About   Help   FAQ
Gene Expression Data
Assay Details
Assay
Reference: J:153498 Diez-Roux G, et al., A high-resolution anatomical atlas of the transcriptome in the mouse embryo. PLoS Biol. 2011;9(1):e1000582
Assay type: RNA in situ
MGI Accession ID: MGI:4829239
Gene symbol: Xk
Gene name: X-linked Kx blood group
Probe: T38095
Probe preparation: Antisense labelled with digoxigenin RNA
Visualized with: Alkaline phosphatase
Assay notes: Cryosections of fresh frozen material were fixed in 4% paraformaldehyde for 20 min. before further processing. A tyramide-biotin/streptavidin amplification step was included in the in situ hybridization procedure.
Results
Specimen euxassay_012729_01: embryonic day 14.5 (more )
Structure Level Pattern Image Note
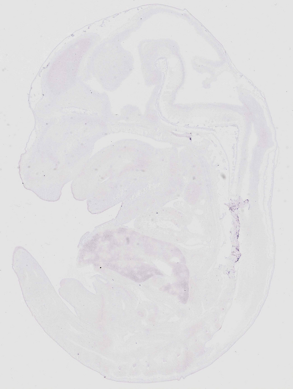
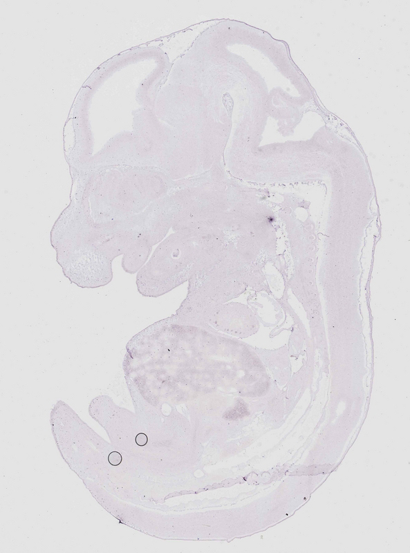
TS23: liver Weak Regionally restricted euxassay_012729_01

Specimen euxassay_012729_02: embryonic day 14.5 (more )
Structure Level Pattern Image Note
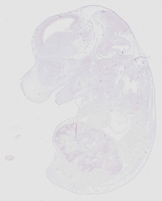
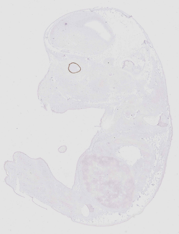
TS23: liver Weak Regionally restricted euxassay_012729_02

Specimen euxassay_012729_03: embryonic day 14.5 (more )
Structure Level Pattern Image Note
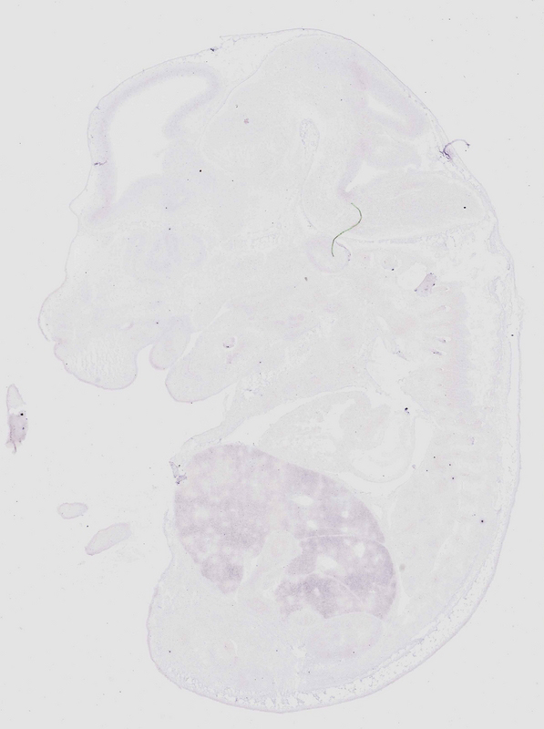
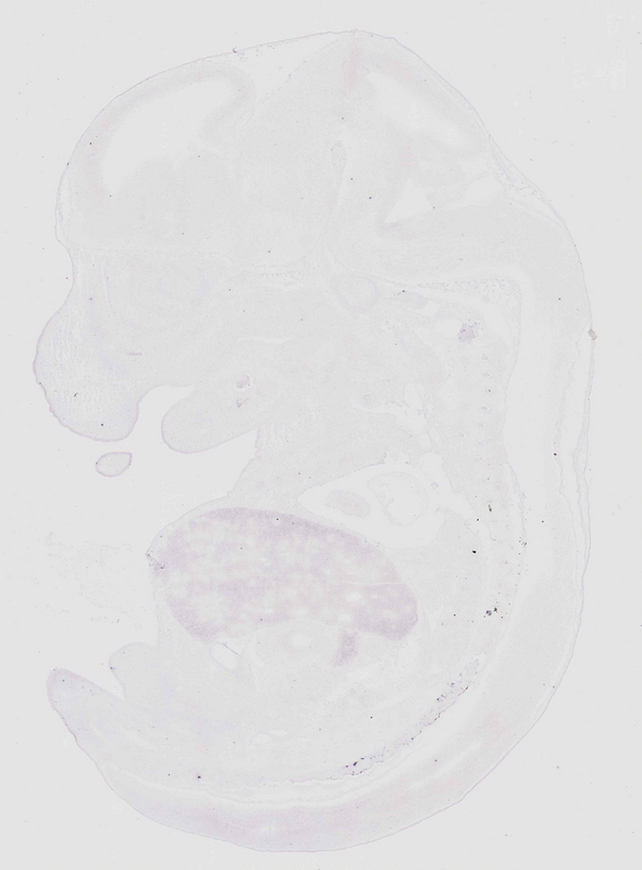
TS23: liver Weak Regionally restricted euxassay_012729_03

