About   Help   FAQ
Gene Expression Data
Assay Details
Assay
Reference: J:153498 Diez-Roux G, et al., A high-resolution anatomical atlas of the transcriptome in the mouse embryo. PLoS Biol. 2011;9(1):e1000582
Assay type: RNA in situ
MGI Accession ID: MGI:4829160
Gene symbol: Vill
Gene name: villin-like
Probe: MGC clone 30792
Probe preparation: Antisense labelled with digoxigenin RNA
Visualized with: Alkaline phosphatase
Assay notes: Cryosections of fresh frozen material were fixed in 4% paraformaldehyde for 20 min. before further processing. A tyramide-biotin/streptavidin amplification step was included in the in situ hybridization procedure.
Results
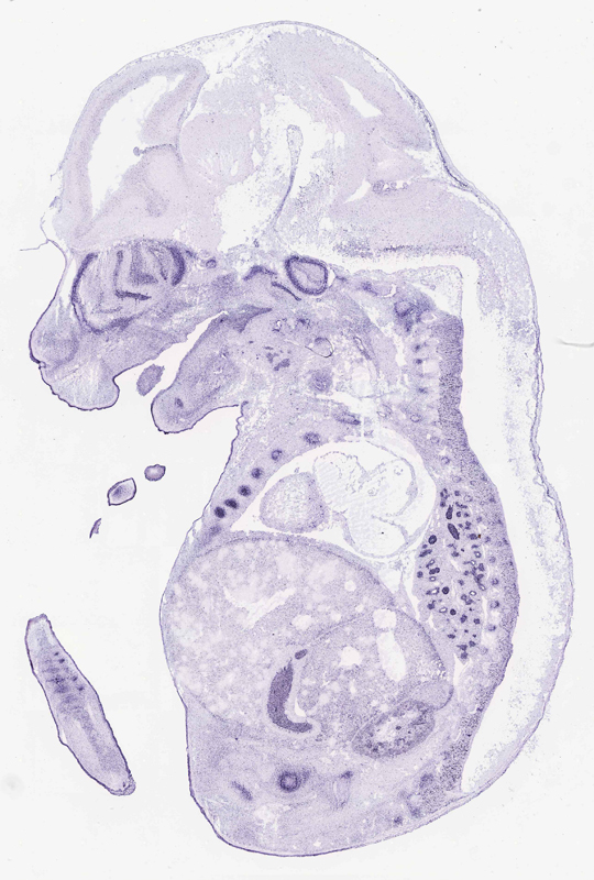
Specimen euxassay_003905_01: embryonic day 14.5 (more )
Structure Level Pattern Image Note
TS23: orbito-sphenoid Moderate Regionally restricted euxassay_003905_01
TS23: pharyngo-tympanic tube Moderate Regionally restricted euxassay_003905_01
TS23: otic capsule Moderate Regionally restricted euxassay_003905_01
TS23: rib Moderate Regionally restricted euxassay_003905_01
TS23: hand Moderate Regionally restricted euxassay_003905_01
TS23: foot Moderate Regionally restricted euxassay_003905_01

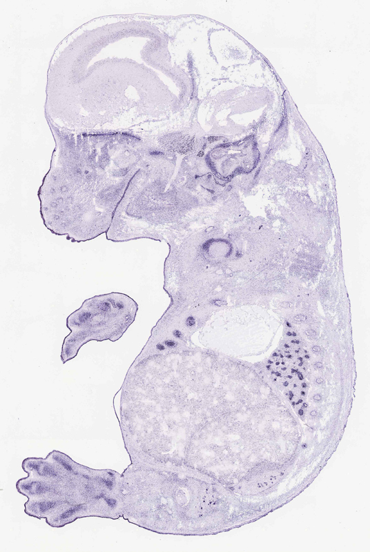
Specimen euxassay_003905_02: embryonic day 14.5 (more )
Structure Level Pattern Image Note
TS23: orbito-sphenoid Moderate Regionally restricted euxassay_003905_02
TS23: pharyngo-tympanic tube Moderate Regionally restricted euxassay_003905_02
TS23: otic capsule Moderate Regionally restricted euxassay_003905_02
TS23: rib Moderate Regionally restricted euxassay_003905_02
TS23: hand Moderate Regionally restricted euxassay_003905_02
TS23: foot Moderate Regionally restricted euxassay_003905_02
TS23: lung Strong Regionally restricted euxassay_003905_02
TS23: stomach Strong Regionally restricted euxassay_003905_02

