About   Help   FAQ
Gene Expression Data
Assay Details
Assay
Reference: J:153498 Diez-Roux G, et al., A high-resolution anatomical atlas of the transcriptome in the mouse embryo. PLoS Biol. 2011;9(1):e1000582
Assay type: RNA in situ
MGI Accession ID: MGI:4828991
Gene symbol: Ttc4
Gene name: tetratricopeptide repeat domain 4
Probe: MGC clone 29300
Probe preparation: Antisense labelled with digoxigenin RNA
Visualized with: Alkaline phosphatase
Assay notes: Cryosections of fresh frozen material were fixed in 4% paraformaldehyde for 20 min. before further processing. A tyramide-biotin/streptavidin amplification step was included in the in situ hybridization procedure.
Results
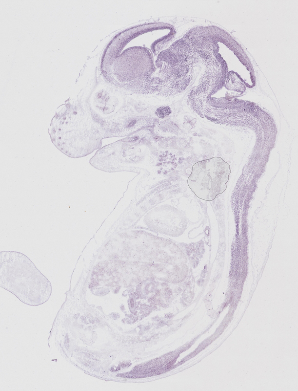
Specimen euxassay_002091_01: embryonic day 14.5 (more )
Structure Level Pattern Image Note
TS23: brain Moderate Uniform euxassay_002091_01

Specimen euxassay_002091_02: embryonic day 14.5 (more )
Structure Level Pattern Image Note
TS23: brain Moderate Uniform euxassay_002091_02

Specimen euxassay_002091_03: embryonic day 14.5 (more )
Structure Level Pattern Image Note
TS23: brain Moderate Uniform euxassay_002091_03
TS23: trigeminal ganglion Moderate Regionally restricted euxassay_002091_03
TS23: renal cortex Moderate Regionally restricted euxassay_002091_03

Specimen euxassay_002091_04: embryonic day 14.5 (more )
Structure Level Pattern Image Note
TS23: brain Moderate Uniform euxassay_002091_04
TS23: trigeminal ganglion Moderate Regionally restricted euxassay_002091_04
TS23: renal cortex Moderate Regionally restricted euxassay_002091_04

Specimen euxassay_002091_05: embryonic day 14.5 (more )
Structure Level Pattern Image Note
TS23: brain Moderate Uniform euxassay_002091_05
TS23: trigeminal ganglion Moderate Regionally restricted euxassay_002091_05
TS23: renal cortex Moderate Regionally restricted euxassay_002091_05
TS23: dorsal root ganglion Weak Regionally restricted euxassay_002091_05

Specimen euxassay_002091_06: embryonic day 14.5 (more )
Structure Level Pattern Image Note
TS23: spinal cord Moderate Uniform euxassay_002091_06
TS23: brain Moderate Uniform euxassay_002091_06
TS23: vestibulo-cochlear ganglion Moderate Regionally restricted euxassay_002091_06
TS23: trigeminal ganglion Moderate Regionally restricted euxassay_002091_06
TS23: glossopharyngeal ganglion Moderate Regionally restricted euxassay_002091_06
TS23: renal cortex Moderate Regionally restricted euxassay_002091_06
TS23: dorsal root ganglion Weak Regionally restricted euxassay_002091_06

Specimen euxassay_002091_07: embryonic day 14.5 (more )
Structure Level Pattern Image Note
TS23: spinal cord Moderate Uniform euxassay_002091_07
TS23: brain Moderate Uniform euxassay_002091_07
TS23: trigeminal ganglion Moderate Regionally restricted euxassay_002091_07
TS23: vestibulo-cochlear ganglion Moderate Regionally restricted euxassay_002091_07
TS23: renal cortex Moderate Regionally restricted euxassay_002091_07

Specimen euxassay_002091_08: embryonic day 14.5 (more )
Structure Level Pattern Image Note
TS23: spinal cord Moderate Uniform euxassay_002091_08
TS23: brain Moderate Uniform euxassay_002091_08
TS23: trigeminal ganglion Moderate Regionally restricted euxassay_002091_08

Specimen euxassay_002091_09: embryonic day 14.5 (more )
Structure Level Pattern Image Note
TS23: spinal cord Moderate Uniform euxassay_002091_09
TS23: brain Moderate Uniform euxassay_002091_09
TS23: thymus primordium Moderate Uniform euxassay_002091_09
TS23: olfactory epithelium Moderate Regionally restricted euxassay_002091_09

Specimen euxassay_002091_10: embryonic day 14.5 (more )
Structure Level Pattern Image Note
TS23: spinal cord Moderate Uniform euxassay_002091_10
TS23: brain Moderate Uniform euxassay_002091_10
TS23: thymus primordium Moderate Uniform euxassay_002091_10
TS23: olfactory epithelium Moderate Regionally restricted euxassay_002091_10

Specimen euxassay_002091_11: embryonic day 14.5 (more )
Structure Level Pattern Image Note
TS23: spinal cord Moderate Uniform euxassay_002091_11
TS23: brain Moderate Uniform euxassay_002091_11
TS23: thymus primordium Moderate Uniform euxassay_002091_11
TS23: dorsal root ganglion Moderate Regionally restricted euxassay_002091_11
TS23: olfactory epithelium Moderate Regionally restricted euxassay_002091_11

