About   Help   FAQ
Gene Expression Data
Assay Details
Assay
Reference: J:153498 Diez-Roux G, et al., A high-resolution anatomical atlas of the transcriptome in the mouse embryo. PLoS Biol. 2011;9(1):e1000582
Assay type: RNA in situ
MGI Accession ID: MGI:4829247
Gene symbol: Xrcc6
Gene name: X-ray repair cross complementing 6
Probe: MGC clone 18310
Probe preparation: Antisense labelled with digoxigenin RNA
Visualized with: Alkaline phosphatase
Assay notes: Cryosections of fresh frozen material were fixed in 4% paraformaldehyde for 20 min. before further processing. A tyramide-biotin/streptavidin amplification step was included in the in situ hybridization procedure.
Results
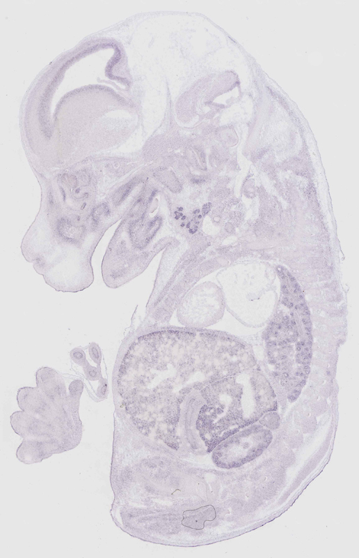
Specimen euxassay_003500_01: embryonic day 14.5 (more )
Structure Level Pattern Image Note
TS23: telencephalon ventricular layer Moderate Regionally restricted euxassay_003500_01
TS23: orbito-sphenoid Moderate Regionally restricted euxassay_003500_01
TS23: liver left lobe Moderate Regionally restricted euxassay_003500_01

Specimen euxassay_003500_02: embryonic day 14.5 (more )
Structure Level Pattern Image Note
TS23: telencephalon ventricular layer Moderate Regionally restricted euxassay_003500_02
TS23: orbito-sphenoid Moderate Regionally restricted euxassay_003500_02
TS23: liver left lobe Moderate Regionally restricted euxassay_003500_02

Specimen euxassay_003500_03: embryonic day 14.5 (more )
Structure Level Pattern Image Note
TS23: telencephalon ventricular layer Moderate Regionally restricted euxassay_003500_03
TS23: orbito-sphenoid Moderate Regionally restricted euxassay_003500_03
TS23: liver left lobe Moderate Regionally restricted euxassay_003500_03

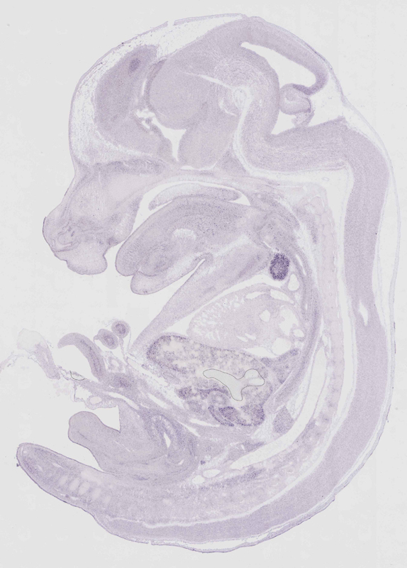
Specimen euxassay_003500_04: embryonic day 14.5 (more )
Structure Level Pattern Image Note
TS23: telencephalon ventricular layer Moderate Regionally restricted euxassay_003500_04
TS23: orbito-sphenoid Moderate Regionally restricted euxassay_003500_04
TS23: axial musculature Moderate Regionally restricted euxassay_003500_04
TS23: liver left lobe Moderate Regionally restricted euxassay_003500_04

Specimen euxassay_003500_05: embryonic day 14.5 (more )
Structure Level Pattern Image Note
TS23: telencephalon ventricular layer Moderate Regionally restricted euxassay_003500_05
TS23: orbito-sphenoid Moderate Regionally restricted euxassay_003500_05
TS23: axial musculature Moderate Regionally restricted euxassay_003500_05
TS23: liver left lobe Moderate Regionally restricted euxassay_003500_05

