006592_07
TS23: submandibular gland primordium Strong Regionally restricted euxassay_006592_07
TS23: left lung Strong Regionally restricted euxassay_006592_07
TS23: midgut Strong Regionally restricted euxassay_006592_07
TS23: stomach Strong Regionally restricted euxassay_006592_07
TS23: renal cortex Strong Regionally restricted euxassay_006592_07
TS23: adenohypophysis Strong Regionally restricted euxassay_006592_07
TS23: thymus primordium Moderate Regionally restricted euxassay_006592_07
TS23: thyroid gland Strong Regionally restricted euxassay_006592_07
TS23: midbrain ventricular layer Strong Regionally restricted euxassay_006592_07
TS23: telencephalon ventricular layer Strong Regionally restricted euxassay_006592_07
TS23: medulla oblongata basal plate ventricular layer Strong Regionally restricted euxassay_006592_07
TS23: rest of cerebellum ventricular layer Strong Regionally restricted euxassay_006592_07
TS23: pons ventricular layer Strong Regionally restricted euxassay_006592_07
TS23: rest of cerebellum marginal layer Strong Regionally restricted euxassay_006592_07
TS23: inner ear Strong Regionally restricted euxassay_006592_07

Specimen euxassay_006592_08: embryonic day 14.5 (more )
Structure Level Pattern Image Note
TS23: olfactory epithelium Strong Regionally restricted euxassay_006592_08
TS23: naso-lacrimal duct Strong Regionally restricted euxassay_006592_08
TS23: oral epithelium Strong Regionally restricted euxassay_006592_08
TS23: lower jaw incisor Strong Regionally restricted euxassay_006592_08
TS23: upper jaw incisor Strong Regionally restricted euxassay_006592_08
TS23: tongue epithelium Strong Regionally restricted euxassay_006592_08
TS23: pharynx epithelium Strong Regionally restricted euxassay_006592_08
TS23: esophagus epithelium Strong Regionally restricted euxassay_006592_08
TS23: left lung Strong Regionally restricted euxassay_006592_08
TS23: stomach Strong Regionally restricted euxassay_006592_08
TS23: midgut Strong Regionally restricted euxassay_006592_08
TS23: renal cortex Strong Regionally restricted euxassay_006592_08
TS23: adenohypophysis Strong Regionally restricted euxassay_006592_08
TS23: thymus primordium Moderate Regionally restricted euxassay_006592_08
TS23: thyroid gland Strong Regionally restricted euxassay_006592_08
TS23: midbrain ventricular layer Strong Regionally restricted euxassay_006592_08
TS23: telencephalon ventricular layer Strong Regionally restricted euxassay_006592_08
TS23: diencephalon lateral wall ventricular layer Strong Regionally restricted euxassay_006592_08
TS23: medulla oblongata basal plate ventricular layer Strong Regionally restricted euxassay_006592_08
TS23: rest of cerebellum ventricular layer Strong Regionally restricted euxassay_006592_08
TS23: pons ventricular layer Strong Regionally restricted euxassay_006592_08
TS23: spinal cord ventricular layer Strong Regionally restricted euxassay_006592_08

Specimen euxassay_006592_09: embryonic day 14.5 (more )
Structure Level Pattern Image Note
TS23: olfactory epithelium Strong Regionally restricted euxassay_006592_09
TS23: naso-lacrimal duct Strong Regionally restricted euxassay_006592_09
TS23: lower jaw incisor Strong Regionally restricted euxassay_006592_09
TS23: upper jaw incisor Strong Regionally restricted euxassay_006592_09
TS23: oral epithelium Strong Regionally restricted euxassay_006592_09
TS23: tongue epithelium Strong Regionally restricted euxassay_006592_09
TS23: esophagus epithelium Strong Regionally restricted euxassay_006592_09
TS23: left lung Strong Regionally restricted euxassay_006592_09
TS23: stomach Strong Regionally restricted euxassay_006592_09
TS23: midgut Strong Regionally restricted euxassay_006592_09
TS23: renal cortex Strong Regionally restricted euxassay_006592_09
TS23: adenohypophysis Strong Regionally restricted euxassay_006592_09
TS23: thymus primordium Moderate Regionally restricted euxassay_006592_09
TS23: diencephalon lateral wall ventricular layer Strong Regionally restricted euxassay_006592_09
TS23: telencephalon ventricular layer Strong Regionally restricted euxassay_006592_09
TS23: midbrain ventricular layer Strong Regionally restricted euxassay_006592_09
TS23: medulla oblongata basal plate ventricular layer Strong Regionally restricted euxassay_006592_09
TS23: rest of cerebellum ventricular layer Strong Regionally restricted euxassay_006592_09
TS23: pons ventricular layer Strong Regionally restricted euxassay_006592_09
TS23: spinal cord ventricular layer Strong Regionally restricted euxassay_006592_09

