About   Help   FAQ
Gene Expression Data
Assay Details
Assay
Reference: J:153498 Diez-Roux G, et al., A high-resolution anatomical atlas of the transcriptome in the mouse embryo. PLoS Biol. 2011;9(1):e1000582
Assay type: RNA in situ
MGI Accession ID: MGI:4829115
Gene symbol: Uqcrc1
Gene name: ubiquinol-cytochrome c reductase core protein 1
Probe: T31087
Probe preparation: Antisense labelled with digoxigenin RNA
Visualized with: Alkaline phosphatase
Assay notes: Cryosections of fresh frozen material were fixed in 4% paraformaldehyde for 20 min. before further processing. A tyramide-biotin/streptavidin amplification step was included in the in situ hybridization procedure.
Results
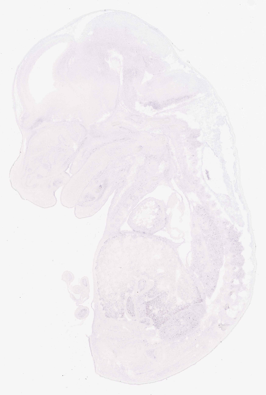
Specimen euxassay_009939_01: embryonic day 14.5 (more )
Structure Level Pattern Image Note
TS23: liver Moderate Regionally restricted euxassay_009939_01

Specimen euxassay_009939_02: embryonic day 14.5 (more )
Structure Level Pattern Image Note
TS23: liver Moderate Regionally restricted euxassay_009939_02

Specimen euxassay_009939_03: embryonic day 14.5 (more )
Structure Level Pattern Image Note
TS23: liver Moderate Regionally restricted euxassay_009939_03
TS23: left lung Moderate Regionally restricted euxassay_009939_03
TS23: axial musculature Moderate Regionally restricted euxassay_009939_03
TS23: trigeminal ganglion Moderate Regionally restricted euxassay_009939_03

Specimen euxassay_009939_04: embryonic day 14.5 (more )
Structure Level Pattern Image Note
TS23: liver Moderate Regionally restricted euxassay_009939_04
TS23: left lung Moderate Regionally restricted euxassay_009939_04
TS23: axial musculature Moderate Regionally restricted euxassay_009939_04
TS23: trigeminal ganglion Moderate Regionally restricted euxassay_009939_04
TS23: facial ganglion Moderate Regionally restricted euxassay_009939_04

Specimen euxassay_009939_05: embryonic day 14.5 (more )
Structure Level Pattern Image Note
TS23: liver Moderate Regionally restricted euxassay_009939_05
TS23: left lung Moderate Regionally restricted euxassay_009939_05
TS23: axial musculature Moderate Regionally restricted euxassay_009939_05
TS23: trigeminal ganglion Moderate Regionally restricted euxassay_009939_05
TS23: facial ganglion Moderate Regionally restricted euxassay_009939_05

Specimen euxassay_009939_06: embryonic day 14.5 (more )
Structure Level Pattern Image Note
TS23: liver Moderate Regionally restricted euxassay_009939_06
TS23: left lung Moderate Regionally restricted euxassay_009939_06
TS23: metanephros Moderate Regionally restricted euxassay_009939_06
TS23: axial musculature Moderate Regionally restricted euxassay_009939_06
TS23: trigeminal ganglion Moderate Regionally restricted euxassay_009939_06
TS23: facial ganglion Moderate Regionally restricted euxassay_009939_06
TS23: submandibular gland primordium Moderate Regionally restricted euxassay_009939_06

Specimen euxassay_009939_07: embryonic day 14.5 (more )
Structure Level Pattern Image Note
TS23: liver Moderate Regionally restricted euxassay_009939_07
TS23: left lung Moderate Regionally restricted euxassay_009939_07
TS23: metanephros Moderate Regionally restricted euxassay_009939_07
TS23: trigeminal ganglion Moderate Regionally restricted euxassay_009939_07
TS23: glossopharyngeal ganglion Moderate Regionally restricted euxassay_009939_07
TS23: vibrissa Moderate Regionally restricted euxassay_009939_07
TS23: submandibular gland primordium Moderate Regionally restricted euxassay_009939_07
TS23: pons mantle layer Moderate Regionally restricted euxassay_009939_07
TS23: medulla oblongata basal plate mantle layer Moderate Regionally restricted euxassay_009939_07
TS23: medulla oblongata alar plate mantle layer Moderate Regionally restricted euxassay_009939_07

