About   Help   FAQ
Gene Expression Data
Assay Details
Assay
Reference: J:153498 Diez-Roux G, et al., A high-resolution anatomical atlas of the transcriptome in the mouse embryo. PLoS Biol. 2011;9(1):e1000582
Assay type: RNA in situ
MGI Accession ID: MGI:4829120
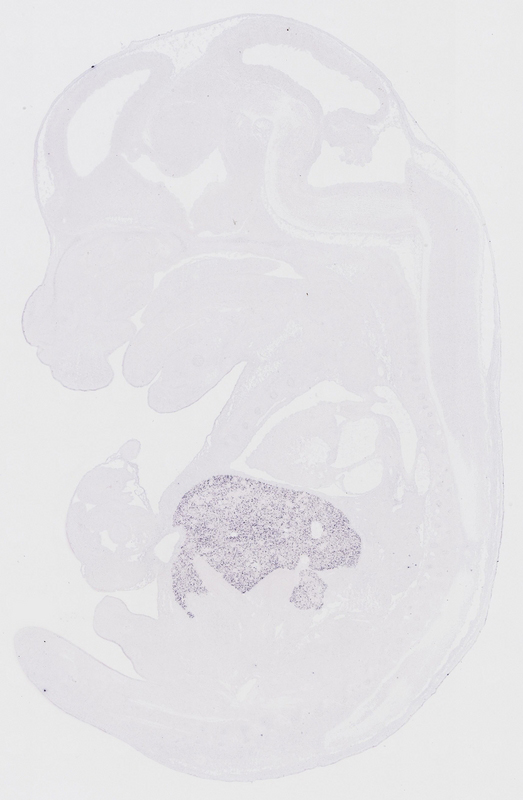
Gene symbol: Uroc1
Gene name: urocanase domain containing 1
Probe: MGC clone 37818
Probe preparation: Antisense labelled with digoxigenin RNA
Visualized with: Alkaline phosphatase
Assay notes: Cryosections of fresh frozen material were fixed in 4% paraformaldehyde for 20 min. before further processing. A tyramide-biotin/streptavidin amplification step was included in the in situ hybridization procedure.
Results
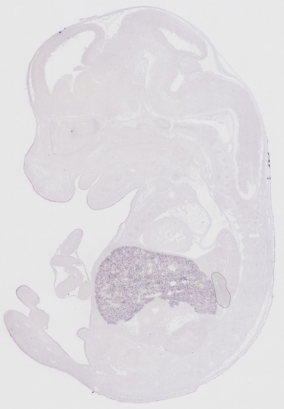
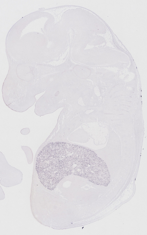
Specimen euxassay_001178_01: embryonic day 14.5 (more )
Structure Level Pattern Image Note
TS23: liver lobe Moderate Uniform euxassay_001178_01

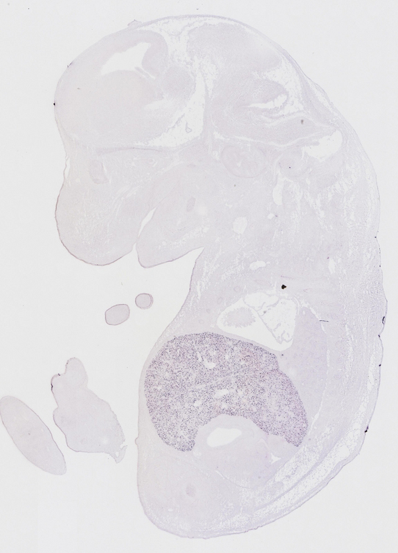
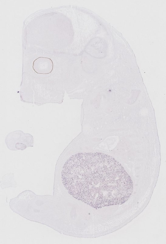
Specimen euxassay_001178_02: embryonic day 14.5 (more )
Structure Level Pattern Image Note
TS23: liver lobe Moderate Uniform euxassay_001178_02