Specimen euxassay_006592_10: embryonic day 14.5 (more )
Structure Level Pattern Image Note
TS23: external naris Strong Regionally restricted euxassay_006592_10
TS23: anterior naris Strong Regionally restricted euxassay_006592_10
TS23: olfactory epithelium Strong Regionally restricted euxassay_006592_10
TS23: lower jaw incisor Strong Regionally restricted euxassay_006592_10
TS23: upper jaw incisor Strong Regionally restricted euxassay_006592_10
TS23: oral epithelium Strong Regionally restricted euxassay_006592_10
TS23: tongue epithelium Strong Regionally restricted euxassay_006592_10
TS23: esophagus epithelium Strong Regionally restricted euxassay_006592_10
TS23: pharynx epithelium Strong Regionally restricted euxassay_006592_10
TS23: larynx Strong Regionally restricted euxassay_006592_10
TS23: left lung Strong Regionally restricted euxassay_006592_10
TS23: midgut Strong Regionally restricted euxassay_006592_10
TS23: adenohypophysis Strong Regionally restricted euxassay_006592_10
TS23: thymus primordium Strong Regionally restricted euxassay_006592_10
TS23: diencephalon lateral wall ventricular layer Strong Regionally restricted euxassay_006592_10
TS23: telencephalon ventricular layer Strong Regionally restricted euxassay_006592_10
TS23: midbrain ventricular layer Strong Regionally restricted euxassay_006592_10
TS23: medulla oblongata basal plate ventricular layer Strong Regionally restricted euxassay_006592_10
TS23: rest of cerebellum ventricular layer Strong Regionally restricted euxassay_006592_10
TS23: pons ventricular layer Strong Regionally restricted euxassay_006592_10
TS23: spinal cord ventricular layer Strong Regionally restricted euxassay_006592_10
TS23: rest of cerebellum marginal layer Strong Regionally restricted euxassay_006592_10

Specimen euxassay_006592_11: embryonic day 14.5 (more )
Structure Level Pattern Image Note
TS23: anterior naris Strong Regionally restricted euxassay_006592_11
TS23: external naris Strong Regionally restricted euxassay_006592_11
TS23: upper jaw incisor Strong Regionally restricted euxassay_006592_11
TS23: oral epithelium Strong Regionally restricted euxassay_006592_11
TS23: tongue epithelium Strong Regionally restricted euxassay_006592_11
TS23: right lung Strong Regionally restricted euxassay_006592_11
TS23: midgut Strong Regionally restricted euxassay_006592_11
TS23: adenohypophysis Strong Regionally restricted euxassay_006592_11
TS23: thymus primordium Strong Regionally restricted euxassay_006592_11
TS23: bladder Strong Regionally restricted euxassay_006592_11
TS23: diencephalon lateral wall ventricular layer Strong Regionally restricted euxassay_006592_11
TS23: telencephalon ventricular layer Strong Regionally restricted euxassay_006592_11
TS23: midbrain ventricular layer Strong Regionally restricted euxassay_006592_11
TS23: medulla oblongata basal plate ventricular layer Strong Regionally restricted euxassay_006592_11
TS23: rest of cerebellum ventricular layer Strong Regionally restricted euxassay_006592_11
TS23: pons ventricular layer Strong Regionally restricted euxassay_006592_11
TS23: spinal cord ventricular layer Strong Regionally restricted euxassay_006592_11
TS23: rest of cerebellum marginal layer Strong Regionally restricted euxassay_006592_11

