About   Help   FAQ
Gene Expression Data
Assay Details
Assay
Reference: J:153498 Diez-Roux G, et al., A high-resolution anatomical atlas of the transcriptome in the mouse embryo. PLoS Biol. 2011;9(1):e1000582
Assay type: RNA in situ
MGI Accession ID: MGI:4829282
Gene symbol: Zdhhc24
Gene name: zinc finger, DHHC domain containing 24
Probe: T35481
Probe preparation: Antisense labelled with digoxigenin RNA
Visualized with: Alkaline phosphatase
Assay notes: Cryosections of fresh frozen material were fixed in 4% paraformaldehyde for 20 min. before further processing. A tyramide-biotin/streptavidin amplification step was included in the in situ hybridization procedure.
Results
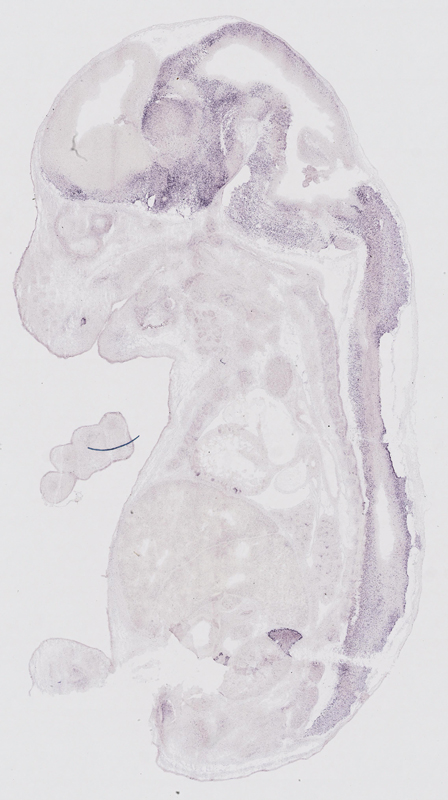
Specimen euxassay_008963_01: embryonic day 14.5 (more )
Structure Level Pattern Image Note
TS23: telencephalon mantle layer Moderate Regionally restricted euxassay_008963_01

Specimen euxassay_008963_02: embryonic day 14.5 (more )
Structure Level Pattern Image Note
TS23: telencephalon mantle layer Moderate Regionally restricted euxassay_008963_02
TS23: midbrain mantle layer Moderate Regionally restricted euxassay_008963_02

Specimen euxassay_008963_03: embryonic day 14.5 (more )
Structure Level Pattern Image Note
TS23: midbrain mantle layer Moderate Regionally restricted euxassay_008963_03
TS23: telencephalon marginal layer Moderate Regionally restricted euxassay_008963_03
TS23: pons mantle layer Moderate Regionally restricted euxassay_008963_03
TS23: rest of cerebellum mantle layer Moderate Regionally restricted euxassay_008963_03

Specimen euxassay_008963_04: embryonic day 14.5 (more )
Structure Level Pattern Image Note
TS23: telencephalon mantle layer Moderate Regionally restricted euxassay_008963_04
TS23: midbrain mantle layer Moderate Regionally restricted euxassay_008963_04
TS23: pons mantle layer Moderate Regionally restricted euxassay_008963_04
TS23: rest of cerebellum mantle layer Moderate Regionally restricted euxassay_008963_04
TS23: medulla oblongata basal plate mantle layer Moderate Regionally restricted euxassay_008963_04
TS23: medulla oblongata alar plate mantle layer Moderate Regionally restricted euxassay_008963_04

Specimen euxassay_008963_05: embryonic day 14.5 (more )
Structure Level Pattern Image Note
TS23: telencephalon mantle layer Moderate Regionally restricted euxassay_008963_05
TS23: midbrain mantle layer Moderate Regionally restricted euxassay_008963_05
TS23: pons mantle layer Moderate Regionally restricted euxassay_008963_05
TS23: rest of cerebellum mantle layer Moderate Regionally restricted euxassay_008963_05
TS23: medulla oblongata basal plate mantle layer Moderate Regionally restricted euxassay_008963_05
TS23: medulla oblongata alar plate mantle layer Moderate Regionally restricted euxassay_008963_05