Specimen euxassay_003500_06: embryonic day 14.5 (more )
Structure Level Pattern Image Note
TS23: telencephalon ventricular layer Moderate Regionally restricted euxassay_003500_06
TS23: orbito-sphenoid Moderate Regionally restricted euxassay_003500_06
TS23: axial musculature Moderate Regionally restricted euxassay_003500_06
TS23: liver left lobe Moderate Regionally restricted euxassay_003500_06

Specimen euxassay_003500_07: embryonic day 14.5 (more )
Structure Level Pattern Image Note
TS23: telencephalon ventricular layer Moderate Regionally restricted euxassay_003500_07
TS23: testis Weak Regionally restricted euxassay_003500_07
TS23: axial musculature Moderate Regionally restricted euxassay_003500_07
TS23: liver left lobe Moderate Regionally restricted euxassay_003500_07
TS23: vibrissa Weak Regionally restricted euxassay_003500_07

Specimen euxassay_003500_08: embryonic day 14.5 (more )
Structure Level Pattern Image Note
TS23: telencephalon ventricular layer Moderate Regionally restricted euxassay_003500_08
TS23: testis Moderate Regionally restricted euxassay_003500_08
TS23: axial musculature Moderate Regionally restricted euxassay_003500_08
TS23: liver left lobe Moderate Regionally restricted euxassay_003500_08

Specimen euxassay_003500_09: embryonic day 14.5 (more )
Structure Level Pattern Image Note
TS23: telencephalon ventricular layer Moderate Regionally restricted euxassay_003500_09
TS23: testis Moderate Regionally restricted euxassay_003500_09
TS23: liver left lobe Weak Regionally restricted euxassay_003500_09
TS23: vibrissa Moderate Regionally restricted euxassay_003500_09

Specimen euxassay_003500_10: embryonic day 14.5 (more )
Structure Level Pattern Image Note
TS23: telencephalon ventricular layer Moderate Regionally restricted euxassay_003500_10
TS23: testis Moderate Regionally restricted euxassay_003500_10
TS23: liver left lobe Weak Regionally restricted euxassay_003500_10

Specimen euxassay_003500_11: embryonic day 14.5 (more )
Structure Level Pattern Image Note
TS23: thymus primordium Strong Regionally restricted euxassay_003500_11
TS23: telencephalon ventricular layer Moderate Regionally restricted euxassay_003500_11
TS23: liver left lobe Weak Regionally restricted euxassay_003500_11
TS23: pancreas Moderate Regionally restricted euxassay_003500_11

Specimen euxassay_003500_12: embryonic day 14.5 (more )
Structure Level Pattern Image Note
TS23: thymus primordium Strong Regionally restricted euxassay_003500_12
TS23: telencephalon ventricular layer Moderate Regionally restricted euxassay_003500_12
TS23: liver right lobe Moderate Regionally restricted euxassay_003500_12
TS23: pancreas Moderate Regionally restricted euxassay_003500_12

Specimen euxassay_003500_13: embryonic day 14.5 (more )
Structure Level Pattern Image Note
TS23: thymus primordium Strong Regionally restricted euxassay_003500_13
TS23: liver right lobe Moderate Regionally restricted euxassay_003500_13
TS23: pancreas Weak Regionally restricted euxassay_003500_13

Specimen euxassay_003500_14: embryonic day 14.5 (more )
Structure Level Pattern Image Note
TS23: thymus primordium Strong Regionally restricted euxassay_003500_14
TS23: liver right lobe Moderate Regionally restricted euxassay_003500_14

Specimen euxassay_003500_15: embryonic day 14.5 (more )
Structure Level Pattern Image Note
TS23: thymus primordium Strong Regionally restricted euxassay_003500_15
TS23: telencephalon ventricular layer Moderate Regionally restricted euxassay_003500_15
TS23: liver right lobe Moderate Regionally restricted euxassay_003500_15

Specimen euxassay_003500_16: embryonic day 14.5 (more )
Structure Level Pattern Image Note
TS23: thymus primordium Strong Regionally restricted euxassay_003500_16
TS23: telencephalon ventricular layer Moderate Regionally restricted euxassay_003500_16
TS23: liver right lobe Moderate Regionally restricted euxassay_003500_16
TS23: pancreas Weak Regionally restricted euxassay_003500_16

