About   Help   FAQ
Gene Expression Data
Assay Details
Assay
Reference: J:153498 Diez-Roux G, et al., A high-resolution anatomical atlas of the transcriptome in the mouse embryo. PLoS Biol. 2011;9(1):e1000582
Assay type: RNA in situ
MGI Accession ID: MGI:4829071
Gene symbol: Uchl5
Gene name: ubiquitin carboxyl-terminal esterase L5
Probe: T31636
Probe preparation: Antisense labelled with digoxigenin RNA
Visualized with: Alkaline phosphatase
Assay notes: Cryosections of fresh frozen material were fixed in 4% paraformaldehyde for 20 min. before further processing. A tyramide-biotin/streptavidin amplification step was included in the in situ hybridization procedure.
Results
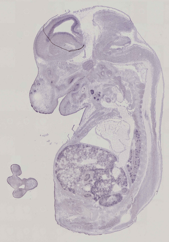
Specimen euxassay_011648_01: embryonic day 14.5 (more )
Structure Level Pattern Image Note
TS23: liver lobe Strong Regionally restricted euxassay_011648_01
TS23: telencephalon ventricular layer Weak Uniform euxassay_011648_01

Specimen euxassay_011648_02: embryonic day 14.5 (more )
Structure Level Pattern Image Note
TS23: liver lobe Strong Regionally restricted euxassay_011648_02
TS23: mandible Weak Regionally restricted euxassay_011648_02
TS23: telencephalon ventricular layer Moderate Uniform euxassay_011648_02

Specimen euxassay_011648_03: embryonic day 14.5 (more )
Structure Level Pattern Image Note
TS23: liver lobe Strong Regionally restricted euxassay_011648_03
TS23: vibrissa Moderate Regionally restricted euxassay_011648_03
TS23: mandible Weak Regionally restricted euxassay_011648_03
TS23: telencephalon ventricular layer Moderate Uniform euxassay_011648_03
TS23: orbito-sphenoid Weak Regionally restricted euxassay_011648_03

Specimen euxassay_011648_04: embryonic day 14.5 (more )
Structure Level Pattern Image Note
TS23: liver lobe Strong Regionally restricted euxassay_011648_04
TS23: vibrissa Moderate Regionally restricted euxassay_011648_04
TS23: mandible Weak Regionally restricted euxassay_011648_04
TS23: midgut Weak Regionally restricted euxassay_011648_04
TS23: telencephalon ventricular layer Moderate Uniform euxassay_011648_04
TS23: orbito-sphenoid Weak Regionally restricted euxassay_011648_04

Specimen euxassay_011648_05: embryonic day 14.5 (more )
Structure Level Pattern Image Note
TS23: liver lobe Strong Regionally restricted euxassay_011648_05
TS23: vibrissa Moderate Regionally restricted euxassay_011648_05
TS23: upper jaw molar Moderate Regionally restricted euxassay_011648_05
TS23: midgut Weak Regionally restricted euxassay_011648_05
TS23: stomach Weak Regionally restricted euxassay_011648_05
TS23: telencephalon ventricular layer Moderate Uniform euxassay_011648_05
TS23: lung Weak Regionally restricted euxassay_011648_05

Specimen euxassay_011648_06: embryonic day 14.5 (more )
Structure Level Pattern Image Note
TS23: liver lobe Strong Regionally restricted euxassay_011648_06
TS23: submandibular gland primordium Strong Regionally restricted euxassay_011648_06
TS23: olfactory epithelium Weak Regionally restricted euxassay_011648_06
TS23: testis Weak Regionally restricted euxassay_011648_06
TS23: lower jaw molar Moderate Regionally restricted euxassay_011648_06
TS23: midgut Weak Regionally restricted euxassay_011648_06
TS23: stomach Weak Regionally restricted euxassay_011648_06
TS23: telencephalon ventricular layer Moderate Uniform euxassay_011648_06
TS23: lung Weak Regionally restricted euxassay_011648_06

