About   Help   FAQ
Gene Expression Data
Assay Details
Assay
Reference: J:153498 Diez-Roux G, et al., A high-resolution anatomical atlas of the transcriptome in the mouse embryo. PLoS Biol. 2011;9(1):e1000582
Assay type: RNA in situ
MGI Accession ID: MGI:4829089
Gene symbol: Ugt2b34
Gene name: UDP glucuronosyltransferase 2 family, polypeptide B34
Probe: MGC clone 37823
Probe preparation: Antisense labelled with digoxigenin RNA
Visualized with: Alkaline phosphatase
Assay notes: Cryosections of fresh frozen material were fixed in 4% paraformaldehyde for 20 min. before further processing. A tyramide-biotin/streptavidin amplification step was included in the in situ hybridization procedure.
Results
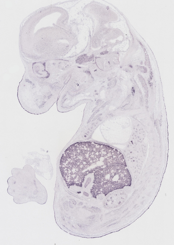
Specimen euxassay_001177_01: embryonic day 14.5 (more )
Note: Additional information for this specimen was included in the Eurexpress data submission file.
Structure Level Pattern Image Note
TS23: liver lobe Moderate Graded euxassay_001177_01
TS23: embryo Weak Regionally restricted euxassay_001177_01
TS23: skin Present euxassay_001177_01

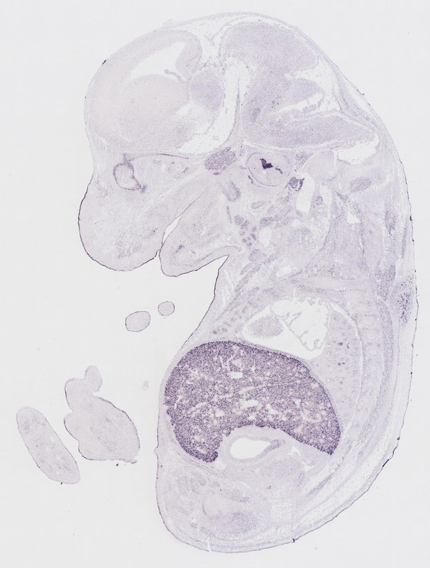
Specimen euxassay_001177_02: embryonic day 14.5 (more )
Note: Additional information for this specimen was included in the Eurexpress data submission file.
Structure Level Pattern Image Note
TS23: liver lobe Moderate Graded euxassay_001177_02
TS23: embryo Weak Regionally restricted euxassay_001177_02
TS23: skin Present euxassay_001177_02

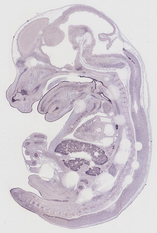
Specimen euxassay_001177_03: embryonic day 14.5 (more )
Note: Additional information for this specimen was included in the Eurexpress data submission file.
Structure Level Pattern Image Note
TS23: liver lobe Moderate Graded euxassay_001177_03
TS23: stomach Weak Regionally restricted euxassay_001177_03
TS23: embryo Weak Regionally restricted euxassay_001177_03
TS23: skin Present euxassay_001177_03

Specimen euxassay_001177_04: embryonic day 14.5 (more )
Note: Additional information for this specimen was included in the Eurexpress data submission file.
Structure Level Pattern Image Note
TS23: liver lobe Moderate Graded euxassay_001177_04
TS23: stomach Weak Regionally restricted euxassay_001177_04
TS23: embryo Weak Regionally restricted euxassay_001177_04
TS23: skin Present euxassay_001177_04

Specimen euxassay_001177_05: embryonic day 14.5 (more )
Note: Additional information for this specimen was included in the Eurexpress data submission file.
Structure Level Pattern Image Note
TS23: liver lobe Moderate Graded euxassay_001177_05
TS23: stomach Weak Regionally restricted euxassay_001177_05
TS23: embryo Weak Regionally restricted euxassay_001177_05
TS23: skin Present euxassay_001177_05

