About   Help   FAQ
Gene Expression Data
Assay Details
Assay
Reference: J:153498 Diez-Roux G, et al., A high-resolution anatomical atlas of the transcriptome in the mouse embryo. PLoS Biol. 2011;9(1):e1000582
Assay type: RNA in situ
MGI Accession ID: MGI:4829059
Gene symbol: Ube4a
Gene name: ubiquitination factor E4A
Probe: IMAGE clone 1972320
Probe preparation: Antisense labelled with digoxigenin RNA
Visualized with: Alkaline phosphatase
Assay notes: Cryosections of fresh frozen material were fixed in 4% paraformaldehyde for 20 min. before further processing. A tyramide-biotin/streptavidin amplification step was included in the in situ hybridization procedure.
Results
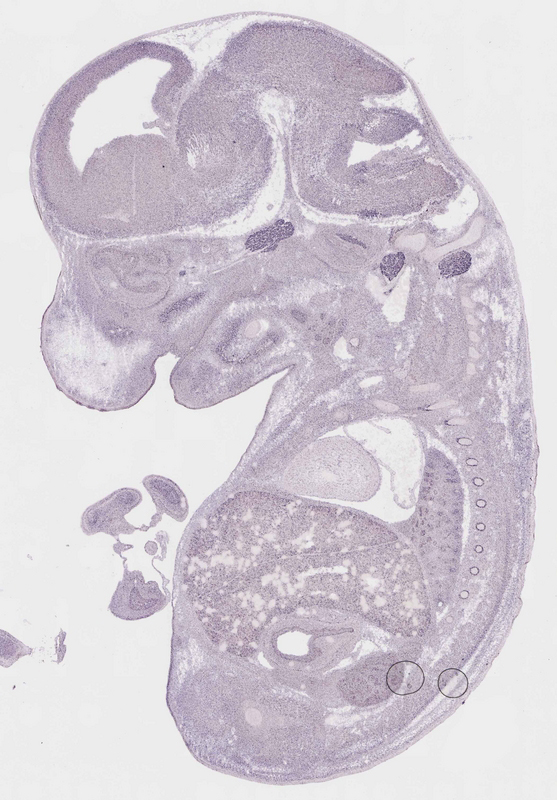
Specimen euxassay_002756_01: embryonic day 14.5 (more )
Structure Level Pattern Image Note
TS23: trigeminal ganglion Moderate Regionally restricted euxassay_002756_01

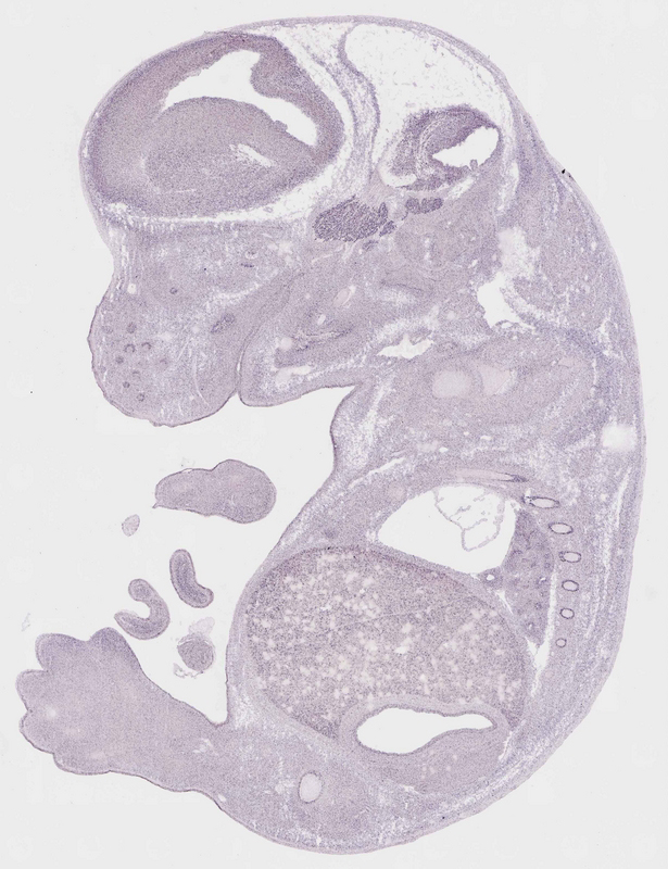
Specimen euxassay_002756_02: embryonic day 14.5 (more )
Structure Level Pattern Image Note
TS23: trigeminal ganglion Moderate Regionally restricted euxassay_002756_02

