About   Help   FAQ
Gene Expression Data
Assay Details
Assay
Reference: J:153498 Diez-Roux G, et al., A high-resolution anatomical atlas of the transcriptome in the mouse embryo. PLoS Biol. 2011;9(1):e1000582
Assay type: RNA in situ
MGI Accession ID: MGI:4829005
Gene symbol: Tuba3b
Gene name: tubulin, alpha 3B
Probe: MGC clone 58314
Probe preparation: Antisense labelled with digoxigenin RNA
Visualized with: Alkaline phosphatase
Assay notes: Cryosections of fresh frozen material were fixed in 4% paraformaldehyde for 20 min. before further processing. A tyramide-biotin/streptavidin amplification step was included in the in situ hybridization procedure.
Results
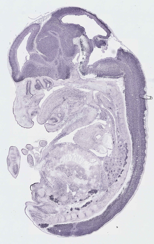
Specimen euxassay_005855_01: embryonic day 14.5 (more )
Structure Level Pattern Image Note
TS23: trigeminal ganglion Strong Regionally restricted euxassay_005855_01
TS23: brain Strong Uniform euxassay_005855_01
TS23: neural retina Strong Regionally restricted euxassay_005855_01

Specimen euxassay_005855_02: embryonic day 14.5 (more )
Structure Level Pattern Image Note
TS23: trigeminal ganglion Strong Regionally restricted euxassay_005855_02
TS23: facial ganglion Strong Regionally restricted euxassay_005855_02
TS23: brain Strong Uniform euxassay_005855_02
TS23: neural retina Strong Regionally restricted euxassay_005855_02

Specimen euxassay_005855_03: embryonic day 14.5 (more )
Structure Level Pattern Image Note
TS23: trigeminal ganglion Strong Regionally restricted euxassay_005855_03
TS23: facial ganglion Strong Regionally restricted euxassay_005855_03
TS23: dorsal root ganglion Strong Regionally restricted euxassay_005855_03
TS23: brain Strong Uniform euxassay_005855_03
TS23: neural retina Strong Regionally restricted euxassay_005855_03

Specimen euxassay_005855_04: embryonic day 14.5 (more )
Structure Level Pattern Image Note
TS23: trigeminal ganglion Strong Regionally restricted euxassay_005855_04
TS23: facial ganglion Strong Regionally restricted euxassay_005855_04
TS23: glossopharyngeal ganglion Strong Regionally restricted euxassay_005855_04
TS23: vestibulo-cochlear ganglion Strong Regionally restricted euxassay_005855_04
TS23: dorsal root ganglion Strong Regionally restricted euxassay_005855_04
TS23: brain Strong Uniform euxassay_005855_04

Specimen euxassay_005855_05: embryonic day 14.5 (more )
Structure Level Pattern Image Note
TS23: vagus ganglion Strong Regionally restricted euxassay_005855_05
TS23: trigeminal ganglion Strong Regionally restricted euxassay_005855_05
TS23: vestibulo-cochlear ganglion Strong Regionally restricted euxassay_005855_05
TS23: dorsal root ganglion Strong Regionally restricted euxassay_005855_05
TS23: brain Strong Uniform euxassay_005855_05
TS23: spinal cord Strong Uniform euxassay_005855_05

Specimen euxassay_005855_06: embryonic day 14.5 (more )
Structure Level Pattern Image Note
TS23: trigeminal ganglion Strong Regionally restricted euxassay_005855_06
TS23: dorsal root ganglion Strong Regionally restricted euxassay_005855_06
TS23: brain Strong Uniform euxassay_005855_06
TS23: spinal cord Strong Uniform euxassay_005855_06
TS23: cervico-thoracic ganglion Strong Regionally restricted euxassay_005855_06
TS23: cervical ganglion Strong Regionally restricted euxassay_005855_06

Specimen euxassay_005855_07: embryonic day 14.5 (more )
Structure Level Pattern Image Note
TS23: trigeminal ganglion Strong Regionally restricted euxassay_005855_07
TS23: dorsal root ganglion Strong Regionally restricted euxassay_005855_07
TS23: brain Strong Uniform euxassay_005855_07
TS23: spinal cord Strong Uniform euxassay_005855_07

Specimen euxassay_005855_08: embryonic day 14.5 (more )
Structure Level Pattern Image Note
TS23: trigeminal nerve Strong Regionally restricted euxassay_005855_08
TS23: dorsal root ganglion Strong Regionally restricted euxassay_005855_08
TS23: brain Strong Uniform euxassay_005855_08
TS23: spinal cord Strong Uniform euxassay_005855_08
TS23: thoracic ganglion Strong Regionally restricted euxassay_005855_08
TS23: olfactory epithelium Moderate Regionally restricted euxassay_005855_08

Specimen euxassay_005855_09: embryonic day 14.5 (more )
Structure Level Pattern Image Note
TS23: dorsal root ganglion Strong Regionally restricted euxassay_005855_09
TS23: brain Strong Uniform euxassay_005855_09
TS23: spinal cord Strong Uniform euxassay_005855_09
TS23: olfactory epithelium Moderate Regionally restricted euxassay_005855_09

