About   Help   FAQ
Gene Expression Data
Assay Details
Assay
Reference: J:153498 Diez-Roux G, et al., A high-resolution anatomical atlas of the transcriptome in the mouse embryo. PLoS Biol. 2011;9(1):e1000582
Assay type: RNA in situ
MGI Accession ID: MGI:4829283
Gene symbol: Zdhhc8
Gene name: zinc finger, DHHC domain containing 8
Probe: T38742
Probe preparation: Antisense labelled with digoxigenin RNA
Visualized with: Alkaline phosphatase
Assay notes: Cryosections of fresh frozen material were fixed in 4% paraformaldehyde for 20 min. before further processing. A tyramide-biotin/streptavidin amplification step was included in the in situ hybridization procedure.
Results
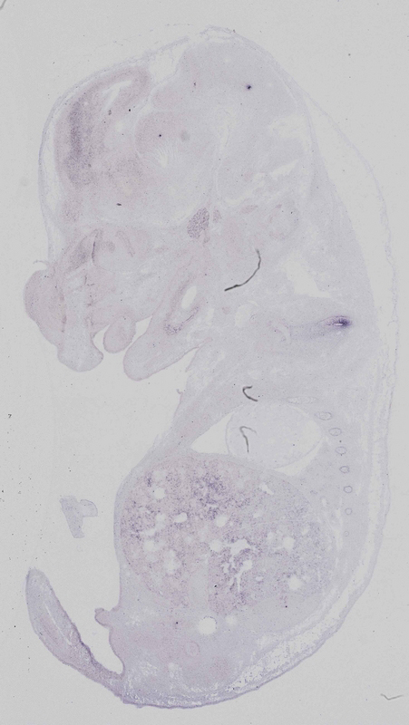
Specimen euxassay_016524_03: embryonic day 14.5 (more )
Structure Level Pattern Image Note
TS23: trigeminal ganglion Weak Regionally restricted euxassay_016524_03
TS23: dorsal root ganglion Weak Regionally restricted euxassay_016524_03

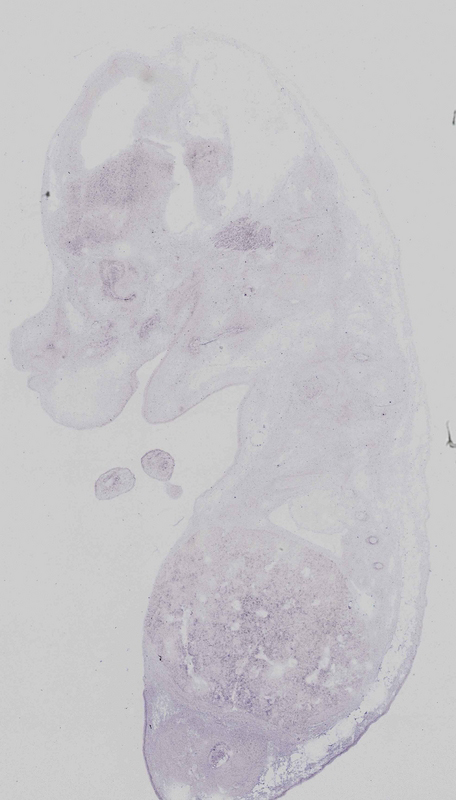
Specimen euxassay_016524_04: embryonic day 14.5 (more )
Note: Additional information for this specimen was included in the Eurexpress data submission file.
Structure Level Pattern Image Note
TS23: telencephalon mantle layer Moderate Regionally restricted euxassay_016524_04
TS23: amygdala Present euxassay_016524_04
TS23: trigeminal ganglion Weak Regionally restricted euxassay_016524_04
TS23: dorsal root ganglion Weak Regionally restricted euxassay_016524_04

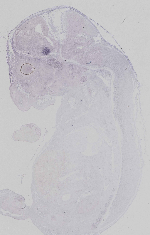
Specimen euxassay_016524_05: embryonic day 14.5 (more )
Note: Additional information for this specimen was included in the Eurexpress data submission file.
Structure Level Pattern Image Note
TS23: telencephalon mantle layer Strong Regionally restricted euxassay_016524_05
TS23: amygdala Present euxassay_016524_05
TS23: trigeminal ganglion Weak Regionally restricted euxassay_016524_05
TS23: dorsal root ganglion Weak Regionally restricted euxassay_016524_05