Specimen euxassay_006592_12: embryonic day 14.5 (more )
Structure Level Pattern Image Note
TS23: olfactory epithelium Strong Regionally restricted euxassay_006592_12
TS23: anterior naris Strong Regionally restricted euxassay_006592_12
TS23: oral epithelium Strong Regionally restricted euxassay_006592_12
TS23: tongue epithelium Strong Regionally restricted euxassay_006592_12
TS23: right lung Strong Regionally restricted euxassay_006592_12
TS23: midgut Strong Regionally restricted euxassay_006592_12
TS23: adenohypophysis Strong Regionally restricted euxassay_006592_12
TS23: thymus primordium Strong Regionally restricted euxassay_006592_12
TS23: thyroid gland Strong Regionally restricted euxassay_006592_12
TS23: urethra Strong Regionally restricted euxassay_006592_12 Originally this result was annotated to a male-specific term, but as the specimen was not sexed, it is likely the data annotator intended to use a non-sex specific term.
TS23: bladder Strong Regionally restricted euxassay_006592_12
TS23: telencephalon ventricular layer Strong Regionally restricted euxassay_006592_12
TS23: midbrain ventricular layer Strong Regionally restricted euxassay_006592_12
TS23: medulla oblongata basal plate ventricular layer Strong Regionally restricted euxassay_006592_12
TS23: rest of cerebellum ventricular layer Strong Regionally restricted euxassay_006592_12
TS23: pons ventricular layer Strong Regionally restricted euxassay_006592_12
TS23: spinal cord ventricular layer Strong Regionally restricted euxassay_006592_12
TS23: rest of cerebellum marginal layer Strong Regionally restricted euxassay_006592_12

Specimen euxassay_006592_13: embryonic day 14.5 (more )
Structure Level Pattern Image Note
TS23: vomeronasal organ Strong Regionally restricted euxassay_006592_13
TS23: olfactory epithelium Strong Regionally restricted euxassay_006592_13
TS23: oral epithelium Strong Regionally restricted euxassay_006592_13
TS23: lower jaw incisor Strong Regionally restricted euxassay_006592_13
TS23: tongue epithelium Strong Regionally restricted euxassay_006592_13
TS23: submandibular gland primordium Strong Regionally restricted euxassay_006592_13
TS23: right lung Strong Regionally restricted euxassay_006592_13
TS23: midgut Strong Regionally restricted euxassay_006592_13
TS23: adenohypophysis Strong Regionally restricted euxassay_006592_13
TS23: thymus primordium Strong Regionally restricted euxassay_006592_13
TS23: rectum Strong Regionally restricted euxassay_006592_13
TS23: urethra Strong Regionally restricted euxassay_006592_13 Originally this result was annotated to a male-specific term, but as the specimen was not sexed, it is likely the data annotator intended to use a non-sex specific term.
TS23: telencephalon ventricular layer Strong Regionally restricted euxassay_006592_13
TS23: midbrain ventricular layer Strong Regionally restricted euxassay_006592_13
TS23: medulla oblongata basal plate ventricular layer Strong Regionally restricted euxassay_006592_13
TS23: rest of cerebellum ventricular layer Strong Regionally restricted euxassay_006592_13
TS23: pons ventricular layer Strong Regionally restricted euxassay_006592_13
TS23: spinal cord ventricular layer Strong Regionally restricted euxassay_006592_13
TS23: rest of cerebellum marginal layer Strong Regionally restricted euxassay_006592_13
TS23: inner ear Strong Regionally restricted euxassay_006592_13

Specimen euxassay_006592_14: embryonic day 14.5 (more )
Structure Level Pattern Image Note
TS23: anterior naris Strong Regionally restricted euxassay_006592_14
TS23: posterior naris Strong Regionally restricted euxassay_006592_14
TS23: olfactory epithelium Strong Regionally restricted euxassay_006592_14
TS23: lower jaw incisor Strong Regionally restricted euxassay_006592_14
TS23: upper jaw incisor Strong Regionally restricted euxassay_006592_14
TS23: oral epithelium Strong Regionally restricted euxassay_006592_14
TS23: tongue epithelium Strong Regionally restricted euxassay_006592_14
TS23: submandibular gland primordium Strong Regionally restricted euxassay_006592_14
TS23: right lung Strong Regionally restricted euxassay_006592_14
TS23: midgut Strong Regionally restricted euxassay_006592_14
TS23: renal cortex Strong Regionally restricted euxassay_006592_14
TS23: telencephalon ventricular layer Strong Regionally restricted euxassay_006592_14
TS23: spinal cord ventricular layer Strong Regionally restricted euxassay_006592_14
TS23: medulla oblongata basal plate ventricular layer Strong Regionally restricted euxassay_006592_14
TS23: rest of cerebellum ventricular layer Strong Regionally restricted euxassay_006592_14
TS23: pons ventricular layer Strong Regionally restricted euxassay_006592_14
TS23: rest of cerebellum marginal layer Strong Regionally restricted euxassay_006592_14
TS23: inner ear Strong Regionally restricted euxassay_006592_14