Specimen euxassay_001177_06: embryonic day 14.5 (more )
Note: Additional information for this specimen was included in the Eurexpress data submission file.
Structure Level Pattern Image Note
TS23: liver lobe Moderate Graded euxassay_001177_06
TS23: vestibulo-cochlear ganglion Weak Regionally restricted euxassay_001177_06
TS23: stomach Weak Regionally restricted euxassay_001177_06
TS23: embryo Weak Regionally restricted euxassay_001177_06
TS23: skin Present euxassay_001177_06

Specimen euxassay_001177_07: embryonic day 14.5 (more )
Note: Additional information for this specimen was included in the Eurexpress data submission file.
Structure Level Pattern Image Note
TS23: liver lobe Moderate Graded euxassay_001177_07
TS23: vestibulo-cochlear ganglion Weak Regionally restricted euxassay_001177_07
TS23: nasal capsule Weak Regionally restricted euxassay_001177_07
TS23: stomach Weak Regionally restricted euxassay_001177_07
TS23: embryo Weak Regionally restricted euxassay_001177_07
TS23: skin Present euxassay_001177_07

Specimen euxassay_001177_08: embryonic day 14.5 (more )
Note: Additional information for this specimen was included in the Eurexpress data submission file.
Structure Level Pattern Image Note
TS23: liver lobe Moderate Graded euxassay_001177_08
TS23: vestibulo-cochlear ganglion Weak Regionally restricted euxassay_001177_08
TS23: nasal capsule Weak Regionally restricted euxassay_001177_08
TS23: midgut Weak Regionally restricted euxassay_001177_08
TS23: embryo Weak Regionally restricted euxassay_001177_08
TS23: skin Present euxassay_001177_08

Specimen euxassay_001177_09: embryonic day 14.5 (more )
Note: Additional information for this specimen was included in the Eurexpress data submission file.
Structure Level Pattern Image Note
TS23: liver lobe Moderate Graded euxassay_001177_09
TS23: renal calyx Weak Regionally restricted euxassay_001177_09
TS23: nasal capsule Weak Regionally restricted euxassay_001177_09
TS23: midgut Weak Regionally restricted euxassay_001177_09
TS23: embryo Weak Regionally restricted euxassay_001177_09
TS23: skin Present euxassay_001177_09
TS23: left lung lobar bronchus epithelium Moderate Regionally restricted euxassay_001177_09

Specimen euxassay_001177_10: embryonic day 14.5 (more )
Note: Additional information for this specimen was included in the Eurexpress data submission file.
Structure Level Pattern Image Note
TS23: liver lobe Moderate Graded euxassay_001177_10
TS23: renal calyx Weak Regionally restricted euxassay_001177_10
TS23: nasal capsule Weak Regionally restricted euxassay_001177_10
TS23: midgut Weak Regionally restricted euxassay_001177_10
TS23: embryo Weak Regionally restricted euxassay_001177_10
TS23: skin Present euxassay_001177_10
TS23: left lung lobar bronchus epithelium Moderate Regionally restricted euxassay_001177_10

Specimen euxassay_001177_11: embryonic day 14.5 (more )
Note: Additional information for this specimen was included in the Eurexpress data submission file.
Structure Level Pattern Image Note
TS23: liver lobe Moderate Graded euxassay_001177_11
TS23: renal calyx Weak Regionally restricted euxassay_001177_11
TS23: nasal capsule Weak Regionally restricted euxassay_001177_11
TS23: midgut Weak Regionally restricted euxassay_001177_11
TS23: embryo Weak Regionally restricted euxassay_001177_11
TS23: skin Present euxassay_001177_11
TS23: tongue Weak Regionally restricted euxassay_001177_11
TS23: larynx Moderate Regionally restricted euxassay_001177_11
TS23: left lung lobar bronchus epithelium Moderate Regionally restricted euxassay_001177_11

