About   Help   FAQ
Gene Expression Data
Assay Details
Assay
Reference: J:153498 Diez-Roux G, et al., A high-resolution anatomical atlas of the transcriptome in the mouse embryo. PLoS Biol. 2011;9(1):e1000582
Assay type: RNA in situ
MGI Accession ID: MGI:4829250
Gene symbol: Yars2
Gene name: tyrosyl-tRNA synthetase 2 (mitochondrial)
Probe: MGC clone 70118
Probe preparation: Antisense labelled with digoxigenin RNA
Visualized with: Alkaline phosphatase
Assay notes: Cryosections of fresh frozen material were fixed in 4% paraformaldehyde for 20 min. before further processing. A tyramide-biotin/streptavidin amplification step was included in the in situ hybridization procedure.
Results
Specimen euxassay_006559_01: embryonic day 14.5 (more )
Structure Level Pattern Image Note
TS23: liver Moderate Regionally restricted euxassay_006559_01

Specimen euxassay_006559_02: embryonic day 14.5 (more )
Structure Level Pattern Image Note
TS23: liver Moderate Regionally restricted euxassay_006559_02
TS23: lung Moderate Regionally restricted euxassay_006559_02

Specimen euxassay_006559_03: embryonic day 14.5 (more )
Structure Level Pattern Image Note
TS23: lung Moderate Regionally restricted euxassay_006559_03
TS23: liver Moderate Regionally restricted euxassay_006559_03
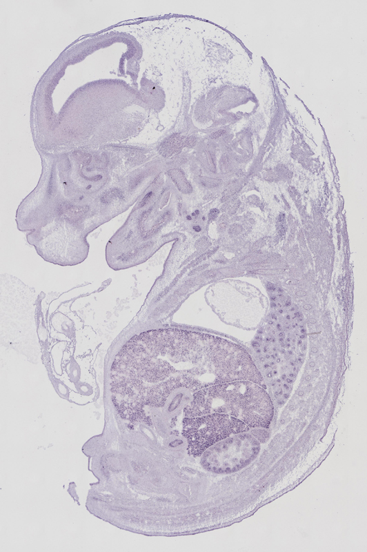
TS23: seminiferous cord Moderate Regionally restricted euxassay_006559_03

Specimen euxassay_006559_04: embryonic day 14.5 (more )
Structure Level Pattern Image Note
TS23: lung Moderate Regionally restricted euxassay_006559_04
TS23: liver Moderate Regionally restricted euxassay_006559_04
TS23: renal cortex Moderate Regionally restricted euxassay_006559_04
TS23: seminiferous cord Moderate Regionally restricted euxassay_006559_04
TS23: submandibular gland primordium Moderate Regionally restricted euxassay_006559_04

Specimen euxassay_006559_05: embryonic day 14.5 (more )
Structure Level Pattern Image Note
TS23: lung Moderate Regionally restricted euxassay_006559_05
TS23: liver Moderate Regionally restricted euxassay_006559_05
TS23: submandibular gland primordium Moderate Regionally restricted euxassay_006559_05

Specimen euxassay_006559_06: embryonic day 14.5 (more )
Structure Level Pattern Image Note
TS23: liver Moderate Regionally restricted euxassay_006559_06
TS23: lung Moderate Regionally restricted euxassay_006559_06
TS23: renal cortex Moderate Regionally restricted euxassay_006559_06
TS23: submandibular gland primordium Moderate Regionally restricted euxassay_006559_06
TS23: pancreas Moderate Regionally restricted euxassay_006559_06
TS23: midgut Moderate Regionally restricted euxassay_006559_06

Specimen euxassay_006559_07: embryonic day 14.5 (more )
Structure Level Pattern Image Note
TS23: liver Moderate Regionally restricted euxassay_006559_07
TS23: lung Moderate Regionally restricted euxassay_006559_07
TS23: renal cortex Moderate Regionally restricted euxassay_006559_07
TS23: pancreas Moderate Regionally restricted euxassay_006559_07
TS23: midgut Moderate Regionally restricted euxassay_006559_07

