About   Help   FAQ
Gene Expression Data
Assay Details
Assay
Reference: J:153498 Diez-Roux G, et al., A high-resolution anatomical atlas of the transcriptome in the mouse embryo. PLoS Biol. 2011;9(1):e1000582
Assay type: RNA in situ
MGI Accession ID: MGI:4829006
Gene symbol: Tuba8
Gene name: tubulin, alpha 8
Probe: MGC clone 28850
Probe preparation: Antisense labelled with digoxigenin RNA
Visualized with: Alkaline phosphatase
Assay notes: Cryosections of fresh frozen material were fixed in 4% paraformaldehyde for 20 min. before further processing. A tyramide-biotin/streptavidin amplification step was included in the in situ hybridization procedure.
Results
Specimen euxassay_002986_03: embryonic day 14.5 (more )
Structure Level Pattern Image Note
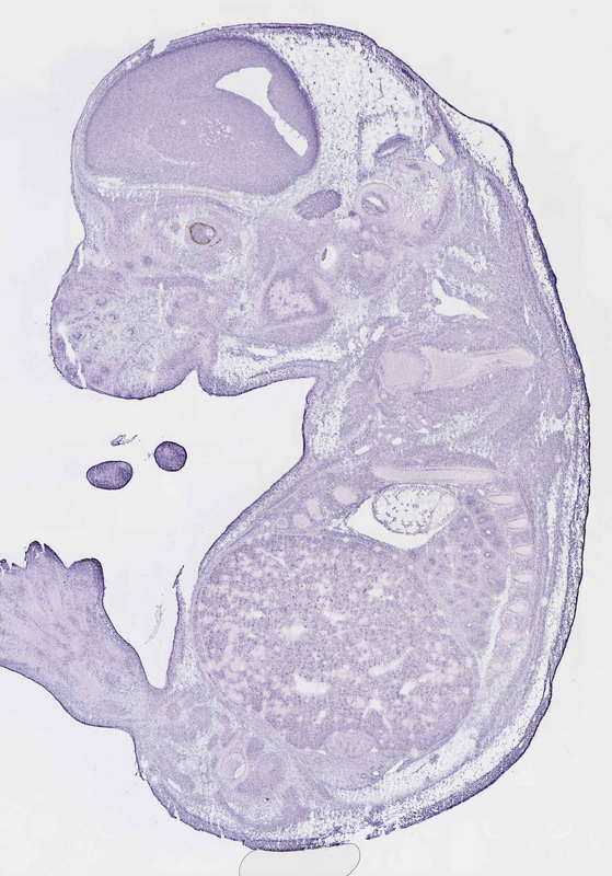
TS23: trigeminal ganglion Moderate Regionally restricted euxassay_002986_03

Specimen euxassay_002986_04: embryonic day 14.5 (more )
Structure Level Pattern Image Note
TS23: trigeminal ganglion Moderate Regionally restricted euxassay_002986_04
TS23: facial ganglion Moderate Regionally restricted euxassay_002986_04

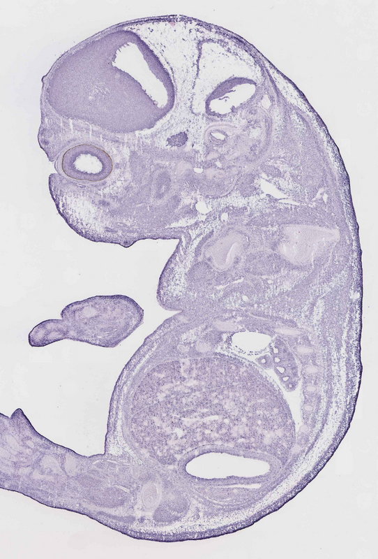
Specimen euxassay_002986_05: embryonic day 14.5 (more )
Structure Level Pattern Image Note
TS23: trigeminal ganglion Moderate Regionally restricted euxassay_002986_05
TS23: facial ganglion Moderate Regionally restricted euxassay_002986_05

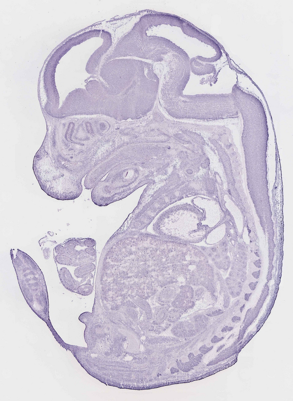
Specimen euxassay_002986_06: embryonic day 14.5 (more )
Structure Level Pattern Image Note
TS23: trigeminal ganglion Moderate Regionally restricted euxassay_002986_06
TS23: glossopharyngeal ganglion Moderate Regionally restricted euxassay_002986_06
TS23: dorsal root ganglion Moderate Regionally restricted euxassay_002986_06

