About   Help   FAQ
Gene Expression Data
Assay Details
Assay
Reference: J:153498 Diez-Roux G, et al., A high-resolution anatomical atlas of the transcriptome in the mouse embryo. PLoS Biol. 2011;9(1):e1000582
Assay type: RNA in situ
MGI Accession ID: MGI:4829186
Gene symbol: Wasf1
Gene name: WASP family, member 1
Probe: MGC clone 59255
Probe preparation: Antisense labelled with digoxigenin RNA
Visualized with: Alkaline phosphatase
Assay notes: Cryosections of fresh frozen material were fixed in 4% paraformaldehyde for 20 min. before further processing. A tyramide-biotin/streptavidin amplification step was included in the in situ hybridization procedure.
Results
Specimen euxassay_004192_01: embryonic day 14.5 (more )
Structure Level Pattern Image Note
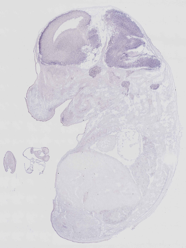
TS23: brain Moderate Uniform euxassay_004192_01

Specimen euxassay_004192_02: embryonic day 14.5 (more )
Structure Level Pattern Image Note
TS23: brain Moderate Uniform euxassay_004192_02

Specimen euxassay_004192_03: embryonic day 14.5 (more )
Structure Level Pattern Image Note
TS23: brain Moderate Uniform euxassay_004192_03
TS23: trigeminal ganglion Moderate Regionally restricted euxassay_004192_03

Specimen euxassay_004192_04: embryonic day 14.5 (more )
Structure Level Pattern Image Note
TS23: brain Moderate Uniform euxassay_004192_04
TS23: trigeminal ganglion Moderate Regionally restricted euxassay_004192_04

Specimen euxassay_004192_05: embryonic day 14.5 (more )
Structure Level Pattern Image Note
TS23: brain Moderate Uniform euxassay_004192_05
TS23: trigeminal ganglion Moderate Regionally restricted euxassay_004192_05

Specimen euxassay_004192_06: embryonic day 14.5 (more )
Structure Level Pattern Image Note
TS23: brain Moderate Uniform euxassay_004192_06
TS23: trigeminal ganglion Moderate Regionally restricted euxassay_004192_06

Specimen euxassay_004192_07: embryonic day 14.5 (more )
Structure Level Pattern Image Note
TS23: brain Moderate Uniform euxassay_004192_07
TS23: trigeminal ganglion Moderate Regionally restricted euxassay_004192_07

Specimen euxassay_004192_08: embryonic day 14.5 (more )
Structure Level Pattern Image Note
TS23: brain Moderate Uniform euxassay_004192_08
TS23: trigeminal ganglion Weak Regionally restricted euxassay_004192_08
TS23: glossopharyngeal ganglion Weak Regionally restricted euxassay_004192_08
TS23: dorsal root ganglion Moderate Regionally restricted euxassay_004192_08
TS23: upper jaw molar Moderate Regionally restricted euxassay_004192_08
TS23: lower jaw molar Moderate Regionally restricted euxassay_004192_08

Specimen euxassay_004192_09: embryonic day 14.5 (more )
Structure Level Pattern Image Note
TS23: brain Moderate Uniform euxassay_004192_09
TS23: spinal cord Moderate Uniform euxassay_004192_09
TS23: trigeminal ganglion Moderate Regionally restricted euxassay_004192_09
TS23: vagus ganglion Moderate Regionally restricted euxassay_004192_09
TS23: dorsal root ganglion Moderate Regionally restricted euxassay_004192_09

Specimen euxassay_004192_10: embryonic day 14.5 (more )
Structure Level Pattern Image Note
TS23: brain Moderate Uniform euxassay_004192_10
TS23: spinal cord Moderate Uniform euxassay_004192_10

Specimen euxassay_004192_11: embryonic day 14.5 (more )
Structure Level Pattern Image Note
TS23: brain Moderate Uniform euxassay_004192_11
TS23: spinal cord Moderate Uniform euxassay_004192_11
TS23: lower jaw incisor Moderate Regionally restricted euxassay_004192_11
TS23: upper jaw incisor Moderate Regionally restricted euxassay_004192_11