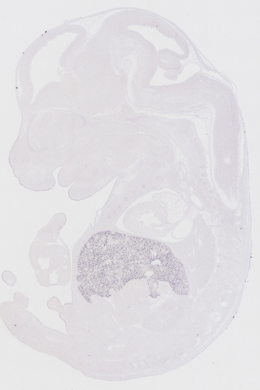
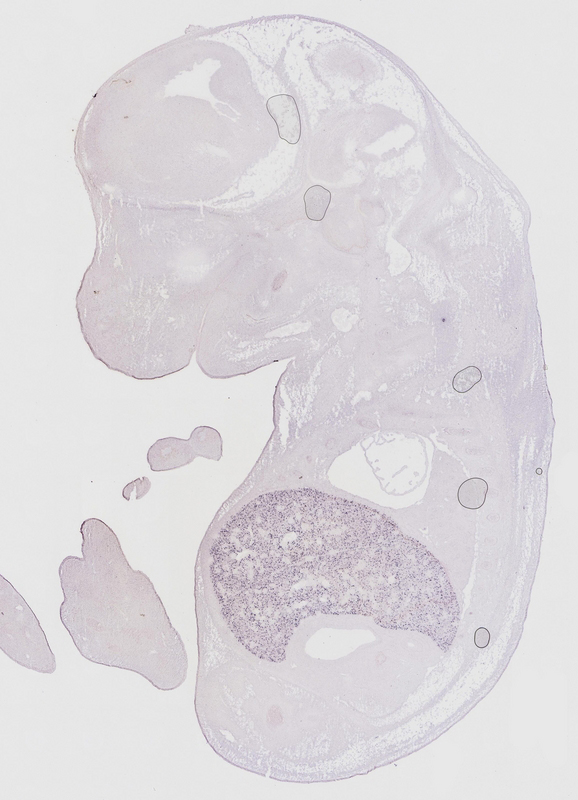
Specimen euxassay_001178_03: embryonic day 14.5 (more )
Structure Level Pattern Image Note
TS23: liver lobe Moderate Uniform euxassay_001178_03

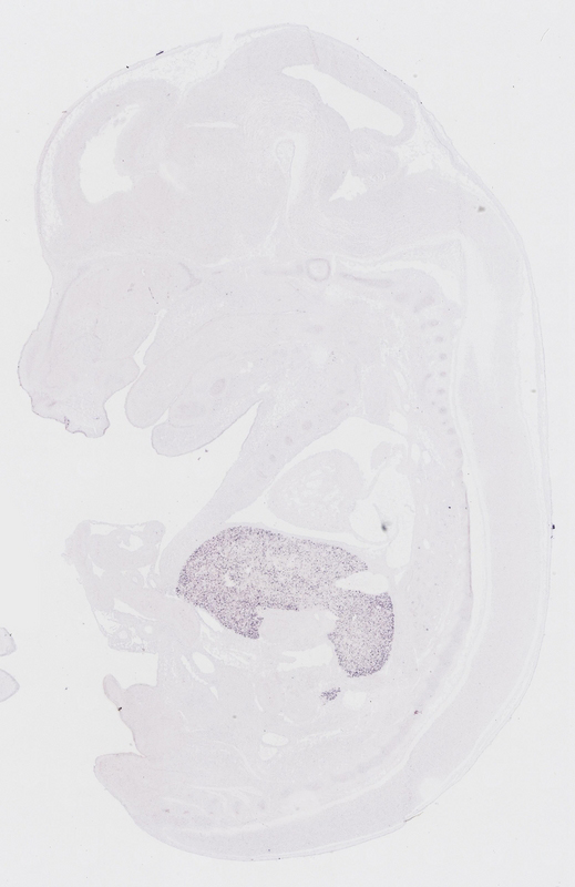
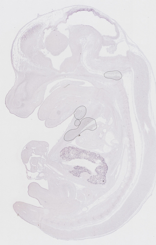
Specimen euxassay_001178_04: embryonic day 14.5 (more )
Structure Level Pattern Image Note
TS23: liver lobe Moderate Uniform euxassay_001178_04