Specimen euxassay_012729_04: embryonic day 14.5 (more )
Structure Level Pattern Image Note
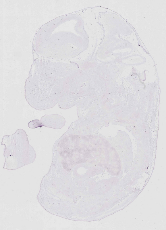
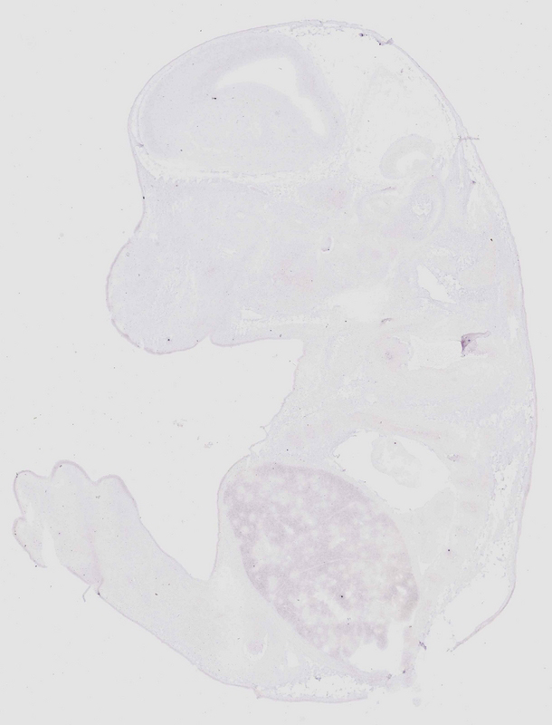
TS23: liver Weak Regionally restricted euxassay_012729_04

Specimen euxassay_012729_05: embryonic day 14.5 (more )
Structure Level Pattern Image Note
TS23: liver Weak Regionally restricted euxassay_012729_05

Specimen euxassay_012729_06: embryonic day 14.5 (more )
Structure Level Pattern Image Note
TS23: liver Weak Regionally restricted euxassay_012729_06

Specimen euxassay_012729_07: embryonic day 14.5 (more )
Structure Level Pattern Image Note
TS23: liver Weak Regionally restricted euxassay_012729_07

Specimen euxassay_012729_08: embryonic day 14.5 (more )
Structure Level Pattern Image Note
TS23: liver Weak Regionally restricted euxassay_012729_08

Specimen euxassay_012729_09: embryonic day 14.5 (more )
Structure Level Pattern Image Note
TS23: liver Weak Regionally restricted euxassay_012729_09

Specimen euxassay_012729_10: embryonic day 14.5 (more )
Structure Level Pattern Image Note
TS23: liver Weak Regionally restricted euxassay_012729_10

Specimen euxassay_012729_11: embryonic day 14.5 (more )
Structure Level Pattern Image Note
TS23: liver Weak Regionally restricted euxassay_012729_11

Specimen euxassay_012729_12: embryonic day 14.5 (more )
Structure Level Pattern Image Note
TS23: liver Weak Regionally restricted euxassay_012729_12

Specimen euxassay_012729_13: embryonic day 14.5 (more )
Structure Level Pattern Image Note
TS23: liver Weak Regionally restricted euxassay_012729_13

Specimen euxassay_012729_14: embryonic day 14.5 (more )
Structure Level Pattern Image Note
TS23: liver Weak Regionally restricted euxassay_012729_14

Specimen euxassay_012729_15: embryonic day 14.5 (more )
Structure Level Pattern Image Note
TS23: liver Weak Regionally restricted euxassay_012729_15

Specimen euxassay_012729_16: embryonic day 14.5 (more )
Structure Level Pattern Image Note
TS23: liver Weak Regionally restricted euxassay_012729_16

Specimen euxassay_012729_17: embryonic day 14.5 (more )
Structure Level Pattern Image Note
TS23: liver Weak Regionally restricted euxassay_012729_17

Specimen euxassay_012729_18: embryonic day 14.5 (more )
Structure Level Pattern Image Note
TS23: liver Weak Regionally restricted euxassay_012729_18

Specimen euxassay_012729_19: embryonic day 14.5 (more )
Structure Level Pattern Image Note
TS23: liver Weak Regionally restricted euxassay_012729_19

Specimen euxassay_012729_20: embryonic day 14.5 (more )
Structure Level Pattern Image Note
TS23: liver Weak Regionally restricted euxassay_012729_20


Contributing Projects:
Mouse Genome Database (MGD), Gene Expression Database (GXD), Mouse Models of Human Cancer database (MMHCdb) (formerly Mouse Tumor Biology (MTB)), Gene Ontology (GO)
Citing These Resources
Funding Information
Warranty Disclaimer, Privacy Notice, Licensing, & Copyright
Send questions and comments to User Support.
last database update
01/20/2026
MGI 6.24
The Jackson Laboratory