Specimen euxassay_004192_12: embryonic day 14.5 (more )
Structure Level Pattern Image Note
TS23: brain Moderate Uniform euxassay_004192_12
TS23: spinal cord Moderate Uniform euxassay_004192_12
TS23: upper jaw incisor Weak Regionally restricted euxassay_004192_12
TS23: lower jaw incisor Weak Regionally restricted euxassay_004192_12

Specimen euxassay_004192_13: embryonic day 14.5 (more )
Structure Level Pattern Image Note
TS23: brain Moderate Uniform euxassay_004192_13
TS23: spinal cord Moderate Uniform euxassay_004192_13

Specimen euxassay_004192_14: embryonic day 14.5 (more )
Structure Level Pattern Image Note
TS23: brain Moderate Uniform euxassay_004192_14
TS23: spinal cord Moderate Uniform euxassay_004192_14
TS23: dorsal root ganglion Moderate Regionally restricted euxassay_004192_14

Specimen euxassay_004192_15: embryonic day 14.5 (more )
Structure Level Pattern Image Note
TS23: brain Moderate Uniform euxassay_004192_15
TS23: spinal cord Moderate Uniform euxassay_004192_15
TS23: dorsal root ganglion Moderate Regionally restricted euxassay_004192_15
TS23: upper jaw incisor Moderate Regionally restricted euxassay_004192_15
TS23: lower jaw incisor Moderate Regionally restricted euxassay_004192_15

Specimen euxassay_004192_16: embryonic day 14.5 (more )
Structure Level Pattern Image Note
TS23: brain Moderate Uniform euxassay_004192_16
TS23: spinal cord Moderate Uniform euxassay_004192_16
TS23: dorsal root ganglion Moderate Regionally restricted euxassay_004192_16
TS23: upper jaw incisor Moderate Regionally restricted euxassay_004192_16
TS23: lower jaw incisor Moderate Regionally restricted euxassay_004192_16

Specimen euxassay_004192_17: embryonic day 14.5 (more )
Structure Level Pattern Image Note
TS23: brain Moderate Uniform euxassay_004192_17
TS23: trigeminal ganglion Moderate Regionally restricted euxassay_004192_17
TS23: vagus ganglion Weak Regionally restricted euxassay_004192_17
TS23: dorsal root ganglion Moderate Regionally restricted euxassay_004192_17

Specimen euxassay_004192_18: embryonic day 14.5 (more )
Structure Level Pattern Image Note
TS23: brain Moderate Uniform euxassay_004192_18
TS23: trigeminal ganglion Moderate Regionally restricted euxassay_004192_18
TS23: glossopharyngeal ganglion Moderate Regionally restricted euxassay_004192_18
TS23: dorsal root ganglion Moderate Regionally restricted euxassay_004192_18

Specimen euxassay_004192_19: embryonic day 14.5 (more )
Structure Level Pattern Image Note
TS23: brain Moderate Uniform euxassay_004192_19
TS23: trigeminal ganglion Moderate Regionally restricted euxassay_004192_19
TS23: upper jaw molar Moderate Regionally restricted euxassay_004192_19
TS23: lower jaw molar Moderate Regionally restricted euxassay_004192_19

Specimen euxassay_004192_20: embryonic day 14.5 (more )
Structure Level Pattern Image Note
TS23: brain Moderate Uniform euxassay_004192_20
TS23: trigeminal ganglion Moderate Regionally restricted euxassay_004192_20


Contributing Projects:
Mouse Genome Database (MGD), Gene Expression Database (GXD), Mouse Models of Human Cancer database (MMHCdb) (formerly Mouse Tumor Biology (MTB)), Gene Ontology (GO)
Citing These Resources
Funding Information
Warranty Disclaimer, Privacy Notice, Licensing, & Copyright
Send questions and comments to User Support.
last database update
03/24/2026
MGI 6.24
The Jackson Laboratory