About   Help   FAQ
Gene Expression Data
Assay Details
Assay
Reference: J:153498 Diez-Roux G, et al., A high-resolution anatomical atlas of the transcriptome in the mouse embryo. PLoS Biol. 2011;9(1):e1000582
Assay type: RNA in situ
MGI Accession ID: MGI:4829036
Gene symbol: Txnrd2
Gene name: thioredoxin reductase 2
Probe: MGC clone 59306
Probe preparation: Antisense labelled with digoxigenin RNA
Visualized with: Alkaline phosphatase
Assay notes: Cryosections of fresh frozen material were fixed in 4% paraformaldehyde for 20 min. before further processing. A tyramide-biotin/streptavidin amplification step was included in the in situ hybridization procedure.
Results
Specimen euxassay_004191_01: embryonic day 14.5 (more )
Structure Level Pattern Image Note
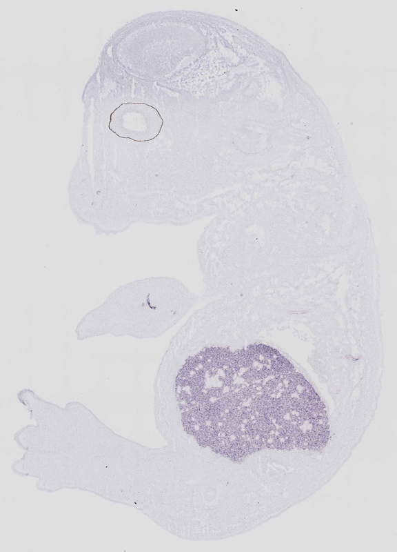
TS23: liver left lobe Strong Regionally restricted euxassay_004191_01

Specimen euxassay_004191_02: embryonic day 14.5 (more )
Structure Level Pattern Image Note
TS23: liver left lobe Strong Regionally restricted euxassay_004191_02

Specimen euxassay_004191_03: embryonic day 14.5 (more )
Structure Level Pattern Image Note
TS23: liver left lobe Strong Regionally restricted euxassay_004191_03

Specimen euxassay_004191_04: embryonic day 14.5 (more )
Structure Level Pattern Image Note
TS23: liver left lobe Strong Regionally restricted euxassay_004191_04

Specimen euxassay_004191_05: embryonic day 14.5 (more )
Structure Level Pattern Image Note
TS23: liver left lobe Strong Regionally restricted euxassay_004191_05

Specimen euxassay_004191_06: embryonic day 14.5 (more )
Structure Level Pattern Image Note
TS23: liver left lobe Strong Regionally restricted euxassay_004191_06

Specimen euxassay_004191_07: embryonic day 14.5 (more )
Structure Level Pattern Image Note
TS23: liver left lobe Strong Regionally restricted euxassay_004191_07

Specimen euxassay_004191_08: embryonic day 14.5 (more )
Structure Level Pattern Image Note
TS23: liver left lobe Strong Regionally restricted euxassay_004191_08

Specimen euxassay_004191_09: embryonic day 14.5 (more )
Structure Level Pattern Image Note
TS23: liver left lobe Strong Regionally restricted euxassay_004191_09

Specimen euxassay_004191_10: embryonic day 14.5 (more )
Structure Level Pattern Image Note
TS23: liver left lobe Strong Regionally restricted euxassay_004191_10

Specimen euxassay_004191_11: embryonic day 14.5 (more )
Structure Level Pattern Image Note
TS23: liver left lobe Strong Regionally restricted euxassay_004191_11

Specimen euxassay_004191_12: embryonic day 14.5 (more )
Structure Level Pattern Image Note
TS23: liver left lobe Strong Regionally restricted euxassay_004191_12

Specimen euxassay_004191_13: embryonic day 14.5 (more )
Structure Level Pattern Image Note
TS23: liver right lobe Strong Regionally restricted euxassay_004191_13

Specimen euxassay_004191_14: embryonic day 14.5 (more )
Structure Level Pattern Image Note
TS23: liver right lobe Strong Regionally restricted euxassay_004191_14

Specimen euxassay_004191_15: embryonic day 14.5 (more )
Structure Level Pattern Image Note
TS23: liver right lobe Strong Regionally restricted euxassay_004191_15

Specimen euxassay_004191_16: embryonic day 14.5 (more )
Structure Level Pattern Image Note
TS23: liver right lobe Strong Regionally restricted euxassay_004191_16

Specimen euxassay_004191_17: embryonic day 14.5 (more )
Structure Level Pattern Image Note
TS23: liver right lobe Strong Regionally restricted euxassay_004191_17

Specimen euxassay_004191_18: embryonic day 14.5 (more )
Structure Level Pattern Image Note
TS23: liver right lobe Strong Regionally restricted euxassay_004191_18

Specimen euxassay_004191_19: embryonic day 14.5 (more )
Structure Level Pattern Image Note
TS23: liver right lobe Weak Regionally restricted euxassay_004191_19

Specimen euxassay_004191_20: embryonic day 14.5 (more )
Structure Level Pattern Image Note
TS23: liver right lobe Weak Regionally restricted euxassay_004191_20

Specimen euxassay_004191_21: embryonic day 14.5 (more )
Structure Level Pattern Image Note
TS23: liver right lobe Weak Regionally restricted euxassay_004191_21

Specimen euxassay_004191_22: embryonic day 14.5 (more )
Structure Level Pattern Image Note
TS23: liver right lobe Strong Regionally restricted euxassay_004191_22


Contributing Projects:
Mouse Genome Database (MGD), Gene Expression Database (GXD), Mouse Models of Human Cancer database (MMHCdb) (formerly Mouse Tumor Biology (MTB)), Gene Ontology (GO)
Citing These Resources
Funding Information
Warranty Disclaimer, Privacy Notice, Licensing, & Copyright
Send questions and comments to User Support.
last database update
03/24/2026
MGI 6.24
The Jackson Laboratory