Specimen euxassay_005855_10: embryonic day 14.5 (more )
Structure Level Pattern Image Note
TS23: dorsal root ganglion Strong Regionally restricted euxassay_005855_10
TS23: brain Strong Uniform euxassay_005855_10
TS23: spinal cord Strong Uniform euxassay_005855_10
TS23: thoracic ganglion Strong Regionally restricted euxassay_005855_10
TS23: olfactory epithelium Moderate Regionally restricted euxassay_005855_10

Specimen euxassay_005855_11: embryonic day 14.5 (more )
Structure Level Pattern Image Note
TS23: dorsal root ganglion Strong Regionally restricted euxassay_005855_11
TS23: brain Strong Uniform euxassay_005855_11
TS23: spinal cord Strong Uniform euxassay_005855_11
TS23: olfactory epithelium Moderate Regionally restricted euxassay_005855_11

Specimen euxassay_005855_12: embryonic day 14.5 (more )
Structure Level Pattern Image Note
TS23: dorsal root ganglion Strong Regionally restricted euxassay_005855_12
TS23: brain Strong Uniform euxassay_005855_12
TS23: spinal cord Strong Uniform euxassay_005855_12
TS23: cervico-thoracic ganglion Strong Regionally restricted euxassay_005855_12

Specimen euxassay_005855_13: embryonic day 14.5 (more )
Structure Level Pattern Image Note
TS23: dorsal root ganglion Strong Regionally restricted euxassay_005855_13
TS23: brain Strong Uniform euxassay_005855_13
TS23: spinal cord Strong Uniform euxassay_005855_13
TS23: olfactory epithelium Moderate Regionally restricted euxassay_005855_13

Specimen euxassay_005855_14: embryonic day 14.5 (more )
Structure Level Pattern Image Note
TS23: vagus ganglion Strong Regionally restricted euxassay_005855_14
TS23: dorsal root ganglion Strong Regionally restricted euxassay_005855_14
TS23: brain Strong Uniform euxassay_005855_14
TS23: spinal cord Strong Uniform euxassay_005855_14
TS23: olfactory epithelium Moderate Regionally restricted euxassay_005855_14

Specimen euxassay_005855_15: embryonic day 14.5 (more )
Structure Level Pattern Image Note
TS23: glossopharyngeal ganglion Strong Regionally restricted euxassay_005855_15
TS23: trigeminal ganglion Strong Regionally restricted euxassay_005855_15
TS23: trigeminal nerve Strong Regionally restricted euxassay_005855_15
TS23: brain Strong Uniform euxassay_005855_15
TS23: olfactory epithelium Moderate Regionally restricted euxassay_005855_15

Specimen euxassay_005855_16: embryonic day 14.5 (more )
Structure Level Pattern Image Note
TS23: trigeminal ganglion Strong Regionally restricted euxassay_005855_16
TS23: glossopharyngeal ganglion Strong Regionally restricted euxassay_005855_16
TS23: vestibulo-cochlear ganglion Strong Regionally restricted euxassay_005855_16
TS23: brain Strong Uniform euxassay_005855_16
TS23: olfactory epithelium Moderate Regionally restricted euxassay_005855_16

Specimen euxassay_005855_17: embryonic day 14.5 (more )
Structure Level Pattern Image Note
TS23: trigeminal ganglion Strong Regionally restricted euxassay_005855_17
TS23: facial ganglion Strong Regionally restricted euxassay_005855_17
TS23: brain Strong Uniform euxassay_005855_17
TS23: olfactory epithelium Moderate Regionally restricted euxassay_005855_17

Specimen euxassay_005855_18: embryonic day 14.5 (more )
Structure Level Pattern Image Note
TS23: facial ganglion Strong Regionally restricted euxassay_005855_18
TS23: trigeminal ganglion Strong Regionally restricted euxassay_005855_18
TS23: brain Strong Uniform euxassay_005855_18

Specimen euxassay_005855_19: embryonic day 14.5 (more )
Structure Level Pattern Image Note
TS23: facial ganglion Strong Regionally restricted euxassay_005855_19
TS23: trigeminal ganglion Strong Regionally restricted euxassay_005855_19
TS23: brain Strong Uniform euxassay_005855_19

Specimen euxassay_005855_20: embryonic day 14.5 (more )
Structure Level Pattern Image Note
TS23: trigeminal ganglion Strong Regionally restricted euxassay_005855_20
TS23: brain Strong Uniform euxassay_005855_20

Specimen euxassay_005855_21: embryonic day 14.5 (more )
Structure Level Pattern Image Note
TS23: brain Strong Uniform euxassay_005855_21
TS23: neural retina Strong Regionally restricted euxassay_005855_21

Specimen euxassay_005855_22: embryonic day 14.5 (more )
Structure Level Pattern Image Note
TS23: brain Strong Uniform euxassay_005855_22
TS23: neural retina Strong Regionally restricted euxassay_005855_22


Contributing Projects:
Mouse Genome Database (MGD), Gene Expression Database (GXD), Mouse Models of Human Cancer database (MMHCdb) (formerly Mouse Tumor Biology (MTB)), Gene Ontology (GO)
Citing These Resources
Funding Information
Warranty Disclaimer, Privacy Notice, Licensing, & Copyright
Send questions and comments to User Support.
last database update
01/06/2026
MGI 6.24
The Jackson Laboratory