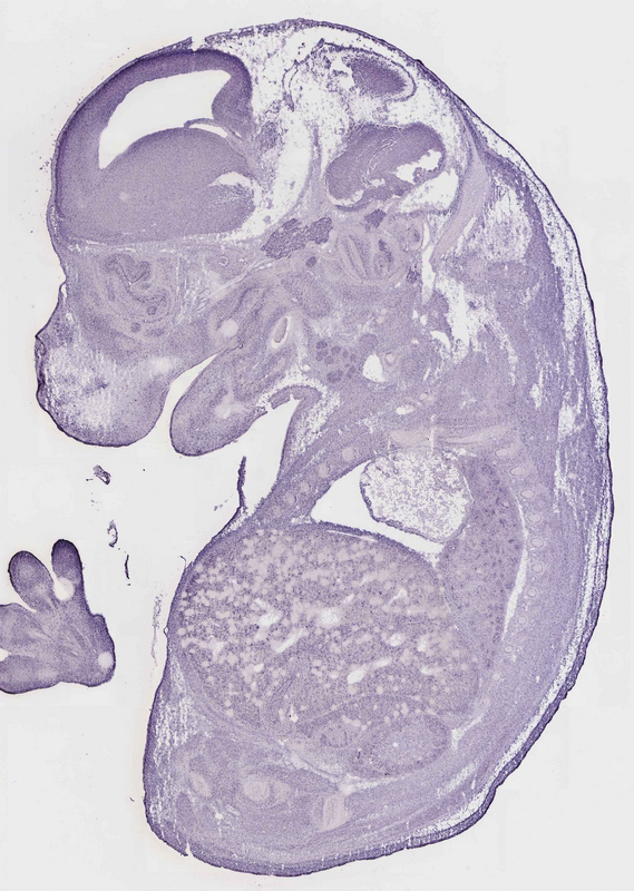
Specimen euxassay_002986_07: embryonic day 14.5 (more )
Structure Level Pattern Image Note
TS23: vestibulo-cochlear ganglion Moderate Regionally restricted euxassay_002986_07
TS23: trigeminal ganglion Moderate Regionally restricted euxassay_002986_07
TS23: glossopharyngeal ganglion Moderate Regionally restricted euxassay_002986_07
TS23: dorsal root ganglion Moderate Regionally restricted euxassay_002986_07

Specimen euxassay_002986_08: embryonic day 14.5 (more )
Structure Level Pattern Image Note
TS23: vagus ganglion Moderate Regionally restricted euxassay_002986_08
TS23: trigeminal ganglion Moderate Regionally restricted euxassay_002986_08
TS23: dorsal root ganglion Moderate Regionally restricted euxassay_002986_08

Specimen euxassay_002986_09: embryonic day 14.5 (more )
Structure Level Pattern Image Note
TS23: trigeminal ganglion Moderate Regionally restricted euxassay_002986_09
TS23: dorsal root ganglion Moderate Regionally restricted euxassay_002986_09

Specimen euxassay_002986_10: embryonic day 14.5 (more )
Structure Level Pattern Image Note
TS23: dorsal root ganglion Moderate Regionally restricted euxassay_002986_10

Specimen euxassay_002986_11: embryonic day 14.5 (more )
Structure Level Pattern Image Note
TS23: dorsal root ganglion Moderate Regionally restricted euxassay_002986_11

Specimen euxassay_002986_12: embryonic day 14.5 (more )
Structure Level Pattern Image Note
TS23: dorsal root ganglion Moderate Regionally restricted euxassay_002986_12

Specimen euxassay_002986_16: embryonic day 14.5 (more )
Structure Level Pattern Image Note
TS23: dorsal root ganglion Moderate Regionally restricted euxassay_002986_16

Specimen euxassay_002986_17: embryonic day 14.5 (more )
Structure Level Pattern Image Note
TS23: dorsal root ganglion Moderate Regionally restricted euxassay_002986_17

Specimen euxassay_002986_18: embryonic day 14.5 (more )
Structure Level Pattern Image Note
TS23: trigeminal ganglion Moderate Regionally restricted euxassay_002986_18
TS23: vagus ganglion Moderate Regionally restricted euxassay_002986_18
TS23: dorsal root ganglion Moderate Regionally restricted euxassay_002986_18

Specimen euxassay_002986_19: embryonic day 14.5 (more )
Structure Level Pattern Image Note
TS23: trigeminal ganglion Moderate Regionally restricted euxassay_002986_19
TS23: glossopharyngeal ganglion Moderate Regionally restricted euxassay_002986_19
TS23: vestibulo-cochlear ganglion Moderate Regionally restricted euxassay_002986_19

Specimen euxassay_002986_20: embryonic day 14.5 (more )
Structure Level Pattern Image Note
TS23: vestibulo-cochlear ganglion Moderate Regionally restricted euxassay_002986_20
TS23: trigeminal ganglion Moderate Regionally restricted euxassay_002986_20

Specimen euxassay_002986_21: embryonic day 14.5 (more )
Structure Level Pattern Image Note
TS23: trigeminal ganglion Moderate Regionally restricted euxassay_002986_21
TS23: facial ganglion Moderate Regionally restricted euxassay_002986_21

Specimen euxassay_002986_22: embryonic day 14.5 (more )
Structure Level Pattern Image Note
TS23: trigeminal ganglion Moderate Regionally restricted euxassay_002986_22
TS23: facial ganglion Moderate Regionally restricted euxassay_002986_22

Specimen euxassay_002986_23: embryonic day 14.5 (more )
Structure Level Pattern Image Note
TS23: trigeminal ganglion Moderate Regionally restricted euxassay_002986_23


Contributing Projects:
Mouse Genome Database (MGD), Gene Expression Database (GXD), Mouse Models of Human Cancer database (MMHCdb) (formerly Mouse Tumor Biology (MTB)), Gene Ontology (GO)
Citing These Resources
Funding Information
Warranty Disclaimer, Privacy Notice, Licensing, & Copyright
Send questions and comments to User Support.
last database update
01/06/2026
MGI 6.24
The Jackson Laboratory