Specimen euxassay_003905_03: embryonic day 14.5 (more )
Structure Level Pattern Image Note
TS23: orbito-sphenoid Moderate Regionally restricted euxassay_003905_03
TS23: otic capsule Moderate Regionally restricted euxassay_003905_03
TS23: rib Moderate Regionally restricted euxassay_003905_03
TS23: hand Moderate Regionally restricted euxassay_003905_03
TS23: foot Moderate Regionally restricted euxassay_003905_03
TS23: humerus Moderate Regionally restricted euxassay_003905_03
TS23: lung Strong Regionally restricted euxassay_003905_03
TS23: stomach Strong Regionally restricted euxassay_003905_03

Specimen euxassay_003905_04: embryonic day 14.5 (more )
Structure Level Pattern Image Note
TS23: orbito-sphenoid Moderate Regionally restricted euxassay_003905_04
TS23: vibrissa Moderate Regionally restricted euxassay_003905_04
TS23: otic capsule Moderate Regionally restricted euxassay_003905_04
TS23: rib Moderate Regionally restricted euxassay_003905_04
TS23: hand Moderate Regionally restricted euxassay_003905_04
TS23: foot Moderate Regionally restricted euxassay_003905_04
TS23: humerus Moderate Regionally restricted euxassay_003905_04
TS23: lung Strong Regionally restricted euxassay_003905_04
TS23: stomach Strong Regionally restricted euxassay_003905_04

Specimen euxassay_003905_05: embryonic day 14.5 (more )
Structure Level Pattern Image Note
TS23: orbito-sphenoid Moderate Regionally restricted euxassay_003905_05
TS23: vibrissa Moderate Regionally restricted euxassay_003905_05
TS23: otic capsule Moderate Regionally restricted euxassay_003905_05
TS23: rib Moderate Regionally restricted euxassay_003905_05
TS23: hand Moderate Regionally restricted euxassay_003905_05
TS23: foot Moderate Regionally restricted euxassay_003905_05
TS23: humerus Moderate Regionally restricted euxassay_003905_05
TS23: lung Strong Regionally restricted euxassay_003905_05
TS23: metanephros Moderate Regionally restricted euxassay_003905_05
TS23: stomach Strong Regionally restricted euxassay_003905_05

Specimen euxassay_003905_06: embryonic day 14.5 (more )
Structure Level Pattern Image Note
TS23: turbinate bone primordium Moderate Regionally restricted euxassay_003905_06
TS23: orbito-sphenoid Moderate Regionally restricted euxassay_003905_06
TS23: otic capsule Moderate Regionally restricted euxassay_003905_06
TS23: rib Moderate Regionally restricted euxassay_003905_06
TS23: hand Moderate Regionally restricted euxassay_003905_06
TS23: femur Moderate Regionally restricted euxassay_003905_06
TS23: lung Strong Regionally restricted euxassay_003905_06
TS23: metanephros Moderate Regionally restricted euxassay_003905_06
TS23: stomach Strong Regionally restricted euxassay_003905_06
TS23: midgut Strong Regionally restricted euxassay_003905_06