Specimen euxassay_006592_15: embryonic day 14.5 (more )
Structure Level Pattern Image Note
TS23: pharyngo-tympanic tube Strong Regionally restricted euxassay_006592_15
TS23: anterior naris Strong Regionally restricted euxassay_006592_15
TS23: olfactory epithelium Strong Regionally restricted euxassay_006592_15
TS23: lower jaw incisor Strong Regionally restricted euxassay_006592_15
TS23: upper jaw molar Strong Regionally restricted euxassay_006592_15
TS23: oral epithelium Strong Regionally restricted euxassay_006592_15
TS23: submandibular gland primordium Strong Regionally restricted euxassay_006592_15
TS23: right lung Strong Regionally restricted euxassay_006592_15
TS23: midgut Strong Regionally restricted euxassay_006592_15
TS23: renal cortex Strong Regionally restricted euxassay_006592_15
TS23: telencephalon ventricular layer Strong Regionally restricted euxassay_006592_15
TS23: medulla oblongata basal plate ventricular layer Strong Regionally restricted euxassay_006592_15
TS23: rest of cerebellum ventricular layer Strong Regionally restricted euxassay_006592_15
TS23: pons ventricular layer Strong Regionally restricted euxassay_006592_15
TS23: rest of cerebellum marginal layer Strong Regionally restricted euxassay_006592_15
TS23: inner ear Strong Regionally restricted euxassay_006592_15

Specimen euxassay_006592_16: embryonic day 14.5 (more )
Structure Level Pattern Image Note
TS23: pharyngo-tympanic tube Strong Regionally restricted euxassay_006592_16
TS23: olfactory epithelium Strong Regionally restricted euxassay_006592_16
TS23: naso-lacrimal duct Strong Regionally restricted euxassay_006592_16
TS23: oral epithelium Strong Regionally restricted euxassay_006592_16
TS23: submandibular gland primordium Strong Regionally restricted euxassay_006592_16
TS23: right lung Strong Regionally restricted euxassay_006592_16
TS23: midgut Strong Regionally restricted euxassay_006592_16
TS23: renal cortex Strong Regionally restricted euxassay_006592_16
TS23: telencephalon ventricular layer Strong Regionally restricted euxassay_006592_16
TS23: medulla oblongata basal plate ventricular layer Strong Regionally restricted euxassay_006592_16
TS23: rest of cerebellum ventricular layer Strong Regionally restricted euxassay_006592_16
TS23: pons ventricular layer Strong Regionally restricted euxassay_006592_16
TS23: rest of cerebellum marginal layer Strong Regionally restricted euxassay_006592_16
TS23: inner ear Strong Regionally restricted euxassay_006592_16

Specimen euxassay_006592_17: embryonic day 14.5 (more )
Structure Level Pattern Image Note
TS23: pharyngo-tympanic tube Strong Regionally restricted euxassay_006592_17
TS23: olfactory epithelium Strong Regionally restricted euxassay_006592_17
TS23: naso-lacrimal duct Strong Regionally restricted euxassay_006592_17
TS23: oral epithelium Strong Regionally restricted euxassay_006592_17
TS23: lower jaw molar Strong Regionally restricted euxassay_006592_17
TS23: upper jaw molar Strong Regionally restricted euxassay_006592_17
TS23: right lung Strong Regionally restricted euxassay_006592_17
TS23: midgut Strong Regionally restricted euxassay_006592_17
TS23: renal cortex Strong Regionally restricted euxassay_006592_17
TS23: telencephalon ventricular layer Strong Regionally restricted euxassay_006592_17
TS23: medulla oblongata basal plate ventricular layer Strong Regionally restricted euxassay_006592_17
TS23: rest of cerebellum ventricular layer Strong Regionally restricted euxassay_006592_17
TS23: pons ventricular layer Strong Regionally restricted euxassay_006592_17
TS23: rest of cerebellum marginal layer Strong Regionally restricted euxassay_006592_17
TS23: inner ear Strong Regionally restricted euxassay_006592_17

