About   Help   FAQ
Gene Expression Data
Assay Details
Assay
Reference: J:153498 Diez-Roux G, et al., A high-resolution anatomical atlas of the transcriptome in the mouse embryo. PLoS Biol. 2011;9(1):e1000582
Assay type: RNA in situ
MGI Accession ID: MGI:4829265
Gene symbol: Zbtb7c
Gene name: zinc finger and BTB domain containing 7C
Probe: MGC clone 92939
Probe preparation: Antisense labelled with digoxigenin RNA
Visualized with: Alkaline phosphatase
Assay notes: Cryosections of fresh frozen material were fixed in 4% paraformaldehyde for 20 min. before further processing. A tyramide-biotin/streptavidin amplification step was included in the in situ hybridization procedure.
Results
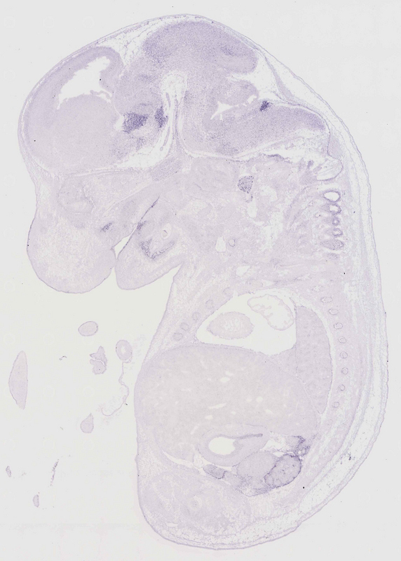
Specimen euxassay_011232_01: embryonic day 14.5 (more )
Structure Level Pattern Image Note
TS23: telencephalon mantle layer Moderate Regionally restricted euxassay_011232_01
TS23: orbito-sphenoid Moderate Regionally restricted euxassay_011232_01

Specimen euxassay_011232_02: embryonic day 14.5 (more )
Structure Level Pattern Image Note
TS23: telencephalon mantle layer Moderate Regionally restricted euxassay_011232_02
TS23: orbito-sphenoid Moderate Regionally restricted euxassay_011232_02
TS23: mandible Weak Regionally restricted euxassay_011232_02

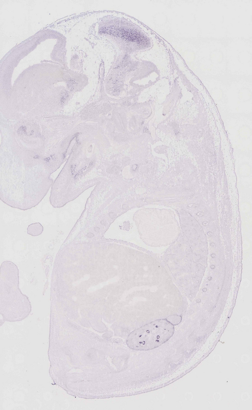
Specimen euxassay_011232_03: embryonic day 14.5 (more )
Structure Level Pattern Image Note
TS23: telencephalon mantle layer Moderate Regionally restricted euxassay_011232_03
TS23: orbito-sphenoid Moderate Regionally restricted euxassay_011232_03
TS23: mandible Weak Regionally restricted euxassay_011232_03

Specimen euxassay_011232_04: embryonic day 14.5 (more )
Structure Level Pattern Image Note
TS23: telencephalon mantle layer Moderate Regionally restricted euxassay_011232_04
TS23: orbito-sphenoid Moderate Regionally restricted euxassay_011232_04
TS23: mandible Weak Regionally restricted euxassay_011232_04

Specimen euxassay_011232_05: embryonic day 14.5 (more )
Structure Level Pattern Image Note
TS23: telencephalon mantle layer Moderate Regionally restricted euxassay_011232_05
TS23: midbrain mantle layer Moderate Regionally restricted euxassay_011232_05
TS23: orbito-sphenoid Moderate Regionally restricted euxassay_011232_05
TS23: maxilla Weak Regionally restricted euxassay_011232_05
TS23: mandible Weak Regionally restricted euxassay_011232_05

Specimen euxassay_011232_06: embryonic day 14.5 (more )
Structure Level Pattern Image Note
TS23: telencephalon mantle layer Moderate Regionally restricted euxassay_011232_06
TS23: midbrain mantle layer Moderate Regionally restricted euxassay_011232_06
TS23: diencephalon lateral wall mantle layer Moderate Regionally restricted euxassay_011232_06
TS23: maxilla Weak Regionally restricted euxassay_011232_06
TS23: mandible Weak Regionally restricted euxassay_011232_06
TS23: glossopharyngeal ganglion Weak Regionally restricted euxassay_011232_06
TS23: medulla oblongata alar plate mantle layer Moderate Regionally restricted euxassay_011232_06
TS23: medulla oblongata basal plate mantle layer Moderate Regionally restricted euxassay_011232_06