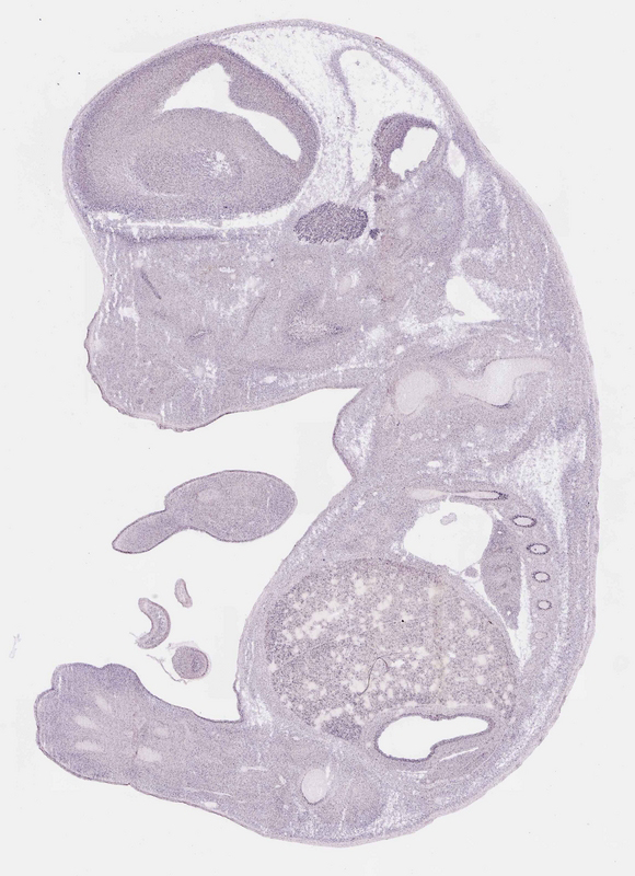
Specimen euxassay_002756_03: embryonic day 14.5 (more )
Structure Level Pattern Image Note
TS23: trigeminal ganglion Moderate Regionally restricted euxassay_002756_03
TS23: facial ganglion Moderate Regionally restricted euxassay_002756_03
TS23: vibrissa Weak Regionally restricted euxassay_002756_03

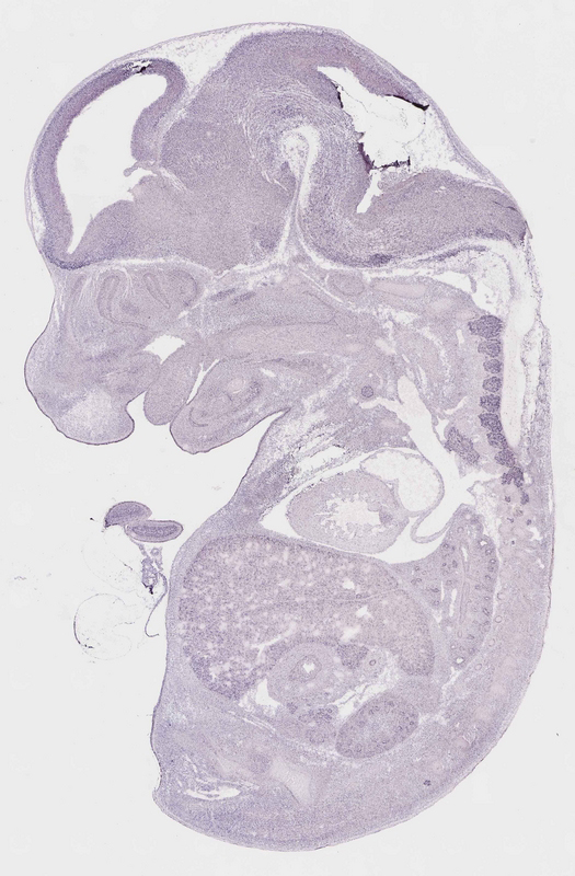
Specimen euxassay_002756_04: embryonic day 14.5 (more )
Structure Level Pattern Image Note
TS23: trigeminal ganglion Moderate Regionally restricted euxassay_002756_04
TS23: facial ganglion Moderate Regionally restricted euxassay_002756_04
TS23: vibrissa Weak Regionally restricted euxassay_002756_04