Specimen euxassay_003905_07: embryonic day 14.5 (more )
Structure Level Pattern Image Note
TS23: turbinate bone primordium Moderate Regionally restricted euxassay_003905_07
TS23: olfactory epithelium Moderate Regionally restricted euxassay_003905_07
TS23: orbito-sphenoid Moderate Regionally restricted euxassay_003905_07
TS23: cochlea Moderate Regionally restricted euxassay_003905_07
TS23: otic capsule Moderate Regionally restricted euxassay_003905_07
TS23: rib Moderate Regionally restricted euxassay_003905_07
TS23: femur Moderate Regionally restricted euxassay_003905_07
TS23: submandibular gland primordium Moderate Regionally restricted euxassay_003905_07
TS23: lung Strong Regionally restricted euxassay_003905_07
TS23: metanephros Moderate Regionally restricted euxassay_003905_07
TS23: stomach Strong Regionally restricted euxassay_003905_07
TS23: midgut Strong Regionally restricted euxassay_003905_07
TS23: pancreas Moderate Regionally restricted euxassay_003905_07
TS23: cervical intervertebral disc Moderate Regionally restricted euxassay_003905_07
TS23: axial skeleton thoracic region Moderate Regionally restricted euxassay_003905_07

Specimen euxassay_003905_08: embryonic day 14.5 (more )
Structure Level Pattern Image Note
TS23: olfactory epithelium Moderate Regionally restricted euxassay_003905_08
TS23: turbinate bone primordium Moderate Regionally restricted euxassay_003905_08
TS23: otic capsule Moderate Regionally restricted euxassay_003905_08
TS23: rib Moderate Regionally restricted euxassay_003905_08
TS23: dorsal root ganglion Moderate Regionally restricted euxassay_003905_08
TS23: submandibular gland primordium Moderate Regionally restricted euxassay_003905_08
TS23: lung Strong Regionally restricted euxassay_003905_08
TS23: metanephros Moderate Regionally restricted euxassay_003905_08
TS23: stomach Strong Regionally restricted euxassay_003905_08
TS23: midgut Strong Regionally restricted euxassay_003905_08
TS23: pancreas Moderate Regionally restricted euxassay_003905_08
TS23: axial skeleton sacral region Moderate Regionally restricted euxassay_003905_08
TS23: axial skeleton thoracic region Moderate Regionally restricted euxassay_003905_08
TS23: axial skeleton lumbar region Moderate Regionally restricted euxassay_003905_08

Specimen euxassay_003905_09: embryonic day 14.5 (more )
Structure Level Pattern Image Note
TS23: olfactory epithelium Moderate Regionally restricted euxassay_003905_09
TS23: turbinate bone primordium Moderate Regionally restricted euxassay_003905_09
TS23: rib Moderate Regionally restricted euxassay_003905_09
TS23: dorsal root ganglion Moderate Regionally restricted euxassay_003905_09
TS23: lung Strong Regionally restricted euxassay_003905_09
TS23: midgut Strong Regionally restricted euxassay_003905_09
TS23: pancreas Moderate Regionally restricted euxassay_003905_09
TS23: axial skeleton sacral region Moderate Regionally restricted euxassay_003905_09

Specimen euxassay_003905_10: embryonic day 14.5 (more )
Structure Level Pattern Image Note
TS23: olfactory epithelium Moderate Regionally restricted euxassay_003905_10
TS23: nasal cavity respiratory epithelium Moderate Regionally restricted euxassay_003905_10
TS23: naris Moderate Regionally restricted euxassay_003905_10
TS23: turbinate bone primordium Moderate Regionally restricted euxassay_003905_10
TS23: palatal shelf Moderate Regionally restricted euxassay_003905_10
TS23: rib Moderate Regionally restricted euxassay_003905_10
TS23: thymus primordium Moderate Regionally restricted euxassay_003905_10
TS23: lung Strong Regionally restricted euxassay_003905_10
TS23: bladder Moderate Regionally restricted euxassay_003905_10
TS23: midgut Strong Regionally restricted euxassay_003905_10
TS23: pharynx epithelium Moderate Regionally restricted euxassay_003905_10
TS23: axial skeleton cervical region Moderate Regionally restricted euxassay_003905_10
TS23: axial skeleton lumbar region Moderate Regionally restricted euxassay_003905_10
TS23: axial skeleton sacral region Moderate Regionally restricted euxassay_003905_10
TS23: axial skeleton thoracic region Moderate Regionally restricted euxassay_003905_10

