About   Help   FAQ
Gene Expression Data
Assay Details
Assay
Reference: J:153498 Diez-Roux G, et al., A high-resolution anatomical atlas of the transcriptome in the mouse embryo. PLoS Biol. 2011;9(1):e1000582
Assay type: RNA in situ
MGI Accession ID: MGI:4829013
Gene symbol: Tubb6
Gene name: tubulin, beta 6 class V
Probe: IMAGE clone 1050784
Probe preparation: Antisense labelled with digoxigenin RNA
Visualized with: Alkaline phosphatase
Assay notes: Cryosections of fresh frozen material were fixed in 4% paraformaldehyde for 20 min. before further processing. A tyramide-biotin/streptavidin amplification step was included in the in situ hybridization procedure.
Results
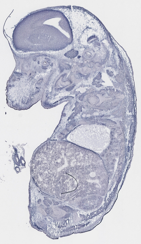
Specimen euxassay_002809_01: embryonic day 14.5 (more )
Structure Level Pattern Image Note
TS23: neural retina Strong Regionally restricted euxassay_002809_01

Specimen euxassay_002809_02: embryonic day 14.5 (more )
Structure Level Pattern Image Note
TS23: neural retina Strong Regionally restricted euxassay_002809_02

Specimen euxassay_002809_03: embryonic day 14.5 (more )
Structure Level Pattern Image Note
TS23: trigeminal ganglion Strong Regionally restricted euxassay_002809_03
TS23: neural retina Strong Regionally restricted euxassay_002809_03

Specimen euxassay_002809_04: embryonic day 14.5 (more )
Structure Level Pattern Image Note
TS23: trigeminal ganglion Strong Regionally restricted euxassay_002809_04
TS23: facial ganglion Strong Regionally restricted euxassay_002809_04

Specimen euxassay_002809_05: embryonic day 14.5 (more )
Structure Level Pattern Image Note
TS23: trigeminal ganglion Strong Regionally restricted euxassay_002809_05
TS23: facial ganglion Strong Regionally restricted euxassay_002809_05

Specimen euxassay_002809_06: embryonic day 14.5 (more )
Structure Level Pattern Image Note
TS23: trigeminal ganglion Strong Regionally restricted euxassay_002809_06
TS23: glossopharyngeal ganglion Strong Regionally restricted euxassay_002809_06
TS23: vestibulo-cochlear ganglion Strong Regionally restricted euxassay_002809_06

Specimen euxassay_002809_07: embryonic day 14.5 (more )
Structure Level Pattern Image Note
TS23: vestibulo-cochlear ganglion Strong Regionally restricted euxassay_002809_07
TS23: glossopharyngeal ganglion Strong Regionally restricted euxassay_002809_07
TS23: trigeminal ganglion Strong Regionally restricted euxassay_002809_07
TS23: dorsal root ganglion Strong Regionally restricted euxassay_002809_07

Specimen euxassay_002809_08: embryonic day 14.5 (more )
Structure Level Pattern Image Note
TS23: trigeminal ganglion Strong Regionally restricted euxassay_002809_08
TS23: vagus ganglion Strong Regionally restricted euxassay_002809_08
TS23: vestibulo-cochlear ganglion Strong Regionally restricted euxassay_002809_08
TS23: dorsal root ganglion Strong Regionally restricted euxassay_002809_08

Specimen euxassay_002809_09: embryonic day 14.5 (more )
Structure Level Pattern Image Note
TS23: trigeminal ganglion Strong Regionally restricted euxassay_002809_09
TS23: dorsal root ganglion Strong Regionally restricted euxassay_002809_09

Specimen euxassay_002809_10: embryonic day 14.5 (more )
Structure Level Pattern Image Note
TS23: dorsal root ganglion Strong Regionally restricted euxassay_002809_10
TS23: cervico-thoracic ganglion Moderate Regionally restricted euxassay_002809_10
TS23: olfactory epithelium Moderate Regionally restricted euxassay_002809_10

Specimen euxassay_002809_11: embryonic day 14.5 (more )
Structure Level Pattern Image Note
TS23: dorsal root ganglion Strong Regionally restricted euxassay_002809_11
TS23: cervico-thoracic ganglion Moderate Regionally restricted euxassay_002809_11
TS23: cervical ganglion Moderate Regionally restricted euxassay_002809_11
TS23: olfactory epithelium Moderate Regionally restricted euxassay_002809_11

Specimen euxassay_002809_12: embryonic day 14.5 (more )
Structure Level Pattern Image Note
TS23: dorsal root ganglion Strong Regionally restricted euxassay_002809_12
TS23: olfactory epithelium Moderate Regionally restricted euxassay_002809_12
TS23: tongue Moderate Regionally restricted euxassay_002809_12

Specimen euxassay_002809_13: embryonic day 14.5 (more )
Structure Level Pattern Image Note
TS23: dorsal root ganglion Strong Regionally restricted euxassay_002809_13
TS23: nucleus pulposus Moderate Regionally restricted euxassay_002809_13
TS23: olfactory epithelium Moderate Regionally restricted euxassay_002809_13
TS23: tongue Moderate Regionally restricted euxassay_002809_13

