About   Help   FAQ
Gene Expression Data
Assay Details
Assay
Reference: J:153498 Diez-Roux G, et al., A high-resolution anatomical atlas of the transcriptome in the mouse embryo. PLoS Biol. 2011;9(1):e1000582
Assay type: RNA in situ
MGI Accession ID: MGI:4828967
Gene symbol: Tspan33
Gene name: tetraspanin 33
Probe: IMAGE clone 1432795
Probe preparation: Antisense labelled with digoxigenin RNA
Visualized with: Alkaline phosphatase
Assay notes: Cryosections of fresh frozen material were fixed in 4% paraformaldehyde for 20 min. before further processing. A tyramide-biotin/streptavidin amplification step was included in the in situ hybridization procedure.
Results
Specimen 1: embryonic day 14.5 (more )
Structure Level Pattern Image Note
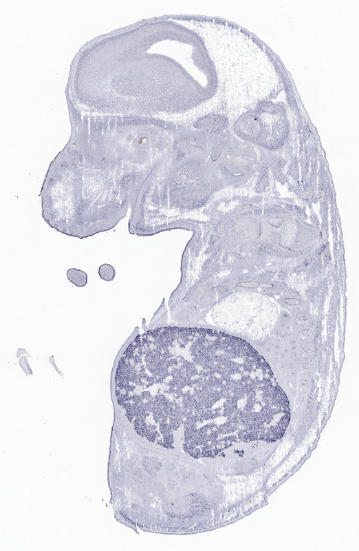
TS23: liver Present 1_1300010A20Rik

Specimen euxassay_000428_01: embryonic day 14.5 (more )
Structure Level Pattern Image Note
TS23: liver lobe Strong Uniform euxassay_000428_01

Specimen euxassay_000428_02: embryonic day 14.5 (more )
Structure Level Pattern Image Note
TS23: liver lobe Strong Uniform euxassay_000428_02

Specimen euxassay_000428_03: embryonic day 14.5 (more )
Structure Level Pattern Image Note
TS23: liver lobe Strong Uniform euxassay_000428_03

Specimen euxassay_000428_04: embryonic day 14.5 (more )
Structure Level Pattern Image Note
TS23: liver lobe Strong Uniform euxassay_000428_04

Specimen euxassay_000428_05: embryonic day 14.5 (more )
Structure Level Pattern Image Note
TS23: liver lobe Strong Uniform euxassay_000428_05

Specimen euxassay_000428_06: embryonic day 14.5 (more )
Structure Level Pattern Image Note
TS23: liver lobe Strong Uniform euxassay_000428_06

Specimen euxassay_000428_07: embryonic day 14.5 (more )
Structure Level Pattern Image Note
TS23: liver lobe Strong Uniform euxassay_000428_07

Specimen euxassay_000428_08: embryonic day 14.5 (more )
Structure Level Pattern Image Note
TS23: liver lobe Strong Uniform euxassay_000428_08

Specimen euxassay_000428_09: embryonic day 14.5 (more )
Structure Level Pattern Image Note
TS23: liver lobe Strong Uniform euxassay_000428_09

Specimen euxassay_000428_10: embryonic day 14.5 (more )
Structure Level Pattern Image Note
TS23: liver lobe Strong Uniform euxassay_000428_10

Specimen euxassay_000428_11: embryonic day 14.5 (more )
Structure Level Pattern Image Note
TS23: liver lobe Strong Uniform euxassay_000428_11

Specimen euxassay_000428_12: embryonic day 14.5 (more )
Structure Level Pattern Image Note
TS23: liver lobe Strong Uniform euxassay_000428_12

Specimen euxassay_000428_13: embryonic day 14.5 (more )
Structure Level Pattern Image Note
TS23: liver lobe Strong Uniform euxassay_000428_13

Specimen euxassay_000428_14: embryonic day 14.5 (more )
Structure Level Pattern Image Note
TS23: liver lobe Strong Uniform euxassay_000428_14

Specimen euxassay_000428_15: embryonic day 14.5 (more )
Structure Level Pattern Image Note
TS23: liver lobe Strong Uniform euxassay_000428_15

Specimen euxassay_000428_16: embryonic day 14.5 (more )
Structure Level Pattern Image Note
TS23: liver lobe Strong Uniform euxassay_000428_16

Specimen euxassay_000428_17: embryonic day 14.5 (more )
Structure Level Pattern Image Note
TS23: liver lobe Strong Uniform euxassay_000428_17

Specimen euxassay_000428_18: embryonic day 14.5 (more )
Structure Level Pattern Image Note
TS23: liver lobe Strong Uniform euxassay_000428_18

Specimen euxassay_000428_19: embryonic day 14.5 (more )
Structure Level Pattern Image Note
TS23: liver lobe Strong Uniform euxassay_000428_19

Specimen euxassay_000428_20: embryonic day 14.5 (more )
Structure Level Pattern Image Note
TS23: liver lobe Strong Uniform euxassay_000428_20

Specimen euxassay_000428_21: embryonic day 14.5 (more )
Structure Level Pattern Image Note
TS23: liver lobe Strong Uniform euxassay_000428_21

Specimen euxassay_000428_22: embryonic day 14.5 (more )
Structure Level Pattern Image Note
TS23: liver lobe Strong Uniform euxassay_000428_22

Specimen euxassay_000428_23: embryonic day 14.5 (more )
Structure Level Pattern Image Note
TS23: liver lobe Strong Uniform euxassay_000428_23

Specimen euxassay_000428_24: embryonic day 14.5 (more )
Structure Level Pattern Image Note
TS23: liver lobe Strong Uniform euxassay_000428_24


Contributing Projects:
Mouse Genome Database (MGD), Gene Expression Database (GXD), Mouse Models of Human Cancer database (MMHCdb) (formerly Mouse Tumor Biology (MTB)), Gene Ontology (GO)
Citing These Resources
Funding Information
Warranty Disclaimer, Privacy Notice, Licensing, & Copyright
Send questions and comments to User Support.
last database update
12/30/2025
MGI 6.24
The Jackson Laboratory