Specimen euxassay_011648_07: embryonic day 14.5 (more )
Structure Level Pattern Image Note
TS23: liver lobe Strong Regionally restricted euxassay_011648_07
TS23: submandibular gland primordium Strong Regionally restricted euxassay_011648_07
TS23: olfactory epithelium Weak Regionally restricted euxassay_011648_07
TS23: testis Weak Regionally restricted euxassay_011648_07
TS23: mandible Weak Regionally restricted euxassay_011648_07
TS23: midgut Weak Regionally restricted euxassay_011648_07
TS23: stomach Weak Regionally restricted euxassay_011648_07
TS23: telencephalon ventricular layer Moderate Uniform euxassay_011648_07
TS23: lung Weak Regionally restricted euxassay_011648_07

Specimen euxassay_011648_08: embryonic day 14.5 (more )
Structure Level Pattern Image Note
TS23: liver lobe Strong Regionally restricted euxassay_011648_08
TS23: submandibular gland primordium Strong Regionally restricted euxassay_011648_08
TS23: olfactory epithelium Weak Regionally restricted euxassay_011648_08
TS23: testis Weak Regionally restricted euxassay_011648_08
TS23: renal cortex Moderate Regionally restricted euxassay_011648_08
TS23: mandible Weak Regionally restricted euxassay_011648_08
TS23: stomach Weak Regionally restricted euxassay_011648_08
TS23: midgut Weak Regionally restricted euxassay_011648_08
TS23: telencephalon ventricular layer Moderate Uniform euxassay_011648_08
TS23: olfactory cortex ventricular layer Moderate Uniform euxassay_011648_08
TS23: lung Weak Regionally restricted euxassay_011648_08

Specimen euxassay_011648_09: embryonic day 14.5 (more )
Structure Level Pattern Image Note
TS23: liver lobe Strong Regionally restricted euxassay_011648_09
TS23: submandibular gland primordium Strong Regionally restricted euxassay_011648_09
TS23: olfactory epithelium Weak Regionally restricted euxassay_011648_09
TS23: naris Weak Regionally restricted euxassay_011648_09
TS23: testis Weak Regionally restricted euxassay_011648_09
TS23: pancreas Moderate Regionally restricted euxassay_011648_09
TS23: renal cortex Moderate Regionally restricted euxassay_011648_09
TS23: upper jaw incisor Weak Regionally restricted euxassay_011648_09
TS23: lower jaw incisor Weak Regionally restricted euxassay_011648_09
TS23: stomach Weak Regionally restricted euxassay_011648_09
TS23: midgut Weak Regionally restricted euxassay_011648_09
TS23: telencephalon ventricular layer Moderate Uniform euxassay_011648_09
TS23: olfactory cortex ventricular layer Moderate Uniform euxassay_011648_09
TS23: midbrain ventricular layer Weak Regionally restricted euxassay_011648_09
TS23: lung Weak Regionally restricted euxassay_011648_09

Specimen euxassay_011648_10: embryonic day 14.5 (more )
Structure Level Pattern Image Note
TS23: liver lobe Strong Regionally restricted euxassay_011648_10
TS23: sublingual gland primordium Strong Regionally restricted euxassay_011648_10
TS23: olfactory epithelium Weak Regionally restricted euxassay_011648_10
TS23: naris Weak Regionally restricted euxassay_011648_10
TS23: vomeronasal organ Weak Regionally restricted euxassay_011648_10
TS23: pancreas Moderate Regionally restricted euxassay_011648_10
TS23: renal cortex Moderate Regionally restricted euxassay_011648_10
TS23: upper jaw incisor Moderate Regionally restricted euxassay_011648_10
TS23: lower jaw incisor Moderate Regionally restricted euxassay_011648_10
TS23: midgut Weak Regionally restricted euxassay_011648_10
TS23: stomach Weak Regionally restricted euxassay_011648_10
TS23: midbrain ventricular layer Moderate Regionally restricted euxassay_011648_10
TS23: lung Weak Regionally restricted euxassay_011648_10

Specimen euxassay_011648_11: embryonic day 14.5 (more )
Structure Level Pattern Image Note
TS23: liver lobe Strong Regionally restricted euxassay_011648_11
TS23: olfactory epithelium Weak Regionally restricted euxassay_011648_11
TS23: naris Weak Regionally restricted euxassay_011648_11
TS23: pancreas Moderate Regionally restricted euxassay_011648_11
TS23: renal cortex Moderate Regionally restricted euxassay_011648_11
TS23: upper jaw incisor Moderate Regionally restricted euxassay_011648_11
TS23: lower jaw incisor Moderate Regionally restricted euxassay_011648_11
TS23: midgut Weak Regionally restricted euxassay_011648_11
TS23: midbrain ventricular layer Moderate Regionally restricted euxassay_011648_11
TS23: lung Moderate Regionally restricted euxassay_011648_11