Specimen euxassay_003905_11: embryonic day 14.5 (more )
Structure Level Pattern Image Note
TS23: nasal cavity respiratory epithelium Moderate Regionally restricted euxassay_003905_11
TS23: olfactory epithelium Moderate Regionally restricted euxassay_003905_11
TS23: palatal shelf Moderate Regionally restricted euxassay_003905_11
TS23: sternum Moderate Regionally restricted euxassay_003905_11
TS23: thymus primordium Moderate Regionally restricted euxassay_003905_11
TS23: lung Strong Regionally restricted euxassay_003905_11
TS23: bladder Moderate Regionally restricted euxassay_003905_11
TS23: urethra Moderate Regionally restricted euxassay_003905_11 Originally this result was annotated to a male-specific term, but as the specimen was not sexed, it is likely the data annotator intended to use a non-sex specific term.
TS23: genital tubercle of male Moderate Regionally restricted euxassay_003905_11
TS23: midgut Strong Regionally restricted euxassay_003905_11
TS23: rectum Strong Regionally restricted euxassay_003905_11
TS23: esophagus epithelium Strong Regionally restricted euxassay_003905_11
TS23: pharynx epithelium Moderate Regionally restricted euxassay_003905_11
TS23: axial skeleton lumbar region Moderate Regionally restricted euxassay_003905_11
TS23: axial skeleton sacral region Moderate Regionally restricted euxassay_003905_11
TS23: axial skeleton thoracic region Moderate Regionally restricted euxassay_003905_11
TS23: midbrain ventricular layer Moderate Regionally restricted euxassay_003905_11
TS23: 4th ventricle Moderate Regionally restricted euxassay_003905_11

Specimen euxassay_003905_12: embryonic day 14.5 (more )
Structure Level Pattern Image Note
TS23: olfactory epithelium Moderate Regionally restricted euxassay_003905_12
TS23: nasal cavity respiratory epithelium Moderate Regionally restricted euxassay_003905_12
TS23: nasal septum Moderate Regionally restricted euxassay_003905_12
TS23: palatal shelf Moderate Regionally restricted euxassay_003905_12
TS23: rib Moderate Regionally restricted euxassay_003905_12
TS23: thymus primordium Moderate Regionally restricted euxassay_003905_12
TS23: lung Strong Regionally restricted euxassay_003905_12
TS23: midgut Strong Regionally restricted euxassay_003905_12
TS23: esophagus epithelium Strong Regionally restricted euxassay_003905_12
TS23: pharynx epithelium Moderate Regionally restricted euxassay_003905_12
TS23: axial skeleton tail region Moderate Regionally restricted euxassay_003905_12
TS23: axial skeleton sacral region Moderate Regionally restricted euxassay_003905_12
TS23: axial skeleton lumbar region Moderate Regionally restricted euxassay_003905_12
TS23: midbrain ventricular layer Moderate Regionally restricted euxassay_003905_12
TS23: 4th ventricle Moderate Regionally restricted euxassay_003905_12
TS23: spinal cord ventricular layer Moderate Regionally restricted euxassay_003905_12

Specimen euxassay_003905_13: embryonic day 14.5 (more )
Structure Level Pattern Image Note
TS23: nasal cavity respiratory epithelium Moderate Regionally restricted euxassay_003905_13
TS23: olfactory epithelium Moderate Regionally restricted euxassay_003905_13
TS23: palatal shelf Moderate Regionally restricted euxassay_003905_13
TS23: rib Moderate Regionally restricted euxassay_003905_13
TS23: thymus primordium Moderate Regionally restricted euxassay_003905_13
TS23: lung Strong Regionally restricted euxassay_003905_13
TS23: midgut Strong Regionally restricted euxassay_003905_13
TS23: axial skeleton cervical region Moderate Regionally restricted euxassay_003905_13
TS23: axial skeleton sacral region Moderate Regionally restricted euxassay_003905_13
TS23: axial skeleton lumbar region Moderate Regionally restricted euxassay_003905_13
TS23: axial skeleton tail region Moderate Regionally restricted euxassay_003905_13
TS23: axial skeleton thoracic region Moderate Regionally restricted euxassay_003905_13