Specimen euxassay_001177_12: embryonic day 14.5 (more )
Note: Additional information for this specimen was included in the Eurexpress data submission file.
Structure Level Pattern Image Note
TS23: liver lobe Moderate Graded euxassay_001177_12
TS23: nasal capsule Weak Regionally restricted euxassay_001177_12
TS23: midgut Weak Regionally restricted euxassay_001177_12
TS23: embryo Weak Regionally restricted euxassay_001177_12
TS23: skin Present euxassay_001177_12
TS23: tongue Weak Regionally restricted euxassay_001177_12
TS23: larynx Moderate Regionally restricted euxassay_001177_12

Specimen euxassay_001177_13: embryonic day 14.5 (more )
Note: Additional information for this specimen was included in the Eurexpress data submission file.
Structure Level Pattern Image Note
TS23: liver lobe Moderate Graded euxassay_001177_13
TS23: nasal capsule Weak Regionally restricted euxassay_001177_13
TS23: anal canal Weak Regionally restricted euxassay_001177_13
TS23: trachea Moderate Regionally restricted euxassay_001177_13
TS23: midgut Weak Regionally restricted euxassay_001177_13
TS23: embryo Weak Regionally restricted euxassay_001177_13
TS23: skin Present euxassay_001177_13
TS23: tongue Weak Regionally restricted euxassay_001177_13
TS23: larynx Moderate Regionally restricted euxassay_001177_13

Specimen euxassay_001177_14: embryonic day 14.5 (more )
Note: Additional information for this specimen was included in the Eurexpress data submission file.
Structure Level Pattern Image Note
TS23: liver lobe Moderate Graded euxassay_001177_14
TS23: nasal capsule Weak Regionally restricted euxassay_001177_14
TS23: anal canal Weak Regionally restricted euxassay_001177_14
TS23: trachea Moderate Regionally restricted euxassay_001177_14
TS23: midgut Weak Regionally restricted euxassay_001177_14
TS23: embryo Weak Regionally restricted euxassay_001177_14
TS23: skin Present euxassay_001177_14
TS23: tongue Weak Regionally restricted euxassay_001177_14
TS23: larynx Moderate Regionally restricted euxassay_001177_14

Specimen euxassay_001177_15: embryonic day 14.5 (more )
Note: Additional information for this specimen was included in the Eurexpress data submission file.
Structure Level Pattern Image Note
TS23: liver lobe Moderate Graded euxassay_001177_15
TS23: nasal capsule Weak Regionally restricted euxassay_001177_15
TS23: trachea Moderate Regionally restricted euxassay_001177_15
TS23: midgut Weak Regionally restricted euxassay_001177_15
TS23: embryo Weak Regionally restricted euxassay_001177_15
TS23: skin Present euxassay_001177_15
TS23: tongue Weak Regionally restricted euxassay_001177_15

Specimen euxassay_001177_16: embryonic day 14.5 (more )
Note: Additional information for this specimen was included in the Eurexpress data submission file.
Structure Level Pattern Image Note
TS23: liver lobe Moderate Graded euxassay_001177_16
TS23: nasal capsule Weak Regionally restricted euxassay_001177_16
TS23: midgut Weak Regionally restricted euxassay_001177_16
TS23: embryo Weak Regionally restricted euxassay_001177_16
TS23: skin Present euxassay_001177_16
TS23: tongue Weak Regionally restricted euxassay_001177_16

Specimen euxassay_001177_17: embryonic day 14.5 (more )
Note: Additional information for this specimen was included in the Eurexpress data submission file.
Structure Level Pattern Image Note
TS23: liver lobe Moderate Graded euxassay_001177_17
TS23: vestibulo-cochlear ganglion Weak Regionally restricted euxassay_001177_17
TS23: nasal capsule Weak Regionally restricted euxassay_001177_17
TS23: midgut Weak Regionally restricted euxassay_001177_17
TS23: embryo Weak Regionally restricted euxassay_001177_17
TS23: skin Present euxassay_001177_17