Specimen euxassay_008963_06: embryonic day 14.5 (more )
Structure Level Pattern Image Note
TS23: telencephalon mantle layer Moderate Regionally restricted euxassay_008963_06
TS23: midbrain mantle layer Moderate Regionally restricted euxassay_008963_06
TS23: diencephalon lateral wall mantle layer Moderate Regionally restricted euxassay_008963_06
TS23: pons mantle layer Moderate Regionally restricted euxassay_008963_06
TS23: rest of cerebellum mantle layer Moderate Regionally restricted euxassay_008963_06
TS23: medulla oblongata basal plate mantle layer Moderate Regionally restricted euxassay_008963_06
TS23: medulla oblongata alar plate mantle layer Moderate Regionally restricted euxassay_008963_06
TS23: spinal cord mantle layer Moderate Regionally restricted euxassay_008963_06

Specimen euxassay_008963_07: embryonic day 14.5 (more )
Structure Level Pattern Image Note
TS23: diencephalon lateral wall mantle layer Moderate Regionally restricted euxassay_008963_07
TS23: telencephalon mantle layer Moderate Regionally restricted euxassay_008963_07
TS23: midbrain mantle layer Moderate Regionally restricted euxassay_008963_07
TS23: pons mantle layer Moderate Regionally restricted euxassay_008963_07
TS23: rest of cerebellum mantle layer Moderate Regionally restricted euxassay_008963_07
TS23: medulla oblongata basal plate mantle layer Moderate Regionally restricted euxassay_008963_07
TS23: medulla oblongata alar plate mantle layer Moderate Regionally restricted euxassay_008963_07
TS23: spinal cord mantle layer Moderate Regionally restricted euxassay_008963_07
TS23: seminiferous cord Strong Regionally restricted euxassay_008963_07

Specimen euxassay_008963_08: embryonic day 14.5 (more )
Structure Level Pattern Image Note
TS23: diencephalon lateral wall mantle layer Moderate Regionally restricted euxassay_008963_08
TS23: telencephalon mantle layer Moderate Regionally restricted euxassay_008963_08
TS23: midbrain mantle layer Moderate Regionally restricted euxassay_008963_08
TS23: pons mantle layer Moderate Regionally restricted euxassay_008963_08
TS23: rest of cerebellum mantle layer Moderate Regionally restricted euxassay_008963_08
TS23: medulla oblongata basal plate mantle layer Moderate Regionally restricted euxassay_008963_08
TS23: medulla oblongata alar plate mantle layer Moderate Regionally restricted euxassay_008963_08
TS23: spinal cord mantle layer Moderate Regionally restricted euxassay_008963_08
TS23: adrenal medulla Strong Regionally restricted euxassay_008963_08
TS23: seminiferous cord Strong Regionally restricted euxassay_008963_08

Specimen euxassay_008963_09: embryonic day 14.5 (more )
Structure Level Pattern Image Note
TS23: diencephalon lateral wall mantle layer Moderate Regionally restricted euxassay_008963_09
TS23: telencephalon mantle layer Moderate Regionally restricted euxassay_008963_09
TS23: midbrain mantle layer Moderate Regionally restricted euxassay_008963_09
TS23: pons mantle layer Moderate Regionally restricted euxassay_008963_09
TS23: rest of cerebellum mantle layer Moderate Regionally restricted euxassay_008963_09
TS23: medulla oblongata basal plate mantle layer Moderate Regionally restricted euxassay_008963_09
TS23: medulla oblongata alar plate mantle layer Moderate Regionally restricted euxassay_008963_09
TS23: spinal cord mantle layer Moderate Regionally restricted euxassay_008963_09
TS23: adrenal medulla Strong Regionally restricted euxassay_008963_09
TS23: seminiferous cord Strong Regionally restricted euxassay_008963_09