Specimen euxassay_003905_14: embryonic day 14.5 (more )
Structure Level Pattern Image Note
TS23: naris Moderate Regionally restricted euxassay_003905_14
TS23: olfactory epithelium Moderate Regionally restricted euxassay_003905_14
TS23: nasal cavity respiratory epithelium Moderate Regionally restricted euxassay_003905_14
TS23: turbinate bone primordium Moderate Regionally restricted euxassay_003905_14
TS23: palatal shelf Moderate Regionally restricted euxassay_003905_14
TS23: rib Moderate Regionally restricted euxassay_003905_14
TS23: dorsal root ganglion Moderate Regionally restricted euxassay_003905_14
TS23: lung Strong Regionally restricted euxassay_003905_14
TS23: metanephros Moderate Regionally restricted euxassay_003905_14
TS23: midgut Strong Regionally restricted euxassay_003905_14
TS23: axial skeleton cervical region Moderate Regionally restricted euxassay_003905_14
TS23: axial skeleton thoracic region Moderate Regionally restricted euxassay_003905_14

Specimen euxassay_003905_15: embryonic day 14.5 (more )
Structure Level Pattern Image Note
TS23: olfactory epithelium Moderate Regionally restricted euxassay_003905_15
TS23: turbinate bone primordium Moderate Regionally restricted euxassay_003905_15
TS23: otic capsule Moderate Regionally restricted euxassay_003905_15
TS23: rib Moderate Regionally restricted euxassay_003905_15
TS23: dorsal root ganglion Moderate Regionally restricted euxassay_003905_15
TS23: submandibular gland primordium Moderate Regionally restricted euxassay_003905_15
TS23: lung Strong Regionally restricted euxassay_003905_15
TS23: metanephros Moderate Regionally restricted euxassay_003905_15
TS23: midgut Strong Regionally restricted euxassay_003905_15

Specimen euxassay_003905_16: embryonic day 14.5 (more )
Structure Level Pattern Image Note
TS23: turbinate bone primordium Moderate Regionally restricted euxassay_003905_16
TS23: olfactory epithelium Moderate Regionally restricted euxassay_003905_16
TS23: otic capsule Moderate Regionally restricted euxassay_003905_16
TS23: cochlea Moderate Regionally restricted euxassay_003905_16
TS23: rib Moderate Regionally restricted euxassay_003905_16
TS23: dorsal root ganglion Moderate Regionally restricted euxassay_003905_16
TS23: submandibular gland primordium Moderate Regionally restricted euxassay_003905_16
TS23: lung Strong Regionally restricted euxassay_003905_16
TS23: metanephros Moderate Regionally restricted euxassay_003905_16

Specimen euxassay_003905_17: embryonic day 14.5 (more )
Structure Level Pattern Image Note
TS23: olfactory epithelium Moderate Regionally restricted euxassay_003905_17
TS23: turbinate bone primordium Moderate Regionally restricted euxassay_003905_17
TS23: orbito-sphenoid Moderate Regionally restricted euxassay_003905_17
TS23: otic capsule Moderate Regionally restricted euxassay_003905_17
TS23: cochlea Moderate Regionally restricted euxassay_003905_17
TS23: rib Moderate Regionally restricted euxassay_003905_17
TS23: dorsal root ganglion Moderate Regionally restricted euxassay_003905_17
TS23: submandibular gland primordium Moderate Regionally restricted euxassay_003905_17
TS23: lung Strong Regionally restricted euxassay_003905_17
TS23: metanephros Moderate Regionally restricted euxassay_003905_17

Specimen euxassay_003905_18: embryonic day 14.5 (more )
Structure Level Pattern Image Note
TS23: turbinate bone primordium Moderate Regionally restricted euxassay_003905_18
TS23: orbito-sphenoid Moderate Regionally restricted euxassay_003905_18
TS23: otic capsule Moderate Regionally restricted euxassay_003905_18
TS23: rib Moderate Regionally restricted euxassay_003905_18
TS23: humerus Moderate Regionally restricted euxassay_003905_18
TS23: hand Moderate Regionally restricted euxassay_003905_18
TS23: foot Moderate Regionally restricted euxassay_003905_18
TS23: lung Strong Regionally restricted euxassay_003905_18
TS23: metanephros Moderate Regionally restricted euxassay_003905_18