Specimen euxassay_006559_08: embryonic day 14.5 (more )
Structure Level Pattern Image Note
TS23: liver Moderate Regionally restricted euxassay_006559_08
TS23: lung Moderate Regionally restricted euxassay_006559_08
TS23: midgut Moderate Regionally restricted euxassay_006559_08

Specimen euxassay_006559_09: embryonic day 14.5 (more )
Structure Level Pattern Image Note
TS23: liver Moderate Regionally restricted euxassay_006559_09
TS23: lung Moderate Regionally restricted euxassay_006559_09
TS23: pancreas Moderate Regionally restricted euxassay_006559_09
TS23: midgut Moderate Regionally restricted euxassay_006559_09
TS23: rectum Moderate Regionally restricted euxassay_006559_09
TS23: urethra Moderate Regionally restricted euxassay_006559_09 Originally this result was annotated to a male-specific term, but as the specimen was not sexed, it is likely the data annotator intended to use a non-sex specific term.

Specimen euxassay_006559_10: embryonic day 14.5 (more )
Structure Level Pattern Image Note
TS23: liver Moderate Regionally restricted euxassay_006559_10
TS23: lung Moderate Regionally restricted euxassay_006559_10
TS23: submandibular gland primordium Moderate Regionally restricted euxassay_006559_10
TS23: pancreas Moderate Regionally restricted euxassay_006559_10
TS23: midgut Moderate Regionally restricted euxassay_006559_10
TS23: urethra Moderate Regionally restricted euxassay_006559_10 Originally this result was annotated to a male-specific term, but as the specimen was not sexed, it is likely the data annotator intended to use a non-sex specific term.

Specimen euxassay_006559_11: embryonic day 14.5 (more )
Structure Level Pattern Image Note
TS23: liver Moderate Regionally restricted euxassay_006559_11
TS23: lung Moderate Regionally restricted euxassay_006559_11
TS23: renal cortex Moderate Regionally restricted euxassay_006559_11
TS23: submandibular gland primordium Moderate Regionally restricted euxassay_006559_11
TS23: pancreas Moderate Regionally restricted euxassay_006559_11
TS23: midgut Moderate Regionally restricted euxassay_006559_11

Specimen euxassay_006559_12: embryonic day 14.5 (more )
Structure Level Pattern Image Note
TS23: liver Moderate Regionally restricted euxassay_006559_12
TS23: renal cortex Moderate Regionally restricted euxassay_006559_12
TS23: lung Moderate Regionally restricted euxassay_006559_12
TS23: submandibular gland primordium Moderate Regionally restricted euxassay_006559_12
TS23: pancreas Moderate Regionally restricted euxassay_006559_12
TS23: midgut Moderate Regionally restricted euxassay_006559_12

Specimen euxassay_006559_13: embryonic day 14.5 (more )
Structure Level Pattern Image Note
TS23: liver Moderate Regionally restricted euxassay_006559_13
TS23: renal cortex Moderate Regionally restricted euxassay_006559_13
TS23: lung Moderate Regionally restricted euxassay_006559_13
TS23: seminiferous cord Moderate Regionally restricted euxassay_006559_13
TS23: submandibular gland primordium Moderate Regionally restricted euxassay_006559_13
TS23: midgut Moderate Regionally restricted euxassay_006559_13

Specimen euxassay_006559_14: embryonic day 14.5 (more )
Structure Level Pattern Image Note
TS23: liver Moderate Regionally restricted euxassay_006559_14
TS23: lung Moderate Regionally restricted euxassay_006559_14
TS23: seminiferous cord Moderate Regionally restricted euxassay_006559_14
TS23: midgut Moderate Regionally restricted euxassay_006559_14


Contributing Projects:
Mouse Genome Database (MGD), Gene Expression Database (GXD), Mouse Models of Human Cancer database (MMHCdb) (formerly Mouse Tumor Biology (MTB)), Gene Ontology (GO)
Citing These Resources
Funding Information
Warranty Disclaimer, Privacy Notice, Licensing, & Copyright
Send questions and comments to User Support.
last database update
03/24/2026
MGI 6.24
The Jackson Laboratory