Specimen euxassay_006592_18: embryonic day 14.5 (more )
Structure Level Pattern Image Note
TS23: pharyngo-tympanic tube Strong Regionally restricted euxassay_006592_18
TS23: naso-lacrimal duct Strong Regionally restricted euxassay_006592_18
TS23: upper jaw molar Strong Regionally restricted euxassay_006592_18
TS23: lower jaw molar Strong Regionally restricted euxassay_006592_18
TS23: oral epithelium Strong Regionally restricted euxassay_006592_18
TS23: right lung Strong Regionally restricted euxassay_006592_18
TS23: midgut Strong Regionally restricted euxassay_006592_18
TS23: renal cortex Strong Regionally restricted euxassay_006592_18
TS23: telencephalon ventricular layer Strong Regionally restricted euxassay_006592_18
TS23: medulla oblongata basal plate ventricular layer Strong Regionally restricted euxassay_006592_18
TS23: rest of cerebellum ventricular layer Strong Regionally restricted euxassay_006592_18
TS23: pons ventricular layer Strong Regionally restricted euxassay_006592_18
TS23: rest of cerebellum marginal layer Strong Regionally restricted euxassay_006592_18
TS23: inner ear Strong Regionally restricted euxassay_006592_18

Specimen euxassay_006592_19: embryonic day 14.5 (more )
Structure Level Pattern Image Note
TS23: pharyngo-tympanic tube Strong Regionally restricted euxassay_006592_19
TS23: naso-lacrimal duct Strong Regionally restricted euxassay_006592_19
TS23: vibrissa Strong Regionally restricted euxassay_006592_19
TS23: oral epithelium Strong Regionally restricted euxassay_006592_19
TS23: right lung Strong Regionally restricted euxassay_006592_19
TS23: midgut Strong Regionally restricted euxassay_006592_19
TS23: renal cortex Strong Regionally restricted euxassay_006592_19
TS23: telencephalon ventricular layer Strong Regionally restricted euxassay_006592_19
TS23: hindbrain Strong Regionally restricted euxassay_006592_19
TS23: inner ear Strong Regionally restricted euxassay_006592_19

Specimen euxassay_006592_20: embryonic day 14.5 (more )
Structure Level Pattern Image Note
TS23: neural retina Moderate Regionally restricted euxassay_006592_20
TS23: pharyngo-tympanic tube Strong Regionally restricted euxassay_006592_20
TS23: naso-lacrimal duct Strong Regionally restricted euxassay_006592_20
TS23: vibrissa Strong Regionally restricted euxassay_006592_20
TS23: right lung Strong Regionally restricted euxassay_006592_20
TS23: telencephalon ventricular layer Strong Regionally restricted euxassay_006592_20
TS23: inner ear Strong Regionally restricted euxassay_006592_20

Specimen euxassay_006592_21: embryonic day 14.5 (more )
Structure Level Pattern Image Note
TS23: eyelid Moderate Regionally restricted euxassay_006592_21
TS23: neural retina Moderate Regionally restricted euxassay_006592_21
TS23: pharyngo-tympanic tube Strong Regionally restricted euxassay_006592_21
TS23: naso-lacrimal duct Strong Regionally restricted euxassay_006592_21
TS23: vibrissa Moderate Regionally restricted euxassay_006592_21
TS23: right lung Strong Regionally restricted euxassay_006592_21
TS23: telencephalon ventricular layer Strong Regionally restricted euxassay_006592_21
TS23: inner ear Strong Regionally restricted euxassay_006592_21


Contributing Projects:
Mouse Genome Database (MGD), Gene Expression Database (GXD), Mouse Models of Human Cancer database (MMHCdb) (formerly Mouse Tumor Biology (MTB)), Gene Ontology (GO)
Citing These Resources
Funding Information
Warranty Disclaimer, Privacy Notice, Licensing, & Copyright
Send questions and comments to User Support.
last database update
12/30/2025
MGI 6.24
The Jackson Laboratory