Specimen euxassay_001177_18: embryonic day 14.5 (more )
Note: Additional information for this specimen was included in the Eurexpress data submission file.
Structure Level Pattern Image Note
TS23: liver lobe Moderate Graded euxassay_001177_18
TS23: renal calyx Weak Regionally restricted euxassay_001177_18
TS23: vestibulo-cochlear ganglion Weak Regionally restricted euxassay_001177_18
TS23: nasal capsule Weak Regionally restricted euxassay_001177_18
TS23: midgut Weak Regionally restricted euxassay_001177_18
TS23: embryo Weak Regionally restricted euxassay_001177_18
TS23: skin Present euxassay_001177_18

Specimen euxassay_001177_19: embryonic day 14.5 (more )
Note: Additional information for this specimen was included in the Eurexpress data submission file.
Structure Level Pattern Image Note
TS23: liver lobe Moderate Graded euxassay_001177_19
TS23: renal calyx Weak Regionally restricted euxassay_001177_19
TS23: vestibulo-cochlear ganglion Weak Regionally restricted euxassay_001177_19
TS23: nasal capsule Weak Regionally restricted euxassay_001177_19
TS23: embryo Weak Regionally restricted euxassay_001177_19
TS23: skin Present euxassay_001177_19

Specimen euxassay_001177_20: embryonic day 14.5 (more )
Note: Additional information for this specimen was included in the Eurexpress data submission file.
Structure Level Pattern Image Note
TS23: liver lobe Moderate Graded euxassay_001177_20
TS23: renal calyx Weak Regionally restricted euxassay_001177_20
TS23: nasal capsule Weak Regionally restricted euxassay_001177_20
TS23: embryo Weak Regionally restricted euxassay_001177_20
TS23: skin Present euxassay_001177_20

Specimen euxassay_001177_21: embryonic day 14.5 (more )
Note: Additional information for this specimen was included in the Eurexpress data submission file.
Structure Level Pattern Image Note
TS23: liver lobe Moderate Graded euxassay_001177_21
TS23: renal calyx Weak Regionally restricted euxassay_001177_21
TS23: embryo Weak Regionally restricted euxassay_001177_21
TS23: skin Present euxassay_001177_21

Specimen euxassay_001177_22: embryonic day 14.5 (more )
Note: Additional information for this specimen was included in the Eurexpress data submission file.
Structure Level Pattern Image Note
TS23: liver lobe Moderate Graded euxassay_001177_22
TS23: embryo Weak Regionally restricted euxassay_001177_22
TS23: skin Present euxassay_001177_22

Specimen euxassay_001177_23: embryonic day 14.5 (more )
Note: Additional information for this specimen was included in the Eurexpress data submission file.
Structure Level Pattern Image Note
TS23: liver lobe Moderate Graded euxassay_001177_23
TS23: embryo Weak Regionally restricted euxassay_001177_23
TS23: skin Present euxassay_001177_23

Specimen euxassay_001177_24: embryonic day 14.5 (more )
Note: Additional information for this specimen was included in the Eurexpress data submission file.
Structure Level Pattern Image Note
TS23: liver lobe Moderate Graded euxassay_001177_24
TS23: embryo Weak Regionally restricted euxassay_001177_24
TS23: skin Present euxassay_001177_24


Contributing Projects:
Mouse Genome Database (MGD), Gene Expression Database (GXD), Mouse Models of Human Cancer database (MMHCdb) (formerly Mouse Tumor Biology (MTB)), Gene Ontology (GO)
Citing These Resources
Funding Information
Warranty Disclaimer, Privacy Notice, Licensing, & Copyright
Send questions and comments to User Support.
last database update
01/06/2026
MGI 6.24
The Jackson Laboratory