Specimen euxassay_011648_12: embryonic day 14.5 (more )
Structure Level Pattern Image Note
TS23: liver lobe Strong Regionally restricted euxassay_011648_12
TS23: thymus primordium Strong Regionally restricted euxassay_011648_12
TS23: pancreas Moderate Regionally restricted euxassay_011648_12
TS23: renal cortex Moderate Regionally restricted euxassay_011648_12
TS23: midgut Weak Regionally restricted euxassay_011648_12
TS23: telencephalon ventricular layer Moderate Uniform euxassay_011648_12
TS23: midbrain ventricular layer Moderate Regionally restricted euxassay_011648_12
TS23: bladder fundus Weak Regionally restricted euxassay_011648_12
TS23: lung Moderate Regionally restricted euxassay_011648_12

Specimen euxassay_011648_13: embryonic day 14.5 (more )
Structure Level Pattern Image Note
TS23: liver lobe Strong Regionally restricted euxassay_011648_13
TS23: thymus primordium Strong Regionally restricted euxassay_011648_13
TS23: olfactory epithelium Weak Regionally restricted euxassay_011648_13
TS23: vomeronasal organ Weak Regionally restricted euxassay_011648_13
TS23: pancreas Strong Regionally restricted euxassay_011648_13
TS23: midgut Moderate Regionally restricted euxassay_011648_13
TS23: rectum Weak Regionally restricted euxassay_011648_13
TS23: olfactory cortex ventricular layer Moderate Uniform euxassay_011648_13
TS23: telencephalon ventricular layer Moderate Uniform euxassay_011648_13
TS23: midbrain ventricular layer Moderate Regionally restricted euxassay_011648_13
TS23: bladder fundus Weak Regionally restricted euxassay_011648_13
TS23: urethra Weak Regionally restricted euxassay_011648_13 Originally this result was annotated to a male-specific term, but as the specimen was not sexed, it is likely the data annotator intended to use a non-sex specific term.
TS23: lung Moderate Regionally restricted euxassay_011648_13

Specimen euxassay_011648_14: embryonic day 14.5 (more )
Structure Level Pattern Image Note
TS23: liver lobe Strong Regionally restricted euxassay_011648_14
TS23: thymus primordium Strong Regionally restricted euxassay_011648_14
TS23: upper jaw incisor Moderate Regionally restricted euxassay_011648_14
TS23: lower jaw incisor Moderate Regionally restricted euxassay_011648_14
TS23: midgut Moderate Regionally restricted euxassay_011648_14
TS23: telencephalon ventricular layer Moderate Uniform euxassay_011648_14
TS23: olfactory cortex ventricular layer Moderate Uniform euxassay_011648_14
TS23: midbrain ventricular layer Moderate Regionally restricted euxassay_011648_14
TS23: urethra Weak Regionally restricted euxassay_011648_14 Originally this result was annotated to a male-specific term, but as the specimen was not sexed, it is likely the data annotator intended to use a non-sex specific term.

Specimen euxassay_011648_15: embryonic day 14.5 (more )
Structure Level Pattern Image Note
TS23: liver lobe Strong Regionally restricted euxassay_011648_15
TS23: thymus primordium Strong Regionally restricted euxassay_011648_15
TS23: olfactory epithelium Weak Regionally restricted euxassay_011648_15
TS23: upper jaw incisor Moderate Regionally restricted euxassay_011648_15
TS23: lower jaw incisor Moderate Regionally restricted euxassay_011648_15
TS23: midgut Moderate Regionally restricted euxassay_011648_15
TS23: telencephalon ventricular layer Moderate Uniform euxassay_011648_15
TS23: midbrain ventricular layer Moderate Regionally restricted euxassay_011648_15