Specimen euxassay_008963_10: embryonic day 14.5 (more )
Structure Level Pattern Image Note
TS23: diencephalon lateral wall mantle layer Moderate Regionally restricted euxassay_008963_10
TS23: telencephalon mantle layer Moderate Regionally restricted euxassay_008963_10
TS23: midbrain mantle layer Moderate Regionally restricted euxassay_008963_10
TS23: pons mantle layer Moderate Regionally restricted euxassay_008963_10
TS23: rest of cerebellum mantle layer Moderate Regionally restricted euxassay_008963_10
TS23: medulla oblongata basal plate mantle layer Moderate Regionally restricted euxassay_008963_10
TS23: medulla oblongata alar plate mantle layer Moderate Regionally restricted euxassay_008963_10
TS23: spinal cord mantle layer Moderate Regionally restricted euxassay_008963_10
TS23: adrenal medulla Strong Regionally restricted euxassay_008963_10
TS23: seminiferous cord Strong Regionally restricted euxassay_008963_10

Specimen euxassay_008963_11: embryonic day 14.5 (more )
Structure Level Pattern Image Note
TS23: diencephalon lateral wall mantle layer Moderate Regionally restricted euxassay_008963_11
TS23: telencephalon mantle layer Moderate Regionally restricted euxassay_008963_11
TS23: midbrain mantle layer Moderate Regionally restricted euxassay_008963_11
TS23: pons mantle layer Moderate Regionally restricted euxassay_008963_11
TS23: rest of cerebellum mantle layer Moderate Regionally restricted euxassay_008963_11
TS23: medulla oblongata basal plate mantle layer Moderate Regionally restricted euxassay_008963_11
TS23: medulla oblongata alar plate mantle layer Moderate Regionally restricted euxassay_008963_11
TS23: spinal cord mantle layer Moderate Regionally restricted euxassay_008963_11
TS23: adrenal medulla Strong Regionally restricted euxassay_008963_11

Specimen euxassay_008963_12: embryonic day 14.5 (more )
Structure Level Pattern Image Note
TS23: diencephalon lateral wall mantle layer Moderate Regionally restricted euxassay_008963_12
TS23: telencephalon mantle layer Moderate Regionally restricted euxassay_008963_12
TS23: midbrain mantle layer Moderate Regionally restricted euxassay_008963_12
TS23: pons mantle layer Moderate Regionally restricted euxassay_008963_12
TS23: rest of cerebellum mantle layer Moderate Regionally restricted euxassay_008963_12
TS23: medulla oblongata basal plate mantle layer Moderate Regionally restricted euxassay_008963_12
TS23: medulla oblongata alar plate mantle layer Moderate Regionally restricted euxassay_008963_12
TS23: spinal cord mantle layer Moderate Regionally restricted euxassay_008963_12

Specimen euxassay_008963_13: embryonic day 14.5 (more )
Structure Level Pattern Image Note
TS23: diencephalon lateral wall mantle layer Moderate Regionally restricted euxassay_008963_13
TS23: telencephalon mantle layer Moderate Regionally restricted euxassay_008963_13
TS23: midbrain mantle layer Moderate Regionally restricted euxassay_008963_13
TS23: pons mantle layer Moderate Regionally restricted euxassay_008963_13
TS23: rest of cerebellum mantle layer Moderate Regionally restricted euxassay_008963_13
TS23: medulla oblongata basal plate mantle layer Moderate Regionally restricted euxassay_008963_13
TS23: medulla oblongata alar plate mantle layer Moderate Regionally restricted euxassay_008963_13
TS23: spinal cord mantle layer Moderate Regionally restricted euxassay_008963_13

Specimen euxassay_008963_14: embryonic day 14.5 (more )
Structure Level Pattern Image Note
TS23: diencephalon lateral wall mantle layer Moderate Regionally restricted euxassay_008963_14
TS23: telencephalon mantle layer Moderate Regionally restricted euxassay_008963_14
TS23: midbrain mantle layer Moderate Regionally restricted euxassay_008963_14
TS23: pons mantle layer Moderate Regionally restricted euxassay_008963_14
TS23: rest of cerebellum mantle layer Moderate Regionally restricted euxassay_008963_14
TS23: medulla oblongata basal plate mantle layer Moderate Regionally restricted euxassay_008963_14
TS23: medulla oblongata alar plate mantle layer Moderate Regionally restricted euxassay_008963_14
TS23: spinal cord mantle layer Moderate Regionally restricted euxassay_008963_14