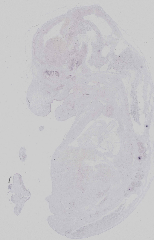
Specimen euxassay_016524_06: embryonic day 14.5 (more )
Note: Additional information for this specimen was included in the Eurexpress data submission file.
Structure Level Pattern Image Note
TS23: telencephalon mantle layer Strong Regionally restricted euxassay_016524_06
TS23: amygdala Present euxassay_016524_06
TS23: trigeminal ganglion Weak Regionally restricted euxassay_016524_06

Specimen euxassay_016524_07: embryonic day 14.5 (more )
Structure Level Pattern Image Note
TS23: trigeminal ganglion Weak Regionally restricted euxassay_016524_07

Specimen euxassay_016524_08: embryonic day 14.5 (more )
Structure Level Pattern Image Note
TS23: trigeminal ganglion Weak Regionally restricted euxassay_016524_08

Specimen euxassay_016524_10: embryonic day 14.5 (more )
Structure Level Pattern Image Note
TS23: olfactory epithelium Weak Regionally restricted euxassay_016524_10
TS23: hypothalamus ventricular layer Weak Regionally restricted euxassay_016524_10
TS23: dorsal root ganglion Weak Regionally restricted euxassay_016524_10

Specimen euxassay_016524_11: embryonic day 14.5 (more )
Structure Level Pattern Image Note
TS23: olfactory epithelium Weak Regionally restricted euxassay_016524_11
TS23: hypothalamus ventricular layer Weak Regionally restricted euxassay_016524_11
TS23: dorsal root ganglion Weak Regionally restricted euxassay_016524_11

Specimen euxassay_016524_12: embryonic day 14.5 (more )
Structure Level Pattern Image Note
TS23: olfactory epithelium Moderate Regionally restricted euxassay_016524_12
TS23: hypothalamus ventricular layer Weak Regionally restricted euxassay_016524_12
TS23: dorsal root ganglion Weak Regionally restricted euxassay_016524_12

Specimen euxassay_016524_13: embryonic day 14.5 (more )
Structure Level Pattern Image Note
TS23: olfactory epithelium Moderate Regionally restricted euxassay_016524_13
TS23: hypothalamus ventricular layer Weak Regionally restricted euxassay_016524_13

Specimen euxassay_016524_14: embryonic day 14.5 (more )
Structure Level Pattern Image Note
TS23: olfactory epithelium Moderate Regionally restricted euxassay_016524_14
TS23: hypothalamus ventricular layer Weak Regionally restricted euxassay_016524_14

Specimen euxassay_016524_15: embryonic day 14.5 (more )
Structure Level Pattern Image Note
TS23: olfactory epithelium Weak Regionally restricted euxassay_016524_15
TS23: hypothalamus ventricular layer Weak Regionally restricted euxassay_016524_15

Specimen euxassay_016524_16: embryonic day 14.5 (more )
Structure Level Pattern Image Note
TS23: olfactory epithelium Moderate Regionally restricted euxassay_016524_16
TS23: hypothalamus ventricular layer Weak Regionally restricted euxassay_016524_16
TS23: trigeminal ganglion Weak Regionally restricted euxassay_016524_16

Specimen euxassay_016524_17: embryonic day 14.5 (more )
Structure Level Pattern Image Note
TS23: trigeminal ganglion Weak Regionally restricted euxassay_016524_17

Specimen euxassay_016524_18: embryonic day 14.5 (more )
Structure Level Pattern Image Note
TS23: trigeminal ganglion Weak Regionally restricted euxassay_016524_18

Specimen euxassay_016524_19: embryonic day 14.5 (more )
Structure Level Pattern Image Note
TS23: trigeminal ganglion Weak Regionally restricted euxassay_016524_19

Specimen euxassay_016524_21: embryonic day 14.5 (more )
Note: Additional information for this specimen was included in the Eurexpress data submission file.
Structure Level Pattern Image Note
TS23: telencephalon mantle layer Moderate Regionally restricted euxassay_016524_21
TS23: amygdala Present euxassay_016524_21


Contributing Projects:
Mouse Genome Database (MGD), Gene Expression Database (GXD), Mouse Models of Human Cancer database (MMHCdb) (formerly Mouse Tumor Biology (MTB)), Gene Ontology (GO)
Citing These Resources
Funding Information
Warranty Disclaimer, Privacy Notice, Licensing, & Copyright
Send questions and comments to User Support.
last database update
01/20/2026
MGI 6.24
The Jackson Laboratory