Specimen euxassay_009939_08: embryonic day 14.5 (more )
Structure Level Pattern Image Note
TS23: liver Moderate Regionally restricted euxassay_009939_08
TS23: left lung Moderate Regionally restricted euxassay_009939_08
TS23: metanephros Moderate Regionally restricted euxassay_009939_08
TS23: dorsal root ganglion Moderate Regionally restricted euxassay_009939_08
TS23: trigeminal ganglion Moderate Regionally restricted euxassay_009939_08
TS23: vagus ganglion Moderate Regionally restricted euxassay_009939_08
TS23: vibrissa Moderate Regionally restricted euxassay_009939_08
TS23: submandibular gland primordium Moderate Regionally restricted euxassay_009939_08
TS23: medulla oblongata basal plate mantle layer Moderate Regionally restricted euxassay_009939_08
TS23: pons mantle layer Moderate Regionally restricted euxassay_009939_08

Specimen euxassay_009939_09: embryonic day 14.5 (more )
Structure Level Pattern Image Note
TS23: liver Moderate Regionally restricted euxassay_009939_09
TS23: left lung Moderate Regionally restricted euxassay_009939_09
TS23: metanephros Moderate Regionally restricted euxassay_009939_09
TS23: dorsal root ganglion Moderate Regionally restricted euxassay_009939_09
TS23: trigeminal ganglion Moderate Regionally restricted euxassay_009939_09
TS23: submandibular gland primordium Moderate Regionally restricted euxassay_009939_09
TS23: medulla oblongata basal plate mantle layer Moderate Regionally restricted euxassay_009939_09

Specimen euxassay_009939_10: embryonic day 14.5 (more )
Structure Level Pattern Image Note
TS23: liver Moderate Regionally restricted euxassay_009939_10
TS23: left lung Moderate Regionally restricted euxassay_009939_10
TS23: bladder Moderate Regionally restricted euxassay_009939_10
TS23: submandibular gland primordium Moderate Regionally restricted euxassay_009939_10
TS23: medulla oblongata basal plate mantle layer Moderate Regionally restricted euxassay_009939_10
TS23: ventral grey horn Moderate Regionally restricted euxassay_009939_10

Specimen euxassay_009939_11: embryonic day 14.5 (more )
Structure Level Pattern Image Note
TS23: liver Moderate Regionally restricted euxassay_009939_11
TS23: left lung Moderate Regionally restricted euxassay_009939_11
TS23: bladder Moderate Regionally restricted euxassay_009939_11
TS23: ventral grey horn Strong Regionally restricted euxassay_009939_11

Specimen euxassay_009939_12: embryonic day 14.5 (more )
Structure Level Pattern Image Note
TS23: liver Moderate Regionally restricted euxassay_009939_12
TS23: left lung Moderate Regionally restricted euxassay_009939_12
TS23: bladder Moderate Regionally restricted euxassay_009939_12
TS23: ventral grey horn Moderate Regionally restricted euxassay_009939_12

Specimen euxassay_009939_13: embryonic day 14.5 (more )
Structure Level Pattern Image Note
TS23: liver Moderate Regionally restricted euxassay_009939_13
TS23: left lung Moderate Regionally restricted euxassay_009939_13
TS23: bladder Moderate Regionally restricted euxassay_009939_13
TS23: dorsal root ganglion Moderate Regionally restricted euxassay_009939_13
TS23: medulla oblongata alar plate mantle layer Moderate Regionally restricted euxassay_009939_13
TS23: ventral grey horn Moderate Regionally restricted euxassay_009939_13

Specimen euxassay_009939_14: embryonic day 14.5 (more )
Structure Level Pattern Image Note
TS23: liver Moderate Regionally restricted euxassay_009939_14
TS23: right lung Moderate Regionally restricted euxassay_009939_14
TS23: dorsal root ganglion Moderate Regionally restricted euxassay_009939_14
TS23: ventral grey horn Moderate Regionally restricted euxassay_009939_14

Specimen euxassay_009939_15: embryonic day 14.5 (more )
Structure Level Pattern Image Note
TS23: liver Moderate Regionally restricted euxassay_009939_15
TS23: right lung Moderate Regionally restricted euxassay_009939_15
TS23: metanephros Moderate Regionally restricted euxassay_009939_15
TS23: dorsal root ganglion Moderate Regionally restricted euxassay_009939_15
TS23: ventral grey horn Moderate Regionally restricted euxassay_009939_15

Specimen euxassay_009939_16: embryonic day 14.5 (more )
Structure Level Pattern Image Note
TS23: liver Moderate Regionally restricted euxassay_009939_16
TS23: right lung Moderate Regionally restricted euxassay_009939_16
TS23: metanephros Moderate Regionally restricted euxassay_009939_16
TS23: dorsal root ganglion Moderate Regionally restricted euxassay_009939_16
TS23: medulla oblongata basal plate mantle layer Moderate Regionally restricted euxassay_009939_16

