About   Help   FAQ
Gene Expression Data
Assay Details
Assay
Reference: J:153498 Diez-Roux G, et al., A high-resolution anatomical atlas of the transcriptome in the mouse embryo. PLoS Biol. 2011;9(1):e1000582
Assay type: RNA in situ
MGI Accession ID: MGI:4829220
Gene symbol: Wnk1
Gene name: WNK lysine deficient protein kinase 1
Probe: IMAGE clone 3166620
Probe preparation: Antisense labelled with digoxigenin RNA
Visualized with: Alkaline phosphatase
Assay notes: Cryosections of fresh frozen material were fixed in 4% paraformaldehyde for 20 min. before further processing. A tyramide-biotin/streptavidin amplification step was included in the in situ hybridization procedure.
Results
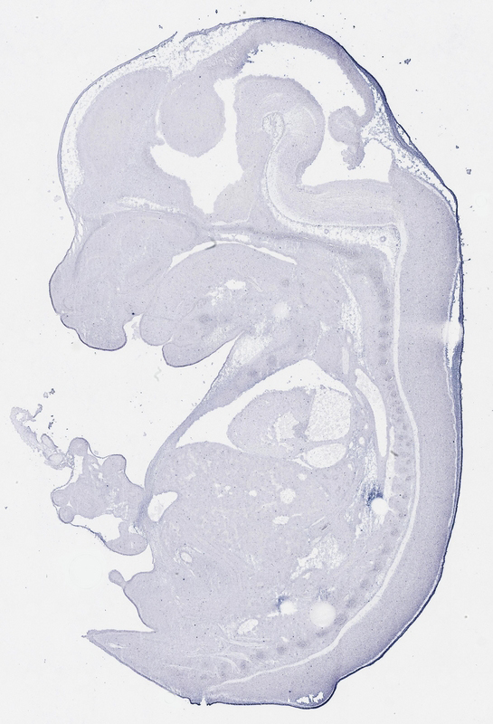
Specimen euxassay_000041_01: embryonic day 14.5 (more )
Note: Additional information for this specimen was included in the Eurexpress data submission file.
Structure Level Pattern Image Note
TS23: skeleton Weak Regionally restricted euxassay_000041_01
TS23: cartilage Present euxassay_000041_01

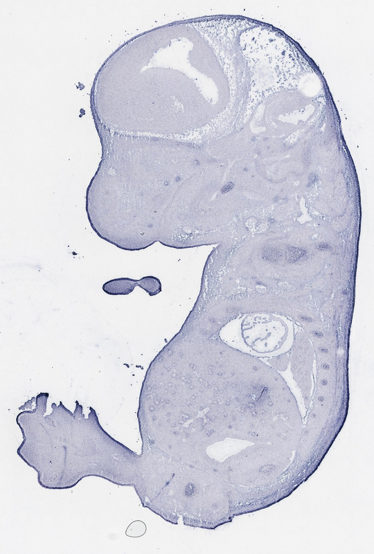
Specimen euxassay_000041_02: embryonic day 14.5 (more )
Note: Additional information for this specimen was included in the Eurexpress data submission file.
Structure Level Pattern Image Note
TS23: skeleton Weak Regionally restricted euxassay_000041_02
TS23: cartilage Present euxassay_000041_02

Specimen euxassay_000041_03: embryonic day 14.5 (more )
Note: Additional information for this specimen was included in the Eurexpress data submission file.
Structure Level Pattern Image Note
TS23: skeleton Weak Regionally restricted euxassay_000041_03
TS23: cartilage Present euxassay_000041_03

Specimen euxassay_000041_04: embryonic day 14.5 (more )
Note: Additional information for this specimen was included in the Eurexpress data submission file.
Structure Level Pattern Image Note
TS23: skeleton Weak Regionally restricted euxassay_000041_04
TS23: cartilage Present euxassay_000041_04

Specimen euxassay_000041_05: embryonic day 14.5 (more )
Note: Additional information for this specimen was included in the Eurexpress data submission file.
Structure Level Pattern Image Note
TS23: skeleton Weak Regionally restricted euxassay_000041_05
TS23: cartilage Present euxassay_000041_05

Specimen euxassay_000041_06: embryonic day 14.5 (more )
Note: Additional information for this specimen was included in the Eurexpress data submission file.
Structure Level Pattern Image Note
TS23: skeleton Weak Regionally restricted euxassay_000041_06
TS23: cartilage Present euxassay_000041_06

Specimen euxassay_000041_07: embryonic day 14.5 (more )
Note: Additional information for this specimen was included in the Eurexpress data submission file.
Structure Level Pattern Image Note
TS23: skeleton Weak Regionally restricted euxassay_000041_07
TS23: cartilage Present euxassay_000041_07

Specimen euxassay_000041_08: embryonic day 14.5 (more )
Note: Additional information for this specimen was included in the Eurexpress data submission file.
Structure Level Pattern Image Note
TS23: skeleton Weak Regionally restricted euxassay_000041_08
TS23: cartilage Present euxassay_000041_08

