About   Help   FAQ
Gene Expression Data
Assay Details
Assay
Reference: J:153498 Diez-Roux G, et al., A high-resolution anatomical atlas of the transcriptome in the mouse embryo. PLoS Biol. 2011;9(1):e1000582
Assay type: RNA in situ
MGI Accession ID: MGI:4829269
Gene symbol: Zc4h2
Gene name: zinc finger, C4H2 domain containing
Probe: MGC clone 105164
Probe preparation: Antisense labelled with digoxigenin RNA
Visualized with: Alkaline phosphatase
Assay notes: Cryosections of fresh frozen material were fixed in 4% paraformaldehyde for 20 min. before further processing. A tyramide-biotin/streptavidin amplification step was included in the in situ hybridization procedure.
Results
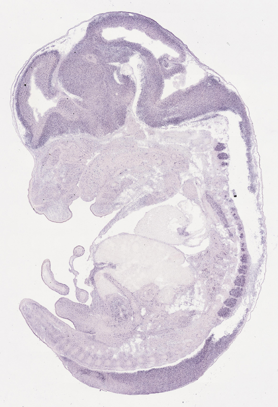
Specimen euxassay_005296_01: embryonic day 14.5 (more )
Structure Level Pattern Image Note
TS23: brain Moderate Regionally restricted euxassay_005296_01
TS23: neural retina Moderate Regionally restricted euxassay_005296_01

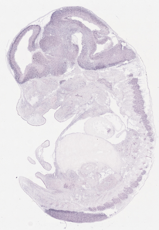
Specimen euxassay_005296_02: embryonic day 14.5 (more )
Structure Level Pattern Image Note
TS23: brain Moderate Regionally restricted euxassay_005296_02
TS23: neural retina Moderate Regionally restricted euxassay_005296_02
TS23: trigeminal ganglion Moderate Regionally restricted euxassay_005296_02

Specimen euxassay_005296_03: embryonic day 14.5 (more )
Structure Level Pattern Image Note
TS23: brain Moderate Regionally restricted euxassay_005296_03
TS23: trigeminal ganglion Moderate Regionally restricted euxassay_005296_03

Specimen euxassay_005296_04: embryonic day 14.5 (more )
Structure Level Pattern Image Note
TS23: brain Moderate Regionally restricted euxassay_005296_04
TS23: trigeminal ganglion Moderate Regionally restricted euxassay_005296_04
TS23: vestibulo-cochlear ganglion Moderate Regionally restricted euxassay_005296_04

Specimen euxassay_005296_05: embryonic day 14.5 (more )
Structure Level Pattern Image Note
TS23: brain Strong Regionally restricted euxassay_005296_05
TS23: vestibulo-cochlear ganglion Moderate Regionally restricted euxassay_005296_05
TS23: trigeminal ganglion Moderate Regionally restricted euxassay_005296_05
TS23: facial ganglion Moderate Regionally restricted euxassay_005296_05

Specimen euxassay_005296_06: embryonic day 14.5 (more )
Structure Level Pattern Image Note
TS23: brain Moderate Regionally restricted euxassay_005296_06
TS23: vestibulo-cochlear ganglion Moderate Regionally restricted euxassay_005296_06
TS23: trigeminal ganglion Moderate Regionally restricted euxassay_005296_06
TS23: glossopharyngeal ganglion Moderate Regionally restricted euxassay_005296_06
TS23: vagus ganglion Moderate Regionally restricted euxassay_005296_06

Specimen euxassay_005296_07: embryonic day 14.5 (more )
Structure Level Pattern Image Note
TS23: brain Moderate Regionally restricted euxassay_005296_07
TS23: vagus ganglion Moderate Regionally restricted euxassay_005296_07
TS23: trigeminal ganglion Moderate Regionally restricted euxassay_005296_07
TS23: trigeminal nerve Moderate Regionally restricted euxassay_005296_07
TS23: vestibulo-cochlear ganglion Moderate Regionally restricted euxassay_005296_07
TS23: glossopharyngeal ganglion Moderate Regionally restricted euxassay_005296_07
TS23: cervical ganglion Moderate Regionally restricted euxassay_005296_07
TS23: dorsal root ganglion Moderate Regionally restricted euxassay_005296_07

Specimen euxassay_005296_08: embryonic day 14.5 (more )
Structure Level Pattern Image Note
TS23: brain Moderate Regionally restricted euxassay_005296_08
TS23: trigeminal nerve Moderate Regionally restricted euxassay_005296_08
TS23: cervical ganglion Moderate Regionally restricted euxassay_005296_08
TS23: dorsal root ganglion Moderate Regionally restricted euxassay_005296_08

Specimen euxassay_005296_09: embryonic day 14.5 (more )
Structure Level Pattern Image Note
TS23: brain Moderate Regionally restricted euxassay_005296_09
TS23: spinal cord Moderate Regionally restricted euxassay_005296_09
TS23: cervico-thoracic ganglion Moderate Regionally restricted euxassay_005296_09
TS23: dorsal root ganglion Strong Regionally restricted euxassay_005296_09

Specimen euxassay_005296_10: embryonic day 14.5 (more )
Structure Level Pattern Image Note
TS23: brain Moderate Regionally restricted euxassay_005296_10
TS23: spinal cord Moderate Regionally restricted euxassay_005296_10
TS23: cervico-thoracic ganglion Moderate Regionally restricted euxassay_005296_10
TS23: thoracic ganglion Moderate Regionally restricted euxassay_005296_10