Specimen euxassay_002809_14: embryonic day 14.5 (more )
Structure Level Pattern Image Note
TS23: dorsal root ganglion Strong Regionally restricted euxassay_002809_14
TS23: nucleus pulposus Moderate Regionally restricted euxassay_002809_14
TS23: thoracic ganglion Strong Regionally restricted euxassay_002809_14
TS23: tongue Moderate Regionally restricted euxassay_002809_14

Specimen euxassay_002809_15: embryonic day 14.5 (more )
Structure Level Pattern Image Note
TS23: nucleus pulposus Moderate Regionally restricted euxassay_002809_15
TS23: thoracic ganglion Strong Regionally restricted euxassay_002809_15
TS23: cervical ganglion Moderate Regionally restricted euxassay_002809_15
TS23: olfactory epithelium Moderate Regionally restricted euxassay_002809_15
TS23: tongue Moderate Regionally restricted euxassay_002809_15

Specimen euxassay_002809_16: embryonic day 14.5 (more )
Structure Level Pattern Image Note
TS23: dorsal root ganglion Strong Regionally restricted euxassay_002809_16
TS23: nucleus pulposus Moderate Regionally restricted euxassay_002809_16
TS23: cervical ganglion Moderate Regionally restricted euxassay_002809_16
TS23: cervico-thoracic ganglion Moderate Regionally restricted euxassay_002809_16
TS23: olfactory epithelium Moderate Regionally restricted euxassay_002809_16
TS23: tongue Moderate Regionally restricted euxassay_002809_16

Specimen euxassay_002809_17: embryonic day 14.5 (more )
Structure Level Pattern Image Note
TS23: vestibulo-cochlear ganglion Strong Regionally restricted euxassay_002809_17
TS23: trigeminal ganglion Strong Regionally restricted euxassay_002809_17
TS23: vagus ganglion Strong Regionally restricted euxassay_002809_17
TS23: dorsal root ganglion Strong Regionally restricted euxassay_002809_17
TS23: olfactory epithelium Moderate Regionally restricted euxassay_002809_17
TS23: tongue Moderate Regionally restricted euxassay_002809_17

Specimen euxassay_002809_18: embryonic day 14.5 (more )
Structure Level Pattern Image Note
TS23: vestibulo-cochlear ganglion Strong Regionally restricted euxassay_002809_18
TS23: trigeminal ganglion Strong Regionally restricted euxassay_002809_18
TS23: glossopharyngeal ganglion Strong Regionally restricted euxassay_002809_18
TS23: dorsal root ganglion Strong Regionally restricted euxassay_002809_18
TS23: olfactory epithelium Moderate Regionally restricted euxassay_002809_18

Specimen euxassay_002809_19: embryonic day 14.5 (more )
Structure Level Pattern Image Note
TS23: vestibulo-cochlear ganglion Strong Regionally restricted euxassay_002809_19
TS23: trigeminal ganglion Strong Regionally restricted euxassay_002809_19
TS23: dorsal root ganglion Strong Regionally restricted euxassay_002809_19
TS23: olfactory epithelium Moderate Regionally restricted euxassay_002809_19

Specimen euxassay_002809_20: embryonic day 14.5 (more )
Structure Level Pattern Image Note
TS23: trigeminal ganglion Strong Regionally restricted euxassay_002809_20
TS23: facial ganglion Strong Regionally restricted euxassay_002809_20
TS23: olfactory epithelium Moderate Regionally restricted euxassay_002809_20

Specimen euxassay_002809_21: embryonic day 14.5 (more )
Structure Level Pattern Image Note
TS23: trigeminal ganglion Strong Regionally restricted euxassay_002809_21
TS23: facial ganglion Strong Regionally restricted euxassay_002809_21

Specimen euxassay_002809_22: embryonic day 14.5 (more )
Structure Level Pattern Image Note
TS23: trigeminal ganglion Strong Regionally restricted euxassay_002809_22
TS23: facial ganglion Strong Regionally restricted euxassay_002809_22

Specimen euxassay_002809_23: embryonic day 14.5 (more )
Structure Level Pattern Image Note
TS23: trigeminal ganglion Strong Regionally restricted euxassay_002809_23

Specimen euxassay_002809_24: embryonic day 14.5 (more )
Structure Level Pattern Image Note
TS23: neural retina Moderate Regionally restricted euxassay_002809_24


Contributing Projects:
Mouse Genome Database (MGD), Gene Expression Database (GXD), Mouse Models of Human Cancer database (MMHCdb) (formerly Mouse Tumor Biology (MTB)), Gene Ontology (GO)
Citing These Resources
Funding Information
Warranty Disclaimer, Privacy Notice, Licensing, & Copyright
Send questions and comments to User Support.
last database update
09/30/2025
MGI 6.24
The Jackson Laboratory