Specimen euxassay_002091_12: embryonic day 14.5 (more )
Structure Level Pattern Image Note
TS23: spinal cord Moderate Uniform euxassay_002091_12
TS23: brain Moderate Uniform euxassay_002091_12
TS23: thymus primordium Moderate Uniform euxassay_002091_12
TS23: dorsal root ganglion Weak Regionally restricted euxassay_002091_12
TS23: olfactory epithelium Moderate Regionally restricted euxassay_002091_12

Specimen euxassay_002091_13: embryonic day 14.5 (more )
Structure Level Pattern Image Note
TS23: brain Moderate Uniform euxassay_002091_13
TS23: renal cortex Moderate Regionally restricted euxassay_002091_13
TS23: thymus primordium Moderate Uniform euxassay_002091_13
TS23: dorsal root ganglion Moderate Regionally restricted euxassay_002091_13
TS23: olfactory epithelium Moderate Regionally restricted euxassay_002091_13

Specimen euxassay_002091_14: embryonic day 14.5 (more )
Structure Level Pattern Image Note
TS23: brain Moderate Uniform euxassay_002091_14
TS23: renal cortex Moderate Regionally restricted euxassay_002091_14
TS23: dorsal root ganglion Weak Regionally restricted euxassay_002091_14
TS23: olfactory epithelium Moderate Regionally restricted euxassay_002091_14

Specimen euxassay_002091_15: embryonic day 14.5 (more )
Structure Level Pattern Image Note
TS23: brain Moderate Uniform euxassay_002091_15
TS23: glossopharyngeal ganglion Moderate Regionally restricted euxassay_002091_15
TS23: trigeminal ganglion Moderate Regionally restricted euxassay_002091_15
TS23: vestibulo-cochlear ganglion Moderate Regionally restricted euxassay_002091_15
TS23: renal cortex Moderate Regionally restricted euxassay_002091_15
TS23: dorsal root ganglion Moderate Regionally restricted euxassay_002091_15
TS23: olfactory epithelium Moderate Regionally restricted euxassay_002091_15

Specimen euxassay_002091_16: embryonic day 14.5 (more )
Structure Level Pattern Image Note
TS23: brain Moderate Uniform euxassay_002091_16
TS23: trigeminal ganglion Moderate Regionally restricted euxassay_002091_16
TS23: glossopharyngeal ganglion Moderate Regionally restricted euxassay_002091_16
TS23: renal cortex Moderate Regionally restricted euxassay_002091_16
TS23: olfactory epithelium Moderate Regionally restricted euxassay_002091_16

Specimen euxassay_002091_17: embryonic day 14.5 (more )
Structure Level Pattern Image Note
TS23: brain Moderate Uniform euxassay_002091_17
TS23: trigeminal ganglion Moderate Regionally restricted euxassay_002091_17
TS23: vestibulo-cochlear ganglion Moderate Regionally restricted euxassay_002091_17
TS23: olfactory epithelium Moderate Regionally restricted euxassay_002091_17

Specimen euxassay_002091_18: embryonic day 14.5 (more )
Structure Level Pattern Image Note
TS23: brain Moderate Uniform euxassay_002091_18
TS23: trigeminal ganglion Moderate Regionally restricted euxassay_002091_18
TS23: olfactory epithelium Moderate Regionally restricted euxassay_002091_18

Specimen euxassay_002091_19: embryonic day 14.5 (more )
Structure Level Pattern Image Note
TS23: brain Moderate Uniform euxassay_002091_19
TS23: trigeminal ganglion Moderate Regionally restricted euxassay_002091_19

Specimen euxassay_002091_20: embryonic day 14.5 (more )
Structure Level Pattern Image Note
TS23: brain Moderate Uniform euxassay_002091_20
TS23: trigeminal ganglion Moderate Regionally restricted euxassay_002091_20

Specimen euxassay_002091_21: embryonic day 14.5 (more )
Structure Level Pattern Image Note
TS23: brain Moderate Uniform euxassay_002091_21
TS23: trigeminal ganglion Moderate Regionally restricted euxassay_002091_21

Specimen euxassay_002091_22: embryonic day 14.5 (more )
Structure Level Pattern Image Note
TS23: brain Moderate Uniform euxassay_002091_22

Specimen euxassay_002091_23: embryonic day 14.5 (more )
Structure Level Pattern Image Note
TS23: brain Moderate Uniform euxassay_002091_23

Specimen euxassay_002091_24: embryonic day 14.5 (more )
Structure Level Pattern Image Note
TS23: brain Moderate Uniform euxassay_002091_24


Contributing Projects:
Mouse Genome Database (MGD), Gene Expression Database (GXD), Mouse Models of Human Cancer database (MMHCdb) (formerly Mouse Tumor Biology (MTB)), Gene Ontology (GO)
Citing These Resources
Funding Information
Warranty Disclaimer, Privacy Notice, Licensing, & Copyright
Send questions and comments to User Support.
last database update
12/30/2025
MGI 6.24
The Jackson Laboratory