Specimen euxassay_011648_16: embryonic day 14.5 (more )
Structure Level Pattern Image Note
TS23: liver lobe Strong Regionally restricted euxassay_011648_16
TS23: sublingual gland primordium Strong Regionally restricted euxassay_011648_16
TS23: thymus primordium Strong Regionally restricted euxassay_011648_16
TS23: olfactory epithelium Moderate Regionally restricted euxassay_011648_16
TS23: pancreas Strong Regionally restricted euxassay_011648_16
TS23: midgut Moderate Regionally restricted euxassay_011648_16
TS23: telencephalon ventricular layer Moderate Uniform euxassay_011648_16
TS23: midbrain ventricular layer Moderate Regionally restricted euxassay_011648_16
TS23: lung Moderate Regionally restricted euxassay_011648_16

Specimen euxassay_011648_17: embryonic day 14.5 (more )
Structure Level Pattern Image Note
TS23: liver lobe Strong Regionally restricted euxassay_011648_17
TS23: submandibular gland primordium Strong Regionally restricted euxassay_011648_17
TS23: olfactory epithelium Moderate Regionally restricted euxassay_011648_17
TS23: telencephalon ventricular layer Moderate Uniform euxassay_011648_17
TS23: midbrain ventricular layer Weak Regionally restricted euxassay_011648_17
TS23: lung Moderate Regionally restricted euxassay_011648_17

Specimen euxassay_011648_18: embryonic day 14.5 (more )
Structure Level Pattern Image Note
TS23: liver lobe Strong Regionally restricted euxassay_011648_18
TS23: submandibular gland primordium Strong Regionally restricted euxassay_011648_18
TS23: vibrissa Moderate Regionally restricted euxassay_011648_18
TS23: renal cortex Moderate Regionally restricted euxassay_011648_18
TS23: upper jaw molar Weak Regionally restricted euxassay_011648_18
TS23: lower jaw molar Weak Regionally restricted euxassay_011648_18
TS23: telencephalon ventricular layer Moderate Uniform euxassay_011648_18
TS23: lung Moderate Regionally restricted euxassay_011648_18

Specimen euxassay_011648_19: embryonic day 14.5 (more )
Structure Level Pattern Image Note
TS23: liver lobe Strong Regionally restricted euxassay_011648_19
TS23: submandibular gland primordium Strong Regionally restricted euxassay_011648_19
TS23: vibrissa Moderate Regionally restricted euxassay_011648_19
TS23: renal cortex Moderate Regionally restricted euxassay_011648_19
TS23: upper jaw molar Weak Regionally restricted euxassay_011648_19
TS23: lower jaw molar Weak Regionally restricted euxassay_011648_19
TS23: telencephalon ventricular layer Moderate Uniform euxassay_011648_19
TS23: lung Moderate Regionally restricted euxassay_011648_19

Specimen euxassay_011648_20: embryonic day 14.5 (more )
Structure Level Pattern Image Note
TS23: liver lobe Strong Regionally restricted euxassay_011648_20
TS23: submandibular gland primordium Strong Regionally restricted euxassay_011648_20
TS23: vibrissa Moderate Regionally restricted euxassay_011648_20
TS23: testis Weak Regionally restricted euxassay_011648_20
TS23: renal cortex Moderate Regionally restricted euxassay_011648_20
TS23: mandible Weak Regionally restricted euxassay_011648_20
TS23: telencephalon ventricular layer Weak Uniform euxassay_011648_20
TS23: lung Moderate Regionally restricted euxassay_011648_20
TS23: orbito-sphenoid Moderate Regionally restricted euxassay_011648_20

Specimen euxassay_011648_21: embryonic day 14.5 (more )
Structure Level Pattern Image Note
TS23: liver lobe Strong Regionally restricted euxassay_011648_21
TS23: testis Weak Regionally restricted euxassay_011648_21
TS23: renal cortex Moderate Regionally restricted euxassay_011648_21
TS23: mandible Weak Regionally restricted euxassay_011648_21
TS23: telencephalon ventricular layer Weak Uniform euxassay_011648_21
TS23: lung Moderate Regionally restricted euxassay_011648_21
TS23: orbito-sphenoid Weak Regionally restricted euxassay_011648_21


Contributing Projects:
Mouse Genome Database (MGD), Gene Expression Database (GXD), Mouse Models of Human Cancer database (MMHCdb) (formerly Mouse Tumor Biology (MTB)), Gene Ontology (GO)
Citing These Resources
Funding Information
Warranty Disclaimer, Privacy Notice, Licensing, & Copyright
Send questions and comments to User Support.
last database update
01/06/2026
MGI 6.24
The Jackson Laboratory