Specimen euxassay_001178_05: embryonic day 14.5 (more )
Structure Level Pattern Image Note
TS23: liver lobe Moderate Uniform euxassay_001178_05

Specimen euxassay_001178_06: embryonic day 14.5 (more )
Structure Level Pattern Image Note
TS23: liver lobe Moderate Uniform euxassay_001178_06

Specimen euxassay_001178_07: embryonic day 14.5 (more )
Structure Level Pattern Image Note
TS23: liver lobe Moderate Uniform euxassay_001178_07

Specimen euxassay_001178_08: embryonic day 14.5 (more )
Structure Level Pattern Image Note
TS23: liver lobe Moderate Uniform euxassay_001178_08

Specimen euxassay_001178_09: embryonic day 14.5 (more )
Structure Level Pattern Image Note
TS23: liver lobe Moderate Uniform euxassay_001178_09

Specimen euxassay_001178_10: embryonic day 14.5 (more )
Structure Level Pattern Image Note
TS23: liver lobe Moderate Uniform euxassay_001178_10

Specimen euxassay_001178_11: embryonic day 14.5 (more )
Structure Level Pattern Image Note
TS23: liver lobe Moderate Uniform euxassay_001178_11

Specimen euxassay_001178_12: embryonic day 14.5 (more )
Structure Level Pattern Image Note
TS23: liver lobe Moderate Uniform euxassay_001178_12

Specimen euxassay_001178_13: embryonic day 14.5 (more )
Structure Level Pattern Image Note
TS23: liver lobe Moderate Uniform euxassay_001178_13

Specimen euxassay_001178_14: embryonic day 14.5 (more )
Structure Level Pattern Image Note
TS23: liver lobe Moderate Uniform euxassay_001178_14

Specimen euxassay_001178_15: embryonic day 14.5 (more )
Structure Level Pattern Image Note
TS23: liver lobe Moderate Uniform euxassay_001178_15

Specimen euxassay_001178_16: embryonic day 14.5 (more )
Structure Level Pattern Image Note
TS23: liver lobe Moderate Uniform euxassay_001178_16

Specimen euxassay_001178_17: embryonic day 14.5 (more )
Structure Level Pattern Image Note
TS23: liver lobe Moderate Uniform euxassay_001178_17

Specimen euxassay_001178_18: embryonic day 14.5 (more )
Structure Level Pattern Image Note
TS23: liver lobe Moderate Uniform euxassay_001178_18

Specimen euxassay_001178_19: embryonic day 14.5 (more )
Structure Level Pattern Image Note
TS23: liver lobe Moderate Uniform euxassay_001178_19

Specimen euxassay_001178_20: embryonic day 14.5 (more )
Structure Level Pattern Image Note
TS23: liver lobe Moderate Uniform euxassay_001178_20

Specimen euxassay_001178_21: embryonic day 14.5 (more )
Structure Level Pattern Image Note
TS23: liver lobe Moderate Uniform euxassay_001178_21

Specimen euxassay_001178_22: embryonic day 14.5 (more )
Structure Level Pattern Image Note
TS23: liver lobe Moderate Uniform euxassay_001178_22

Specimen euxassay_001178_23: embryonic day 14.5 (more )
Structure Level Pattern Image Note
TS23: liver lobe Moderate Uniform euxassay_001178_23

Specimen euxassay_001178_24: embryonic day 14.5 (more )
Structure Level Pattern Image Note
TS23: liver lobe Moderate Uniform euxassay_001178_24


Contributing Projects:
Mouse Genome Database (MGD), Gene Expression Database (GXD), Mouse Models of Human Cancer database (MMHCdb) (formerly Mouse Tumor Biology (MTB)), Gene Ontology (GO)
Citing These Resources
Funding Information
Warranty Disclaimer, Privacy Notice, Licensing, & Copyright
Send questions and comments to User Support.
last database update
01/20/2026
MGI 6.24
The Jackson Laboratory