Specimen euxassay_003500_17: embryonic day 14.5 (more )
Structure Level Pattern Image Note
TS23: telencephalon ventricular layer Moderate Regionally restricted euxassay_003500_17
TS23: olfactory cortex ventricular layer Moderate Regionally restricted euxassay_003500_17
TS23: submandibular gland primordium Moderate Regionally restricted euxassay_003500_17
TS23: liver right lobe Moderate Regionally restricted euxassay_003500_17

Specimen euxassay_003500_18: embryonic day 14.5 (more )
Structure Level Pattern Image Note
TS23: telencephalon ventricular layer Moderate Regionally restricted euxassay_003500_18
TS23: olfactory cortex ventricular layer Moderate Regionally restricted euxassay_003500_18
TS23: submandibular gland primordium Moderate Regionally restricted euxassay_003500_18
TS23: liver right lobe Moderate Regionally restricted euxassay_003500_18
TS23: pancreas Weak Regionally restricted euxassay_003500_18

Specimen euxassay_003500_19: embryonic day 14.5 (more )
Structure Level Pattern Image Note
TS23: telencephalon ventricular layer Moderate Regionally restricted euxassay_003500_19
TS23: submandibular gland primordium Moderate Regionally restricted euxassay_003500_19
TS23: liver right lobe Moderate Regionally restricted euxassay_003500_19

Specimen euxassay_003500_20: embryonic day 14.5 (more )
Structure Level Pattern Image Note
TS23: telencephalon ventricular layer Moderate Regionally restricted euxassay_003500_20
TS23: submandibular gland primordium Moderate Regionally restricted euxassay_003500_20
TS23: axial musculature Moderate Regionally restricted euxassay_003500_20
TS23: liver right lobe Moderate Regionally restricted euxassay_003500_20

Specimen euxassay_003500_21: embryonic day 14.5 (more )
Structure Level Pattern Image Note
TS23: telencephalon ventricular layer Moderate Regionally restricted euxassay_003500_21
TS23: orbito-sphenoid Moderate Regionally restricted euxassay_003500_21
TS23: testis Weak Regionally restricted euxassay_003500_21
TS23: axial musculature Moderate Regionally restricted euxassay_003500_21
TS23: liver right lobe Moderate Regionally restricted euxassay_003500_21
TS23: vibrissa Moderate Regionally restricted euxassay_003500_21

Specimen euxassay_003500_22: embryonic day 14.5 (more )
Structure Level Pattern Image Note
TS23: telencephalon ventricular layer Moderate Regionally restricted euxassay_003500_22
TS23: orbito-sphenoid Moderate Regionally restricted euxassay_003500_22
TS23: testis Weak Regionally restricted euxassay_003500_22
TS23: axial musculature Moderate Regionally restricted euxassay_003500_22
TS23: liver right lobe Moderate Regionally restricted euxassay_003500_22
TS23: vibrissa Moderate Regionally restricted euxassay_003500_22

Specimen euxassay_003500_23: embryonic day 14.5 (more )
Structure Level Pattern Image Note
TS23: orbito-sphenoid Moderate Regionally restricted euxassay_003500_23
TS23: testis Weak Regionally restricted euxassay_003500_23
TS23: axial musculature Moderate Regionally restricted euxassay_003500_23
TS23: liver right lobe Moderate Regionally restricted euxassay_003500_23
TS23: vibrissa Moderate Regionally restricted euxassay_003500_23

Specimen euxassay_003500_24: embryonic day 14.5 (more )
Structure Level Pattern Image Note
TS23: orbito-sphenoid Moderate Regionally restricted euxassay_003500_24
TS23: liver right lobe Moderate Regionally restricted euxassay_003500_24


Contributing Projects:
Mouse Genome Database (MGD), Gene Expression Database (GXD), Mouse Models of Human Cancer database (MMHCdb) (formerly Mouse Tumor Biology (MTB)), Gene Ontology (GO)
Citing These Resources
Funding Information
Warranty Disclaimer, Privacy Notice, Licensing, & Copyright
Send questions and comments to User Support.
last database update
03/24/2026
MGI 6.24
The Jackson Laboratory