Specimen euxassay_011232_07: embryonic day 14.5 (more )
Structure Level Pattern Image Note
TS23: diencephalon lateral wall mantle layer Moderate Regionally restricted euxassay_011232_07
TS23: midbrain mantle layer Weak Regionally restricted euxassay_011232_07
TS23: maxilla Weak Regionally restricted euxassay_011232_07
TS23: mandible Weak Regionally restricted euxassay_011232_07
TS23: glossopharyngeal ganglion Weak Regionally restricted euxassay_011232_07
TS23: medulla oblongata alar plate mantle layer Moderate Regionally restricted euxassay_011232_07

Specimen euxassay_011232_08: embryonic day 14.5 (more )
Structure Level Pattern Image Note
TS23: diencephalon lateral wall mantle layer Moderate Regionally restricted euxassay_011232_08
TS23: maxilla Weak Regionally restricted euxassay_011232_08
TS23: mandible Weak Regionally restricted euxassay_011232_08
TS23: olfactory epithelium Weak Regionally restricted euxassay_011232_08
TS23: medulla oblongata alar plate mantle layer Moderate Regionally restricted euxassay_011232_08
TS23: maturing glomerular tuft Strong Regionally restricted euxassay_011232_08

Specimen euxassay_011232_09: embryonic day 14.5 (more )
Structure Level Pattern Image Note
TS23: diencephalon lateral wall mantle layer Moderate Regionally restricted euxassay_011232_09
TS23: maxilla Weak Regionally restricted euxassay_011232_09
TS23: mandible Weak Regionally restricted euxassay_011232_09
TS23: olfactory epithelium Moderate Regionally restricted euxassay_011232_09
TS23: ventral grey horn Weak Regionally restricted euxassay_011232_09
TS23: maturing glomerular tuft Strong Regionally restricted euxassay_011232_09

Specimen euxassay_011232_10: embryonic day 14.5 (more )
Structure Level Pattern Image Note
TS23: diencephalon lateral wall mantle layer Weak Regionally restricted euxassay_011232_10
TS23: olfactory epithelium Moderate Regionally restricted euxassay_011232_10
TS23: ventral grey horn Weak Regionally restricted euxassay_011232_10
TS23: medulla oblongata alar plate mantle layer Moderate Regionally restricted euxassay_011232_10
TS23: maturing glomerular tuft Strong Regionally restricted euxassay_011232_10

Specimen euxassay_011232_11: embryonic day 14.5 (more )
Structure Level Pattern Image Note
TS23: diencephalon lateral wall mantle layer Weak Regionally restricted euxassay_011232_11
TS23: olfactory epithelium Moderate Regionally restricted euxassay_011232_11
TS23: ventral grey horn Weak Regionally restricted euxassay_011232_11
TS23: esophagus Weak Regionally restricted euxassay_011232_11
TS23: medulla oblongata alar plate mantle layer Strong Regionally restricted euxassay_011232_11
TS23: medulla oblongata basal plate mantle layer Strong Regionally restricted euxassay_011232_11

Specimen euxassay_011232_12: embryonic day 14.5 (more )
Structure Level Pattern Image Note
TS23: diencephalon lateral wall mantle layer Weak Regionally restricted euxassay_011232_12
TS23: olfactory epithelium Moderate Regionally restricted euxassay_011232_12
TS23: naris Moderate Regionally restricted euxassay_011232_12
TS23: ventral grey horn Weak Regionally restricted euxassay_011232_12
TS23: esophagus Moderate Regionally restricted euxassay_011232_12
TS23: medulla oblongata alar plate mantle layer Strong Regionally restricted euxassay_011232_12
TS23: medulla oblongata basal plate mantle layer Strong Regionally restricted euxassay_011232_12

Specimen euxassay_011232_13: embryonic day 14.5 (more )
Structure Level Pattern Image Note
TS23: diencephalon lateral wall mantle layer Weak Regionally restricted euxassay_011232_13
TS23: naris Moderate Regionally restricted euxassay_011232_13
TS23: ventral grey horn Weak Regionally restricted euxassay_011232_13

Specimen euxassay_011232_14: embryonic day 14.5 (more )
Structure Level Pattern Image Note
TS23: diencephalon lateral wall mantle layer Weak Regionally restricted euxassay_011232_14
TS23: olfactory epithelium Moderate Regionally restricted euxassay_011232_14
TS23: ventral grey horn Weak Regionally restricted euxassay_011232_14
TS23: medulla oblongata alar plate mantle layer Moderate Regionally restricted euxassay_011232_14

Specimen euxassay_011232_15: embryonic day 14.5 (more )
Structure Level Pattern Image Note
TS23: diencephalon lateral wall mantle layer Moderate Regionally restricted euxassay_011232_15
TS23: olfactory epithelium Moderate Regionally restricted euxassay_011232_15
TS23: ventral grey horn Weak Regionally restricted euxassay_011232_15
TS23: medulla oblongata alar plate mantle layer Moderate Regionally restricted euxassay_011232_15