Specimen euxassay_002756_05: embryonic day 14.5 (more )
Structure Level Pattern Image Note
TS23: vestibulo-cochlear ganglion Moderate Regionally restricted euxassay_002756_05
TS23: glossopharyngeal ganglion Moderate Regionally restricted euxassay_002756_05
TS23: trigeminal ganglion Moderate Regionally restricted euxassay_002756_05
TS23: vibrissa Moderate Regionally restricted euxassay_002756_05

Specimen euxassay_002756_06: embryonic day 14.5 (more )
Structure Level Pattern Image Note
TS23: trigeminal ganglion Moderate Regionally restricted euxassay_002756_06
TS23: vestibulo-cochlear ganglion Moderate Regionally restricted euxassay_002756_06
TS23: vagus ganglion Moderate Regionally restricted euxassay_002756_06
TS23: dorsal root ganglion Moderate Regionally restricted euxassay_002756_06

Specimen euxassay_002756_07: embryonic day 14.5 (more )
Structure Level Pattern Image Note
TS23: vagus ganglion Moderate Regionally restricted euxassay_002756_07
TS23: trigeminal ganglion Moderate Regionally restricted euxassay_002756_07
TS23: dorsal root ganglion Moderate Regionally restricted euxassay_002756_07

Specimen euxassay_002756_08: embryonic day 14.5 (more )
Structure Level Pattern Image Note
TS23: dorsal root ganglion Moderate Regionally restricted euxassay_002756_08

Specimen euxassay_002756_09: embryonic day 14.5 (more )
Structure Level Pattern Image Note
TS23: dorsal root ganglion Moderate Regionally restricted euxassay_002756_09

Specimen euxassay_002756_10: embryonic day 14.5 (more )
Structure Level Pattern Image Note
TS23: dorsal root ganglion Moderate Regionally restricted euxassay_002756_10

Specimen euxassay_002756_15: embryonic day 14.5 (more )
Structure Level Pattern Image Note
TS23: vagus ganglion Moderate Regionally restricted euxassay_002756_15
TS23: trigeminal ganglion Moderate Regionally restricted euxassay_002756_15
TS23: vestibulo-cochlear ganglion Moderate Regionally restricted euxassay_002756_15
TS23: dorsal root ganglion Moderate Regionally restricted euxassay_002756_15

Specimen euxassay_002756_16: embryonic day 14.5 (more )
Structure Level Pattern Image Note
TS23: glossopharyngeal ganglion Moderate Regionally restricted euxassay_002756_16
TS23: trigeminal ganglion Moderate Regionally restricted euxassay_002756_16
TS23: vestibulo-cochlear ganglion Moderate Regionally restricted euxassay_002756_16
TS23: dorsal root ganglion Moderate Regionally restricted euxassay_002756_16

Specimen euxassay_002756_17: embryonic day 14.5 (more )
Structure Level Pattern Image Note
TS23: vestibulo-cochlear ganglion Moderate Regionally restricted euxassay_002756_17
TS23: trigeminal ganglion Moderate Regionally restricted euxassay_002756_17
TS23: vibrissa Moderate Regionally restricted euxassay_002756_17

Specimen euxassay_002756_18: embryonic day 14.5 (more )
Structure Level Pattern Image Note
TS23: trigeminal ganglion Moderate Regionally restricted euxassay_002756_18
TS23: facial ganglion Moderate Regionally restricted euxassay_002756_18
TS23: vibrissa Moderate Regionally restricted euxassay_002756_18

Specimen euxassay_002756_19: embryonic day 14.5 (more )
Structure Level Pattern Image Note
TS23: trigeminal ganglion Moderate Regionally restricted euxassay_002756_19
TS23: facial ganglion Moderate Regionally restricted euxassay_002756_19
TS23: vibrissa Moderate Regionally restricted euxassay_002756_19

Specimen euxassay_002756_20: embryonic day 14.5 (more )
Structure Level Pattern Image Note
TS23: trigeminal ganglion Moderate Regionally restricted euxassay_002756_20


Contributing Projects:
Mouse Genome Database (MGD), Gene Expression Database (GXD), Mouse Models of Human Cancer database (MMHCdb) (formerly Mouse Tumor Biology (MTB)), Gene Ontology (GO)
Citing These Resources
Funding Information
Warranty Disclaimer, Privacy Notice, Licensing, & Copyright
Send questions and comments to User Support.
last database update
01/28/2026
MGI 6.24
The Jackson Laboratory