Specimen euxassay_009939_17: embryonic day 14.5 (more )
Structure Level Pattern Image Note
TS23: liver Moderate Regionally restricted euxassay_009939_17
TS23: right lung Moderate Regionally restricted euxassay_009939_17
TS23: metanephros Moderate Regionally restricted euxassay_009939_17
TS23: dorsal root ganglion Moderate Regionally restricted euxassay_009939_17
TS23: medulla oblongata basal plate mantle layer Moderate Regionally restricted euxassay_009939_17
TS23: pons mantle layer Moderate Regionally restricted euxassay_009939_17
TS23: medulla oblongata alar plate mantle layer Moderate Regionally restricted euxassay_009939_17

Specimen euxassay_009939_18: embryonic day 14.5 (more )
Structure Level Pattern Image Note
TS23: liver Moderate Regionally restricted euxassay_009939_18
TS23: right lung Moderate Regionally restricted euxassay_009939_18
TS23: metanephros Moderate Regionally restricted euxassay_009939_18
TS23: dorsal root ganglion Moderate Regionally restricted euxassay_009939_18
TS23: vagus ganglion Moderate Regionally restricted euxassay_009939_18
TS23: trigeminal ganglion Moderate Regionally restricted euxassay_009939_18
TS23: glossopharyngeal ganglion Moderate Regionally restricted euxassay_009939_18
TS23: submandibular gland primordium Moderate Regionally restricted euxassay_009939_18
TS23: pons mantle layer Moderate Regionally restricted euxassay_009939_18
TS23: medulla oblongata basal plate mantle layer Moderate Regionally restricted euxassay_009939_18
TS23: medulla oblongata alar plate mantle layer Moderate Regionally restricted euxassay_009939_18

Specimen euxassay_009939_19: embryonic day 14.5 (more )
Structure Level Pattern Image Note
TS23: liver Moderate Regionally restricted euxassay_009939_19
TS23: right lung Moderate Regionally restricted euxassay_009939_19
TS23: axial musculature Moderate Regionally restricted euxassay_009939_19
TS23: trigeminal ganglion Moderate Regionally restricted euxassay_009939_19
TS23: vagus ganglion Moderate Regionally restricted euxassay_009939_19
TS23: submandibular gland primordium Moderate Regionally restricted euxassay_009939_19

Specimen euxassay_009939_20: embryonic day 14.5 (more )
Structure Level Pattern Image Note
TS23: liver Moderate Regionally restricted euxassay_009939_20
TS23: right lung Moderate Regionally restricted euxassay_009939_20
TS23: axial musculature Moderate Regionally restricted euxassay_009939_20
TS23: trigeminal ganglion Moderate Regionally restricted euxassay_009939_20
TS23: facial ganglion Moderate Regionally restricted euxassay_009939_20
TS23: submandibular gland primordium Moderate Regionally restricted euxassay_009939_20

Specimen euxassay_009939_21: embryonic day 14.5 (more )
Structure Level Pattern Image Note
TS23: liver Moderate Regionally restricted euxassay_009939_21
TS23: right lung Moderate Regionally restricted euxassay_009939_21
TS23: axial musculature Moderate Regionally restricted euxassay_009939_21
TS23: trigeminal ganglion Moderate Regionally restricted euxassay_009939_21
TS23: facial ganglion Moderate Regionally restricted euxassay_009939_21
TS23: vibrissa Moderate Regionally restricted euxassay_009939_21

Specimen euxassay_009939_22: embryonic day 14.5 (more )
Structure Level Pattern Image Note
TS23: liver Moderate Regionally restricted euxassay_009939_22
TS23: right lung Moderate Regionally restricted euxassay_009939_22
TS23: axial musculature Moderate Regionally restricted euxassay_009939_22
TS23: trigeminal ganglion Moderate Regionally restricted euxassay_009939_22
TS23: vibrissa Moderate Regionally restricted euxassay_009939_22

Specimen euxassay_009939_23: embryonic day 14.5 (more )
Structure Level Pattern Image Note
TS23: liver Moderate Regionally restricted euxassay_009939_23
TS23: right lung Moderate Regionally restricted euxassay_009939_23
TS23: vibrissa Moderate Regionally restricted euxassay_009939_23

Specimen euxassay_009939_24: embryonic day 14.5 (more )
Structure Level Pattern Image Note
TS23: liver Moderate Regionally restricted euxassay_009939_24
TS23: right lung Moderate Regionally restricted euxassay_009939_24


Contributing Projects:
Mouse Genome Database (MGD), Gene Expression Database (GXD), Mouse Models of Human Cancer database (MMHCdb) (formerly Mouse Tumor Biology (MTB)), Gene Ontology (GO)
Citing These Resources
Funding Information
Warranty Disclaimer, Privacy Notice, Licensing, & Copyright
Send questions and comments to User Support.
last database update
03/24/2026
MGI 6.24
The Jackson Laboratory