Specimen euxassay_000041_09: embryonic day 14.5 (more )
Note: Additional information for this specimen was included in the Eurexpress data submission file.
Structure Level Pattern Image Note
TS23: skeleton Weak Regionally restricted euxassay_000041_09
TS23: cartilage Present euxassay_000041_09

Specimen euxassay_000041_10: embryonic day 14.5 (more )
Note: Additional information for this specimen was included in the Eurexpress data submission file.
Structure Level Pattern Image Note
TS23: skeleton Weak Regionally restricted euxassay_000041_10
TS23: cartilage Present euxassay_000041_10

Specimen euxassay_000041_11: embryonic day 14.5 (more )
Note: Additional information for this specimen was included in the Eurexpress data submission file.
Structure Level Pattern Image Note
TS23: skeleton Weak Regionally restricted euxassay_000041_11
TS23: cartilage Present euxassay_000041_11

Specimen euxassay_000041_12: embryonic day 14.5 (more )
Note: Additional information for this specimen was included in the Eurexpress data submission file.
Structure Level Pattern Image Note
TS23: skeleton Weak Regionally restricted euxassay_000041_12
TS23: cartilage Present euxassay_000041_12

Specimen euxassay_000041_13: embryonic day 14.5 (more )
Note: Additional information for this specimen was included in the Eurexpress data submission file.
Structure Level Pattern Image Note
TS23: skeleton Weak Regionally restricted euxassay_000041_13
TS23: cartilage Present euxassay_000041_13

Specimen euxassay_000041_14: embryonic day 14.5 (more )
Note: Additional information for this specimen was included in the Eurexpress data submission file.
Structure Level Pattern Image Note
TS23: skeleton Weak Regionally restricted euxassay_000041_14
TS23: cartilage Present euxassay_000041_14

Specimen euxassay_000041_15: embryonic day 14.5 (more )
Note: Additional information for this specimen was included in the Eurexpress data submission file.
Structure Level Pattern Image Note
TS23: skeleton Weak Regionally restricted euxassay_000041_15
TS23: cartilage Present euxassay_000041_15

Specimen euxassay_000041_16: embryonic day 14.5 (more )
Note: Additional information for this specimen was included in the Eurexpress data submission file.
Structure Level Pattern Image Note
TS23: skeleton Weak Regionally restricted euxassay_000041_16
TS23: cartilage Present euxassay_000041_16

Specimen euxassay_000041_17: embryonic day 14.5 (more )
Note: Additional information for this specimen was included in the Eurexpress data submission file.
Structure Level Pattern Image Note
TS23: skeleton Weak Regionally restricted euxassay_000041_17
TS23: cartilage Present euxassay_000041_17

Specimen euxassay_000041_18: embryonic day 14.5 (more )
Note: Additional information for this specimen was included in the Eurexpress data submission file.
Structure Level Pattern Image Note
TS23: skeleton Weak Regionally restricted euxassay_000041_18
TS23: cartilage Present euxassay_000041_18

Specimen euxassay_000041_19: embryonic day 14.5 (more )
Note: Additional information for this specimen was included in the Eurexpress data submission file.
Structure Level Pattern Image Note
TS23: skeleton Weak Regionally restricted euxassay_000041_19
TS23: cartilage Present euxassay_000041_19

Specimen euxassay_000041_20: embryonic day 14.5 (more )
Note: Additional information for this specimen was included in the Eurexpress data submission file.
Structure Level Pattern Image Note
TS23: skeleton Weak Regionally restricted euxassay_000041_20
TS23: cartilage Present euxassay_000041_20

Specimen euxassay_000041_21: embryonic day 14.5 (more )
Note: Additional information for this specimen was included in the Eurexpress data submission file.
Structure Level Pattern Image Note
TS23: skeleton Weak Regionally restricted euxassay_000041_21
TS23: cartilage Present euxassay_000041_21

Specimen euxassay_000041_22: embryonic day 14.5 (more )
Note: Additional information for this specimen was included in the Eurexpress data submission file.
Structure Level Pattern Image Note
TS23: skeleton Weak Regionally restricted euxassay_000041_22
TS23: cartilage Present euxassay_000041_22

Specimen euxassay_000041_23: embryonic day 14.5 (more )
Note: Additional information for this specimen was included in the Eurexpress data submission file.
Structure Level Pattern Image Note
TS23: skeleton Weak Regionally restricted euxassay_000041_23
TS23: cartilage Present euxassay_000041_23

Specimen euxassay_000041_24: embryonic day 14.5 (more )
Note: Additional information for this specimen was included in the Eurexpress data submission file.
Structure Level Pattern Image Note
TS23: skeleton Weak Regionally restricted euxassay_000041_24
TS23: cartilage Present euxassay_000041_24


Contributing Projects:
Mouse Genome Database (MGD), Gene Expression Database (GXD), Mouse Models of Human Cancer database (MMHCdb) (formerly Mouse Tumor Biology (MTB)), Gene Ontology (GO)
Citing These Resources
Funding Information
Warranty Disclaimer, Privacy Notice, Licensing, & Copyright
Send questions and comments to User Support.
last database update
03/24/2026
MGI 6.24
The Jackson Laboratory