Specimen euxassay_003905_19: embryonic day 14.5 (more )
Structure Level Pattern Image Note
TS23: orbito-sphenoid Moderate Regionally restricted euxassay_003905_19
TS23: otic capsule Moderate Regionally restricted euxassay_003905_19
TS23: rib Moderate Regionally restricted euxassay_003905_19
TS23: hand Moderate Regionally restricted euxassay_003905_19
TS23: humerus Moderate Regionally restricted euxassay_003905_19
TS23: foot Moderate Regionally restricted euxassay_003905_19
TS23: lung Strong Regionally restricted euxassay_003905_19

Specimen euxassay_003905_20: embryonic day 14.5 (more )
Structure Level Pattern Image Note
TS23: orbito-sphenoid Moderate Regionally restricted euxassay_003905_20
TS23: pharyngo-tympanic tube Moderate Regionally restricted euxassay_003905_20
TS23: vibrissa Moderate Regionally restricted euxassay_003905_20
TS23: otic capsule Moderate Regionally restricted euxassay_003905_20
TS23: rib Moderate Regionally restricted euxassay_003905_20
TS23: hand Moderate Regionally restricted euxassay_003905_20
TS23: foot Moderate Regionally restricted euxassay_003905_20
TS23: humerus Moderate Regionally restricted euxassay_003905_20
TS23: femur Moderate Regionally restricted euxassay_003905_20
TS23: lung Strong Regionally restricted euxassay_003905_20

Specimen euxassay_003905_21: embryonic day 14.5 (more )
Structure Level Pattern Image Note
TS23: orbito-sphenoid Moderate Regionally restricted euxassay_003905_21
TS23: pharyngo-tympanic tube Moderate Regionally restricted euxassay_003905_21
TS23: otic capsule Moderate Regionally restricted euxassay_003905_21
TS23: rib Moderate Regionally restricted euxassay_003905_21
TS23: hand Moderate Regionally restricted euxassay_003905_21
TS23: foot Moderate Regionally restricted euxassay_003905_21
TS23: leg Moderate Regionally restricted euxassay_003905_21
TS23: tibia Moderate Regionally restricted euxassay_003905_21
TS23: fibula Moderate Regionally restricted euxassay_003905_21
TS23: lung Strong Regionally restricted euxassay_003905_21

Specimen euxassay_003905_22: embryonic day 14.5 (more )
Structure Level Pattern Image Note
TS23: orbito-sphenoid Moderate Regionally restricted euxassay_003905_22
TS23: pharyngo-tympanic tube Moderate Regionally restricted euxassay_003905_22
TS23: otic capsule Moderate Regionally restricted euxassay_003905_22
TS23: rib Moderate Regionally restricted euxassay_003905_22
TS23: hand Moderate Regionally restricted euxassay_003905_22
TS23: foot Moderate Regionally restricted euxassay_003905_22
TS23: femur Moderate Regionally restricted euxassay_003905_22

Specimen euxassay_003905_23: embryonic day 14.5 (more )
Structure Level Pattern Image Note
TS23: pharyngo-tympanic tube Moderate Regionally restricted euxassay_003905_23
TS23: rib Moderate Regionally restricted euxassay_003905_23
TS23: radius Moderate Regionally restricted euxassay_003905_23
TS23: ulna Moderate Regionally restricted euxassay_003905_23
TS23: tibia Moderate Regionally restricted euxassay_003905_23
TS23: fibula Moderate Regionally restricted euxassay_003905_23


Contributing Projects:
Mouse Genome Database (MGD), Gene Expression Database (GXD), Mouse Models of Human Cancer database (MMHCdb) (formerly Mouse Tumor Biology (MTB)), Gene Ontology (GO)
Citing These Resources
Funding Information
Warranty Disclaimer, Privacy Notice, Licensing, & Copyright
Send questions and comments to User Support.
last database update
03/24/2026
MGI 6.24
The Jackson Laboratory