Specimen euxassay_005296_11: embryonic day 14.5 (more )
Structure Level Pattern Image Note
TS23: brain Moderate Regionally restricted euxassay_005296_11
TS23: spinal cord Moderate Regionally restricted euxassay_005296_11

Specimen euxassay_005296_12: embryonic day 14.5 (more )
Structure Level Pattern Image Note
TS23: brain Moderate Regionally restricted euxassay_005296_12
TS23: spinal cord Moderate Regionally restricted euxassay_005296_12
TS23: dorsal root ganglion Moderate Regionally restricted euxassay_005296_12

Specimen euxassay_005296_13: embryonic day 14.5 (more )
Structure Level Pattern Image Note
TS23: brain Moderate Regionally restricted euxassay_005296_13
TS23: spinal cord Moderate Regionally restricted euxassay_005296_13

Specimen euxassay_005296_14: embryonic day 14.5 (more )
Structure Level Pattern Image Note
TS23: brain Moderate Regionally restricted euxassay_005296_14
TS23: spinal cord Moderate Regionally restricted euxassay_005296_14
TS23: cervico-thoracic ganglion Moderate Regionally restricted euxassay_005296_14

Specimen euxassay_005296_15: embryonic day 14.5 (more )
Structure Level Pattern Image Note
TS23: brain Moderate Regionally restricted euxassay_005296_15
TS23: spinal cord Moderate Regionally restricted euxassay_005296_15
TS23: trigeminal nerve Moderate Regionally restricted euxassay_005296_15
TS23: trigeminal ganglion Moderate Regionally restricted euxassay_005296_15
TS23: cervical ganglion Moderate Regionally restricted euxassay_005296_15
TS23: dorsal root ganglion Moderate Regionally restricted euxassay_005296_15

Specimen euxassay_005296_16: embryonic day 14.5 (more )
Structure Level Pattern Image Note
TS23: brain Moderate Regionally restricted euxassay_005296_16
TS23: trigeminal ganglion Moderate Regionally restricted euxassay_005296_16
TS23: vestibulo-cochlear ganglion Moderate Regionally restricted euxassay_005296_16
TS23: glossopharyngeal ganglion Moderate Regionally restricted euxassay_005296_16
TS23: vagus ganglion Moderate Regionally restricted euxassay_005296_16
TS23: cervical ganglion Moderate Regionally restricted euxassay_005296_16
TS23: dorsal root ganglion Moderate Regionally restricted euxassay_005296_16

Specimen euxassay_005296_17: embryonic day 14.5 (more )
Structure Level Pattern Image Note
TS23: brain Moderate Regionally restricted euxassay_005296_17
TS23: facial ganglion Moderate Regionally restricted euxassay_005296_17
TS23: glossopharyngeal ganglion Moderate Regionally restricted euxassay_005296_17
TS23: trigeminal ganglion Moderate Regionally restricted euxassay_005296_17
TS23: vestibulo-cochlear ganglion Moderate Regionally restricted euxassay_005296_17
TS23: vagus ganglion Moderate Regionally restricted euxassay_005296_17
TS23: dorsal root ganglion Moderate Regionally restricted euxassay_005296_17

Specimen euxassay_005296_18: embryonic day 14.5 (more )
Structure Level Pattern Image Note
TS23: brain Moderate Regionally restricted euxassay_005296_18
TS23: trigeminal ganglion Moderate Regionally restricted euxassay_005296_18
TS23: facial ganglion Moderate Regionally restricted euxassay_005296_18
TS23: vestibulo-cochlear ganglion Moderate Regionally restricted euxassay_005296_18

Specimen euxassay_005296_19: embryonic day 14.5 (more )
Structure Level Pattern Image Note
TS23: brain Moderate Regionally restricted euxassay_005296_19
TS23: neural retina Moderate Regionally restricted euxassay_005296_19
TS23: trigeminal ganglion Moderate Regionally restricted euxassay_005296_19
TS23: vestibulo-cochlear ganglion Moderate Regionally restricted euxassay_005296_19
TS23: facial ganglion Moderate Regionally restricted euxassay_005296_19

Specimen euxassay_005296_20: embryonic day 14.5 (more )
Structure Level Pattern Image Note
TS23: brain Moderate Regionally restricted euxassay_005296_20
TS23: neural retina Moderate Regionally restricted euxassay_005296_20
TS23: trigeminal ganglion Moderate Regionally restricted euxassay_005296_20

Specimen euxassay_005296_21: embryonic day 14.5 (more )
Structure Level Pattern Image Note
TS23: brain Moderate Regionally restricted euxassay_005296_21
TS23: neural retina Moderate Regionally restricted euxassay_005296_21

Specimen euxassay_005296_22: embryonic day 14.5 (more )
Structure Level Pattern Image Note
TS23: brain Moderate Regionally restricted euxassay_005296_22


Contributing Projects:
Mouse Genome Database (MGD), Gene Expression Database (GXD), Mouse Models of Human Cancer database (MMHCdb) (formerly Mouse Tumor Biology (MTB)), Gene Ontology (GO)
Citing These Resources
Funding Information
Warranty Disclaimer, Privacy Notice, Licensing, & Copyright
Send questions and comments to User Support.
last database update
03/24/2026
MGI 6.24
The Jackson Laboratory