Specimen euxassay_011232_16: embryonic day 14.5 (more )
Structure Level Pattern Image Note
TS23: diencephalon lateral wall mantle layer Moderate Regionally restricted euxassay_011232_16
TS23: olfactory epithelium Moderate Regionally restricted euxassay_011232_16
TS23: ventral grey horn Weak Regionally restricted euxassay_011232_16
TS23: medulla oblongata alar plate mantle layer Moderate Regionally restricted euxassay_011232_16
TS23: medulla oblongata basal plate mantle layer Moderate Regionally restricted euxassay_011232_16

Specimen euxassay_011232_17: embryonic day 14.5 (more )
Structure Level Pattern Image Note
TS23: diencephalon lateral wall mantle layer Moderate Regionally restricted euxassay_011232_17
TS23: maxilla Weak Regionally restricted euxassay_011232_17
TS23: mandible Weak Regionally restricted euxassay_011232_17
TS23: glossopharyngeal ganglion Weak Regionally restricted euxassay_011232_17
TS23: olfactory epithelium Moderate Regionally restricted euxassay_011232_17
TS23: medulla oblongata alar plate mantle layer Moderate Regionally restricted euxassay_011232_17
TS23: medulla oblongata basal plate mantle layer Moderate Regionally restricted euxassay_011232_17
TS23: maturing glomerular tuft Moderate Regionally restricted euxassay_011232_17

Specimen euxassay_011232_18: embryonic day 14.5 (more )
Structure Level Pattern Image Note
TS23: midbrain mantle layer Moderate Regionally restricted euxassay_011232_18
TS23: diencephalon lateral wall mantle layer Moderate Regionally restricted euxassay_011232_18
TS23: maxilla Weak Regionally restricted euxassay_011232_18
TS23: mandible Weak Regionally restricted euxassay_011232_18
TS23: glossopharyngeal ganglion Weak Regionally restricted euxassay_011232_18
TS23: olfactory epithelium Weak Regionally restricted euxassay_011232_18
TS23: maturing glomerular tuft Strong Regionally restricted euxassay_011232_18

Specimen euxassay_011232_19: embryonic day 14.5 (more )
Structure Level Pattern Image Note
TS23: telencephalon mantle layer Moderate Regionally restricted euxassay_011232_19
TS23: midbrain mantle layer Moderate Regionally restricted euxassay_011232_19
TS23: maxilla Weak Regionally restricted euxassay_011232_19
TS23: mandible Weak Regionally restricted euxassay_011232_19
TS23: olfactory epithelium Weak Regionally restricted euxassay_011232_19
TS23: maturing glomerular tuft Strong Regionally restricted euxassay_011232_19

Specimen euxassay_011232_20: embryonic day 14.5 (more )
Structure Level Pattern Image Note
TS23: telencephalon mantle layer Moderate Regionally restricted euxassay_011232_20
TS23: maxilla Weak Regionally restricted euxassay_011232_20
TS23: mandible Weak Regionally restricted euxassay_011232_20
TS23: maturing glomerular tuft Strong Regionally restricted euxassay_011232_20

Specimen euxassay_011232_21: embryonic day 14.5 (more )
Structure Level Pattern Image Note
TS23: telencephalon mantle layer Moderate Regionally restricted euxassay_011232_21
TS23: mandible Weak Regionally restricted euxassay_011232_21
TS23: maxilla Weak Regionally restricted euxassay_011232_21

Specimen euxassay_011232_22: embryonic day 14.5 (more )
Structure Level Pattern Image Note
TS23: telencephalon mantle layer Moderate Regionally restricted euxassay_011232_22
TS23: orbito-sphenoid Moderate Regionally restricted euxassay_011232_22
TS23: mandible Weak Regionally restricted euxassay_011232_22

Specimen euxassay_011232_23: embryonic day 14.5 (more )
Structure Level Pattern Image Note
TS23: telencephalon mantle layer Moderate Regionally restricted euxassay_011232_23
TS23: orbito-sphenoid Moderate Regionally restricted euxassay_011232_23


Contributing Projects:
Mouse Genome Database (MGD), Gene Expression Database (GXD), Mouse Models of Human Cancer database (MMHCdb) (formerly Mouse Tumor Biology (MTB)), Gene Ontology (GO)
Citing These Resources
Funding Information
Warranty Disclaimer, Privacy Notice, Licensing, & Copyright
Send questions and comments to User Support.
last database update
03/24/2026
MGI 6.24
The Jackson Laboratory