Specimen euxassay_008963_15: embryonic day 14.5 (more )
Structure Level Pattern Image Note
TS23: diencephalon lateral wall mantle layer Moderate Regionally restricted euxassay_008963_15
TS23: telencephalon mantle layer Moderate Regionally restricted euxassay_008963_15
TS23: midbrain mantle layer Moderate Regionally restricted euxassay_008963_15
TS23: rest of cerebellum mantle layer Moderate Regionally restricted euxassay_008963_15
TS23: pons mantle layer Moderate Regionally restricted euxassay_008963_15
TS23: medulla oblongata basal plate mantle layer Moderate Regionally restricted euxassay_008963_15
TS23: medulla oblongata alar plate mantle layer Moderate Regionally restricted euxassay_008963_15

Specimen euxassay_008963_16: embryonic day 14.5 (more )
Structure Level Pattern Image Note
TS23: diencephalon lateral wall mantle layer Moderate Regionally restricted euxassay_008963_16
TS23: telencephalon mantle layer Moderate Regionally restricted euxassay_008963_16
TS23: midbrain mantle layer Moderate Regionally restricted euxassay_008963_16
TS23: pons mantle layer Moderate Regionally restricted euxassay_008963_16
TS23: medulla oblongata basal plate mantle layer Moderate Regionally restricted euxassay_008963_16
TS23: medulla oblongata alar plate mantle layer Moderate Regionally restricted euxassay_008963_16
TS23: adrenal medulla Strong Regionally restricted euxassay_008963_16

Specimen euxassay_008963_17: embryonic day 14.5 (more )
Structure Level Pattern Image Note
TS23: telencephalon mantle layer Moderate Regionally restricted euxassay_008963_17
TS23: diencephalon lateral wall mantle layer Moderate Regionally restricted euxassay_008963_17
TS23: midbrain mantle layer Moderate Regionally restricted euxassay_008963_17
TS23: pons mantle layer Moderate Regionally restricted euxassay_008963_17
TS23: adrenal medulla Strong Regionally restricted euxassay_008963_17

Specimen euxassay_008963_18: embryonic day 14.5 (more )
Structure Level Pattern Image Note
TS23: telencephalon mantle layer Moderate Regionally restricted euxassay_008963_18
TS23: adrenal medulla Strong Regionally restricted euxassay_008963_18

Specimen euxassay_008963_19: embryonic day 14.5 (more )
Structure Level Pattern Image Note
TS23: telencephalon mantle layer Moderate Regionally restricted euxassay_008963_19

Specimen euxassay_008963_20: embryonic day 14.5 (more )
Structure Level Pattern Image Note
TS23: telencephalon mantle layer Moderate Regionally restricted euxassay_008963_20
TS23: seminiferous cord Strong Regionally restricted euxassay_008963_20

Specimen euxassay_008963_21: embryonic day 14.5 (more )
Structure Level Pattern Image Note
TS23: telencephalon mantle layer Moderate Regionally restricted euxassay_008963_21
TS23: seminiferous cord Strong Regionally restricted euxassay_008963_21

Specimen euxassay_008963_22: embryonic day 14.5 (more )
Structure Level Pattern Image Note
TS23: telencephalon mantle layer Moderate Regionally restricted euxassay_008963_22
TS23: seminiferous cord Strong Regionally restricted euxassay_008963_22

Specimen euxassay_008963_23: embryonic day 14.5 (more )
Structure Level Pattern Image Note
TS23: telencephalon mantle layer Moderate Regionally restricted euxassay_008963_23


Contributing Projects:
Mouse Genome Database (MGD), Gene Expression Database (GXD), Mouse Models of Human Cancer database (MMHCdb) (formerly Mouse Tumor Biology (MTB)), Gene Ontology (GO)
Citing These Resources
Funding Information
Warranty Disclaimer, Privacy Notice, Licensing, & Copyright
Send questions and comments to User Support.
last database update
12/30/2025
MGI 6.24
The Jackson Laboratory